【113-1 醫學(一) 第45題】下列何者的細胞內含有大量的脂肪小滴(lipid droplets),且可分泌糖皮質素(glucocorticoid)?
醫學(一)
113-1 組織學
共 10 題(登入後可互動作答與查看詳解)
內分泌系統1 / 10
基礎組織學2 / 10
【113-1 醫學(一) 第37題】下列有關使用福馬林(formalin)來固定生物組織的敘述,何者錯誤?
基礎組織學3 / 10
【113-1 醫學(一) 第38題】氣管的內襯上皮(lining epithelium of trachea)是屬於:
基礎組織學4 / 10
【113-1 醫學(一) 第39題】下列關於軟骨(cartilage)的敘述,何者正確?
基礎組織學5 / 10
【113-1 醫學(一) 第41題】關於第二型肺泡細胞(type-II pneumocyte)之敘述,下列何者正確?
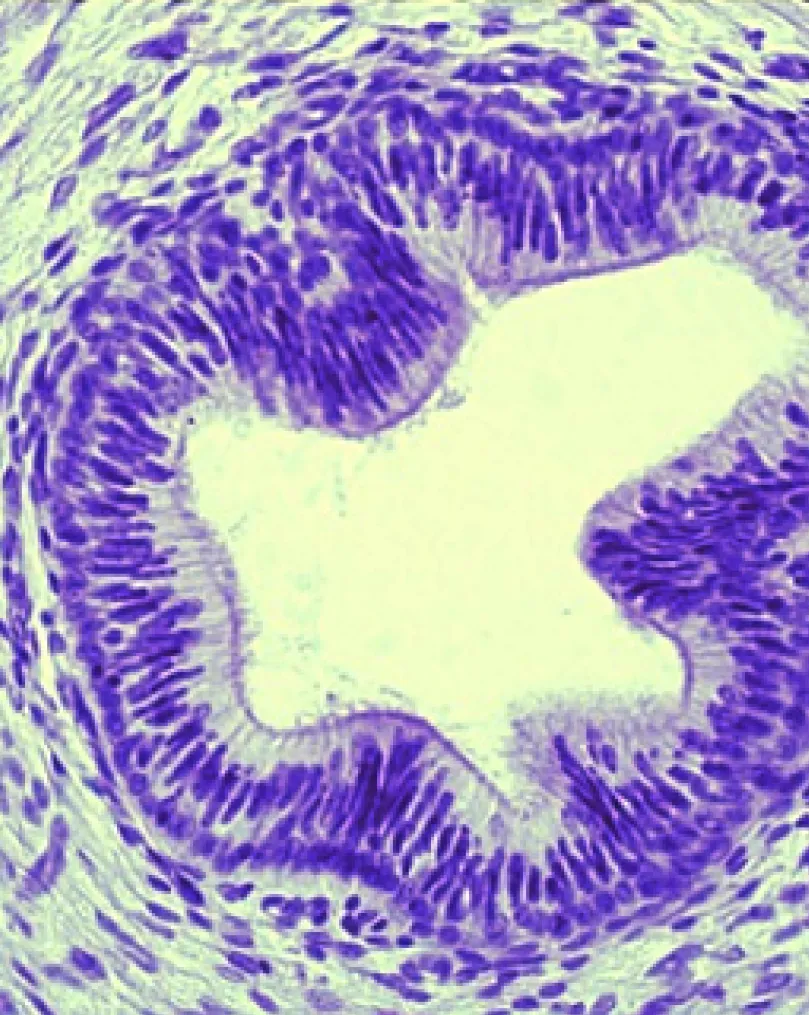
泌尿系統6 / 10
【113-1 醫學(一) 第46題】附圖中的上皮(epithelium)主要出現於下列何者?


消化系統7 / 10
【113-1 醫學(一) 第42題】下列何種細胞具有黏原顆粒(mucinogen granules)?
消化系統8 / 10
【113-1 醫學(一) 第43題】下列何者最不可能出現在膽囊的固有層(lamina propria)?
皮膚系統9 / 10
【113-1 醫學(一) 第44題】下列何者富含血管,負責提供養分及氧氣給毛囊(hair follicle)?
神經與感覺系統10 / 10
【113-1 醫學(一) 第40題】下列有關神經組織中之衛星細胞(satellite cell)的敘述,何者正確?
