【114-1 醫學(五) 第14題】有關手指外觀異常,下列敘述何者錯誤?
醫學(五)
114-1 骨科
共 11 題(登入後可互動作答與查看詳解)
上肢與手部疾病1 / 11
下肢與足踝疾病2 / 11
【114-1 醫學(五) 第21題】對於有intermittent claudication之病人,其ankle-brachial index(ABI)大多為:
下肢與足踝疾病3 / 11
【114-1 醫學(五) 第57題】20歲男性足球比賽中間被絆倒,足部受傷時是在內翻(inversion)及蹠屈(plantar flexion)的姿勢,急診室檢查發現足踝瘀青腫脹,下列敘述何者最不適當?
下肢與足踝疾病4 / 11
【114-1 醫學(五) 第59題】下列何者最不容易導致髕骨脫臼(patellar dislocation)?
兒童骨科5 / 11
【114-1 醫學(五) 第60題】一位11歲小朋友,身高150公分,體重80公斤,近兩星期覺得走路有困難,無法上下樓梯,兩側的髖關節都覺得僵硬疼痛,無法翹腳而且走路跛行,下列的疾病診斷中那一項最有可能?
脊椎疾病6 / 11
【114-1 醫學(五) 第11題】有關脊椎狹窄(spinal stenosis)之敘述,下列何者最適當?
脊椎疾病7 / 11
【114-1 醫學(五) 第12題】下列關於Hangman's fracture敘述,何者正確?
脊椎疾病8 / 11
【114-1 醫學(五) 第62題】有關頸椎後縱韌帶骨化症(ossification of the posterior longitudinal ligament),下列敘述何者最不適當?
骨折與創傷9 / 11
【114-1 醫學(五) 第2題】兩輛轎車對撞後30分鐘,救護車送來四位病人到急診室,下列那位病人應優先處置?
骨骼與軟組織腫瘤10 / 11
【114-1 醫學(五) 第56題】下列關於良性骨腫瘤的敘述,何者最不適當?
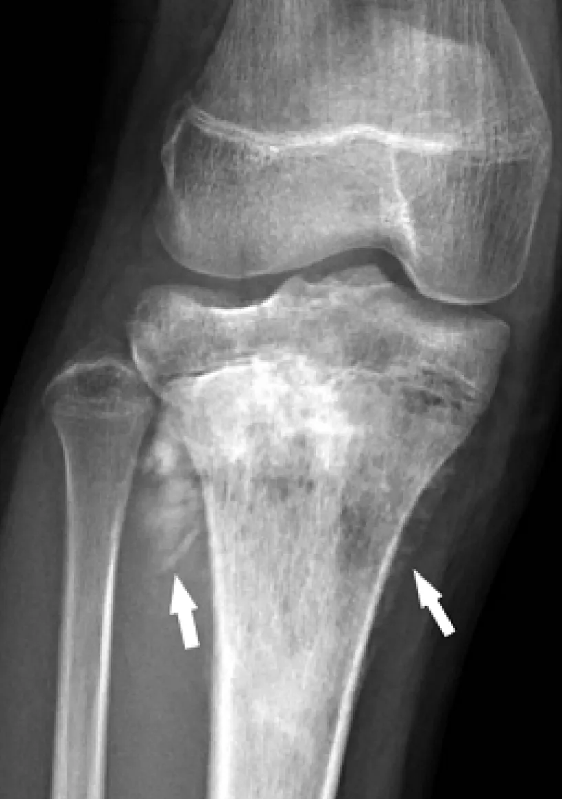
骨骼與軟組織腫瘤11 / 11
【114-1 醫學(五) 第73題】附圖是一位13歲女性脛骨骨肉瘤(osteosarcoma)的膝部X光影像,箭頭所指的影像表現是下列何者?


