內分泌代謝1 / 38
【112-1 醫學(四) 第12題】關於抗利尿激素不適當分泌症候群(syndrome of inappropriate antidiuretic hormone secretion, SIADH),下列敘述何者最不適當?
詳解
破題關鍵
SIADH 的核心問題是水太多,導致血液被稀釋。
選項拆解
-A:正確。診斷 SIADH 必須先排除其他會造成低血鈉的疾病,例如脫水、腎臟病、心衰竭、肝硬化、內分泌問題或藥物使用,才能確定是 ADH 分泌不當。
內分泌代謝2 / 38
【112-1 醫學(四) 第13題】5歲的孩童主訴嚴重嘔吐及腹瀉4天,精神活力變差。腹瀉次數一天5~8次,已有兩天無法進食。心跳每分鐘 150下,血壓72/50 mmHg,皮膚彈性(skin turgor)不佳,口腔黏膜乾燥。尿量明顯減少,血液鈉離子濃度 175 mEq/L。下列敘述何者最不適當?
詳解
破題關鍵
嚴重高血鈉的矯正速度要慢,太快會出問題。
選項拆解
-A:錯在應儘快於24小時內矯正血鈉至正常值。嚴重高血鈉的矯正速度不能太快,否則會引起腦水腫等嚴重併發症。一般建議 24 小時內血鈉下降不超過 10-12 mEq/L。
內分泌代謝3 / 38
【112-1 醫學(四) 第24題】下列何種情況最不可能造成中樞性尿崩症(central diabetes insipidus)?
詳解
破題關鍵
中樞性尿崩症是因為腦部缺乏抗利尿激素,而高血鈣是影響腎臟對抗利尿激素的反應。
選項拆解
-A:蘭格罕細胞組織球增生症(Langerhans cell histiocytosis)是一種罕見疾病,可能侵犯下視丘-腦下垂體區域,導致ADH分泌不足,進而造成中樞性尿崩症。
內分泌代謝4 / 38
【112-1 醫學(四) 第25題】先天性甲狀腺功能低下症(congenital hypothyroidism)若區分為甲狀腺發育不全(dysgenesis)及合成異常 (dyshormonogenesis)兩大類病因,下列那一選項的致病病因與其他三者最不相同?
詳解
破題關鍵
甲狀腺發育不全是指甲狀腺「長錯地方」或「長不好」,而合成異常是指甲狀腺「製造荷爾蒙的過程出問題」。
選項拆解
內分泌代謝5 / 38
【112-1 醫學(四) 第39題】關於全身性硬化症(systemic sclerosis)的敘述,下列何者錯誤?
詳解
破題關鍵
Heliotrope sign是皮肌炎的特徵,不是全身性硬化症的特徵。
選項拆解
-A:患者常伴有Raynaud phenomenon:正確。雷諾氏現象是全身性硬化症非常常見的早期表現。
內分泌代謝6 / 38
【112-1 醫學(四) 第42題】承上題,下列何者為此疾病最常見的相關致病因子?
詳解
破題關鍵
雖然題目缺少「承上題」的內容,但從選項和正解推斷,此題應是指一個非常常見、且「肥胖」是其最主要相關致病因子的疾病,例如第二型糖尿病。
選項拆解
-A:錯在藥物。藥物雖然可能引起某些疾病(如藥物性肝炎、藥物性腎損傷),但通常不是「最常見」的相關致病因子,且其影響範圍不如肥胖廣泛。
內分泌代謝7 / 38
【112-1 醫學(四) 第58題】下列有關威爾森氏病(Wilson disease)的敘述,何者正確?
詳解
破題關鍵
威爾森氏病 (Wilson disease) 是一種銅代謝異常的遺傳疾病,導致銅在體內堆積,主要影響肝臟和腦部,並在角膜形成特徵性的 Kayser-Fleischer rings。
選項拆解
心臟血管學8 / 38
【112-1 醫學(四) 第6題】關於先天性心臟病盛行率的描述,下列何者最不適當?
詳解
破題關鍵
許多先天性心臟病在新生兒時期可能沒有明顯症狀,甚至到兒童或成人時期才被診斷出來。
選項拆解
-A:正確。早產兒和死產胎兒由於發育不完全或存在其他先天異常,先天性心臟病的發生率確實較一般健康新生兒高。
心臟血管學9 / 38
【112-1 醫學(四) 第7題】12歲女童因為學校健康檢查發現心電圖異常如圖,下列何種先天性心臟病最不可能?

詳解
破題關鍵
這張心電圖(ECG)顯示了右心室肥大(Right Ventricular Hypertrophy, RVH)的典型表現。解題核心是判斷哪種先天性心臟病最不可能導致右心室肥大。
選項拆解
心臟血管學10 / 38
【112-1 醫學(四) 第8題】有關法洛氏四重症(tetralogy of Fallot)病童發生缺氧性發作(blue spell or hypoxic spell)時,下列處置何者最不適當?
詳解
破題關鍵
缺氧性發作是因肺血流減少導致的,需要增加肺血流和減少全身氧耗,支氣管擴張劑對此無直接幫助。
選項拆解
-A:錯在「給與O2 supplement」。給予氧氣補充可以提高血氧飽和度,緩解缺氧,是正確的處置。
感染症11 / 38
【112-1 醫學(四) 第9題】10歲兒童血清抗B型肝炎表面抗體陽性(anti-HBs positive),下列何項血清檢查最能區別此抗體是疫苗或是曾經感染B型肝炎病毒(HBV)所產生的?
詳解
破題關鍵
區分B型肝炎疫苗接種與自然感染的關鍵在於核心抗體 (anti-HBc) 的有無。
選項拆解
感染症12 / 38
【112-1 醫學(四) 第17題】氣喘急性發作時的肺功能檢查數值,下列何者最不可能降低?
詳解
破題關鍵
氣喘是呼吸道阻塞,影響的是氣流,不是肺臟大小。
選項拆解
-A:錯在尖峰呼氣流速值 (peak expiratory flow, PEF) 是衡量最大呼氣速度的指標,氣喘急性發作時,呼吸道阻塞會導致 PEF 顯著降低。
感染症13 / 38
【112-1 醫學(四) 第23題】1歲大男孩,咳嗽流鼻水2天,今晚咳嗽變嚴重,體溫38.2℃且聲音沙啞,出現咳嗽如狗吠聲及費力呼吸,下列何者為最可能的診斷?
詳解
破題關鍵
一歲小孩出現像狗叫的咳嗽聲和聲音沙啞,是哮吼最典型的表現。
選項拆解
-A:氣喘(asthma)的典型症狀是呼氣性喘鳴(wheezing),通常沒有狗吠聲咳嗽和聲音沙啞。
感染症14 / 38
【112-1 醫學(四) 第26題】10歲男童,過去無病史且完整接種常規疫苗。近3日微燒,臉部及軀幹處出現10餘顆水泡及紅疹,常因搔癢抓破水泡,疹子型態如圖示,其班上同學也有類似疹子。最可能的診斷為何?

詳解
破題關鍵
這題的關鍵在於辨識水痘(varicella)的典型皮疹型態:「多形性皮疹」(pleomorphic rash),也就是在同一時間點可以看到不同發展階段的病灶(紅斑、丘疹、水泡、結痂),加上病史中提到「水泡」、「搔癢」以及「同學也有類似疹子」的傳染性線索。
選項拆解
感染症15 / 38
【112-1 醫學(四) 第27題】關於兒童常見細菌性感染症,下列「疾病-常見細菌」的組合何者最不適當?
詳解
破題關鍵
泌尿道感染最常見的細菌是大腸桿菌,而不是沙門氏菌。
選項拆解
-A:皮膚膿瘍-金黃色葡萄球菌(Staphylococcus aureus):金黃色葡萄球菌是皮膚和軟組織感染(包括膿瘍、蜂窩性組織炎)最常見的細菌之一。此組合適當。
感染症16 / 38
【112-1 醫學(四) 第32題】關於兒童沙門氏桿菌腸胃炎,下列敘述何者最不適當?
詳解
破題關鍵
沙門氏桿菌腸胃炎的潛伏期通常較短,平均約12-36小時,而非72小時。
選項拆解
-A:錯在「平均為72小時」。沙門氏桿菌腸胃炎的潛伏期通常較短,一般為6至72小時,平均約12至36小時。2-5天或平均72小時是偏長的敘述。
感染症17 / 38
【112-1 醫學(四) 第52題】關於庫賈氏病(Creutzfeldt-Jakob disease, CJD)致病原之敘述,下列何者正確?
詳解
破題關鍵
庫賈氏病 (Creutzfeldt-Jakob disease, CJD) 的致病原是普利昂蛋白 (prion),它具有特殊的抵抗力,且變異型 (variant CJD, vCJD) 與狂牛症 (BSE) 相關,好發於年輕族群。
選項拆解
新生兒醫學18 / 38
【112-1 醫學(四) 第3題】下列何種情況與large anterior fontanel最不相關?
詳解
破題關鍵
前囟門過大通常與骨骼發育異常或顱內壓增高有關,而非單純的缺氧事件。
選項拆解
-A:錯在「hypothyroidism」。甲狀腺功能低下 (hypothyroidism) 會導致骨骼發育遲緩,包括顱骨閉合延遲,因此可能造成前囟門過大。
新生兒醫學19 / 38
【112-1 醫學(四) 第4題】孕期32週、出生體重1650公克的早產兒,4天大時發現腹脹、腸音減少、肚臍附近膚色變青紫。此病患最不可能的診斷為下列何者?
詳解
破題關鍵
早產兒出現腹脹、腸音減少、膚色變青紫等症狀,最常見且危險的診斷是壞死性腸炎,而先天性巨結腸症在早產兒中較不常見且症狀表現不同。
選項拆解
新生兒醫學20 / 38
【112-1 醫學(四) 第5題】下列關於新生兒黃疸(neonatal jaundice)及其相關疾病之敘述,何者最不適當?
詳解
破題關鍵
出生週數超過41週並非嚴重新生兒高膽紅素血症的危險因子,反而是早產兒的風險較高。
選項拆解
-A:正確。新生兒黃疸的進展通常遵循「頭尾法則」,即從臉部開始變黃,隨著膽紅素濃度升高,黃疸會向下延伸到軀幹和四肢。
新生兒醫學21 / 38
【112-1 醫學(四) 第11題】下列嬰兒膽汁滯留症(cholestasis)中,何者屬於肝外(extrahepatic)膽汁滯留?
詳解
破題關鍵
膽汁滯留要先分清楚是肝臟裡面出問題,還是肝臟外面出問題。
選項拆解
-A:正確。膽道閉鎖 (biliary atresia) 是指肝臟外的膽道系統發育不良或阻塞,導致膽汁無法順利排出,屬於肝外膽汁滯留。
新生兒醫學22 / 38
【112-1 醫學(四) 第22題】正常的呼吸速率範圍,早產兒應為每分鐘幾次?
詳解
破題關鍵
不同年齡層的呼吸速率有很大的差異,年紀越小呼吸越快。
選項拆解
-A:錯在 15~20次是成人或青少年較為正常的呼吸速率範圍。
-B:錯在 25~30次是學齡兒童或較大嬰兒的呼吸速率範圍,但對於早產兒來說偏低。
社會與發展23 / 38
【112-1 醫學(四) 第1題】根據兒童健康手冊的內容,下列關於兒童口腔保健的注意事項,何者最不適當?
詳解
破題關鍵
兒童塗氟的頻率與時機有明確的建議,並非每年一次。
選項拆解
-A:正確。喝完母奶後清潔口腔有助於去除奶垢,減少細菌滋生,預防齲齒。
-B:錯在「每一年進行一次牙齒塗氟」。根據台灣兒童健康手冊及牙醫學會建議,兒童塗氟應每半年一次,而非每年一次,以達到最佳預防效果。
社會與發展24 / 38
【112-1 醫學(四) 第2題】下列關於9個月的幼兒發展敘述,何者最可能為發展遲緩的警訊,須轉介做進一步評估?
詳解
破題關鍵
9個月大的嬰兒通常已經能獨立坐穩。
選項拆解
-A:錯在「還不會自己坐穩數分鐘」。一般來說,嬰兒在6-8個月大時就能獨立坐穩。9個月大還無法坐穩,確實是發展遲緩的警訊,需要進一步評估。
社會與發展25 / 38
【112-1 醫學(四) 第79題】年輕夫妻懷孕20週,胎兒超音波診斷為單純的左側唇裂,羊水染色體與基因晶片檢查無異常發現,然而夫妻要求終止懷孕。下列敘述何者最不恰當?
詳解
破題關鍵
在醫療決策中,特別是關於終止懷孕的議題,父母的自主權 (autonomy) 和隱私權 (privacy) 是核心原則。要求召開家族討論會並以「共識」決定,侵犯了父母的自主權和醫療隱私。
選項拆解
社會與發展26 / 38
【112-1 醫學(四) 第80題】B醫師剛經歷一段痛苦的離婚過程。A醫師最近發現B醫師的行為怪異,疑似有藥物濫用的情形,在談話中獲得證實。B醫師要求A醫師幫忙保守秘密,稱這只是過渡時間罷了。A醫師勸B醫師應儘快尋求幫助、接受治療,但B醫師表示不需要。有一天,A和B醫師的主管察覺有異,特別來問A醫師:「B醫師怎麼了?」依照醫師倫理守則,有關A醫師之回應,下列何者最適當?
詳解
破題關鍵
醫師倫理守則中,病患安全是最高原則。當同事的行為(如藥物濫用)可能影響其專業判斷並危及病患時,保密義務不再是絕對的,應優先考慮病患安全並採取適當行動,包括告知主管。
選項拆解
神經學27 / 38
【112-1 醫學(四) 第29題】關於妥瑞氏症(Tourette disorder)或抽動症(tic disorder),下列敘述何者最不適當?
詳解
破題關鍵
抽動症的動作或聲音是「不自主」的,提醒或壓抑反而會讓病人更焦慮,甚至造成反彈。
選項拆解
-A:發病年齡(age of onset)須小於18歲:這是妥瑞氏症的診斷標準之一。此敘述適當。
神經學28 / 38
【112-1 醫學(四) 第30題】有關隱形脊柱裂(occult spinal bifida或occult spinal dysraphism),下列敘述何者最不適當?
詳解
破題關鍵
皮膚上的異常標記(如毛髮、血管瘤、凹陷)是隱性脊柱裂的警訊,即使目前無症狀,也需要影像檢查來排除潛在的脊髓問題。
選項拆解
-A:通常是指椎體(vertebral body)中線的缺損,但未合併脊髓或腦膜膨出:這是隱形脊柱裂的正確定義。此敘述適當。
神經學29 / 38
【112-1 醫學(四) 第47題】8歲男童由父母帶來求診,主訴經常出現短暫性的恍神,一天可以發作上百次,每次只持續約10秒。病人智力正常,腦部電腦斷層和磁振造影無異常發現,腦波出現規律之全面性3Hz棘慢波複合波(spike–and–slow– wave),下列何種藥物最適合使用?
詳解
破題關鍵
兒童短暫性恍神、一天發作上百次、腦波出現規律全面性3Hz棘慢波複合波,這些都是典型「兒童失神性癲癇 (Childhood Absence Epilepsy, CAE)」的表現。
選項拆解
神經學30 / 38
【112-1 醫學(四) 第68題】Gerstmann syndrome是因為左側大腦受損產生的症候群,症狀之一是對講出手指的名稱有困難,下列何者為此症狀的名稱?
詳解
破題關鍵
Gerstmann syndrome 的核心症狀之一是無法辨識或命名自己的手指,這就是手指失辨識 (finger agnosia)。
選項拆解
-A:錯在手指失語(finger aphasia)。失語症 (aphasia) 是語言理解或表達困難,與手指的辨識無直接關聯。
神經學31 / 38
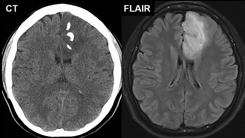
【112-1 醫學(四) 第74題】28歲女性,最近偶爾會有突發性的暈厥,腦部CT及MRI影像如附圖所示,下列敘述何者最不恰當?

詳解
破題關鍵
本題的關鍵在於辨識影像中病灶的鈣化(calcification)特徵,以及其在腦實質內(intra-axial)的浸潤性(infiltrative)生長模式,來判斷哪種腫瘤的可能性最低。
選項拆解
-A:此腫瘤有鈣化現象。正確。CT影像顯示病灶內有明顯的高密度鈣化點。
神經學32 / 38
【112-1 醫學(四) 第78題】一般癲癇發作時的處理原則,何者最優先?
詳解
破題關鍵
癲癇發作時的首要原則是確保病人安全,避免受傷,並維持呼吸道暢通,而讓病人側躺是防止吸入性肺炎 (aspiration pneumonia) 的重要措施。
選項拆解
腎臟泌尿學33 / 38
【112-1 醫學(四) 第14題】下列何種兒童腎臟疾病在腎臟移植後,腎臟疾病復發的機率最低?
詳解
破題關鍵
腎臟移植後疾病會不會復發,要看疾病的根本原因是什麼。
選項拆解
-A:正確。先天性腎病症候群 (congenital nephrotic syndrome) 通常是基因缺陷導致腎絲球結構異常,移植一個健康的腎臟後,疾病復發的機率非常低。
血液腫瘤學34 / 38
【112-1 醫學(四) 第19題】關於兒童缺鐵性貧血(iron-deficiency anemia),下列敘述何者最不適當?
詳解
破題關鍵
缺鐵性貧血的關鍵是身體的鐵儲存量不足。
選項拆解
-A:正確。延遲斷臍 (delayed clamping of the umbilical cord) 1至3分鐘,可以讓更多胎盤血回流到嬰兒體內,增加嬰兒的鐵儲存量,從而降低嬰兒缺鐵性貧血的發生率。
血液腫瘤學35 / 38
【112-1 醫學(四) 第20題】有關化學治療藥物與其毒性的組合,下列何組較不相關?
詳解
破題關鍵
化療藥物的毒性是國考常考的重點,要記住每個藥物最特殊的副作用。
選項拆解
-A:正確。doxorubicin (小紅莓) 最著名的副作用是心臟毒性 (cardiotoxicity),可能導致心肌病變。
醫學遺傳學36 / 38
【112-1 醫學(四) 第16題】有關Bruton agammaglobulinemia,下列敘述何者最不適當?
詳解
破題關鍵
Bruton agammaglobulinemia 是典型的性聯遺傳疾病。
選項拆解
-A:正確。Bruton agammaglobulinemia 是 B-lymphocyte 發育異常導致的先天性免疫缺失疾病,患者體內 B 細胞數量極少或缺乏,無法產生足夠的抗體。
醫學遺傳學37 / 38
【112-1 醫學(四) 第18題】下列何種疾病通常不屬於性聯遺傳模式?
詳解
破題關鍵
性聯遺傳疾病的遺傳模式是跟性染色體有關。
選項拆解
-A:錯在 A 型血友病 (hemophilia A) 是一種 X 染色體性聯隱性遺傳疾病,主要影響男性。
醫學遺傳學38 / 38
【112-1 醫學(四) 第33題】有關粒線體DNA(mtDNA)與其所造成的疾病,下列敘述何者最不適當?
詳解
破題關鍵
粒線體疾病雖然是母系遺傳,但有些疾病的表現有性別差異,例如LHON是男性發病率高於女性。
選項拆解
-A:mtDNA突變的機率高於細胞核DNA:正確。mtDNA缺乏有效的修復機制,且位於活性氧自由基產生處,因此突變率較高。