
詳解
破題關鍵
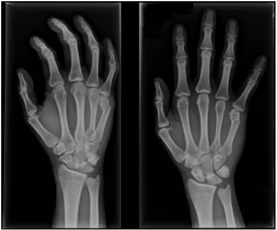
這張X光片最關鍵的線索是小指遠端指骨(distal phalanx)的背側基部有一小塊骨頭被拉扯下來,這就是典型的槌狀指骨折。
選項拆解
登入查看完整詳解與互動作答
共 14 題(登入後可互動作答與查看詳解)

詳解
破題關鍵
這張X光片最關鍵的線索是小指遠端指骨(distal phalanx)的背側基部有一小塊骨頭被拉扯下來,這就是典型的槌狀指骨折。
選項拆解
登入查看完整詳解與互動作答
【106-1 醫學(五) 第77題】一位27歲的男性,因手肘關節部位疼痛而來求診,經病史詢問及身體檢查發現,懷疑為肱骨外上髁炎(lateral epicondylitis),下列何者錯誤?
詳解
破題關鍵
這題的重點在於搞清楚「網球肘」和「高爾夫球肘」的差別,以及它們各自的解剖位置和臨床表現。
選項拆解
登入查看完整詳解與互動作答
【106-1 醫學(五) 第59題】在施行初次全膝人工關節置換術時,則下列何組織在術中必須被切除?
詳解
破題關鍵
做全膝人工關節置換手術時,為了讓人工關節能順利裝上並活動,有些擋路的組織就得拿掉。
選項拆解
登入查看完整詳解與互動作答
【106-1 醫學(五) 第61題】下列腦性麻痺(cerebral palsy)類型中,發生脊柱側彎(scoliosis)機率最低者為:
詳解
破題關鍵
脊柱側彎的發生率與腦性麻痺的嚴重程度和軀幹肌肉受影響的對稱性有關,越嚴重、越不對稱,風險越高。
選項拆解
登入查看完整詳解與互動作答

詳解
破題關鍵
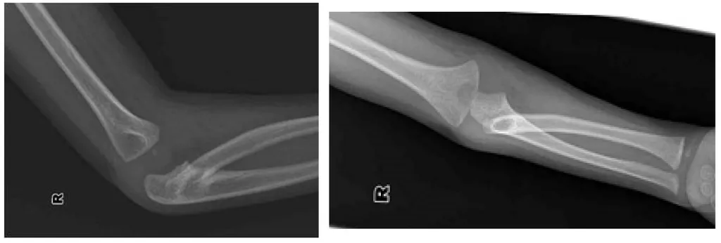
這張X光片顯示的是兒童常見的「牽拉肘」(nursemaid's elbow),也就是橈骨頭半脫位,這種情況最主要影響前臂的旋轉動作,尤其是旋後。圖片中橈骨頭與肱骨小頭的正常對位關係明顯異常,是判斷的關鍵。
選項拆解
登入查看完整詳解與互動作答
【106-1 醫學(五) 第10題】下列有關脊神經及支配的肌肉配對,何者錯誤?
詳解
破題關鍵
找出神經根與肌肉配對中,支配關係最不直接或最不主要的選項。
選項拆解
登入查看完整詳解與互動作答
【106-1 醫學(五) 第56題】一位35歲男性發生車禍受傷,造成頸部疼痛、無法行走。經送往急診室,初步理學檢查顯示生命跡象穩定,意識清楚,右側上 下肢肌力為5分,但痛覺和溫度感覺喪失,左側上下肢肌力為0分,但溫痛感覺正常,電腦斷層影像顯示第四頸椎骨折、神經壓 迫。則此患者最有可能是下列何種脊髓損傷?
詳解
破題關鍵
這個病人的症狀是「單側肢體癱瘓」但「對側溫痛覺喪失」,這是脊髓半切損傷的典型表現。
選項拆解
登入查看完整詳解與互動作答
【106-1 醫學(五) 第57題】下列各種組織中,何者不是以第二型膠原蛋白(type II collagen)為主要組成成分?
詳解
破題關鍵
這題考你哪種組織不是以第二型膠原蛋白為主,關鍵在於區分透明軟骨、彈性軟骨(主要含第二型)和纖維軟骨(主要含第一型)。
選項拆解
登入查看完整詳解與互動作答
【106-1 醫學(五) 第63題】有關脊椎滑脫症(spondylolisthesis)引起疼痛、滑脫惡化及身體變形的危險因子,下列何者除外?
詳解
破題關鍵
這題要你找出「不是」脊椎滑脫惡化或引起疼痛的危險因子。
選項拆解
登入查看完整詳解與互動作答

詳解
破題關鍵
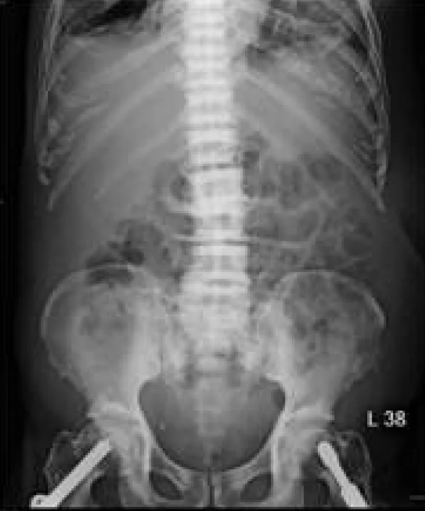
結合病患副甲狀腺素(PTH)上升的病史,這張腹部X光片中脊椎骨呈現典型的「橄欖球衣脊椎」(rugger jersey spine) 外觀,這是腎性骨病變 (renal osteodystrophy) 的經典表現。
選項拆解
登入查看完整詳解與互動作答
下列有關脊髓損傷病人使用高劑量皮質類固醇(corticosteroid)的敘述,何者錯誤?
詳解
破題關鍵
題目問的是「錯誤」的敘述。雖然過去有研究提到高劑量類固醇在脊髓損傷的應用,但現在醫學界普遍認為其風險大於效益,已經不建議常規使用了。
選項拆解
登入查看完整詳解與互動作答
【106-1 醫學(五) 第58題】下列何種骨折最易造成股骨頭部壞死?
詳解
破題關鍵
股骨頭的血液供應主要來自股骨頸周圍的血管,如果骨折發生在股骨頸且移位,這些血管就很容易被切斷,導致股骨頭缺血壞死。
選項拆解
登入查看完整詳解與互動作答
【106-1 醫學(五) 第75題】四肢的骨折常伴隨其它損傷,下列合併損傷有那些是正確的?①肩胛骨骨折伴隨肺部挫傷 ②腰椎骨折伴隨腹內損傷 ③膝關節 脫臼伴隨股動脈損傷 ④跟骨骨折伴隨脊椎骨折
詳解
破題關鍵
骨折常常不只是骨頭斷掉,還要考慮到造成骨折的「力道」有多大,以及骨頭周圍有哪些重要的器官或血管,這些都可能一起受傷。
選項拆解
登入查看完整詳解與互動作答
【106-1 醫學(五) 第60題】有關骨骼巨大細胞瘤(giant cell tumor of bone)的敘述,下列何者正確?
詳解
破題關鍵
巨大細胞瘤雖然是良性,但局部復發率高,所以手術時會搭配輔助方法來降低復發。
選項拆解
登入查看完整詳解與互動作答