【107-1 醫學(五) 第70題】勃起功能障礙(erectile dysfunction)最常見的原因是?
詳解
破題關鍵
勃起功能障礙最常見的原因是多種因素交織在一起。
選項拆解
登入查看完整詳解與互動作答
共 6 題(登入後可互動作答與查看詳解)
【107-1 醫學(五) 第70題】勃起功能障礙(erectile dysfunction)最常見的原因是?
詳解
破題關鍵
勃起功能障礙最常見的原因是多種因素交織在一起。
選項拆解
登入查看完整詳解與互動作答
【107-1 醫學(五) 第65題】有關前列腺癌之敘述,下列何者錯誤?
詳解
破題關鍵
前列腺癌的局部期別判斷,指診比經直腸超音波更重要。
選項拆解
登入查看完整詳解與互動作答
【107-1 醫學(五) 第64題】治療腎臟結石時,下列何者是選擇使用體外震波碎石、輸尿管鏡或經皮穿腎取石手術的最重要因素?
詳解
破題關鍵
處理腎臟結石,最重要的是看結石有多大、有多少顆,這會直接決定要用哪種方法。
選項拆解
登入查看完整詳解與互動作答
【107-1 醫學(五) 第66題】關於testicular tumor之敘述,下列何者錯誤?
詳解
破題關鍵
睪丸腫瘤的診斷,不建議在治療前直接做切片。
選項拆解
登入查看完整詳解與互動作答

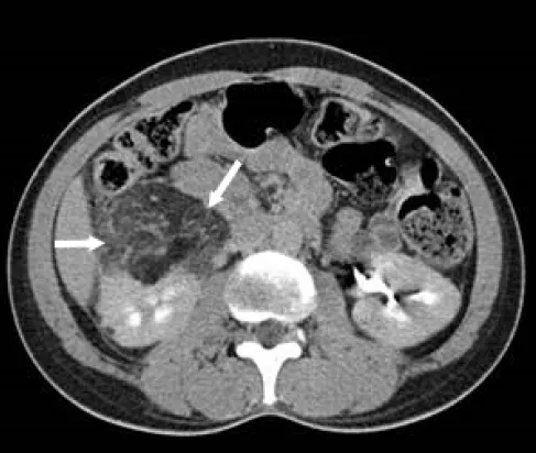
詳解
破題關鍵
這題的解題核心在於辨識腎臟腫塊中的脂肪成分,電腦斷層影像中,腎臟腫塊內出現明顯的低密度區域,這是脂肪特有的影像表現,直接指向腎血管肌肉脂肪瘤。
選項拆解
登入查看完整詳解與互動作答
【107-1 醫學(五) 第79題】白先生是64歲的成功商人,過去樂觀開朗,社交與體能十分活躍,他太太約一年前因罹癌過世,他從此鬱鬱寡歡,與唯一的兒子媳婦同住。最近兩個月來他體重減輕,更發生血尿而前來求診。你是他的泌尿科主治醫師,因此替他安排膀胱鏡與切片門診手術,1週後的病理報告證明為膀胱癌。他與兒子一同走進診間,在支開白先生後,白先生的兒子知道病情後說:「醫師拜託不要向我爸爸宣告他得了癌症,他受不了這個打擊的。請你告訴他是膀胱發炎,多給他點希望吧!」儘管你向兒子解釋告知病情的必要,他仍堅持;你該如何處理?
詳解
破題關鍵
病人有權利知道自己的病情,即使家屬要求隱瞞,醫師仍應尊重病人的自主權。
選項拆解
登入查看完整詳解與互動作答