【110-1 醫學(六) 第69題】下列那一種兒童疾病,最常合併有水腦症(hydrocephalus)?
醫學(六)
110-1 復健科
共 12 題(登入後可互動作答與查看詳解)
兒童發展復健1 / 12
心肺與慢性病復健2 / 12
【110-1 醫學(六) 第67題】下列那種疾病不是常造成運動選手在劇烈運動中猝死的原因?
神經疾病復健3 / 12
【110-1 醫學(六) 第59題】關於脊髓損傷後之異位性骨化症(heterotopic ossification),下列敘述何者錯誤?
神經疾病復健4 / 12
【110-1 醫學(六) 第60題】某病患的脊髓損傷被診斷為Brown-Séquard症候群,下列何者為其典型症狀?
神經疾病復健5 / 12
【110-1 醫學(六) 第61題】對一位罹患慢性髓鞘病變(chronic demyelination)的病人實施肌電診斷檢查時,最不常出現下列那一種結果?
神經疾病復健6 / 12
【110-1 醫學(六) 第70題】小腦損傷最有可能造成下列那一種語言的障礙?
肌肉骨骼復健7 / 12
【110-1 醫學(六) 第62題】下列何者不是造成足底筋膜炎的致病因素?
肌肉骨骼復健8 / 12
【110-1 醫學(六) 第63題】王先生在足球賽時,被他隊球員由右膝外側撞擊,聽到 「POP」一聲,立即不支倒地。身體檢查發現右膝十分腫脹,關節活動度只能彎曲約10至90度,下列處置何者最正確?
肌肉骨骼復健9 / 12
【110-1 醫學(六) 第65題】關於脊柱側彎之敘述,下列何者正確?
肌肉骨骼復健10 / 12
【110-1 醫學(六) 第71題】腋網症候群(axillary web syndrome)為下列那一癌症手術後最常見之疼痛症狀?
肌肉骨骼復健11 / 12
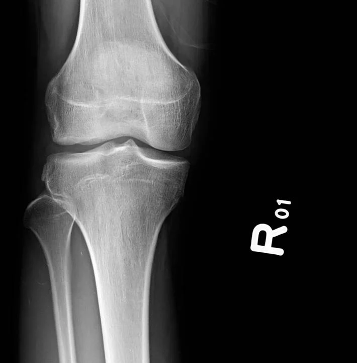
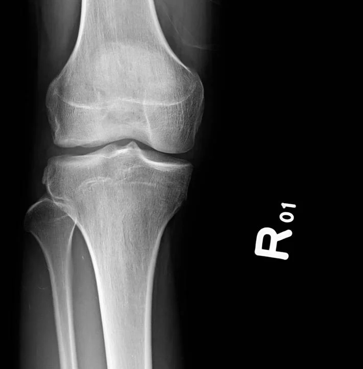
【110-1 醫學(六) 第73題】
20歲男性病患膝關節受傷,接受膝部X光及磁振造影檢查如圖,下列何者診斷為錯誤?




輔具與義肢12 / 12
【110-1 醫學(六) 第66題】有關燒燙傷後使用的輔具(orthoses for burns),以下敘述何者錯誤?
