【113-2 醫學(六) 第13題】手術前為正視眼(emmetropia)的病人,取出白內障若不置入人工水晶體,病人術後會有:
醫學(六)
113-2 眼科
共 12 題(登入後可互動作答與查看詳解)
屈光與斜視1 / 12
屈光與斜視2 / 12
【113-2 醫學(六) 第16題】下列何者不是造成遮蔽性弱視(deprivation amblyopia)的可能原因?
眼瞼、結膜與淚器3 / 12
【113-2 醫學(六) 第15題】四個月大的女嬰,媽媽注意到她有溢淚的情況,內眼角常有黃綠色的黏稠分泌物,尤其是按摩內眼角與鼻骨之間的部位,會有更多的分泌物出現。下列敘述何者正確?
眼窩與神經眼科4 / 12
【113-2 醫學(六) 第17題】有關甲狀腺眼病變(Graves' ophthalmopathy)的敘述,下列何者錯誤?
眼窩與神經眼科5 / 12
【113-2 醫學(六) 第21題】關於上半規管裂隙症(superior semicircular canal dehiscence syndrome)的Tullio phenomenon,係指下列何項敘述?
眼窩與神經眼科6 / 12
【113-2 醫學(六) 第60題】有關椎底動脈基動脈症候群(vertebrobasilar syndromes),下列何者不是常見症狀?
眼窩與神經眼科7 / 12
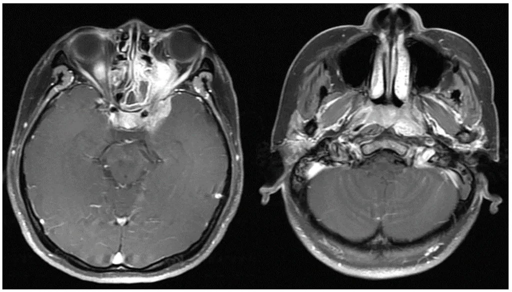
【113-2 醫學(六) 第72題】37歲女性病人,因左上眼瞼下垂與複視而求診,靜脈注射顯影劑磁振造影(如圖),下列何者為最可能之診斷?


視網膜與黃斑部8 / 12
【113-2 醫學(六) 第10題】有關年齡相關黃斑部退化(age-related macular degeneration)之敘述,下列何者錯誤?
視網膜與黃斑部9 / 12
【113-2 醫學(六) 第11題】有關裂孔性視網膜剝離徵候之敘述,下列何者錯誤?
視網膜與黃斑部10 / 12
【113-2 醫學(六) 第18題】六個月男嬰右眼瞳孔區呈現白色反光,看來像貓眼一樣,結膜紅腫,流淚哭鬧。下列何項檢查最不需要?
角膜疾病11 / 12
【113-2 醫學(六) 第12題】有關疱疹病毒所造成的眼球表面感染,下列敘述何者錯誤?
青光眼12 / 12
【113-2 醫學(六) 第14題】口服碳酸酐酶抑制劑(carbonic anhydrase inhibitor)是一種常用於快速降眼壓的藥物,關於其敘述何者錯誤?
