【114-2 醫學(五) 第61題】30 歲的卡車司機,因手腕中央疼痛多年,影像學檢查發現月狀骨缺血性壞死。下列治療方式何者最不適當?
詳解
破題關鍵
月狀骨缺血性壞死 (Kienböck's disease) 的治療目標是減輕月狀骨的壓力或重建血流。
選項拆解
登入查看完整詳解與互動作答
共 7 題(登入後可互動作答與查看詳解)
【114-2 醫學(五) 第61題】30 歲的卡車司機,因手腕中央疼痛多年,影像學檢查發現月狀骨缺血性壞死。下列治療方式何者最不適當?
詳解
破題關鍵
月狀骨缺血性壞死 (Kienböck's disease) 的治療目標是減輕月狀骨的壓力或重建血流。
選項拆解
登入查看完整詳解與互動作答
【114-2 醫學(五) 第63題】下列何者不是髖關節後側的短外旋肌群(short external rotators)?
詳解
破題關鍵
熟悉髖關節周圍的肌肉解剖,特別是深層的短外旋肌群。
選項拆解
登入查看完整詳解與互動作答
【114-2 醫學(五) 第62題】有關頸椎脊髓病變(cervical spondylotic myelopathy),下列敘述何者最不適當?
詳解
破題關鍵
頸椎脊髓病變是上運動神經元病變,但會影響到不同節段,反射表現需仔細區分。
選項拆解
登入查看完整詳解與互動作答
【114-2 醫學(五) 第57題】有關骨折的敘述,下列何者最不適當?
詳解
破題關鍵
Gustilo 分類中,嚴重傷口污染通常會被歸類為更高級別,而非 Grade II。
選項拆解
登入查看完整詳解與互動作答
【114-2 醫學(五) 第59題】一位大專甲組運動員發生壓力性骨折(stress fracture),下列敘述何者最不適當?
詳解
破題關鍵
壓力性骨折 (stress fracture) 通常是過度使用造成的,初期治療以休息和保守治療為主,手術是少數情況才考慮。
選項拆解
登入查看完整詳解與互動作答

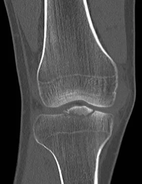
詳解
破題關鍵
這張電腦斷層影像顯示脛骨近端中央有一個骨折碎片被拉起,這個位置正是前十字韌帶的附著點,因此最可能合併前十字韌帶的傷害。
選項拆解
登入查看完整詳解與互動作答
【114-2 醫學(五) 第12題】關於脊椎腫瘤,下列敘述何者錯誤?
詳解
破題關鍵
脊椎硬膜外腫瘤最常見的是轉移瘤,而轉移瘤是惡性的。
選項拆解
登入查看完整詳解與互動作答