【111-2 醫學(五) 第11題】下列關於頸椎退化性疾病的治療敘述下列關於頸椎退化性疾病的治療敘述,何者最不適當?
詳解
破題關鍵
對於退化性疾病,手術治療的目標是緩解神經壓迫和改善症狀,但「全部改善」且「完全恢復到原本生活」通常是過於樂觀的期待。
選項拆解
登入查看完整詳解與互動作答
共 7 題(登入後可互動作答與查看詳解)
【111-2 醫學(五) 第11題】下列關於頸椎退化性疾病的治療敘述下列關於頸椎退化性疾病的治療敘述,何者最不適當?
詳解
破題關鍵
對於退化性疾病,手術治療的目標是緩解神經壓迫和改善症狀,但「全部改善」且「完全恢復到原本生活」通常是過於樂觀的期待。
選項拆解
登入查看完整詳解與互動作答
【111-2 醫學(五) 第12題】關於 Chiari I herniation 的敘述,下列何者錯誤下列何者錯誤?
詳解
破題關鍵
Chiari I 型畸形最主要的特徵是「小腦扁桃體」向下疝出,而不是延髓。
選項拆解
登入查看完整詳解與互動作答
【111-2 醫學(五) 第34題】關於肝臟分葉,下列敘述何者最恰當?
詳解
破題關鍵
肝臟的功能性分葉是根據血管分佈,Cantlie's line 是劃分功能性左右肝的關鍵解剖標誌。
選項拆解
登入查看完整詳解與互動作答
【111-2 醫學(五) 第58題】下列關於髖臼解剖構造及損傷後相關檢查的敘述下列關於髖臼解剖構造及損傷後相關檢查的敘述,何者最適當?
詳解
破題關鍵
髖臼是由髂骨、坐骨、恥骨在三向放射狀軟骨處融合而成,其關節面覆蓋透明軟骨。
選項拆解
登入查看完整詳解與互動作答
【111-2 醫學(五) 第59題】下列肌肉與造成骨盆及髖部撕除性骨折下列肌肉與造成骨盆及髖部撕除性骨折(avulsion fracture)的組合,何者最不適當何者最不適當?
詳解
破題關鍵
股直肌的起點是髂前下棘 (anterior inferior iliac spine, AIIS),而非髂前上棘 (ASIS)。
選項拆解
登入查看完整詳解與互動作答

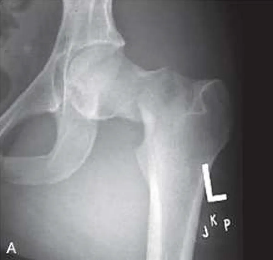
詳解
破題關鍵
這題的解題核心在於仔細觀察股骨頸骨折的X光片,並辨識出股骨頭與股骨幹之間的相對位置變化,特別是Shenton's line的連續性。
選項拆解
登入查看完整詳解與互動作答
【111-2 醫學(五) 第56題】下列關於惡性軟骨肉瘤(chondrosarcoma)的敘述,何者最適當?
詳解
破題關鍵
惡性軟骨肉瘤對化療和放療不敏感,手術切除是主要治療方式。骨軟骨瘤的軟骨帽增厚是惡性轉變的警訊。
選項拆解
登入查看完整詳解與互動作答