【106-2 醫學(五) 第57題】關於遠端肱骨骨折(distal humeral fracture)之敘述,下列何者錯誤?
醫學(五)
106-2 骨科
共 9 題(登入後可互動作答與查看詳解)
上肢與手部疾病1 / 9
上肢與手部疾病2 / 9
【106-2 醫學(五) 第62題】一位50歲左右的男性,雙手因無名指、小指屈曲攣縮影響功能來求診,手掌可摸到纖維性索條(fibrous cord)及變厚的皮膚,但無麻痺現象,下列何者正確?
兒童骨科3 / 9
【106-2 醫學(五) 第58題】有關痙攣雙下肢型(spastic diplegia)腦性麻痺(cerebral palsy)之敘述,下列何者錯誤?
兒童骨科4 / 9
【106-2 醫學(五) 第74題】15歲男生因鼠蹊部疼痛跛行而求診,其青蛙姿勢X光如圖示,則最可能診斷為何?


脊椎疾病5 / 9
【106-2 醫學(五) 第7題】下列關於腰椎椎間盤突出(HIVD)的敘述,何者正確?
脊椎疾病6 / 9
【106-2 醫學(五) 第59題】50歲的男性,有肝癌病史。約在兩天前,突然發生嚴重的背痛且無法行走,磁振造影(MRI)檢查顯示在第十 二胸椎出現腫瘤轉移,且有嚴重神經壓迫情形。病患亦被醫師告知有馬尾症候群(cauda equina syndrome)。下列何者不是馬尾症候群的典型症狀?
脊椎疾病7 / 9
【106-2 醫學(五) 第60題】關於脊椎的爆裂性骨折(burst fracture)之敘述,下列何者正確?
骨折與創傷8 / 9
【106-2 醫學(五) 第61題】有關急性肌腔室症候群(acute compartment syndrome)之敘述,下列何者錯誤?
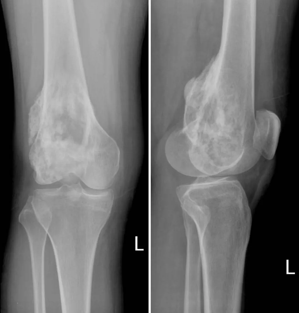
骨骼與軟組織腫瘤9 / 9
【106-2 醫學(五) 第56題】一位22歲女性抱怨左膝疼痛3個月,問診時發現夜間疼痛加劇。身體檢查發現明顯局部壓痛,觸診時發現有組 織腫塊。膝部X光片如下,此病患最有可能的診斷為:


