兒童發展復健1 / 16
【109-2 醫學(六) 第67題】下列關於腦性麻痺(cerebral palsy)患者的神經系統合併症之敘述,何者錯誤?
詳解
破題關鍵
不同類型的腦性麻痺有其特定的合併症,雙邊癱瘓型主要影響下肢,聽力異常與其關聯性較低。
選項拆解
-A:正確。半邊癱瘓型 (hemiplegic CP) 患者的腦部損傷通常集中在一側,容易導致癲癇 (seizure) 的發生。
兒童發展復健2 / 16
【109-2 醫學(六) 第68題】下列何者不是罕見疾病兒童的復健治療目的?
詳解
破題關鍵
罕見疾病通常是慢性且無法治癒的,復健的目標是「最大化」現有功能,而不是「回復正常」。
選項拆解
-A:正確。提升各種生活功能,例如穿衣、吃飯、移動等,是罕見疾病兒童復健的重要目標,旨在提高他們的生活自理能力和獨立性。
心肺與慢性病復健3 / 16
【109-2 醫學(六) 第65題】關於肺部復健(pulmonary rehabilitation)中的運動處方(exercise prescription)的描述,下列何者錯誤?
詳解
破題關鍵
肺部復健的目的之一就是改善活動性呼吸窘迫,所以它不可能是禁忌,反而是治療的目標。
選項拆解
-A:正確。有氧運動訓練(aerobic exercise)是肺部復健的核心組成部分,能有效提升心肺功能和運動耐受度。
疼痛與老年復健4 / 16
【109-2 醫學(六) 第70題】下列何者不是纖維肌痛症(fibromyalgia)常見的臨床表現?
詳解
破題關鍵
纖維肌痛症主要表現為廣泛性疼痛和多種非關節症狀,而非關節發炎。
選項拆解
-A:正確。腸激躁症 (irritable bowel syndrome, IBS) 是纖維肌痛症常見的合併症之一,兩者可能共享一些病理生理機制。
疼痛與老年復健5 / 16
【109-2 醫學(六) 第71題】巴氏量表(Barthel index)是用來評估日常生活功能(activities of daily living)的量表,其內容不包含:
詳解
破題關鍵
巴氏量表主要評估基本日常生活活動,不包含複雜的工具性日常生活活動。
選項拆解
-A:正確。移位 (transfer) 是巴氏量表中的一個重要項目,評估從床到椅子或輪椅的轉移能力。
神經疾病復健6 / 16
【109-2 醫學(六) 第58題】一位脊髓損傷患者,四肢都沒有任何動作,進行肛門指診時發現有自主性收縮,且第四及第五薦髓皮節是有感覺的,根據美國脊髓損傷協會(Americian spinal injury association, ASIA)的分類標準,其等級應為?
詳解
破題關鍵
ASIA 分級的關鍵在於「感覺」和「運動」功能的保留程度,特別是受傷節段以下的功能。
選項拆解
-A:錯在 ASIA A 代表完全性脊髓損傷,損傷節段以下(包含 S4-S5)完全沒有感覺和運動功能。題目中提到有自主性肛門收縮和 S4-S5 感覺,所以不是 ASIA A。
神經疾病復健7 / 16
【109-2 醫學(六) 第59題】關於多發性硬化症患者(multiple sclerosis)之併發症,下列敘述何者錯誤?
詳解
破題關鍵
多發性硬化症是一種中樞神經系統疾病,除了運動、感覺、視覺等問題,認知功能缺損其實很常見。
選項拆解
-A:正確。膀胱逼尿肌過動確實是多發性硬化症患者最常見的膀胱異常表現,導致頻尿、急尿等症狀。
神經疾病復健8 / 16
【109-2 醫學(六) 第60題】下列何者是篩檢人類神經肌肉交接處疾病(neuromuscular junction disorders),最常用的電學診斷方法?
詳解
破題關鍵
神經肌肉交接處疾病的特點是神經傳遞到肌肉的訊號會「疲乏」,所以要用重複刺激來觀察這種疲乏現象。
選項拆解
-A:錯在神經傳導(nerve conduction)檢查主要評估神經本身的傳導速度和振幅,對於神經肌肉交接處的問題敏感度較低。
神經疾病復健9 / 16
【109-2 醫學(六) 第61題】下列何者為脊髓損傷病人泌尿系統最常見的併發症?
詳解
破題關鍵
脊髓損傷後膀胱功能失調,尿液容易滯留,是造成泌尿道感染的溫床。
選項拆解
-A:錯在腎衰竭(renal failure)是泌尿道長期併發症(如反覆感染、結石、水腎)的最終結果,而不是最常見的「併發症」本身。泌尿道感染才是最常見的。
神經疾病復健10 / 16
【109-2 醫學(六) 第69題】李先生中風後,語言表達流暢性與覆誦能力嚴重受損,但理解能力尚好,他可能屬於那一種失語症?
詳解
破題關鍵
理解能力好,但表達和覆誦困難,是布洛卡氏失語症的典型表現。
選項拆解
-A:錯在渥尼克氏失語症 (Wernicke aphasia)。渥尼克氏失語症的特徵是語言表達流暢但內容空洞、語無倫次,且理解能力嚴重受損。
肌肉骨骼復健11 / 16
【109-2 醫學(六) 第62題】類風濕性關節炎的晚期手指常有種種變形,關於鈕扣孔變形(buttonhole deformity),下列敘述何者正確?
詳解
破題關鍵
鈕扣孔變形 (buttonhole deformity) 的核心病理變化是近端指間關節的伸肌腱中央腱斷裂。
選項拆解
-A:正確。鈕扣孔變形的核心病理是手指伸肌肌腱的中央腱在近端指間關節處斷裂或功能不全。
肌肉骨骼復健12 / 16
【109-2 醫學(六) 第64題】人類頸部頸間盤疼痛模式(discogenic pain pattern)引起上肢疼痛最常發生於那兩節間?
詳解
破題關鍵
頸椎椎間盤突出最常發生在活動度大、受力多的節段。
選項拆解
-A:錯在第二、三節間。這個節段的椎間盤突出較不常見,通常會引起頸部疼痛,較少延伸到上肢。
-B:錯在第三、四節間。這個節段的椎間盤突出也較不常見,通常會引起頸部疼痛,有時會延伸到肩胛骨區域。
肌肉骨骼復健13 / 16
【109-2 醫學(六) 第66題】有關過度訓練症候群(overtraining syndrome)以下敘述那一項錯誤?
詳解
破題關鍵
過度訓練症候群的診斷需要更長時間的休息來確認。
選項拆解
-A:正確。運動員不明原因的成績下滑、容易疲倦、情緒不穩、睡眠品質差是過度訓練症候群的典型症狀。
肌肉骨骼復健14 / 16
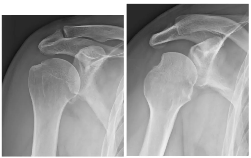
【109-2 醫學(六) 第72題】
47 歲男性主訴受傷後右肩痛,右肩 X 光正位及內旋影像顯示如圖,下列敘述何者錯誤?

詳解
破題關鍵
這題的解題核心在於仔細辨識肩關節脫臼X光片上常見的骨性病灶,特別是Hill-Sachs病灶和bony Bankart病灶。圖片中可見肱骨頭脫位,且肱骨頭後外側有壓迫性骨折(Hill-Sachs),而肩盂下緣也有輕微骨折(bony Bankart)。
選項拆解
肌肉骨骼復健15 / 16
【109-2 醫學(六) 第73題】49 歲男性病人,主訴左肘關節疼痛,尤其在橈側(radial side),灰階及彩色杜卜勒超音波檢查如圖,最可能診斷為何?
詳解
破題關鍵
這題的解題核心在於將病人主訴的「左肘關節橈側疼痛」與超音波影像中「橈骨頭上方肌腱增厚、血流增加」的特徵結合起來,指向典型的網球肘。
選項拆解
-A:錯在「高爾夫球肘」是指肘關節內側(medial side)的疼痛,與病人主訴的橈側(radial side)疼痛不符。
輔具與義肢16 / 16
【109-2 醫學(六) 第63題】下列四種頸部裝具(cervical orthosis),對於頸部側彎(lateral bending)及轉動(rotation)的限制程度有最好的效果?
詳解
破題關鍵
要限制頸部多方向的活動,就需要一個能固定住頭部和軀幹的「硬式」支架。
選項拆解
-A:錯在海綿頸圈(soft collar)是軟式頸圈,主要提供輕微支撐和保暖,對頸部側彎和轉動的限制效果最差。