上肢與手部疾病1 / 15
【109-1 醫學(五) 第59題】橈骨近端(proximal radius)靠近肘關節附近,例如橈骨頸發生骨折時,最可能合併那一條神經的傷害?
詳解
破題關鍵
橈骨近端骨折,特別是橈骨頸骨折,最容易傷到穿過旋後肌的後骨間神經。
選項拆解
-A:錯在解剖位置。前骨間神經 (AIP) 是正中神經 (median nerve) 的分支,位於前臂深層,與橈骨近端骨折的關係不直接。
下肢與足踝疾病2 / 15
【109-1 醫學(五) 第58題】20歲的張同學騎機車時,正面撞擊停在路邊的車子,結果右膝撞擊機車的前檔板。當天該膝關節並未明顯腫脹,急診室拍的X光片也顯示沒有骨折;雖然膝關節活動有些疼痛,但是大致上還能行走。一個月後,右膝已經幾乎不再疼痛,不過他發現走路時右膝有時會有瞬間無法支撐體重、忽然軟弱無力的感覺;尤其走下樓梯時最為困擾,他很害怕會從樓梯上滾下來。張同學最有可能發生了:
詳解
破題關鍵
脛骨往後撞擊的機轉,加上下樓梯時膝蓋軟弱無力,是後十字韌帶斷裂的典型表現。
選項拆解
-A:錯在症狀。前十字韌帶 (ACL) 斷裂通常表現為膝蓋在減速、轉向或跳躍落地時的「往前」不穩感,雖然下樓梯也可能不穩,但「脛骨後向撞擊」和「下樓梯軟弱無力」更指向PCL。
下肢與足踝疾病3 / 15
【109-1 醫學(五) 第61題】一位30歲男性搭乘計程車前座,發生車禍後送至急診,身體檢查時左下肢呈現肢體變短,左髖關節屈曲、內收及內旋轉的外觀,最有可能之初步診斷為何?
詳解
破題關鍵
車禍後,髖關節呈現「屈曲、內收、內旋轉」且肢體變短,是髖關節後位脫臼的典型姿勢。
選項拆解
-A:錯在姿勢。髖關節前位脫臼 (anterior dislocation) 的典型姿勢是髖關節「屈曲、外展、外旋」,且患肢可能看起來「變長」,與題目描述不符。
下肢與足踝疾病4 / 15
【109-1 醫學(五) 第63題】有關痛風(gout)的敘述,下列何者正確?
詳解
破題關鍵
急性痛風發作的標準治療是使用非類固醇消炎藥或秋水仙素。
選項拆解
-A:錯在「一定」。在急性發作時,血清中尿酸值不一定會增高,有時甚至可能正常或下降。
兒童骨科5 / 15
【109-1 醫學(五) 第15題】一位小朋友左眼遭棒球擊中,眼眶部位立即腫大,結膜下出血,左眼球無法向上移動,下列敘述何者錯誤?
詳解
破題關鍵
眼眶底部骨折 (blowout fracture) 導致眼球無法向上移動,通常是因為下直肌或周圍組織卡住,而不是上直肌。
選項拆解
-A:錯在小朋友可能有眼眶下緣骨折。這是對的,鈍性創傷可能同時造成多處骨折。
兒童骨科6 / 15
【109-1 醫學(五) 第62題】根據Catterall的研究認為,兒童的股骨頭部缺血性壞死症(Legg- Calvé -Perthes disease)預後不好的徵象中, 下列何者除外?
詳解
破題關鍵
兒童股骨頭缺血性壞死症 (Perthes disease) 的預後,通常是年紀越輕發病越好。
選項拆解
-A:錯在判斷。在股骨頭部的外側X光通過性增加 (radiolucency in lateral femoral head) 表示壞死範圍擴大,骨質吸收,是預後不好的徵象。
脊椎疾病7 / 15
【109-1 醫學(五) 第8題】腰椎椎間盤突出,90%發生在那個地方?
詳解
破題關鍵
腰椎椎間盤突出最常發生在活動度最大、承受壓力最大的最下兩節。
選項拆解
-A:錯在 L1-2 and L2-3。這些節段的椎間盤突出相對較少見。
-B:錯在 L2-3 and L3-4。這些節段的椎間盤突出相對較少見。
脊椎疾病8 / 15
【109-1 醫學(五) 第57題】一位36歲男性,在車禍中造成頸部疼痛及雙側四肢無力、感覺異常,電腦斷層影像檢查之軸向影像(axial images)顯示在第六、七頸椎處出現雙腔影像(double-lumen sign)。依照此檢查結果,下列何者是第六、七頸椎的最適當診斷?
詳解
破題關鍵
雙腔影像 (double-lumen sign) 是頸椎小面關節脫位 (facet dislocation) 的典型CT影像表現。
選項拆解
-A:錯在壓迫性骨折(compression fracture)。壓迫性骨折通常表現為椎體高度降低,不會出現雙腔影像。
脊椎疾病9 / 15
【109-1 醫學(五) 第60題】一位55歲的女性,有肺癌病史。兩天前突然發生背痛,但生命跡象穩定,大小便功能及四肢神經功能正常。 脊椎X光及磁振造影檢查結果疑似第二腰椎轉移性腫瘤,但無明顯神經壓迫。下列敘述何者錯誤?
詳解
破題關鍵
患者目前沒有神經功能缺損,因此「馬上接受大手術」並非首要或唯一的治療選項。
選項拆解
-A:正確。骨骼同位素掃描 (bone scan) 對於評估全身骨骼轉移非常敏感,有助於發現其他潛在的轉移病灶,對於有肺癌病史的患者尤其重要。
脊椎疾病10 / 15
【109-1 醫學(五) 第68題】下列何者不會造成flaccid neuropathic bladder?
詳解
破題關鍵
頸椎受傷導致上運動神經元損傷,通常會造成痙攣性膀胱,而非弛緩性膀胱。
選項拆解
-A:會造成。S2-S4脊髓受傷直接損傷了控制膀胱收縮的副交感神經中樞,導致膀胱失去收縮能力,造成弛緩性膀胱。
脊椎疾病11 / 15
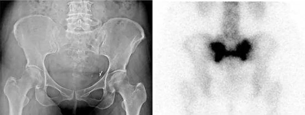
【109-1 醫學(五) 第72題】58歲女性已切除子宮及卵巢,另患有骨盆腔惡性肉瘤,並接受手術及放射治療,主訴最近下背痛,X光及核醫骨掃描如附圖,最可能的診斷為何?

詳解
破題關鍵
這題的解題核心在於辨識核醫骨掃描(bone scan)中,薦骨(sacrum)出現的經典「H」字型高攝取影像,結合病患曾接受骨盆腔放射治療的病史,最符合薦骨不全性骨折(sacral insufficiency fracture)的診斷。
選項拆解
骨骼與軟組織腫瘤12 / 15
【109-1 醫學(五) 第9題】脊椎轉移性腫瘤中最常轉移的位置為:
詳解
破題關鍵
脊椎轉移瘤最常發生在胸椎,因為胸椎節段最長,骨髓豐富。
選項拆解
-A:錯在頸椎。頸椎轉移相對較少見。
-B:正確。胸椎是脊椎轉移性腫瘤最常見的位置。
-C:錯在腰椎。腰椎轉移也很常見,但不如胸椎多。
-D:錯在薦椎。薦椎轉移相對較少見。
核心知識
骨骼與軟組織腫瘤13 / 15
【109-1 醫學(五) 第10題】下列何者不是常見的intradural extramedullary spinal tumor的種類?
詳解
破題關鍵
記住脊髓腫瘤的分類:髓內、髓外硬膜內、硬膜外。髓外硬膜內最常見的是神經鞘瘤和腦膜瘤。
選項拆解
-A:錯在 meningioma。腦膜瘤 (meningioma) 是常見的髓外硬膜內腫瘤。
骨骼與軟組織腫瘤14 / 15
【109-1 醫學(五) 第46題】下列關於intramedullary spinal cord tumor的敘述,何者錯誤?
詳解
破題關鍵
髓內腫瘤最常見的是原發性腫瘤,尤其是室管膜瘤和星狀細胞瘤,轉移瘤多為硬膜外。
選項拆解
-A:錯在 intramedullary spinal cord tumor約占所有spinal tumor的5%。這是對的,髓內腫瘤相對少見。
骨骼與軟組織腫瘤15 / 15
【109-1 醫學(五) 第56題】有關骨生成(bone-forming)腫瘤之敘述,下列何者最正確?
詳解
破題關鍵
骨肉瘤是高度惡性的骨腫瘤,早期肺轉移很常見。
選項拆解
-A:正確。骨肉瘤是惡性腫瘤,肺部是其最常見的轉移部位,診斷時約有10-20%的患者已有肺轉移。