內分泌代謝1 / 40
【109-1 醫學(四) 第19題】生長激素注射用於促進身高的效果,於下列何種疾病有最多的實證醫學證據支持,且同時符合美國FDA及臺灣健保給付標準?
詳解
破題關鍵
生長激素在透納氏症的應用有明確的實證醫學證據支持,且符合多數國家健保給付標準。
選項拆解
-A:正確。透納氏症是生長激素治療有最多實證醫學證據支持,且符合美國FDA及台灣健保給付標準的疾病之一。
內分泌代謝2 / 40
【109-1 醫學(四) 第20題】兒童佝僂症(Rickets)常因體內鈣磷代謝異常所導致,下列那一項致病機轉所造成的佝僂症與其他最不相同?
詳解
破題關鍵
低血磷佝僂症主要是磷代謝異常引起,而其他選項的佝僂症主要與維生素D或鈣代謝異常有關。
選項拆解
-A:錯在致病機轉。慢性腎臟病引起的佝僂症,主要是因為腎臟無法活化維生素D,導致鈣磷代謝異常。
內分泌代謝3 / 40
【109-1 醫學(四) 第56題】下列分泌何種荷爾蒙的腦下垂體腺瘤(hormone-secreting pituitary adenoma),可以考慮服用多巴胺促效劑 (dopamine agonist)治療?
詳解
破題關鍵
多巴胺對腦下垂體荷爾蒙分泌的抑制作用。
選項拆解
-A:錯在。促甲狀腺激素 (TSH) 瘤 (TSH-secreting adenoma) 很少見,治療通常是手術,多巴胺促效劑不是首選。
心臟血管學4 / 40
【109-1 醫學(四) 第21題】下列有關川崎氏症(Kawasaki disease)的臨床表現敘述,何者最為正確?
詳解
破題關鍵
川崎氏症的臨床表現有其特定的時間順序。
選項拆解
-A:錯在天數。川崎氏症的診斷標準之一是持續高燒5天以上,即使未治療,通常不會在3天後退燒。
-B:錯在描述。川崎氏症的淋巴腺腫大多為單側,且直徑通常大於1.5公分,而非雙側且小於0.5mm。
心臟血管學5 / 40
【109-1 醫學(四) 第27題】下列何種心音比較不會出現在心房中膈缺損(Atrial septal defect, ASD)的病患?
詳解
破題關鍵
心房中膈缺損 (ASD) 的主要血流分流發生在心房層次,不會直接影響房室瓣關閉的聲音。
選項拆解
心臟血管學6 / 40
【109-1 醫學(四) 第28題】關於膜邊型的心室中膈缺損(Perimembranous type ventricular septal defect),下列敘述何者錯誤?
詳解
破題關鍵
膜邊型心室中膈缺損 (Perimembranous VSD) 是最常見的類型,且有機會自行癒合。
選項拆解
-A:正確。膜邊型心室中膈缺損 (Perimembranous VSD) 是心室中膈缺損中最常見的類型,無論在西方或東方人群中都是如此。
感染症7 / 40
【109-1 醫學(四) 第1題】1歲女童高燒3天並有輕微咳嗽,懸壅垂與舌顎交界處(Uvulopalatoglossal junction)有紅色小斑或出血點 (Nagayama spots),第4天開始出現紅疹後不再發燒,同時出現輕微腹瀉,此女童最可能是被下列何種病原體感染?
詳解
破題關鍵
高燒多天後退燒才出疹,且有Nagayama spots,是玫瑰疹的典型表現。
選項拆解
-A:麻疹病毒(Measles)錯在症狀表現。麻疹的Koplik spots是口腔頰黏膜的白斑,且出疹時通常伴隨高燒,不會是退燒後才出疹。
感染症8 / 40
【109-1 醫學(四) 第3題】3歲女童發燒2天、喉嚨痛、流口水、胃口不佳,口腔前部無異常、後咽壁有潰瘍,且合併有手掌腳掌皮疹。最可能的診斷是:
詳解
破題關鍵
發燒、喉嚨痛、後咽壁潰瘍,加上手掌腳掌皮疹,是手足口症的經典組合。
選項拆解
-A:疱疹性齒齦口腔炎(Herpetic gingivostomatitis)錯在皮疹位置和口腔潰瘍分布。此病主要由單純疱疹病毒引起,口腔潰瘍主要發生在牙齦和口腔前部,且通常不會合併手掌腳掌皮疹。
感染症9 / 40
【109-1 醫學(四) 第5題】下列何種疫苗為口服劑型?
詳解
破題關鍵
記住常見疫苗的給藥途徑,輪狀病毒疫苗是少數口服的兒童疫苗。
選項拆解
-A:A型肝炎疫苗(Hepatitis A vaccine)錯在劑型。A型肝炎疫苗是肌肉注射劑型。
-B:正確。輪狀病毒疫苗是目前兒童常規接種疫苗中,唯一採用口服劑型的疫苗。
感染症10 / 40
【109-1 醫學(四) 第6題】有關哮吼(Croup)的描述,下列何者最正確?
詳解
破題關鍵
哮吼的病理機轉是聲門下水腫,導致上呼吸道阻塞的典型症狀。
選項拆解
-A:哮吼是以細菌感染為主。錯。哮吼主要由病毒感染引起,細菌感染引起的喉炎通常是會厭炎 (Epiglottitis),症狀更為嚴重且進展快速。
感染症11 / 40
【109-1 醫學(四) 第13題】下列何種疾病較不會導致Hydrops of the gallbladder?
詳解
破題關鍵
膽囊水腫 (Hydrops of the gallbladder) 通常是膽汁流出受阻或發炎引起,而囊狀纖維化主要影響膽汁組成,較少直接造成急性水腫。
選項拆解
-A:錯在敘述。川崎氏症可能引起全身性血管炎,包括膽囊壁水腫,進而導致膽囊水腫。
感染症12 / 40
【109-1 醫學(四) 第22題】診斷4歲孩童氣喘,下列何者為最主要的診斷方式?
詳解
破題關鍵
幼兒氣喘診斷主要靠症狀和病史,因為他們無法配合肺功能檢查。
選項拆解
-A:正確。對於4歲孩童,詳細的病史詢問是診斷氣喘最主要且最可靠的方式,因為他們無法配合客觀的肺功能檢查。
感染症13 / 40
【109-1 醫學(四) 第23題】10歲孩童參加喜宴,忽然覺得呼吸困難、眼睛四周及口唇血管水腫、同時全身癢及吞嚥困難,立即轉送至急診室,下列何者是最適合的立即性處置?
詳解
破題關鍵
這是典型的全身型過敏性反應 (Anaphylaxis),需要立即給予腎上腺素。
選項拆解
-A:正確。腎上腺素 (Epinephrine) 是治療全身型過敏性反應 (Anaphylaxis) 的第一線、最重要且最緊急的藥物,能迅速緩解多系統症狀。
感染症14 / 40
【109-1 醫學(四) 第24題】有關預防嬰幼兒過敏的觀念,下列敘述何者最不恰當?
詳解
破題關鍵
益生菌預防過敏的效果仍有爭議,目前國際指引不建議常規使用。
選項拆解
-A:正確。目前觀念認為孕婦飲食不需刻意避免高過敏食物,因為沒有足夠證據顯示這樣能有效預防嬰兒過敏。
-B:正確。國際指引建議在嬰兒4-6個月大時開始添加副食品,包括潛在過敏原食物,有助於建立免疫耐受性。
新生兒醫學15 / 40
【109-1 醫學(四) 第7題】21天大的新生兒發高燒,被醫師懷疑為細菌性腦膜炎,下列那一個症狀最不常見?
詳解
破題關鍵
新生兒的腦膜炎症狀不典型,成人常見的頸部僵硬在新生兒很少見。
選項拆解
-A:黃疸。正確觀念:新生兒腦膜炎可能伴隨黃疸,這是常見的非特異性症狀之一。
-B:躁動哭鬧。正確觀念:新生兒腦膜炎可能表現為躁動不安或持續哭鬧。
新生兒醫學16 / 40
【109-1 醫學(四) 第8題】一位妊娠週數40週、出生體重3,500公克的新生兒,其出生之後的體重變化,下列何者最不正常?
詳解
破題關鍵
新生兒出生後體重下降有其生理範圍,超過這個範圍就要警覺。
選項拆解
-A:滿24小時體重為3,400公克。下降100公克 (約2.8%),在正常範圍內。
-B:滿48小時體重是3,400公克。下降100公克 (約2.8%),在正常範圍內。
新生兒醫學17 / 40
【109-1 醫學(四) 第9題】一個新生兒出生後第5分鐘時呈現心跳每分鐘75次、呼吸緩慢不規則、全身發紺(Cyanosis)、上肢體有些微彎曲但下肢體軟趴、對抽痰刺激僅有皺眉反應。根據你的評估Apgar score是幾分?
詳解
破題關鍵
逐一評估Apgar score的五個項目,並正確給分。
選項拆解
根據題目描述:
-心跳每分鐘75次:Pulse <100 → 1分。
-呼吸緩慢不規則:Respiration 緩慢不規則 → 1分。
-全身發紺(Cyanosis):Appearance 全身發紺 → 0分。
新生兒醫學18 / 40
【109-1 醫學(四) 第10題】新生兒出生後即發現肌肉張力不佳無哭聲,經保溫、擦乾、清除口鼻分泌物與重新擺位後,心跳仍每分鐘40 次且無自發性呼吸。接下來何種處置最為恰當?
詳解
破題關鍵
新生兒復甦的黃金原則是「呼吸優先」,心跳過慢或無呼吸,第一步是正壓換氣。
選項拆解
-A:給與自由流量氧氣。錯。自由流量氧氣適用於有自發性呼吸但發紺的新生兒。此新生兒無自發性呼吸且心跳過慢,需要更積極的呼吸支持。
新生兒醫學19 / 40
【109-1 醫學(四) 第15題】在兒童便秘的病史或身體評估時發現紅旗(Red-flags)徵象時,應積極診斷有無器質性病變。下列現象何者不屬於紅旗徵象?
詳解
破題關鍵
直腸有糞便通常是功能性便秘的表現,而紅旗徵象指的是暗示有潛在器質性疾病的警訊。
選項拆解
-A:錯在敘述。出生後48小時未排出胎便,是先天性巨結腸症的重要紅旗徵象。
-B:錯在敘述。糞便有潛血反應,可能表示腸道有器質性病變,是紅旗徵象。
新生兒醫學20 / 40
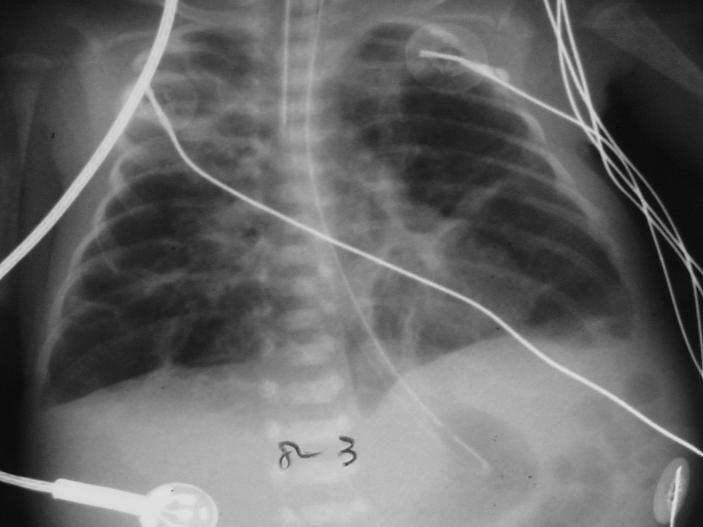
【109-1 醫學(四) 第74題】
下圖為一孩童之胸部X光素片,最可能的診斷為:

詳解
破題關鍵
這張胸部X光片顯示孩童雙側肺部有瀰漫性、不均勻的病變,包含粗糙的網狀陰影和囊狀透亮區,這些都是肺支氣管發育不良的典型影像特徵。
選項拆解
-A:錯在肺隔離症(pulmonary sequestration)通常表現為肺部一個界線清楚的實質性腫塊,而非瀰漫性的肺部病變。
社會與發展21 / 40
【109-1 醫學(四) 第14題】下列有關如何培養嬰幼兒及兒童良好飲食習慣的敘述,何者最為適當?
詳解
破題關鍵
培養良好飲食習慣是循序漸進的過程,要符合兒童發展階段。
選項拆解
-A:錯在「黃金訓練期」的說法。2歲半到3歲是兒童自主性發展的階段,應鼓勵探索和選擇,而非嚴格規定。飲食習慣的培養是持續的過程。
-B:正確。3歲後兒童的認知和行為控制能力提升,可以理解並遵守簡單的餐桌禮儀。
社會與發展22 / 40
【109-1 醫學(四) 第33題】下列何種情形不符合立即通報兒少保護小組之條件?
詳解
破題關鍵
兒虐通報的重點在於「不尋常的傷害模式」或「與照顧者說法不符」。
選項拆解
-A:錯在「不符合」。超過3次急診外傷且檢查結果與受傷機制不符,這是典型的兒虐警訊,表示傷害可能不是意外,應立即通報。
社會與發展23 / 40
【109-1 醫學(四) 第36題】有關白色糠疹(pityriasis alba)的敘述,下列何者錯誤?
詳解
破題關鍵
白色糠疹是兒童常見的良性皮膚病,通常會自行痊癒。
選項拆解
-A:正確。白色糠疹的典型表現就是白色脫屑斑。
-B:正確。臉部是白色糠疹最常見的發生部位。
-C:正確。白色糠疹主要好發於兒童和青少年。
社會與發展24 / 40
【109-1 醫學(四) 第80題】老王是退休的單身男性,78歲,有心臟病、高血壓、糖尿病,只有間斷服藥,在一家工廠擔任倉庫管理員, 最近一年半來走路容易跌倒,因此住院檢查,發現罹患了小腦萎縮症,醫師也告之此病症的預後不佳,因此曾拜託老闆,如果有什麼重病突發時,不要再急救。他並且留下書面的不予急救(DNR)意願書。某日晚上,在大門值班時突然昏迷,緊急送往醫院急救,發現有左前腦及中腦動脈阻塞之大片梗塞,又病人的實驗室檢查發現有慢性腎功能衰竭,宜進行透析治療。病人在急診處呼吸逐漸不規則,血中二氧化碳分壓升高。 如果不施行氣管插管,可能危及生命,則下列的處理何者最適切?
詳解
破題關鍵
病人有明確簽署不予急救(DNR)意願書,醫療行為應尊重病人自主權。
選項拆解
-A:錯在「醫師以救命為第一職責」不能凌駕於病人已合法表達的自主意願。病人已簽署DNR,應尊重其選擇。
-B:錯在「醫師以救命為第一職責」不能凌駕於病人自主權,且警衛或社工人員無法代表病人簽署同意書。
神經學25 / 40
【109-1 醫學(四) 第18題】關於熱性痙攣之發生原因及處置,下列何項敘述較不適當?
詳解
破題關鍵
單純熱性痙攣通常是良性的,不需要常規進行侵入性或昂貴的檢查。
選項拆解
-A:錯在敘述。嬰兒玫瑰疹 (人類疱疹病毒第六型感染) 引起的發燒是熱性痙攣的常見原因之一。
-B:錯在敘述。若病患痙攣後精神活力不佳,必須排除中樞神經感染,這是重要的鑑別診斷。
神經學26 / 40
【109-1 醫學(四) 第47題】因腦中風造成閉鎖症候群(locked-in syndrome),下列何者為最常見的原因?
詳解
破題關鍵
閉鎖症候群的病灶位置在腦幹腹側。
選項拆解
-A:錯在。內頸動脈阻塞 (internal carotid artery occlusion) 通常會導致大腦半球的梗塞,可能引起偏癱、失語等,但通常不會造成閉鎖症候群。
神經學27 / 40
【109-1 醫學(四) 第54題】關於肌強直營養不良(myotonic dystrophy),下列敘述何者錯誤?
詳解
破題關鍵
認識肌強直營養不良的典型臨床表現,特別是無力分佈。
選項拆解
-A:正確。肌強直營養不良 (myotonic dystrophy) 是一種自體顯性遺傳疾病,最常見的是第一型 (DM1),由 DMPK 基因的 CTG 重複序列擴增引起。
神經學28 / 40
【109-1 醫學(四) 第60題】關於不寧腿症候群(restless leg syndrome),下列何者錯誤?
詳解
破題關鍵
了解不寧腿症候群的誘發因素和治療原則。
選項拆解
-A:正確。不寧腿症候群 (restless leg syndrome) 可能在懷孕期間出現或加重,尤其是在懷孕後期。
神經學29 / 40
【109-1 醫學(四) 第75題】一位22歲女性,因左頂葉出血,接受腦部血管攝影檢查如圖,診斷是?

詳解
破題關鍵
這題的關鍵在於從腦部血管攝影(angiography)影像中,辨識出動脈血直接流入靜脈的「動靜脈分流(arteriovenous shunt)」特徵,特別是異常的血管團(nidus)和提早顯影的引流靜脈(early venous drainage)。
選項拆解
腎臟泌尿學30 / 40
【109-1 醫學(四) 第16題】10歲女童突發四肢無力至急診。血壓100/60 mmHg,血液檢查:肌酸酐(Creatinine)0.6 mg/dL,鉀離子為2.2 mmol/L,鈉離子為138 mmol/L,氯離子為96 mmol/L,鎂離子為1.3 mg/dL(正常值為1.6~2.4 mg/dL),血中 pH值為7.56,重碳酸根離子(HCO3-)為30 mmol/L。尿鈣與尿肌酸酐比值(Urine Ca/Cr)為0.1,女童最可能的診斷為:
詳解
破題關鍵
低血鉀、代謝性鹼中毒、低血鎂、尿鈣與尿肌酸酐比值低,這些是吉特曼症候群的典型表現。
選項拆解
-A:錯在酸鹼狀態。第一型腎小管酸血症會導致代謝性酸中毒,但此病患為代謝性鹼中毒 (pH 7.56, HCO3- 30)。
腎臟泌尿學31 / 40
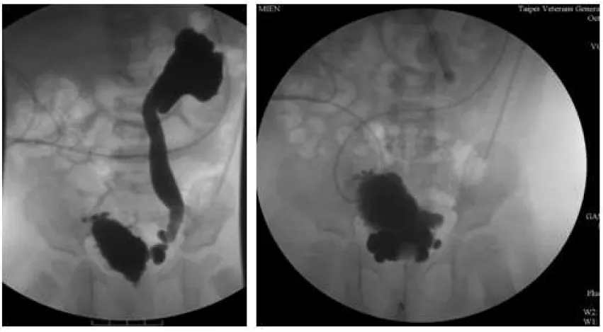
【109-1 醫學(四) 第17題】6個月大男嬰因泌尿道感染合併敗血症,之後安排VCUG(Voiding cystourethrogram)檢查結果如附圖。下列敘述何者錯誤?

詳解
破題關鍵
這張VCUG影像顯示嬰兒有嚴重的膀胱輸尿管逆流(VUR),造影劑從膀胱逆流至腎臟,且輸尿管和腎盂腎盞有明顯擴張。對於嬰幼兒的高級別VUR,雖然有腎臟受損風險,但通常不會「立即」進行手術矯正,而是會先考慮藥物治療及觀察,並排除其他潛在病因。因此,「立即接受手術矯正治療」的說法是錯誤的。
血液腫瘤學32 / 40
【109-1 醫學(四) 第25題】有關急性骨髓性白血病(AML)的描述,下列何者最正確?
詳解
破題關鍵
唐氏症 (Down syndrome) 孩童在特定年齡層有較高的急性骨髓性白血病 (AML) 風險。
選項拆解
-A:錯在整體而言,兒童急性淋巴性白血病 (ALL) 的五年存活率比急性骨髓性白血病 (AML) 佳。
血液腫瘤學33 / 40
【109-1 醫學(四) 第41題】下列何種自體抗體為Sjögren's syndrome 特異性標示抗體?
詳解
破題關鍵
認識自體免疫疾病的「特異性」抗體。
選項拆解
-A:正確。抗SSB/La抗體 (anti-SSB/La antibody) 是Sjögren's syndrome的特異性標示抗體。
血液腫瘤學34 / 40
【109-1 醫學(四) 第42題】下列何者為慢性紅斑性狼瘡(chronic cutaneous lupus erythematosus)的特徵?
詳解
破題關鍵
區分不同類型紅斑性狼瘡的特徵和預後。
選項拆解
-A:錯在「最常見」。圓盤型紅斑性狼瘡 (DLE) 才是最常見的慢性皮膚型紅斑性狼瘡,狼瘡性脂肪炎 (lupus panniculitis) 較不常見。
醫學遺傳學35 / 40
【109-1 醫學(四) 第11題】下列何種疾病或原因所導致的黃疸,以直接型高膽紅素血症(Conjugated hyperbilirubinemia)為主?
詳解
破題關鍵
直接型高膽紅素血症通常與肝臟結合膽紅素後排出受阻有關。
選項拆解
-A:ABO血型不合溶血(ABO incompatibility hemolysis)。錯。溶血會導致紅血球大量破壞,釋放出大量膽紅素,肝臟來不及處理,因此以間接型高膽紅素血症為主。
醫學遺傳學36 / 40
【109-1 醫學(四) 第12題】下列何種腹瀉(Diarrhea)的機制是屬於Secretory type diarrhea?
詳解
破題關鍵
分泌型腹瀉的重點是腸道主動分泌水和電解質,導致大量水樣便。
選項拆解
-A:正確。先天性氯化物性腹瀉是典型的分泌型腹瀉,因為腸道無法吸收氯離子,導致水和電解質持續分泌到腸道。
醫學遺傳學37 / 40
【109-1 醫學(四) 第29題】活產嬰兒約1~2%有染色體異常。下列那一個臨床情境最不需要做染色體檢查?
詳解
破題關鍵
染色體異常通常與發育遲緩、多重畸形等先天性問題相關,而周產期窒息是後天性腦損傷。
選項拆解
醫學遺傳學38 / 40
【109-1 醫學(四) 第30題】大多數先天性代謝異常疾病(Inborn errors of metabolism)的遺傳模式(Mode of inheritance)為Autosomal recessive,下列何種代謝異常除外?
詳解
破題關鍵
大部分先天性代謝異常是體染色體隱性遺傳,但鳥胺酸轉胺酶缺乏症 (OTC deficiency) 是X染色體性聯遺傳。
選項拆解
-A:錯在苯酮尿症 (Phenylketonuria, PKU) 是體染色體隱性遺傳 (Autosomal recessive inheritance)。
醫學遺傳學39 / 40
【109-1 醫學(四) 第31題】下列家族譜系最有可能為何種遺傳模式?

詳解
破題關鍵
這張家族譜系圖的解題核心在於觀察疾病的傳遞方向:只有母親會將疾病傳給所有子女,而父親不會傳給任何子女。圖片中,第一代受影響的母親將疾病傳給了所有第二代子女,而第二代受影響的男性卻沒有將疾病傳給第三代子女,這就是粒線體遺傳的典型特徵。
選項拆解
醫學遺傳學40 / 40
【109-1 醫學(四) 第32題】3歲男童因過度肥胖而就診,出生時的基本新生兒篩檢無異常,亦無新生兒低張力的過去病史。家族史無特殊肥胖體質。身體診察發現手腳皆有軸後多指(趾)症(post-axial polydactyly)、外生殖器短小發育不良、眼底呈現色素病變,此男童最有可能患有下列何種疾病?
詳解
破題關鍵
結合肥胖、多指症、生殖器發育不良和視網膜病變,指向 Bardet-Biedl syndrome。
選項拆解