【107-2 醫學(五) 第59題】下列那一條肌肉不屬於肩關節旋轉肌袖群(rotator cuff)?
詳解
破題關鍵
肩關節旋轉肌袖群 (rotator cuff) 包含四條肌肉,口訣是「SITS」。
選項拆解
登入查看完整詳解與互動作答
共 7 題(登入後可互動作答與查看詳解)
【107-2 醫學(五) 第59題】下列那一條肌肉不屬於肩關節旋轉肌袖群(rotator cuff)?
詳解
破題關鍵
肩關節旋轉肌袖群 (rotator cuff) 包含四條肌肉,口訣是「SITS」。
選項拆解
登入查看完整詳解與互動作答

詳解
破題關鍵
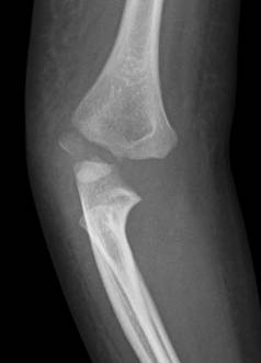
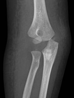
這題的關鍵在於辨識兒童肘部X光片上,遠端肱骨外側髁(capitellum)的骨折線與移位。4歲兒童的骨化中心發育程度是判讀的重要依據。
選項拆解
登入查看完整詳解與互動作答
【107-2 醫學(五) 第63題】承上題,針對小美,下列何者是最佳治療?
詳解
破題關鍵
兒童肱骨外髁骨折,尤其是移位性骨折,由於其關節內骨折的特性和對生長板的影響,通常需要手術復位及內固定以確保良好的功能和避免併發症。
選項拆解
登入查看完整詳解與互動作答
【107-2 醫學(五) 第57題】一位40歲男性發生車禍,造成背部嚴重疼痛。胸腰椎側面X光(lateral view)發現第十一胸椎骨折,且在前後向X光(AP view)發現其雙側椎莖距離(interpedicular distance)變寬。依照X光檢查的發現,下列何者是第十一胸椎的最適當診斷?
詳解
破題關鍵
胸腰椎骨折,且前後向X光發現椎莖距離變寬,代表椎體向外膨出,這是爆裂性骨折的典型特徵。
選項拆解
登入查看完整詳解與互動作答
【107-2 醫學(五) 第58題】針對先天性脊柱側彎(congenital scoliosis)的成因分類中,下列何者彎曲度變大的速度最快、預後最差?
詳解
破題關鍵
先天性脊柱側彎中,最惡劣的組合是「一邊完全沒有生長潛力 (unsegmented bar),另一邊卻有過度生長潛力 (hemivertebra)」,這會造成脊椎兩側生長速度極度不平衡,導致彎曲快速惡化。
選項拆解
登入查看完整詳解與互動作答
【107-2 醫學(五) 第68題】對一位C5~C6完全性脊髓損傷導致逼尿肌尿道外括約肌共濟失調(detrusor sphincter dyssynergia,DSD) 的病人,下列何種處置不合適?
詳解
破題關鍵
逼尿肌尿道外括約肌共濟失調 (DSD) 的治療目標是降低膀胱壓力,保護上泌尿道。尿道外括約肌切開術是一種破壞性手術,通常在漏尿壓力 (leak point pressure) 很高,且其他保守治療無效時才考慮,20 cmH2O的漏尿壓力相對較低,不適合立即進行此手術。
選項拆解
登入查看完整詳解與互動作答
【107-2 醫學(五) 第61題】下列何者不是骨質疏鬆症(osteoporosis)的危險因子?
詳解
破題關鍵
骨質疏鬆症的危險因子通常與骨量流失或骨折風險增加有關,而健康的身體質量指數 (BMI) 範圍通常是保護因子,而非危險因子。
選項拆解
登入查看完整詳解與互動作答