【112-2 醫學(五) 第58題】盧先生因玩滑板不慎跌倒後,用手先去撐地板,導致大拇指變形,經X光照射後顯示骨折的形態為大拇指掌骨基底的複雜粉碎性關節內骨折(comminuted intra-articular fracture of the base of the thumb metacarpal bone),下列何者診斷最適當?
醫學(五)
112-2 骨科
共 9 題(登入後可互動作答與查看詳解)
上肢與手部疾病1 / 9
上肢與手部疾病2 / 9
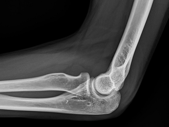
【112-2 醫學(五) 第72題】病人跌倒後被送到急診室,左手肘劇烈疼痛且無法活動。他的左手肘X光片側面照的影像如圖所示,下列敘述何者最恰當?


下肢與足踝疾病3 / 9
【112-2 醫學(五) 第59題】一位身高175公分,20歲的大學男生,拄著二根枴杖步入診間,右膝彎曲無法伸直,無法著地用力。主訴昨天打籃球時,上籃後著地,膝部疼痛卡住,無法伸直及彎曲,右膝X光片顯示無骨折。下列診斷何者最可能?
兒童骨科4 / 9
【112-2 醫學(五) 第23題】有關心房中隔(atrial septal defect, ASD)之敘述,下列何者錯誤?
兒童骨科5 / 9
【112-2 醫學(五) 第60題】下列何種兒童的骨折最容易造成Salter-Harris type II(骨骺損傷程度分型)的生長板傷害?
脊椎疾病6 / 9
【112-2 醫學(五) 第11題】下列關於急性腰椎椎間盤突出疾病的敘述,何者最不適當?
脊椎疾病7 / 9
【112-2 醫學(五) 第12題】A three-column model被用來作為胸腰椎骨折嚴重度的分類。下列選項關於middle column的組成,何者正確?
脊椎疾病8 / 9
【112-2 醫學(五) 第62題】關於脊椎狹窄(spinal stenosis),下列敘述何者最不適當?
骨骼與軟組織腫瘤9 / 9
【112-2 醫學(五) 第15題】球狀血管瘤(glomus tumor)最常見於下列那個位置?
