兒童發展復健1 / 15
【107-1 醫學(六) 第68題】腦性麻痺(cerebral palsy)患者的骨關節併發症中,何種類群的腦性麻痺患者最容易產生髖關節脫位(hip joint displacement)?
詳解
破題關鍵
全身性、嚴重度最高的腦性麻痺類型,因為肌肉張力不平衡最嚴重,所以最容易造成髖關節脫位。
選項拆解
-A:半邊癱瘓型 (hemiplegic) 腦性麻痺患者主要影響身體單側,髖關節脫位的風險相對較低。
心肺與慢性病復健2 / 15
【107-1 醫學(六) 第62題】馬拉松選手剛跑完全程後突然暈倒,其原因以下列何者最常見?
詳解
破題關鍵
馬拉松後突然暈倒,最常見是血液回流不足導致的姿勢性低血壓。
選項拆解
-A:錯在心律不整雖然可能發生,但通常不是馬拉松後立即暈倒最常見的原因。更常見的是循環系統的急性適應問題。
心肺與慢性病復健3 / 15
【107-1 醫學(六) 第66題】有氧訓練(aerobic training)對正常人之心臟功能,最不可能增加者為:
詳解
破題關鍵
有氧訓練會讓心臟更有效率,但不會改變生理極限。
選項拆解
-A:錯在有氧訓練會增加心臟的收縮力與心室容積,使每次心跳能泵出更多血液,因此會增加最大心博量 (maximal stroke volume)。
心肺與慢性病復健4 / 15
【107-1 醫學(六) 第71題】下列關於糖尿病足瘡(diabetic foot ulcer)的敘述,何者最正確?
詳解
破題關鍵
糖尿病足的治療目標是「保住腳」,避免走到截肢這一步。
選項拆解
-A:錯在「復發機會較其他糖尿病患者少」。曾有足瘡病史的糖尿病患者,即使傷口癒合,其復發機會仍遠高於沒有足瘡病史的糖尿病患者。
神經疾病復健5 / 15
【107-1 醫學(六) 第56題】關於半邊忽略現象(hemispatial neglect)之常見評估方法,下列何者最不常使用?
詳解
破題關鍵
半邊忽略是忽略空間的一側,評估方法通常是看患者是否能注意到或處理該側的刺激。
選項拆解
-A:錯在線二等分測驗(line bisection test)是常用評估方法。患者被要求將一條線段分成兩等份,半邊忽略的患者通常會將中點偏向未忽略的一側。
神經疾病復健6 / 15
【107-1 醫學(六) 第57題】有關神經電生理的神經傳導測試H-反射(H-reflex)及F-波(F-wave)敘述,何者正確?
詳解
破題關鍵
H-反射和 F-波的產生機制不同,H-反射是反射,F-波是回傳。
選項拆解
-A:正確。H-反射的反射弧只包含一個突觸,因此是一種單突觸反射。
-B:錯誤。F-波的潛伏期比直接刺激肌肉產生的 M-波長,因此 F-波常出現在 M-波「後面」。
神經疾病復健7 / 15
【107-1 醫學(六) 第58題】下列何種感染症最不會造成末梢神經病變(peripheral neuropathy)?
詳解
破題關鍵
末梢神經病變通常與病毒直接侵犯神經、免疫反應或毒素有關,B型肝炎較少直接造成。
選項拆解
-A:正確。因為B型肝炎主要影響肝臟,雖然極少數情況下可能引起血管炎進而影響神經,但它不是造成末梢神經病變的典型或常見感染症。
神經疾病復健8 / 15
【107-1 醫學(六) 第67題】A型肉毒桿菌毒素(botulinum neurotoxin type A)應用於治療痙攣症(spasticity),何者錯誤?
詳解
破題關鍵
肉毒桿菌素需要時間作用在神經末梢,所以效果不會馬上出現。
選項拆解
-A:正確。肉毒桿菌素廣泛應用於治療腦性麻痺 (cerebral palsy) 兒童的痙攣症,以改善肢體功能和減少疼痛。
-B:正確。肉毒桿菌毒素通常是直接注射到目標肌肉中,以局部作用。
肌肉骨骼復健9 / 15
【107-1 醫學(六) 第61題】有關處方脊椎裝具(spinal orthotics)的常見適應症(indications),以下何者不適當?
詳解
破題關鍵
脊椎裝具是提供外部支撐,限制活動,長期穿戴反而會讓核心肌群變弱。
選項拆解
-A:錯在穩固脊柱是脊椎裝具的重要功能之一,特別是在骨折或手術後需要限制脊椎活動以促進癒合。
-B:錯在限制脊椎的活動度是脊椎裝具的常見目的,可以減少脊椎受力,從而減緩疼痛或保護受傷部位。
肌肉骨骼復健10 / 15
【107-1 醫學(六) 第63題】關於僵直性脊椎炎與脊椎骨折的關係,下列敘述何者正確?
詳解
破題關鍵
僵直性脊椎炎的脊椎像竹子一樣僵硬,最容易在「活動度最大」的頸椎發生骨折。
選項拆解
-A:錯在「不易發生骨折」。僵直性脊椎炎的脊椎因僵硬且骨質脆弱,反而比一般人更容易發生骨折。
肌肉骨骼復健11 / 15
【107-1 醫學(六) 第64題】王太太為61歲的家庭主婦,近幾個月來覺得手指僵硬、疼痛,但無麻木感。醫師診察發現她雙側的遠端指間關節及近端指間關節均有腫脹現象,有些關節合併有小硬塊,有些關節有壓痛感,請問王太太最可能的診斷是下列何者?
詳解
破題關鍵
遠端指間關節和近端指間關節的硬塊和疼痛,是退化性關節炎的經典表現。
選項拆解
肌肉骨骼復健12 / 15
【107-1 醫學(六) 第65題】有關於人體骨骼肌(skeletal muscle)的描述,何者正確?
詳解
破題關鍵
骨骼肌要能產生動作,就必須跨越關節並附著在骨頭上。
選項拆解
-A:錯在肌肉不是人體中最大的組織,且佔體重約40-50%,而非70%。人體最大的組織是結締組織。
-B:正確。肌肉-肌腱單元必須跨越關節並附著在骨骼上,才能在收縮時牽動骨骼,產生關節運動。
肌肉骨骼復健13 / 15
【107-1 醫學(六) 第70題】腦中風病人在臥床擺位上,長時間側躺(side lying)最常發生壓瘡(pressure sore)的位置在下列何部位?
詳解
破題關鍵
側躺時,身體側面最突出的骨頭承受壓力最大。
選項拆解
-A:錯在腳跟 (heel) 是仰臥或坐姿時常見的壓瘡部位,側躺時腳跟受壓較小。
-B:錯在肩峰 (acromion) 在側躺時雖然會受壓,但通常不如股骨大粗隆承受的壓力大且集中。
肌肉骨骼復健14 / 15
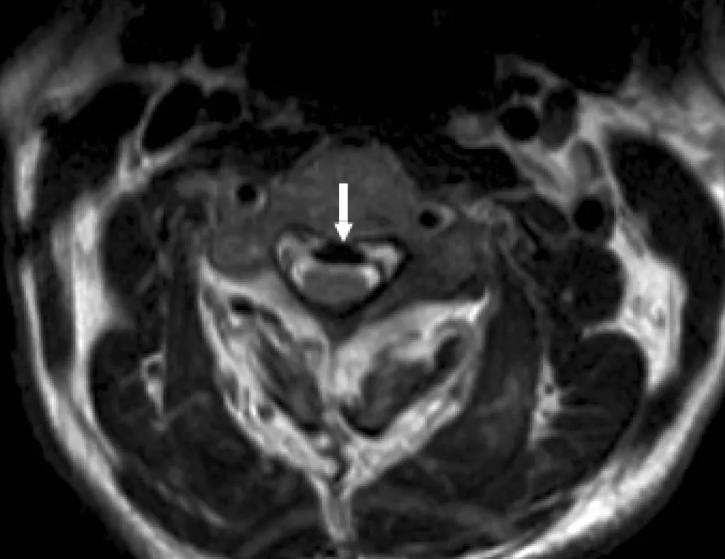
【107-1 醫學(六) 第72題】71歲男性不慎跌倒之後,頸部異常疼痛,合併有上肢酸麻感覺;磁振掃描橫向T2加權影像如附圖。其最可能的診斷為何?

詳解
破題關鍵
這張頸椎橫向T2加權磁振掃描影像顯示脊髓前方有一個明顯的低訊號(黑色)硬化結構,壓迫到脊髓,這是後縱韌帶骨化 (OPLL) 的典型表現。
選項拆解
輔具與義肢15 / 15
【107-1 醫學(六) 第60題】有關處方上肢裝具(upper limb orthotics),下列何者不是常見的目的?
詳解
破題關鍵
裝具的主要功能是「輔助、保護、矯正」,而不是「訓練」肌肉。
選項拆解
-A:錯在「肌力訓練」。裝具無法直接訓練肌肉,它主要是提供外在的支撐或限制,幫助肌肉休息或維持姿勢,但肌力訓練需要主動的肌肉收縮。