【111-1 醫學(六) 第67題】關於年齡12個月大的兒童發展里程碑(developmental milestones),下列那一項是較不可能達到的?
詳解
破題關鍵
12個月大的嬰兒主要發展大動作和社交互動,精細動作仍在發展初期。
選項拆解
登入查看完整詳解與互動作答
共 16 題(登入後可互動作答與查看詳解)
【111-1 醫學(六) 第67題】關於年齡12個月大的兒童發展里程碑(developmental milestones),下列那一項是較不可能達到的?
詳解
破題關鍵
12個月大的嬰兒主要發展大動作和社交互動,精細動作仍在發展初期。
選項拆解
登入查看完整詳解與互動作答
【111-1 醫學(六) 第68題】關於腦性麻痺(cerebral palsy)患者下肢手術的進行時間點,目前共識(consensus)的一般建議是7歲以後才執行手術介入,但是下列那個部位的手術除外?
詳解
破題關鍵
腦性麻痺髖關節手術的時機,考量的是「預防脫位」與「功能惡化」。
選項拆解
登入查看完整詳解與互動作答
【111-1 醫學(六) 第65題】有關自覺用力係數(Rating of Perceived Exertion, Borg Scale,簡稱RPE)的描述,下列何者錯誤?
詳解
破題關鍵
RPE分數越高代表感覺越費力。
選項拆解
登入查看完整詳解與互動作答
【111-1 醫學(六) 第66題】下列何者是心臟復健之訓練效果?
詳解
破題關鍵
心臟復健的目標是提升心肺功能,讓身體更有效率地利用氧氣。
選項拆解
登入查看完整詳解與互動作答
【111-1 醫學(六) 第80題】復健科醫師於臨床發現女病患疑似遭受家庭暴力情事,病患坦承其丈夫偶會暴力相向,但擔心事件曝光將影響家庭關係,請求醫師不要通報相關單位,在此種情況下,下列處置何者為宜? ,
詳解
破題關鍵
當病人安全受到威脅時,通報義務優先於病人隱私。
選項拆解
登入查看完整詳解與互動作答
【111-1 醫學(六) 第58題】關於中風復健常見之傳統治療技術,何者主要強調抑制不正常的姿勢與動作,並且誘發獨立的肌肉控制 (isolated muscle control)?
詳解
破題關鍵
神經發展技術(Bobath)的核心理念是抑制異常模式,促進正常動作。
選項拆解
登入查看完整詳解與互動作答
【111-1 醫學(六) 第61題】一位病人在吃飯時,突然發生頭痛,隨即有嘔吐現象,送到醫院時發現其右側上下肢無力,左側顏面神經麻痺,經臨床診斷為腦中風,其最可能的病變位置在下列何處?
詳解
破題關鍵
交叉性麻痺 (crossed hemiplegia) 是腦幹病變的典型表現。
選項拆解
登入查看完整詳解與互動作答
【111-1 醫學(六) 第71題】下列有關失用症(apraxia)的敘述,何者錯誤?
詳解
破題關鍵
失用症是動作計畫的問題,不是聽力或理解力的問題。
選項拆解
登入查看完整詳解與互動作答

詳解
破題關鍵
這題的重點是判斷蜘蛛網膜下腔出血(SAH)的影像特徵,並了解其後續的診斷與處理。圖片中可以看到腦部電腦斷層掃描顯示腦溝和腦池內有明顯的白色高密度影像,這就是急性出血的表現。
選項拆解
登入查看完整詳解與互動作答
【111-1 醫學(六) 第75題】典型的Guillain-Barré症候群之診斷,下列何者是必要的條件?
詳解
破題關鍵
吉蘭-巴雷症候群最典型的臨床表現就是「反射消失」。
選項拆解
登入查看完整詳解與互動作答
【111-1 醫學(六) 第59題】一位病人因跌倒,發現肱骨螺旋溝(spinal groove)處有骨折,且有手腕下垂(dropped wrist)無法背屈,這可能是以下那一條神經受傷?
詳解
破題關鍵
肱骨螺旋溝是橈神經通過的位置,手腕下垂是橈神經損傷的典型症狀。
選項拆解
登入查看完整詳解與互動作答
【111-1 醫學(六) 第60題】人類神經肌肉系統的構造中,運動單元(motor unit)大小差異甚大,下列何者有最大的運動單元?
詳解
破題關鍵
運動單元的大小與肌肉精細控制的需求成反比。
選項拆解
登入查看完整詳解與互動作答
【111-1 醫學(六) 第62題】下列何種運動方式最適合骨折初期的病人?
詳解
破題關鍵
骨折初期需要避免骨折處的移動,同時維持肌肉力量。
選項拆解
登入查看完整詳解與互動作答

詳解
破題關鍵
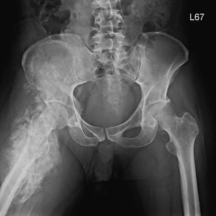
這張X光片最關鍵的線索是右側髖部周圍軟組織出現大片不規則、緻密的骨化影像,結合病患中風後右半側癱瘓的病史,強烈指向異位性骨化。
選項拆解
登入查看完整詳解與互動作答
【111-1 醫學(六) 第64題】關於踝足輔具(ankle-foot orthoses, AFO),以下敘述何者不適當?
詳解
破題關鍵
踝足輔具(AFO)的設計目的就是「控制」足踝關節的活動。
選項拆解
登入查看完整詳解與互動作答

詳解
破題關鍵
這題考的是手動輪椅後輪外傾角度(camber angle)的特性。關鍵在於理解外傾角度如何改變輪椅的物理特性和操作體驗,並從中找出「不是」優點的敘述。圖片清楚展示了有無外傾角度的差異,外傾輪椅的輪胎頂部向內傾斜,底部向外擴展。
選項拆解
登入查看完整詳解與互動作答