睪丸與副睪疾病1 / 2
【109-2 醫學(五) 第65題】下列有關睪丸腫瘤的敘述,何者錯誤?
詳解
破題關鍵
隱睪症手術的目的是為了保留生育能力和方便檢查,但無法完全消除罹癌風險。
選項拆解
-A:正確。精原細胞瘤 (seminoma) 是最常見的睪丸生殖細胞腫瘤,約佔所有睪丸癌的50%。
-B:正確。隱睪症是睪丸癌的重要危險因子,約有7-10%的睪丸腫瘤發生在隱睪症病人身上。
登入查看完整詳解與互動作答
共 2 題(登入後可互動作答與查看詳解)
【109-2 醫學(五) 第65題】下列有關睪丸腫瘤的敘述,何者錯誤?
詳解
破題關鍵
隱睪症手術的目的是為了保留生育能力和方便檢查,但無法完全消除罹癌風險。
選項拆解
登入查看完整詳解與互動作答

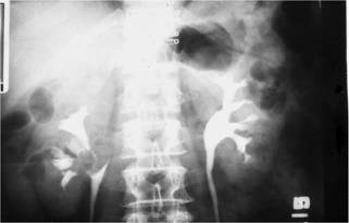
詳解
破題關鍵
本題的解題核心在於辨識靜脈注射尿路X光攝影(IVU)中,左側腎盂內不規則的「填充缺損」(filling defect),結合病人肉眼可見血尿的症狀,指向泌尿道上皮細胞癌。
選項拆解
登入查看完整詳解與互動作答