內分泌代謝1 / 34
【106-1 醫學(四) 第9題】下列那一項檢查與生長激素缺乏症(growth hormone deficiency)的診斷無關?
詳解
破題關鍵
診斷生長激素缺乏症需要刺激生長激素分泌,而不是看身體如何處理葡萄糖。
選項拆解
-A:錯在它與診斷有關。IGF-I 是生長激素作用的主要媒介,其濃度低常提示生長激素缺乏。
內分泌代謝2 / 34
【106-1 醫學(四) 第26題】14歲男童患有氣喘,醫師希望以吸入型類固醇(inhaled corticosteroid, ICS)來控制其病情,有關吸入型類固醇(ICS)之使 用,下列何者錯誤?
詳解
破題關鍵
吸入型類固醇(ICS)雖然是氣喘治療的基石,但並非適用於所有類型的氣喘病人。
選項拆解
-A:錯在「所有類型」。ICS是中度到重度持續性氣喘的第一線控制型用藥,但對於輕度間歇性氣喘,通常不需要每天使用ICS作為第一線治療。
內分泌代謝3 / 34
【106-1 醫學(四) 第33題】在尿素循環障礙(urea cycle defects)疾病中,下列敘述何者錯誤?
詳解
破題關鍵
找出關於尿素循環障礙遺傳模式的錯誤敘述。
選項拆解
-A:錯在瓜胺酸血症(citrullinemia)是體染色體隱性遺傳,而非性聯遺傳。此外,鳥胺酸轉胺甲醯酶缺乏症(OTC deficiency)才是常見的性聯遺傳尿素循環障礙,並非所有「其他」疾病都是體染色體隱性。
心臟血管學4 / 34
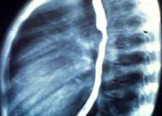
【106-1 醫學(四) 第13題】2個月大的女嬰,出生後不久即被發現呼吸急促合併喘鳴聲(stridor),氣管鏡檢查發現氣管狹窄,食道攝影如圖所示。下列 何者為最可能的診斷?

詳解
破題關鍵
這題的解題核心在於辨識食道攝影中,食道被異常血管從後方壓迫,導致食道前移並出現後方凹陷的典型影像,再結合病患的呼吸道症狀,指向肺動脈吊帶。
選項拆解
-A:錯在雙主動脈弓通常會在食道攝影上呈現「雙側」壓迫,形成一個完整的血管環,而非單一後方壓迫。
心臟血管學5 / 34
【106-1 醫學(四) 第30題】下列血液中電解質的異常,常會使嬰幼兒心電圖出現QT波之延長(QT Prolongation)的現象,除了:
詳解
破題關鍵
這題要你找出哪個電解質異常「不會」讓心電圖的QT波變長。
選項拆解
-A:低血鉀症會影響心臟細胞的鉀離子通道,讓心臟重新充電(再極化)的時間變慢,所以QT波會延長。
-B:低血鈉症主要影響細胞的興奮性,但它通常不會直接導致QT波延長。這是正確答案,因為它是「除了」的那個。
心臟血管學6 / 34
【106-1 醫學(四) 第31題】下列何種疾病最不常合併有accessory pathway,也較少引致心室上心搏過速(supraventricular tachycardia)?
詳解
破題關鍵
這題在考你哪些先天性心臟病特別容易合併有額外傳導路徑(accessory pathway),進而引發心室上心搏過速(SVT)。
選項拆解
-A:愛伯斯坦氏異常(Ebstein anomaly)很常合併有副傳導路徑,特別是WPW症候群,因此容易引發SVT。
感染症7 / 34
【106-1 醫學(四) 第3題】15個月大的孩子,因為兩個月前得到川崎症(Kawasaki disease)而住院,且接受免疫球蛋白靜脈注射治療。現已康復,想要 補打疫苗,下列何者為最適合接種的疫苗?
詳解
破題關鍵
打完免疫球蛋白後,活的疫苗要等一陣子才能打,死的疫苗可以照常打。
選項拆解
-A:麻疹、德國麻疹、腮腺炎混合疫苗是活的疫苗。因為孩子剛打完免疫球蛋白,裡面有抗體會把疫苗病毒殺掉,導致疫苗沒效,所以要延後施打。
感染症8 / 34
【106-1 醫學(四) 第10題】8歲氣喘男童,最近3個月內,於白天出現氣喘症狀的次數平均一星期少於1次,一個月內半夜因咳嗽而醒來也少於2次,其 FEV1>80%的預測值,給與下列何種藥物最適當?
詳解
破題關鍵
這個男童的氣喘症狀輕微,屬於「間歇性氣喘」,只需要在有症狀時使用快速緩解的藥物。
選項拆解
-A:正確。吸入型短效支氣管擴張劑(SABA)是間歇性氣喘的首選藥物,只在有症狀時使用,能快速緩解支氣管收縮。
感染症9 / 34
【106-1 醫學(四) 第11題】兒童的感染性關節炎(infective arthritis),最常見的菌種為:
詳解
破題關鍵
兒童感染性關節炎最常見的細菌就是金黃色葡萄球菌。
選項拆解
-A:正確。金黃色葡萄球菌是兒童感染性關節炎最常見的致病菌,無論是新生兒、嬰幼兒或青少年都一樣。
-B:錯在。大腸桿菌雖然是常見的革蘭氏陰性菌,但在兒童感染性關節炎中較不常見,除非是新生兒或免疫功能低下者。
感染症10 / 34
【106-1 醫學(四) 第15題】2歲女童,就診主訴為發高燒3天,喉嚨痛、口水直流,媽媽發現女童的手腳出現許多紅疹,同時女童這兩天幾乎無法進食,尿 量明顯減少。身體診察發現喉嚨軟顎上出現水疱,手掌、腳掌、臀部也出現疹子(如圖所示),下列敘述何者錯誤?

詳解
破題關鍵
這題的解題核心在於辨識出圖片和敘述所指的疾病是「手足口症」,並了解其病原體和治療方式。圖片中口咽部的水疱和手腳的紅疹是診斷的關鍵視覺線索。
選項拆解
感染症11 / 34
【106-1 醫學(四) 第27題】有關Bruton agammaglobulinemia的特徵,下列何者錯誤?
詳解
破題關鍵
Bruton agammaglobulinemia是X染色體性聯隱性遺傳,不是體染色體顯性遺傳。
選項拆解
感染症12 / 34
【106-1 醫學(四) 第78題】承上題,下列何者為首選藥物?
詳解
破題關鍵
Doxycycline是治療非典型細菌感染的首選藥物,特別是黴漿菌或披衣菌造成的肺炎。
選項拆解
-A:正確。Doxycycline屬於四環黴素類抗生素,對非典型病原體(如黴漿菌、披衣菌、立克次體、萊姆病螺旋體等)有很好的療效,常是這些感染的首選。
感染症13 / 34
2個月大女嬰,咳嗽已有3個星期之久,近幾天甚至偶爾咳至唇色發紫,這陣子並無發燒現象。血液檢查WBC為 26,500/mm3,neutrophil為25%,lymphocyte為70%,鼻咽檢體的RSV(respiratory syncytial virus)antigen檢查 結果為陰性反應,其最有可能之致病菌為何?
詳解
破題關鍵
嬰兒長期咳嗽、咳到發紺,加上白血球升高但淋巴球比例異常高,這些線索都指向百日咳。
選項拆解
-A:adenovirus 腺病毒感染雖然可能引起呼吸道症狀,但通常不會有這麼典型的陣發性咳嗽導致發紺,且白血球分類也不太會是淋巴球這麼高。
新生兒醫學14 / 34
【106-1 醫學(四) 第2題】關於新生兒披衣菌感染(Chlamydia trachomatis)的肺炎,下列敘述何者錯誤?
詳解
破題關鍵
新生兒披衣菌肺炎的特色是咳嗽、呼吸急促,但通常不會喘鳴或發燒,且嗜伊紅性白血球會升高。
選項拆解
-A:常有嗜伊紅性白血球增多(eosinophilia)的現象。正確。新生兒披衣菌肺炎的血液檢查常會發現嗜伊紅性白血球增多。
新生兒醫學15 / 34
【106-1 醫學(四) 第6題】有關Apgar score的敘述,下列何者正確?
詳解
破題關鍵
Apgar score是用來快速評估新生兒出生後狀況的工具,分數越高代表狀況越好,它包含五個重要指標。
選項拆解
-A:錯在Apgar score分數愈低表示嬰兒狀況愈差,需要更多醫療介入。實際上分數越高才表示嬰兒越健康。
新生兒醫學16 / 34
【106-1 醫學(四) 第8題】舟形頭(scaphocephaly)是因那一個骨縫先天性過早癒合所導致?
詳解
破題關鍵
舟形頭就是頭型變長變窄,這是因為頭頂正中間那條骨縫(矢狀縫)太早關起來,讓頭不能往兩邊長,只好往前和往後長。
選項拆解
新生兒醫學17 / 34
【106-1 醫學(四) 第16題】新生兒由於子宮內生長遲滯(intrauterine growth retardation),腦部超音波(brain ultrasonography)檢查發現,有腦室週邊鈣化(periventricular calcification)與腦室擴大(ventriculomegaly)的異常,聽力篩檢亦出現異常。此新生兒最可能的診斷為:
詳解
破題關鍵
新生兒有生長遲滯、腦部鈣化、腦室擴大和聽力異常,這些都是先天性巨細胞病毒感染的典型表現。
選項拆解
-A:錯在先天性人類微小病毒B19感染主要引起胎兒水腫和嚴重貧血,腦部鈣化不是其典型表現。
新生兒醫學18 / 34
【106-1 醫學(四) 第17題】先天性橫膈膜疝氣(congenital diaphragmatic hernia),最有可能併發的嚴重問題為何?
詳解
破題關鍵
先天性橫膈膜疝氣最嚴重的問題,就是腹腔器官跑到胸腔,把肺部擠到長不大。
選項拆解
-A:正確。腹腔器官跑到胸腔會壓迫發育中的肺臟,導致肺臟體積小、肺泡和血管數量不足,這是造成新生兒呼吸衰竭和死亡的主因。
新生兒醫學19 / 34
【106-1 醫學(四) 第18題】Hepatoportoenterostomy procedure 是治療膽道閉鎖(biliary atresia)病童的重要方法,下列何種情形,可預期手術後的預後 較差?
詳解
破題關鍵
這題在問膽道閉鎖手術後,哪種情況會讓預後變差。關鍵在於找出不利於膽汁引流的因素。
選項拆解
-A:手術後四週大便為深黃色。這表示膽汁有順利排到腸道,是手術成功的表現,預後會比較好。
新生兒醫學20 / 34
【106-1 醫學(四) 第19題】下列導致兒童患門脈高壓(portal hypertension)的疾病,何者預後最差?
詳解
破題關鍵
預後最差的門脈高壓原因,通常是那些會導致肝臟本身持續受損、最終走向肝衰竭的疾病。
選項拆解
-A:肝外門靜脈栓塞是一種肝臟前性(pre-hepatic)的門脈高壓。肝臟本身功能通常良好,主要問題是食道靜脈曲張出血。雖然需要長期追蹤和治療,但肝臟功能通常能維持,預後相對較好。
新生兒醫學21 / 34
【106-1 醫學(四) 第25題】正常新生兒,促甲狀腺素(thyroid-stimulating hormone, TSH)之敘述,下列何者錯誤?
詳解
破題關鍵
新生兒出生後,TSH會因為環境溫度變化而「爆衝」,其高峰值遠高於20 mIU/L。
選項拆解
社會與發展22 / 34
【106-1 醫學(四) 第4題】有一孕期28週出生的早產兒,出院後小寶寶之發展追蹤評估中,若有下列那一項發現,需轉介兒童發展聯合評估中心做進一步 處置?
詳解
破題關鍵
早產兒的發展評估必須使用「校正年齡」,也就是從實際年齡減去早產的週數,才能正確判斷是否有發展遲緩。
選項拆解
-A:錯在校正年齡。寶寶實際2個月大,校正年齡為2-3=-1個月。有意義的微笑通常在校正年齡2-3個月出現,此時還不到時間。
社會與發展23 / 34
【106-1 醫學(四) 第24題】一個孩子會跑、會正確的指認身體每個部位,依照正常的發展里程,此兒童最接近的年齡為何?
詳解
破題關鍵
這題考的是兒童發展里程碑,特別是兩歲左右的粗大動作和認知語言能力。
選項拆解
-A:正確。兩歲的兒童通常已經可以跑得很穩,並且能指認出大部分的身體部位。
-B:錯在年齡太小。一歲的兒童通常剛開始學走路,還不太會跑,也無法指認多個身體部位。
神經學24 / 34
【106-1 醫學(四) 第23題】有關單純型熱性痙攣(simple febrile seizure)的敘述,下列何者錯誤?
詳解
破題關鍵
單純型熱性痙攣通常是良性的,不需要長期預防性用藥。
選項拆解
-A:正確。單純型熱性痙攣的診斷前提就是發生在發展正常的幼兒,且沒有其他神經學問題。
-B:正確。熱性痙攣有家族遺傳傾向,若家族成員有熱性痙攣病史,則發生的機率會增加。
腎臟泌尿學25 / 34
【106-1 醫學(四) 第7題】兒童出現下列何種症狀時,不需要考慮有腎臟疾病的存在?
詳解
破題關鍵
尿道口疼痛通常是尿道或外生殖器局部問題,不像其他選項直接指向腎臟本身的功能或結構異常。
選項拆解
-A:長期小便有泡泡。這通常代表尿液中有過多的蛋白質(蛋白尿),是腎臟受損的常見表現,因此需要考慮腎臟疾病。
腎臟泌尿學26 / 34
【106-1 醫學(四) 第21題】下列引起兒童泌尿道感染(urinary tract infection)的細菌,何者最為罕見?
詳解
破題關鍵
找出兒童泌尿道感染最不常見的細菌種類。
選項拆解
-A:正確。鏈球菌屬(Streptococcus spp.)在兒童泌尿道感染中相對罕見,遠不如腸道菌。
-B:錯誤。大腸桿菌(Escherichia coli)是兒童泌尿道感染最常見的病原菌,佔了絕大多數。
腎臟泌尿學27 / 34
【106-1 醫學(四) 第22題】5歲男童因為腹瀉3天,有脫水現象被送到急診。抽血檢查發現,血清鈉離子:142 mEq/L,鉀離子:3.6 mEq/L,氯離子:115
mEq/L,肌酐酸(creatinine):1.1 mg/dL。動脈血液氣體分析為pH=7.12,PCO2=50 mmHg,HCO3-=14 mmol/L。下列何者
正確?
詳解
破題關鍵
這題要你根據抽血和動脈血氣分析結果,判斷病童的酸鹼失衡類型,特別注意陰離子間隙和呼吸的代償狀況。
選項拆解
血液腫瘤學28 / 34
【106-1 醫學(四) 第28題】有關兒童白血病的敘述,下列何者錯誤?
詳解
破題關鍵
這題的重點在於區分費城染色體(t(9;22))在不同白血病(CML vs. ALL)中對預後的影響。
選項拆解
-A:正確。CML在兒童中非常罕見,主要發生在成人。
-B:正確。無論成人或兒童,CML的特徵就是t(9;22)染色體易位,形成費城染色體。
血液腫瘤學29 / 34
【106-1 醫學(四) 第29題】有關兒童白血病治療的預後因子(prognostic factor),下列何者是較好的(favorable)預後因子?
詳解
破題關鍵
兒童白血病預後好不好,看染色體變異和年齡是重要指標,其中t(12;21)是好兆頭。
選項拆解
-A:正確。t(12;21)染色體易位(ETV6-RUNX1融合基因)是兒童急性淋巴性白血病(ALL)中最常見的基因變異,通常預後良好,對化療反應佳。
血液腫瘤學30 / 34
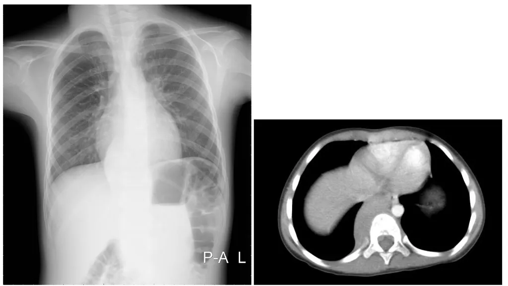
【106-1 醫學(四) 第76題】6歲女童,偶然發現胸部X光異常,胸部影像如圖,最可能的診斷為下列何者?

詳解
破題關鍵
胸部X光片顯示左側後縱膈腔有圓形腫塊陰影,而電腦斷層影像則清楚證實此腫塊位於脊椎旁,屬於後縱膈腔病灶,這在兒童中最常見的診斷就是神經性腫瘤。
選項拆解
-A:心臟腫瘤通常位於心臟內部或心包膜腔內,此影像中的腫塊明顯位於心臟外側且靠近脊椎,與心臟腫瘤的典型位置不符。
血液腫瘤學31 / 34
下列何者不屬於先天性血小板缺乏(congenital thrombocytopenia)的疾病?
詳解
破題關鍵
區分以血小板問題為核心的先天性疾病,與血小板低下只是多系統症候群一部分的疾病。
選項拆解
醫學遺傳學32 / 34
【106-1 醫學(四) 第5題】新生男嬰,呈現肌張力不足(hypotonia)、餵食困難,膚色較白且有雙側隱睪,手掌、腳掌都比較小,造成他異常最可能的原 因是:
詳解
破題關鍵
看到新生兒肌張力不足、餵食困難,加上隱睪、膚色較白、手腳小,就要想到普瑞德-威利症候群,而這通常是染色體微缺失造成的。
選項拆解
醫學遺傳學33 / 34
【106-1 醫學(四) 第32題】在染色體微小缺失(microdeletion)的疾病中,Sotos syndrome的敘述,下列何者錯誤?
詳解
破題關鍵
Sotos syndrome的基因位置和臨床表現是國考常考重點,它不是15q11缺失。
選項拆解
-A:錯在染色體位置。15q11缺失是Prader-Willi症候群或Angelman症候群的致病原因,Sotos syndrome的致病基因NSD1位於染色體5q35。
醫學遺傳學34 / 34
特定疾病或狀況,容易造成兒童阻塞性呼吸暫停(obstructive sleep apnea)或換氣不足(hypoventilation),導致睡眠障礙、 生長不良,甚至腦缺氧,下列何者最不可能?
詳解
破題關鍵
這題要找出最不可能造成兒童呼吸道阻塞或換氣不足的選項,所以要判斷哪個疾病本身不會直接導致上呼吸道狹窄或塌陷。
選項拆解