【108-2 醫學(五) 第60題】一位36歲女性因車禍跌倒時,右臂受到直接撞擊,造成右前臂腫痛及變形,經X光檢查發現遠端橈骨骨折併遠端橈尺骨關節脫位,此病患最可能的診斷為何?
醫學(五)
108-2 骨科
共 9 題(登入後可互動作答與查看詳解)
上肢與手部疾病1 / 9
上肢與手部疾病2 / 9
【108-2 醫學(五) 第61題】有關肘關節駭人的傷害三合組(terrible triad injuries of the elbow),下列何者除外?
上肢與手部疾病3 / 9
【108-2 醫學(五) 第76題】21歲男性打籃球時,跳投後不慎跌倒右手著地,右前臂明顯腫脹,X光檢查顯示尺骨近端骨折合併橈骨頭脫位,此種骨折稱為:
下肢與足踝疾病4 / 9
【108-2 醫學(五) 第59題】若以後方入路(posterior approach)方式施行全髖人工關節置換術(total hip replacement),則下列何肌肉必須被切斷?
兒童骨科5 / 9
【108-2 醫學(五) 第62題】下列那一種疾病不是兒童足踝疾病的名稱?
兒童骨科6 / 9
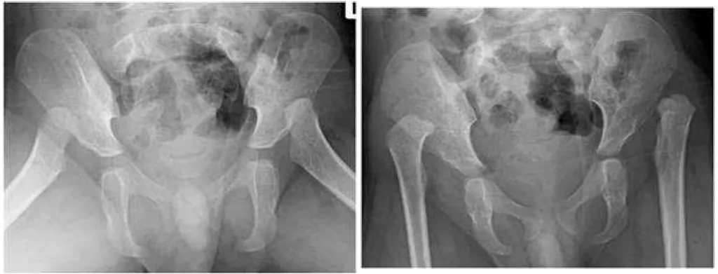
【108-2 醫學(五) 第74題】3歲小男生走路搖搖擺擺,步態不穩,髖關節X光檢查如附圖,最可能的診斷為何?


脊椎疾病7 / 9
【108-2 醫學(五) 第63題】依據Denis的分類,下列何處胸腰椎受傷(thoracolumbar injuries)會被認為不穩定?
骨折與創傷8 / 9
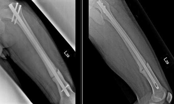
【108-2 醫學(五) 第57題】一位32歲男性左股骨幹骨折(femoral shaft fracture),手術後2年半,仍時常感到左大腿疼痛,無法負重行走,其X光檢查結果如下圖。下列敘述何者錯誤?


骨骼與軟組織腫瘤9 / 9
【108-2 醫學(五) 第56題】有關惡性骨腫瘤的敘述,下列何者最正確?
