【112-1 醫學(五) 第59題】職業籃球選手於比賽中上籃投球後跌坐在地上,被診斷出髕骨肌腱斷裂(patellar tendon rupture),下列敘述何者最不適當?
醫學(五)
112-1 骨科
共 9 題(登入後可互動作答與查看詳解)
下肢與足踝疾病1 / 9
下肢與足踝疾病2 / 9
【112-1 醫學(五) 第63題】有關人工關節的材質,下列敘述何者最不適當?
兒童骨科3 / 9
【112-1 醫學(五) 第60題】一位7歲小朋友被發現單側股骨頭缺血性壞死,估計至成年時長短腳可能達到1.5~3.5公分,下列治療方式何者最適當?
脊椎疾病4 / 9
【112-1 醫學(五) 第11題】關於腰椎退化性病變造成神經管狹窄,甚至造成椎體滑脫的敘述,下列何者最適當?
脊椎疾病5 / 9
【112-1 醫學(五) 第12題】關於脊椎Jefferson fracture,下列敘述何者正確?
脊椎疾病6 / 9
【112-1 醫學(五) 第57題】下列關於椎齒突骨折(odontoid fracture)的敘述,何者最不適當?
脊椎疾病7 / 9
【112-1 醫學(五) 第62題】有關椎間盤退化疾病(degenerative disc disease),下列敘述何者最不適當?
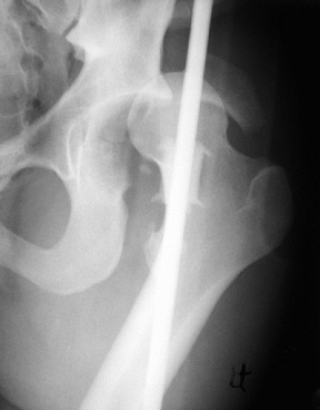
骨折與創傷8 / 9
【112-1 醫學(五) 第73題】20歲男性病人因車禍左髖關節腫痛。圖為本次就診之左髖關節X光攝影及電腦斷層影像。最可能的診斷為何?


骨骼與軟組織腫瘤9 / 9
【112-1 醫學(五) 第56題】下列關於良性骨腫瘤的敘述,何者最適當?
