【108-1 醫學(四) 第19題】關於女童性早熟(Precocious puberty),下列那⼀項的致病機轉與其他最不相同?
詳解
破題關鍵
區分性早熟是中樞性 (GnRH-dependent) 還是周邊性 (GnRH-independent)。
選項拆解
登入查看完整詳解與互動作答
共 39 題(登入後可互動作答與查看詳解)
【108-1 醫學(四) 第19題】關於女童性早熟(Precocious puberty),下列那⼀項的致病機轉與其他最不相同?
詳解
破題關鍵
區分性早熟是中樞性 (GnRH-dependent) 還是周邊性 (GnRH-independent)。
選項拆解
登入查看完整詳解與互動作答
【108-1 醫學(四) 第20題】先天性腎上腺增⽣(Congenital adrenal hyperplasia)為⼀群因酵素缺乏⽽導致⽪質醇製造不⾜的疾病,下列何種型別盛⾏率最⾼?
詳解
破題關鍵
先天性腎上腺增生 (CAH) 最常見的類型是21-hydroxylase deficiency,其中又以非典型 (nonclassic) 最為盛行。
選項拆解
登入查看完整詳解與互動作答
【108-1 醫學(四) 第42題】關於⽪膚⿊⾊素過度沉著(hypermelanosis)的敘述,下列何者錯誤?
詳解
破題關鍵
汗斑會導致皮膚出現色素脫失或色素沉著,因此膚色可能變深也可能變淺。
選項拆解
登入查看完整詳解與互動作答
【108-1 醫學(四) 第22題】1歲6個⽉的男孩因為連續發燒6天⽽來就診,下列那⼀個臨床表徵最不像川崎⽒症(Kawasaki disease)的臨床表徵?
詳解
破題關鍵
川崎氏症的口腔黏膜變化是瀰漫性充血和紅腫,而非水泡或潰瘍。
選項拆解
登入查看完整詳解與互動作答
【108-1 醫學(四) 第27題】2天⼤的⾜⽉新⽣兒,接受例⾏性的⾎氧篩檢時發現雙側下肢的⾎氧飽和度是90%,右⼿⾎氧飽和度是 98%, 最有可能是下列那⼀種先天性⼼臟病?
詳解
破題關鍵
下肢血氧低於上肢,代表動脈導管有分流,且下肢血流供應有問題。
選項拆解
登入查看完整詳解與互動作答
【108-1 醫學(四) 第28題】學齡前的兒童常會被聽到無意義(Innocent)、良性(Benign)、或稱作功能性(Functional)的⼼雜⾳ (Heart murmur)。下列那⼀種⼼雜⾳的特徵不太可能是這類型的⼼雜⾳?
詳解
破題關鍵
良性心雜音通常是輕微且會變化的,不會太強。
選項拆解
登入查看完整詳解與互動作答
【108-1 醫學(四) 第29題】在下列那⼀種狀況之下給與⼀個患有先天性⼼臟病的新⽣兒使⽤前列腺素E1(Prostaglandin E1)維持動脈導管(Ductus arteriosus)的開放對病情最沒有幫助?
詳解
破題關鍵
前列腺素E1 (PGE1) 的作用是維持動脈導管開放,所以只有當動脈導管開放對生命維持很重要時才有用。
選項拆解
登入查看完整詳解與互動作答
【108-1 醫學(四) 第76題】15歲學⽣不幸摔⾞疑似造成上腹部器官挫傷,抱怨上腹部疼痛、⼼跳加快,若欲進⾏腹部影像評估是否有肝臟⾎管傷害出⾎,下列何者最為優先?
詳解
破題關鍵
評估腹部器官挫傷和出血,特別是肝臟血管傷害,最快速且全面的影像檢查是電腦斷層掃描。
選項拆解
登入查看完整詳解與互動作答

詳解
破題關鍵
這題的解題核心在於辨識圖片中的典型X光影像特徵,並結合題幹描述的臨床症狀,判斷疾病診斷及相關的病原學知識。圖片中白色箭頭所指的氣管次聲門區(subglottic region)呈現典型的「尖塔徵象」,這是哮吼(Croup)的經典影像學表現。
選項拆解
登入查看完整詳解與互動作答
【108-1 醫學(四) 第3題】下列何者是造成1歲健康兒童罹患急性細⽀氣管炎(Acute bronchiolitis)的最常⾒病原?
詳解
破題關鍵
一歲以下嬰兒急性細支氣管炎,最常見的兇手就是呼吸道融合病毒。
選項拆解
登入查看完整詳解與互動作答
【108-1 醫學(四) 第5題】下列何種肝炎病毒不會經由周產期(Perinatal)傳染?
詳解
破題關鍵
A型肝炎病毒主要透過糞口途徑傳播,不像其他肝炎病毒會經由血液或體液傳染。
選項拆解
登入查看完整詳解與互動作答
【108-1 醫學(四) 第6題】滿周歲的幼兒不適合接種下列何種疫苗?
詳解
破題關鍵
輪狀病毒疫苗的接種有年齡限制,超過一定月齡就不建議接種。
選項拆解
登入查看完整詳解與互動作答
【108-1 醫學(四) 第21題】有關類過敏性紫斑症(Henoch-Schönlein Purpura)的敘述,下列何者最為適切?
詳解
破題關鍵
類過敏性紫斑症 (HSP) 是一種全身性血管炎,除了皮膚紫斑,還需特別留意消化道、關節和腎臟的侵犯。
選項拆解
登入查看完整詳解與互動作答
【108-1 醫學(四) 第40題】有關Toxic shock syndrome的敘述,下列何者錯誤?
詳解
破題關鍵
Toxic shock syndrome (TSS) 主要與金黃色葡萄球菌或鏈球菌有關,且其毒素不是exfoliative toxin。
選項拆解
登入查看完整詳解與互動作答
【108-1 醫學(四) 第45題】承上題,可能與下列何種病毒相關?
詳解
破題關鍵
卡波西氏肉瘤 (Kaposi's sarcoma) 的主要致病原就是HHV-8。
選項拆解
登入查看完整詳解與互動作答
【108-1 醫學(四) 第7題】剛出⽣的34週⼤的嬰兒,嘴⾓⼀直流⼝⽔並冒出泡泡,值班醫師無法順利將⿐胃管放入。出⽣12⼩時後KUB 發現無腸氣,下列那個診斷最有可能?
詳解
破題關鍵
新生兒流口水、冒泡泡、無法放鼻胃管,加上 KUB 沒腸氣,指向食道閉鎖且沒有下段食道氣管瘻管。
選項拆解
登入查看完整詳解與互動作答
【108-1 醫學(四) 第8題】⼀個G1P1 / 39週出⽣體重3,200公克的新⽣兒,出⽣後哺餵全⺟乳。第19個⼩時⼤時檢測總膽紅素值為12 mg/dL、直接型膽紅素值為0.22 mg/dL。⺟親為O型Rh陽性、⽗親B型Rh陽性⾎型。⺟親之前未曾接受過任何 ⾎品輸注。⽗親有⼄型海洋性貧⾎、⺟親則無海洋性貧⾎。下列何者為最可能之診斷?
詳解
破題關鍵
新生兒黃疸在出生 24 小時內出現,且媽媽是 O 型血,寶寶是 B 型血,高度懷疑 ABO 血型不合。
選項拆解
登入查看完整詳解與互動作答
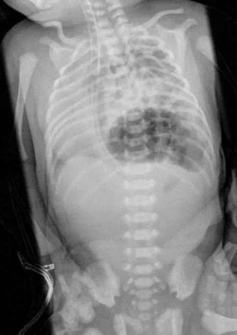
詳解
破題關鍵
新生兒出生後即有呼吸窘迫、心音移位,且胸部X光片顯示胸腔內有腸道氣體影,這些都是典型的先天性橫膈膜疝氣表現。
選項拆解
登入查看完整詳解與互動作答
【108-1 醫學(四) 第10題】比較先天性巨結腸症(Hirschsprung disease, HD)和功能性便秘(Functional constipation, FC)各種症狀出現之機率,下列敘述何者錯誤?
詳解
破題關鍵
先天性巨結腸症的特點是腸道神經節缺損,導致腸道無法正常蠕動,因此不會有大便失禁。
選項拆解
登入查看完整詳解與互動作答
【108-1 醫學(四) 第13題】有關副食品添加的原則,下列何者最不適當?
詳解
破題關鍵
目前副食品添加的建議是,即使有過敏體質的嬰兒,也不建議延後添加副食品,反而應在適當時機引入多樣化食物。
選項拆解
登入查看完整詳解與互動作答
【108-1 醫學(四) 第14題】關於純⺟乳哺育之嬰幼兒的衛教指導,下列敘述何者最正確?
詳解
破題關鍵
純母乳哺育的嬰兒在出生後 6 個月內,通常不需要額外補充氟,因為母乳中的氟含量足夠,且過量補充可能導致氟斑齒。
選項拆解
登入查看完整詳解與互動作答
【108-1 醫學(四) 第17題】⼀個正常孩童可以不扶東⻄單腳站立10秒、能照樣式畫圓圈、能表達「你的」「我的」,其發展年齡最接近下列何者範圍?
詳解
破題關鍵
綜合評估孩童的粗大動作、精細動作和語言發展,找出最符合的年齡區間。
選項拆解
登入查看完整詳解與互動作答
【108-1 醫學(四) 第23題】2歲的⼩朋友,昨晚飯後跑動玩耍時突然持續咳嗽,今天到急診,發現呼吸聲⾳變得明顯,聽診有單側喘息 ⾳(Wheezing),給與短效型⽀氣管擴張劑(Bronchodilator)後,喘息⾳沒有改變,下列何者為最可能之診斷?
詳解
破題關鍵
幼兒在玩耍時突然咳嗽,出現單側喘息音,且支氣管擴張劑無效,強烈提示氣道異物阻塞。
選項拆解
登入查看完整詳解與互動作答
【108-1 醫學(四) 第24題】有關預防嬰幼兒過敏的觀念,下列敘述何者最不恰當?
詳解
破題關鍵
目前國際指引不建議孕婦或哺乳母親常規性避免高過敏食物來預防嬰幼兒過敏,除非嬰兒已有明確過敏反應。
選項拆解
登入查看完整詳解與互動作答
【108-1 醫學(四) 第25題】有關漏⽃胸(Funnel chest)的描述,下列何者錯誤?
詳解
破題關鍵
漏斗胸是男孩比較常見的胸廓畸形,而且通常會影響心肺功能。
選項拆解
登入查看完整詳解與互動作答
【108-1 醫學(四) 第67題】在尼古丁的戒癮治療中,下列那種治療⽅式成效最好?
詳解
破題關鍵
戒菸成功率最高的策略是多管齊下,藥物搭配行為支持。
選項拆解
登入查看完整詳解與互動作答
【108-1 醫學(四) 第79題】「耶和華⾒證⼈」(Jehovah's Witnesses)教派信徒在醫療上堅持不接受輸⾎。近來基於尊重病⼈⾃主的倫理原則,法律與倫理逐漸接受耶和華⾒證⼈拒絕輸⾎的意願,應該予以尊重;下列那⼀種情形,醫師應該尊重⼀個表明為耶和華⾒證⼈的信徒拒絕輸⾎的意願?
詳解
破題關鍵
尊重病人自主權的核心原則是:成年、有行為能力、且意願明確。
選項拆解
登入查看完整詳解與互動作答
【108-1 醫學(四) 第80題】2000公克早產兒在加護病房住院近兩個⽉,她因為雙側腎臟發育不全⽽合併慢性腎衰竭,⼜因為肺發育不全合併肺炎⼀直倚賴呼吸器治療,於3週前需開始⻑期腹膜透析以維持電解質及體液等平衡。很不幸地,這兩天醫師發現嬰兒發燒、透析液轉為混濁,並且流量⼤為減少,初步檢查診斷為黴菌性腹膜炎,除了⽤藥外, 醫師建議⼿術更換腹膜透析管。這時候,不滿20歲的年輕⽗⺟親要求醫師:「她實在好可憐,不要救了,讓她⾛吧,請幫我們移除呼吸器,讓我們回家吧!」。下列何種做法最合適?
詳解
破題關鍵
當醫療已無法改善病況,且病人(或其代理人)希望終止積極治療時,應轉向緩和醫療,並在合法程序下移除維生設備。
選項拆解
登入查看完整詳解與互動作答
【108-1 醫學(四) 第2題】5Hz向上收縮的動作。頭部核磁共振造影檢查最可能的發現是:
詳解
破題關鍵
帕拉托氏顫抖 (Palatal tremor) 伴隨眼球震顫,提示可能存在齒狀核-紅核-下橄欖核迴路 (Guillain-Mollaret triangle) 的病變,導致下橄欖核肥大。
選項拆解
登入查看完整詳解與互動作答
【108-1 醫學(四) 第18題】下列關於熱性痙攣之敘述,何者正確?
詳解
破題關鍵
嬰兒期中樞神經感染的症狀不典型,熱性痙攣可能是唯一表現,因此需特別警惕。
選項拆解
登入查看完整詳解與互動作答
【108-1 醫學(四) 第50題】⼀位智⼒正常伴有家族性癲癇病史的14歲女孩,常在起床後被家⻑發現不⾃主肢體抽搐,有時甚⾄會跌倒在地上,下列有關診斷及治療的敘述何者錯誤?
詳解
破題關鍵
起床後肢體抽搐、有時跌倒,且智力正常、有家族史,這些線索指向青少年肌陣攣性癲癇 (Juvenile Myoclonic Epilepsy, JME)。
選項拆解
登入查看完整詳解與互動作答
【108-1 醫學(四) 第69題】⼀位61歲男性⻑期使⽤diazepam每天50~60毫克達15年,若立即停⽌服⽤後,下列何者為最正確的描述?
詳解
破題關鍵
長期使用苯二氮平類藥物 (Benzodiazepine) 後突然停藥,會引起嚴重的戒斷症狀,其中抽搐和譫妄是危險的表現。
選項拆解
登入查看完整詳解與互動作答
【108-1 醫學(四) 第15題】10歲女童學校尿液篩檢發現有⾎尿。主訴在上呼吸道感染後⼀兩天就會有⾁眼可見的⾎尿。詢問病史發現她的舅舅於國三時,因末期腎臟病開始接受透析治療。病童尿液常規檢查顯⽰潛⾎反應(Occult blood):強陽性(3+);蛋⽩質(Protein):100 mg/dL;⽩⾎球(WBC) 3-5/HPF;紅⾎球(RBC) 100~ 150/HPF。下列何者為最可能之診斷?
詳解
破題關鍵
上呼吸道感染後反覆血尿,加上家族中有男性早發性末期腎臟病史,是診斷Alport症候群的強烈線索。
選項拆解
登入查看完整詳解與互動作答
【108-1 醫學(四) 第16題】3歲的女童因全⾝⽔腫,體重增加2公⽄就診。體表⾯積Body surface area (BSA)為0.5m2,實驗檢查發現蛋⽩尿4+,24⼩時蛋⽩尿為3.3gm,單次尿液檢查:尿蛋⽩(Urine protein) 250 mg/dL,尿肌酸酐(Urine creatinine)50 mg/dL,⾎中⽩蛋⽩為1.5 gm/dL,膽固醇:420 mg/dL,三酸⽢油脂:248 mg/dL,下列相關敘述何者錯誤?
詳解
破題關鍵
兒童腎病症候群的高血脂是次發性的,主要治療是針對腎病症候群本身,而非立即使用降血脂藥物。
選項拆解
登入查看完整詳解與互動作答
【108-1 醫學(四) 第33題】15歲男⽣,半夜睡覺突然左側睪丸劇痛,痛到臉⾊蒼⽩、冒冷汗,立即送到醫院急診。在缺乏超⾳波等影像檢查之下,下列何種檢查或治療較符合⼀般醫療現⾏常規?
詳解
破題關鍵
急性睪丸劇痛,最怕是睪丸扭轉,必須緊急手術搶救。
選項拆解
登入查看完整詳解與互動作答
【108-1 醫學(四) 第41題】青年型⽪肌炎(juvenile dermatomyositis)的敘述,下列何者錯誤?
詳解
破題關鍵
青年型皮肌炎是一種自體免疫疾病,主要影響肌肉和皮膚,與鼻咽癌的關聯性較低。
選項拆解
登入查看完整詳解與互動作答
【108-1 醫學(四) 第11題】下列何種腸胃道息⾁(Polyps)發⽣⼤腸癌(Colon cancer)的風險最⾼?
詳解
破題關鍵
家族性結直腸息肉症的特點是腸道內長滿數百甚至數千顆腺瘤性息肉,幾乎百分之百會惡變為大腸癌。
選項拆解
登入查看完整詳解與互動作答

詳解
破題關鍵
這題的解題核心在於理解體染色體隱性遺傳的機率計算,特別是當已知手足沒有發病時,其帶因的條件機率。圖片中的家族譜系顯示父母皆未發病,但生下了一位患有苯酮尿症(Phenylketonuria, PKU)的女嬰,這明確指出父母雙方都是帶因者。
選項拆解
登入查看完整詳解與互動作答

詳解
破題關鍵
這張家系圖顯示了典型的體染色體隱性遺傳模式,特別是圖中出現了近親結婚(consanguineous marriage),這是判斷體染色體隱性遺傳的重要線索。
選項拆解
登入查看完整詳解與互動作答