性功能障礙1 / 4
【110-1 醫學(五) 第71題】治療勃起功能障礙的病人,必須注意使用PDE5 inhibitors的禁忌,下列何種狀況的病人可以安全使用PDE5 inhibitors?
詳解
破題關鍵
PDE5抑制劑的禁忌症主要與心血管疾病和藥物交互作用有關,特別是硝酸鹽類藥物。
選項拆解
-A:錯在時間限制。最近6個月內發生心肌梗塞的病人,心臟功能可能不穩定,使用PDE5抑制劑有風險,是禁忌症。
登入查看完整詳解與互動作答
共 4 題(登入後可互動作答與查看詳解)
【110-1 醫學(五) 第71題】治療勃起功能障礙的病人,必須注意使用PDE5 inhibitors的禁忌,下列何種狀況的病人可以安全使用PDE5 inhibitors?
詳解
破題關鍵
PDE5抑制劑的禁忌症主要與心血管疾病和藥物交互作用有關,特別是硝酸鹽類藥物。
選項拆解
登入查看完整詳解與互動作答

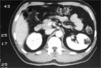
詳解
破題關鍵
這題的解題核心在於辨識腎臟腫瘤影像中的「脂肪成分」。圖片中左腎腫瘤內有明顯的低密度區域,這是判斷的關鍵。
選項拆解
登入查看完整詳解與互動作答
【110-1 醫學(五) 第7題】下列何者不是常壓性水腦(normal pressure hydrocephalus)臨床的三樣典型表徵(triad)?
詳解
破題關鍵
常壓性水腦的典型症狀是「步態不穩、失智、尿失禁」三聯症。
選項拆解
登入查看完整詳解與互動作答
【110-1 醫學(五) 第69題】急性單純膀胱炎(acute uncomplicated cystitis)最不會出現下列那一項症狀?
詳解
破題關鍵
急性單純膀胱炎的感染侷限在膀胱,通常不會引起全身性發燒。
選項拆解
登入查看完整詳解與互動作答