醫學(六)

108-2 眼科

17(登入後可互動作答與查看詳解)

屈光與斜視1 / 17

【108-2 醫學(六) 第12題】上斜肌(superior oblique muscle)本身的作用,並不會使眼球做下列何種運動?

詳解

破題關鍵

上斜肌的主要作用是下轉、外旋和外轉。

選項拆解

-A:正確。上斜肌是主要的下轉肌之一,尤其在眼球內轉時,其下轉作用最明顯。
-B:正確。上斜肌是主要的內旋肌,使眼球的上極向鼻側旋轉。
-C:錯在「內轉」。上斜肌的主要作用是外轉,而非內轉。內轉主要由內直肌負責。

登入查看完整詳解與互動作答

屈光與斜視2 / 17

【108-2 醫學(六) 第14題】下列何者不是「假性內斜視」(pseudoesotropia)的原因?

詳解

破題關鍵

假性內斜視是因眼部結構特徵造成視覺上的錯覺,而非實際的眼位偏斜。

選項拆解

-A:正確。兩眼瞳孔間距太短 (hypotelorism) 會使鼻側眼白看起來較少,造成假性內斜視的錯覺。

登入查看完整詳解與互動作答

屈光與斜視3 / 17

【108-2 醫學(六) 第15題】隱斜視(heterophoria)的診斷一般須靠下列何種檢查,才能確定?

詳解

破題關鍵

隱斜視的診斷需要透過遮蓋測試來觀察眼球的潛在偏斜。

選項拆解

-A:正確。cover-uncover test (遮蓋-揭蓋測試) 是診斷隱斜視的標準方法,它能揭示潛在的眼位偏斜。

登入查看完整詳解與互動作答

屈光與斜視4 / 17

【108-2 醫學(六) 第78題】安排病人接受白內障手術前,需要跟病人詳細說明手術的內容及其效益與風險,並在確認病人瞭解及同意後,再請病人簽署手術知情同意書(informed consent),這種作法最主要是在確保:

詳解

破題關鍵

讓病人了解並同意治療,是為了尊重病人自己做決定的權利。

選項拆解

-A:正確。簽署手術知情同意書最主要的目的就是確保病人自主,尊重病人對自己身體和醫療決策的權利。
-B:病人隱私是指保護病人的個人資訊不被洩露,與知情同意的直接目的不同。
-C:資源浪費與知情同意無關。

登入查看完整詳解與互動作答

眼瞼、結膜與淚器5 / 17

【108-2 醫學(六) 第11題】有關砂眼(trachoma)的病徵,下列何者最具有診斷上的意義?

詳解

破題關鍵

砂眼的診斷特徵是其特有的濾泡和疤痕。

選項拆解

-A:正確。輪部濾泡和其癒合後形成的Herbert pits是砂眼特有的病理改變,具有高度診斷意義。
-B:錯在「巨型乳頭狀突起」。巨型乳頭狀突起通常是春季卡他性結膜炎的特徵,而非砂眼。

登入查看完整詳解與互動作答

眼瞼、結膜與淚器6 / 17

【108-2 醫學(六) 第16題】關於眼瞼痙攣(essential blepharospasm)的敘述,下列何者錯誤?

詳解

破題關鍵

眼瞼痙攣通常是兩眼一起跳,不是只有單眼。

選項拆解

-A:錯在「大多數為單眼發作」。原發性眼瞼痙攣的典型表現是「雙眼」不自主痙攣,雖然初期可能感覺單眼較嚴重,但最終會進展為雙眼受影響。
-B:正確。此疾病確實好發於中老年女性。

登入查看完整詳解與互動作答

眼窩與神經眼科7 / 17

【108-2 醫學(六) 第19題】下列何者所接收的訊息,是由前庭神經下分支(inferior division of vestibular nerve)傳入中樞?

詳解

破題關鍵

前庭神經的上下分支,各自負責傳遞不同平衡器官的訊息。

選項拆解

-A:上半規管的訊息由前庭神經上分支傳入。
-B:側半規管的訊息由前庭神經上分支傳入。
-C:正確。後半規管的訊息由前庭神經下分支傳入中樞。
-D:橢圓囊的訊息由前庭神經上分支傳入。

核心知識

登入查看完整詳解與互動作答

眼窩與神經眼科8 / 17

【108-2 醫學(六) 第21題】下列構造何者不經過superior orbital fissure?

詳解

破題關鍵

三叉神經的三個分支,各自有不同的出口。

選項拆解

-A:滑車神經 (trochlear nerve, CN IV) 經過上眶裂。
-B:外旋神經 (abducens nerve, CN VI) 經過上眶裂。

登入查看完整詳解與互動作答

眼窩與神經眼科9 / 17

【108-2 醫學(六) 第60題】動脈瘤(arterial aneurysm)常會導致下列何種形式的腦中風?

詳解

破題關鍵

動脈瘤破裂最常導致的腦中風類型,就是蜘蛛網膜下腔出血。

選項拆解

-A:視丘 (thalamus) 出血屬於腦內出血的一種,通常與高血壓控制不佳有關,而非動脈瘤破裂。

登入查看完整詳解與互動作答

眼窩與神經眼科10 / 17

【108-2 醫學(六) 第61題】對「鎖入症候群(lock-in syndrome)」的敘述,下列何項明顯錯誤?

詳解

破題關鍵

鎖入症候群的病人,全身都不能動,連左右看都辦不到,只剩下眼睛能上下動。

選項拆解

-A:四肢無力是鎖入症候群的典型表現,因為皮質脊髓徑受損。
-B:鎖入症候群確實是由兩側橋腦病變引起,這是其病理基礎。

登入查看完整詳解與互動作答

眼窩與神經眼科11 / 17
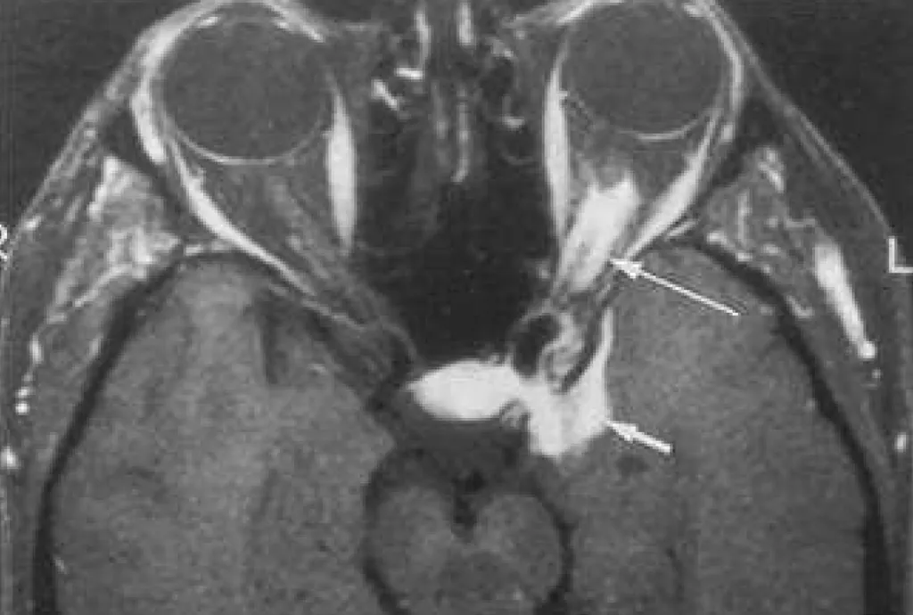
【108-2 醫學(六) 第72題】40歲女性患者,主訴幾個月來左眼視力逐漸減退,接受磁振造影檢查,圖為注射顯影劑後並且經過抑制脂肪處理的T1加權影像,圖中箭號所指最可能的病變是:

詳解

破題關鍵

這題的解題核心在於辨識影像中左側視神經周圍呈現的「軌道徵象」(tram track sign),這是視神經鞘腦膜瘤的典型影像特徵。

選項拆解

登入查看完整詳解與互動作答

眼窩與神經眼科12 / 17

【108-2 醫學(六) 第73題】關於腦部動脈瘤的蜘蛛網膜下腔出血(SAH),下列何者錯誤?

詳解

破題關鍵

SAH後的腦血管收縮 (vasospasm) 通常在出血後3-14天內發生,而不是前三天最嚴重。

選項拆解

-A:正確。蜘蛛網膜下腔出血較集中處通常與動脈瘤破裂的位置有關,因為血液會從破裂點擴散。

登入查看完整詳解與互動作答

眼部外傷13 / 17

【108-2 醫學(六) 第75題】一位25歲男性,摩托車騎士,因酒後不慎撞上安全島,顏面挫傷送至急診時,病人抱怨眼眶周圍疼痛、眼瞼有瘀血且浮腫。下列有關Blowout fracture的敘述,何者錯誤?

詳解

破題關鍵

眼眶底骨折,最常破到上頷竇,所以血會積在上頷竇。

選項拆解

-A:Waters' view 和 Caldwell view 是評估顏面骨折的常用X光檢查,可以初步判斷眼眶底骨折,但電腦斷層 (CT) 掃描是更精確的診斷工具。

登入查看完整詳解與互動作答

視網膜與黃斑部14 / 17
【108-2 醫學(六) 第17題】如眼底視網膜照片所示,此位患者最可能之診斷為何?

詳解

破題關鍵

這張眼底照片最關鍵的線索是看到視網膜脫落後呈現蒼白、皺褶的狀態,並且在其中一張圖中能清楚看到一個紅色的視網膜裂孔,這直接指向裂孔型視網膜剝離。

選項拆解

登入查看完整詳解與互動作答

視網膜與黃斑部15 / 17

【108-2 醫學(六) 第18題】承上題,患者較不適當之處置為何?

詳解

破題關鍵

視網膜已經剝離了,光靠門診雷射是救不回來的,需要動手術。

選項拆解

-A:視網膜冷凍固定術是透過低溫破壞裂孔周圍組織,形成疤痕將視網膜與脈絡膜黏合,常用於鞏膜扣環術或玻璃體切除術的輔助治療。
-B:鞏膜扣環術是治療裂孔型視網膜剝離的常用手術方式之一。

登入查看完整詳解與互動作答

角膜疾病16 / 17

【108-2 醫學(六) 第10題】下列何種疾病較不易併發周邊潰瘍性角膜炎(peripheral ulcerative keratitis)?

詳解

破題關鍵

周邊潰瘍性角膜炎通常與全身性自體免疫疾病有關,但多發性硬化症主要影響神經系統。

選項拆解

-A:正確。類風濕性關節炎是與PUK最相關的全身性疾病之一,可引起鞏膜炎、角膜溶解等。
-B:正確。全身性紅斑性狼瘡是一種多系統自體免疫疾病,也可能引起PUK。

登入查看完整詳解與互動作答

青光眼17 / 17

【108-2 醫學(六) 第13題】在急性隅角閉鎖性青光眼(acute angle-closure glaucoma),下列那一種情形較不可能發生?

詳解

破題關鍵

急性隅角閉鎖性青光眼是急性發作,視神經盤凹陷擴大是慢性青光眼的特徵。

選項拆解

-A:正確。眼壓升高會導致結膜血管擴張,引起結膜充血。
-B:正確。高眼壓會使角膜內皮細胞功能受損,導致角膜基質水腫,使角膜看起來混濁。

登入查看完整詳解與互動作答