內分泌代謝1 / 47
【107-1 醫學(四) 第9題】12歲女童,因為身材矮小而就診,父親身高165公分,母親身高154公分。最近一年長3公分。身體診查顯示身高130公分(低於第3百分位),體重30公斤(第10百分位),無第二性徵發育,其他器官亦未發現異常。當時骨齡檢查為9歲,若要確切診斷,下列那一項刺激試驗,對診斷最無參考價值?
詳解
破題關鍵
診斷生長激素缺乏需要可靠的刺激試驗,運動的刺激效果不穩定,參考價值最低。
選項拆解
-A:錯在運動刺激生長激素分泌的效果不穩定,個體差異大,因此對確切診斷生長激素缺乏的參考價值最低。
內分泌代謝2 / 47
【107-1 醫學(四) 第13題】某些特定先天性代謝異常疾病治療原則是飲食控制,以特殊配方奶粉而言,下列何種疾病是最無效的?
詳解
破題關鍵
特殊配方奶粉主要用於限制特定代謝物或補充缺乏的營養素,而G6PD缺乏症的治療主要是避免氧化劑,而非飲食成分的限制或補充。
選項拆解
-A:半乳糖血症的治療是限制乳糖和半乳糖,特殊配方奶粉非常有效。
-B:典型苯酮尿症的治療是限制苯丙胺酸,特殊配方奶粉非常有效。
內分泌代謝3 / 47
【107-1 醫學(四) 第16題】6週大男嬰,從1週前吐奶的情況,突然越吐越厲害,最近幾乎每一餐喝完奶半小時內很快就吐光,吐出的內容物為沒有黃綠色,體重也沒有增加反而減少,住院後若抽血檢驗動脈血氣體分析(arterial blood gas analysis) ,最有可能會呈現下列那種結果?
詳解
破題關鍵
嬰兒持續大量嘔吐且內容物無膽汁,最常見是幽門狹窄,會導致胃酸大量流失,進而引起代謝性鹼中毒。
選項拆解
-A:正確。幽門狹窄導致胃酸大量流失,造成氫離子和氯離子減少,引起代謝性鹼中毒。
-B:錯在代謝性酸中毒。胃酸流失是鹼中毒,不是酸中毒。
內分泌代謝4 / 47
【107-1 醫學(四) 第19題】一位兒童因腹瀉求診,他排的糞便為稀水便,糞便檢驗並無白血球(leukocytes),臨床上呈現因禁食而改善症狀,下列那一種檢查結果最為吻合?
詳解
破題關鍵
稀水便、無白血球、禁食改善,這些都指向滲透性腹瀉 (osmotic diarrhea)。
選項拆解
-A:錯在「糞便檢查中無還原物質」。滲透性腹瀉通常是因為碳水化合物吸收不良,糞便中會有未吸收的糖類,因此會有「還原物質」。
內分泌代謝5 / 47
【107-1 醫學(四) 第24題】足月出生六個月大之男嬰,經身體診查發現四肢短小,頭圍正常,前囟門大,眼瞼水腫,皮膚乾燥且黃疸, 頭髮粗糙,下列何者為最正確之診斷?
詳解
破題關鍵
綜合多個症狀,特別是生長遲緩、發育遲緩、皮膚乾燥、水腫、黃疸等,指向甲狀腺功能不足。
選項拆解
-A:正確。題目描述的症狀,如四肢短小、前囟門大、眼瞼水腫、皮膚乾燥、黃疸、頭髮粗糙,都高度符合先天性甲狀腺低能症的典型表現。
內分泌代謝6 / 47
【107-1 醫學(四) 第25題】有關牛奶蛋白過敏,下列敘述何者錯誤?
詳解
破題關鍵
牛奶蛋白過敏通常在嬰幼兒時期,接觸牛奶蛋白後不久就會發生,多數在1歲前診斷。
選項拆解
-A:錯在「通常在一歲之後出現」。牛奶蛋白過敏通常在嬰幼兒時期,接觸牛奶蛋白後不久就會發生,多數在1歲前診斷。
內分泌代謝7 / 47
【107-1 醫學(四) 第37題】下列何者與癩皮病(pellagra)無關?
詳解
破題關鍵
癩皮病是維生素B3缺乏引起的,與維生素C無關。
選項拆解
-A:缺乏維生素B6 (pyridoxine) 會導致周邊神經病變、貧血、脂漏性皮膚炎等,但不是癩皮病。
心臟血管學8 / 47
【107-1 醫學(四) 第30題】雖然兒科病童少有心臟腫瘤(cardiac tumors) 的發生,但若出現時,常造成心律不整及心衰竭的症狀,下列何種心臟腫瘤最為常見?
詳解
破題關鍵
兒童最常見的心臟腫瘤是橫紋肌瘤,而且常與結節性硬化症有關。
選項拆解
-A:纖維瘤 (fibroma) 是兒童心臟第二常見的良性腫瘤,通常是單一且較大,可能引起心律不整或阻塞症狀。
-B:正確。橫紋肌瘤 (rhabdomyoma) 是兒童最常見的心臟腫瘤,尤其與結節性硬化症相關。
心臟血管學9 / 47
【107-1 醫學(四) 第31題】下列疾病,何者不是引起嬰幼兒發生鬱血性心衰竭(congestive heart failure)的原因?
詳解
破題關鍵
心內膜炎主要引起感染和瓣膜破壞,通常不會直接導致嬰幼兒鬱血性心衰竭。
選項拆解
-A:左心到右心分流 (left-to-right cardiac shunts),例如心室中膈缺損 (VSD)、開放性動脈導管 (PDA),會導致肺部血流過多,增加心臟負荷,進而引起鬱血性心衰竭。
感染症10 / 47
【107-1 醫學(四) 第1題】足月兒出生時,母親有發燒症狀且羊膜已在出生前兩天破裂,嬰兒於出生後8小時開始明顯的呼吸窘迫,血壓下降,胸部X光呈現雙側全面的浸潤,並有少許肋膜腔積水,最可能的診斷為下列何者?
詳解
破題關鍵
母親發燒、羊膜早期破裂,加上新生兒出生後數小時內出現呼吸窘迫和敗血症狀,是B群鏈球菌感染的典型表現。
選項拆解
-A:大腸桿菌 (Escherichia coli) 也是新生兒敗血症的常見病原體,但 GBS 在有母親發燒和羊膜早期破裂的背景下,更符合此案例的典型描述。
感染症11 / 47
【107-1 醫學(四) 第2題】幼稚園中班的小恩,前年和去年皆施打過流行性感冒疫苗,半個月前被診斷得了流行性感冒,而服用了克流感(oseltamivir)治療。有關小恩後續的流感防範措施,下列何者是最佳的選擇?
詳解
破題關鍵
兒童流感疫苗接種劑數的判斷,關鍵在於「過去是否接種過足夠劑量」。
選項拆解
-A:正確。小恩前年和去年都接種過流感疫苗,表示他已經接種過至少兩劑。因此,今年只需施打一劑流感疫苗即可。
感染症12 / 47
【107-1 醫學(四) 第3題】7歲男童發燒、咳嗽3天,肺部聽診兩側有細囉音(fine crackles),經使用cefotaxime 150 mg/kg/day q6h治療3天之後,發燒持續存在,但該男童活力良好,無呼吸窘迫,胸部X光片呈對稱性間質性浸潤。下列那一項處置最適當?
詳解
破題關鍵
典型細菌性肺炎用藥無效,且胸部X光顯示間質性浸潤,應考慮非典型肺炎。
選項拆解
-A:改用cefotaxime 300 mg/kg/day q6h (提高劑量)。由於cefotaxime對非典型病原體無效,即使提高劑量也無法改善病情。
感染症13 / 47
【107-1 醫學(四) 第14題】沙門氏菌(salmonella)會引起兒童的細菌性腸胃炎,關於沙門氏菌的敘述,下列何者錯誤?
詳解
破題關鍵
對於一般健康的兒童,非傷寒沙門氏菌腸胃炎通常是自限性的,不建議常規使用抗生素。
選項拆解
-A:免疫不全的病童比一般兒童更容易發生菌血症。這是正確的,免疫功能低下者對感染的抵抗力較弱,沙門氏菌更容易播散到血液中。
感染症14 / 47
【107-1 醫學(四) 第15題】新生兒出生時身高體重及頭圍正常,7天大時發燒,鞏膜呈現黃色,肝脾腫大,聽力檢查異常,最有可能是下列何種感染?
詳解
破題關鍵
新生兒出生時正常,但出生後不久出現發燒、黃疸、肝脾腫大,加上聽力異常,這些多系統症狀高度指向先天性巨細胞病毒感染。
選項拆解
感染症15 / 47
【107-1 醫學(四) 第17題】關於C型肝炎(hepatitis C),下列何者錯誤?
詳解
破題關鍵
C型肝炎目前沒有預防性疫苗,但有非常有效的治療藥物。
選項拆解
-A:正確。C型肝炎的垂直感染率約5-10%,B型肝炎則高達10-90%(依母親e抗原狀態),所以C肝垂直感染率較低。
感染症16 / 47
【107-1 醫學(四) 第27題】過敏性鼻炎(allergic rhinitis)的敘述,下列何者錯誤?
詳解
破題關鍵
局部鼻用去充血劑 (intranasal decongestant) 不適合長期使用,會造成藥物性鼻炎。
選項拆解
-A:正確。過敏性鼻炎是學童最常見的慢性過敏性疾病之一,盛行率很高。
-B:正確。過敏性鼻炎與氣喘有很強的共病關係,過敏性鼻炎患者罹患氣喘的風險確實顯著增加。
感染症17 / 47
【107-1 醫學(四) 第34題】關於扁平苔癬 (lichen planus)敘述,下列何者錯誤?
詳解
破題關鍵
扁平苔癬的病灶通常會引起搔癢,並非無症狀。
選項拆解
-A:正確。扁平苔癬的病灶常呈現偏紫色的扁平丘疹或斑塊。
-B:錯在「多無臨床症狀」。扁平苔癬最常見的症狀就是搔癢,且程度通常不輕,很少是無症狀的。
-C:正確。病灶通常呈現多角型,這是其典型特徵之一。
感染症18 / 47
【107-1 醫學(四) 第39題】52歲女性,年輕時愛穿高跟鞋,於半年前發現右足掌前側,出現一疼痛角化結節如圖所示,最可能的診斷為何?

詳解
破題關鍵
這題的解題核心在於辨識圖片中病灶特有的「黑點」,這些是蹠病毒疣(plantar wart)的典型特徵,也就是栓塞的微血管。
選項拆解
-A:錯在胼胝(callus)通常是廣泛性的皮膚增厚,表面較平滑,且不會出現圖片中特有的黑點。雖然可能因壓力而疼痛,但其病灶型態與圖片不符。
感染症19 / 47
【107-1 醫學(四) 第58題】下列何者不是食物引起的肉毒桿菌毒素中毒(food-born botulism)的症狀?
詳解
破題關鍵
肉毒桿菌毒素會阻斷乙醯膽鹼釋放,導致肌肉鬆弛麻痺,而不是肌肉痙攣或強直。
選項拆解
-A:正確。瞳孔放大 (pupil dilatation) 是肉毒桿菌毒素影響自主神經的表現之一。
感染症20 / 47
【107-1 醫學(四) 第60題】承上題,所述病症,最廣為採用的第一線治療方式是:
新生兒醫學21 / 47
【107-1 醫學(四) 第12題】1個月大的新生兒,睡眠時正常心跳的範圍為:
詳解
破題關鍵
新生兒的心跳比成人快,且睡眠時會比清醒時慢。
選項拆解
-A:正確。100~140次/分是1個月大新生兒睡眠時的正常心跳範圍。
-B:160~180次/分對新生兒來說通常是清醒或輕微活動時的較快心跳,或輕微心搏過速。
新生兒醫學22 / 47
【107-1 醫學(四) 第76題】根據所附影像檢查圖,下列何者為最不可能的診斷?

詳解
破題關鍵
這張嬰兒胸部X光片顯示右側胸腔完全變白,且心臟和氣管都往右邊(病灶側)偏移。這是判斷病因的關鍵。
選項拆解
-A:右肺發育不全(right lung agenesis)會導致右肺體積缺失,造成右側胸腔塌陷,心臟和氣管會被拉向右側。這與影像表現一致。
新生兒醫學23 / 47
【107-1 醫學(四) 第77題】嬰兒建立輸液管道有下列幾種方式,何者最不適用?
詳解
破題關鍵
嬰兒輸液管道的選擇,要考慮血管大小、感染風險和緊急性。
選項拆解
-A:頭皮靜脈是嬰兒常用的週邊靜脈輸液點,因為血管相對明顯且固定方便。
-B:骨內注射是緊急情況下快速建立輸液管道的有效方法,特別是在週邊靜脈不易取得時。
新生兒醫學24 / 47
【107-1 醫學(四) 第80題】35歲的王太太在懷孕第7個月時,經超音波檢查,發現胎兒是無腦兒,因為無腦兒沒有存活的機會,王家夫妻表明要放棄治療。王太太在第38週時產下一無腦男嬰,出生還有心跳呼吸,下列何者是最佳處置?
詳解
破題關鍵
無腦兒沒有存活機會,在尊重家屬意願的前提下,可以選擇不給予積極治療。
選項拆解
-A:正確。無腦兒是無法存活的,尊重父母放棄治療的意願,不給予維生治療是符合醫療倫理和常規的最佳處置。
社會與發展25 / 47
【107-1 醫學(四) 第4題】母親懷疑2歲女兒誤食異物而將她帶至急診室,母親主訴女童過去一直很好,剛才與哥哥在遊戲室玩耍,哥哥發現女童疑似吞下某物體,並開始咳嗽及哭泣,檢查時發現女童無發紺,呼吸略快,呼吸音正常,下列何項為最適當的處置?
詳解
破題關鍵
兒童疑似吞食異物,即使症狀輕微,也必須先排除氣道阻塞或食道異物,X光是初步且重要的檢查。
選項拆解
-A:衛教後返家觀察。錯誤。兒童誤食異物有潛在的嚴重併發症風險 (如氣道阻塞、食道穿孔、電池灼傷等),即使症狀輕微,也應進行檢查以排除危險。
社會與發展26 / 47
【107-1 醫學(四) 第7題】懷孕週數28週的早產兒,出生後五個月時至門診健康檢查。下列何種評估及建議最為正確?
詳解
破題關鍵
早產兒的發展評估,必須使用校正年齡。
選項拆解
-A:正確。根據校正年齡的計算,此早產兒的發展應以2個月的年齡來評估。
-B:如果還不會抓握東西,表示細動作發展遲緩。5個月大的嬰兒通常會抓握,但校正年齡2個月的嬰兒還不會主動抓握,所以這句話在校正年齡下是錯誤的判斷。
社會與發展27 / 47
【107-1 醫學(四) 第66題】「以小人之心度君子之腹」是那種的防衛機轉?
詳解
破題關鍵
「以小人之心度君子之腹」的意思是把自己的不良想法或動機,強加到別人身上。
選項拆解
-A:錯在隔離是將情感與想法分開,與將自身想法歸咎於他人不同。
-B:錯在否定是拒絕承認現實,與將自身想法歸咎於他人不同。
社會與發展28 / 47
【107-1 醫學(四) 第72題】一位 36 歲男性患者被送至急診室就醫,當時血壓 182/126 mmHg、心跳每分鐘 112次、發燒、流鼻涕、腹痛、瞳孔放大、全身肌肉抽痛。此患者最可能之臨床診斷為何?
詳解
破題關鍵
血壓升高、心跳加快、發燒、流鼻涕、腹痛、瞳孔放大、肌肉抽痛,這些都是典型的類流感症狀和自主神經亢奮,符合鴉片類藥物戒斷的表現。
選項拆解
-A:錯在海洛因中毒會導致瞳孔縮小、呼吸抑制、嗜睡,與題目描述的瞳孔放大、血壓心跳升高、發燒等症狀相反。
社會與發展29 / 47
【107-1 醫學(四) 第74題】關於說話(speech)和語言(language)使用的正常發展階段,下列何者正確?
詳解
破題關鍵
兒童語言發展在3歲時,詞彙量和句子結構已有顯著進步,且發音清晰度也大幅提升,大部分內容家人都能理解。
選項拆解
-A:錯在1歲的嬰兒已經能以姿勢(如指物、揮手再見)來溝通表達。
-B:錯在2歲左右的兒童詞彙量通常已超過50個字,且能說出兩個字的短語。
社會與發展30 / 47
【107-1 醫學(四) 第79題】A君在林教授指導下,花了半年時間寫了一篇有關兒童尿路感染的論文,第一次投稿到某雜誌後被退稿,理由是收集尿液與診斷尿路感染的標準有誤,林教授要A君依據審稿者的指示標準,造假數據改寫論文後投到另一知名雜誌,下列何種做法最好?
詳解
破題關鍵
學術研究最重要的是誠實,任何造假行為都是不道德且不被允許的。
選項拆解
-A:錯在林教授做通訊作者。雖然通訊作者對論文負主要責任,但所有作者都應對論文內容的真實性負責,不能將造假責任完全推給通訊作者。
神經學31 / 47
【107-1 醫學(四) 第48題】下列何種腦血管疾病最不可能發生於兒童?
詳解
破題關鍵
澱粉樣血管病變主要影響老年人,在兒童中極為罕見。
選項拆解
-A:缺血性腦梗塞 (ischemic infarction) 在兒童中雖然相對少見,但仍可能發生,原因包括先天性心臟病、鐮刀型貧血、血管炎、Moyamoya病等。
神經學32 / 47
【107-1 醫學(四) 第51題】下列關於癲癇症候群(epilepsy syndromes)藥物治療的敘述,何者錯誤?
詳解
破題關鍵
Lennox-Gastaut syndrome (LGS) 是一種難治型的癲癇,通常需要多種藥物治療。
選項拆解
-A:正確。青少年肌陣攣癲癇 (JME) 通常對單一抗癲癇藥物(特別是 valproate)反應良好。
神經學33 / 47
【107-1 醫學(四) 第53題】75歲的張先生因為記憶力及認路能力日漸惡化,經過神經科專科醫師診斷,得了阿茲海默症(Alzheimer disease),依照臨床嚴重度量表(CDR) 的分級為1.0。這幾天,張先生看到太太與送報的人聊上幾句就大發脾氣,也不准張太太接電話,這可能是何種症狀?
詳解
破題關鍵
看到太太和別人說話就發脾氣,不准太太接電話,這是典型的嫉妒妄想表現。
選項拆解
-A:錯在迫害妄想是覺得自己被別人傷害或監視,與題目情境不符。
-B:錯在被竊妄想是覺得自己的東西被偷,與題目情境不符。
神經學34 / 47
【107-1 醫學(四) 第55題】下列有關糖尿病神經病變之敘述,何者錯誤?
詳解
破題關鍵
糖尿病神經病變最常見的是遠端對稱性感覺神經病變,而與死亡率密切相關的通常是自主神經病變,尤其是心血管自主神經病變。
選項拆解
-A:正確。遠端對稱性以感覺為主的多發性神經病變 (distal symmetric polyneuropathy) 是糖尿病神經病變最常見的類型。
神經學35 / 47
【107-1 醫學(四) 第57題】一位20歲的陳姓大學生,參加露營活動,平日健康狀況良好。在搬一箱20公斤重的飲料,突然覺得腰痛,當天晚上腰痛加劇,且蔓延至右腳也呈現酸麻、無力,隔天他到門診求助。其最可能的診斷為何?
詳解
破題關鍵
搬重物後突然腰痛,並延伸到右腳酸麻無力,這是典型的神經根壓迫症狀。
選項拆解
-A:錯在脛骨神經病變通常不會引起腰痛,且其感覺和運動分佈與題目描述的「蔓延至右腳酸麻、無力」不完全吻合。
-B:錯在腓骨神經病變通常不會引起腰痛,且其感覺和運動分佈與題目描述不完全吻合。
腎臟泌尿學36 / 47
【107-1 醫學(四) 第5題】足月產的新生兒,出生體重3500公克,出生後第5天體重4200公克,腎臟超音波顯示有雙側水腎 (hydronephrosis)及輸尿管擴大(hydroureter),膀胱壁厚而不規則,下列何者為最可能的診斷?
詳解
破題關鍵
新生兒下泌尿道阻塞,導致膀胱和上泌尿道都受影響時,要優先考慮後尿道瓣。
選項拆解
腎臟泌尿學37 / 47
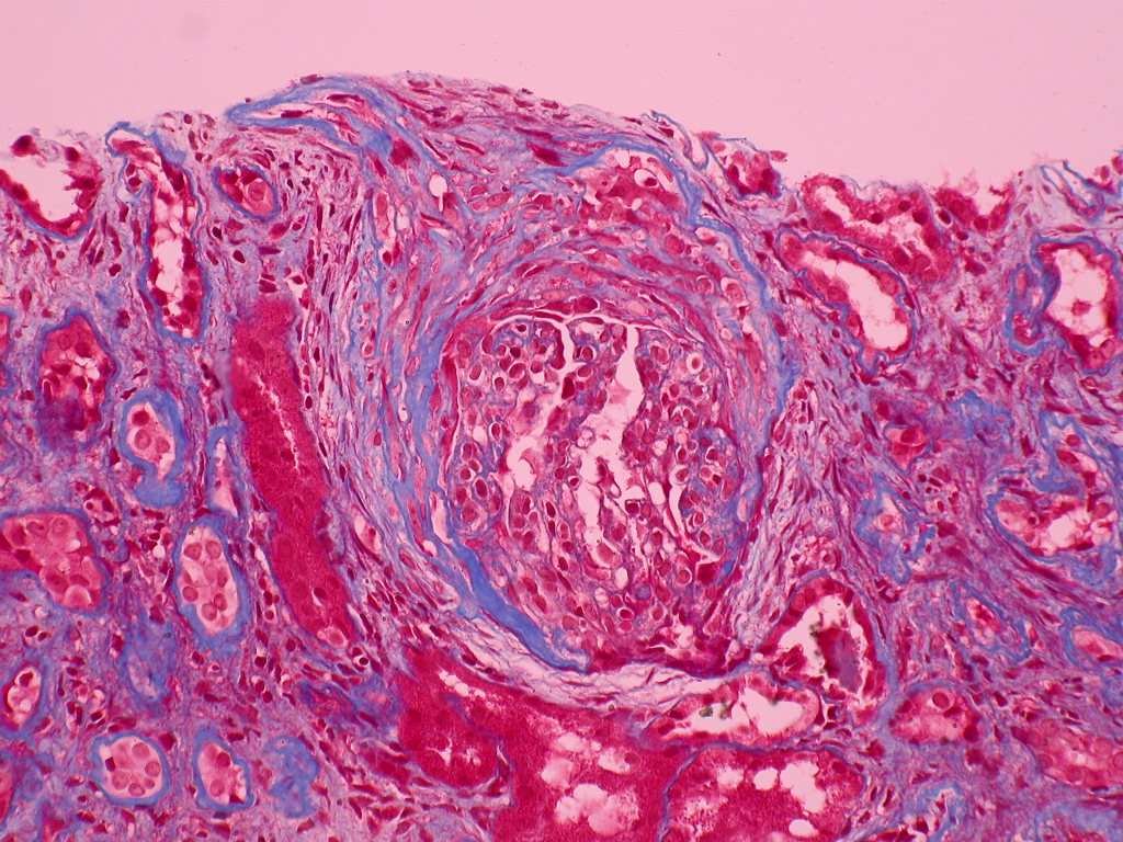
【107-1 醫學(四) 第6題】
15歲男孩,因急性腎衰竭而需進行緊急之透析治療。尿液檢查發現男童有血尿及嚴重之蛋白尿(二十四小時尿蛋白值為7.6 g/24 hr)。血中的血清白蛋白值為3.2 g/dL,血中補體C3、C4均正常。腎切片發現Bowman's capsule內有細胞性的半月型增生(epithelial cell crescent formation),如圖所示,螢光染色可見免疫複合體沈積。下列何者診斷最恰當?
詳解
破題關鍵
本題解題核心在於綜合臨床資訊(急性腎衰竭、血尿、蛋白尿、補體正常)與腎臟切片結果(半月型增生、免疫複合體沈積),其中「補體C3、C4均正常」是排除其他選項的關鍵線索。
選項拆解
腎臟泌尿學38 / 47
【107-1 醫學(四) 第10題】兒童時期發生的系統性紅斑性狼瘡(systemic lupus erythematosus, SLE),預後比成人時期才發作的系統性紅斑性狼瘡的預後差,主要是兒童的那個器官系統較易受影響?
詳解
破題關鍵
兒童期系統性紅斑性狼瘡預後較差,主要是因為腎臟受累的頻率和嚴重程度更高。
選項拆解
-A:心臟受累在SLE中也常見,但腎臟受累對預後的影響更為顯著。
腎臟泌尿學39 / 47
【107-1 醫學(四) 第21題】下列何種疾病引起的低血鈉(hyponatremia)與血液稀釋無關?
詳解
破題關鍵
這題的問法有歧義,因為所有選項都可能導致稀釋性低血鈉。但若從病理機轉的複雜性或主要病變器官來看,肝硬化導致的低血鈉機轉最為複雜,涉及多重系統失調。
選項拆解
腎臟泌尿學40 / 47
【107-1 醫學(四) 第22題】關於兒童急性鏈球菌感染後腎臟發炎(acute poststreptococcal glomerulonephritis)的治療,下列敘述何者正確?
詳解
破題關鍵
急性鏈球菌感染後腎臟發炎 (APSGN) 是一種免疫反應,治療主要是支持性療法,控制高血壓和水腫等併發症。
選項拆解
-A:錯在「由於為鏈球菌感染所引起的,因此給與適當的抗生素治療可以縮短病程」。抗生素只能清除殘餘細菌,不能改變已發生的免疫反應和腎臟病程。
血液腫瘤學41 / 47
【107-1 醫學(四) 第11題】關於缺鐵性貧血(iron-deficiency anemia, IDA)的敘述,下列何者錯誤?
詳解
破題關鍵
足月兒的鐵儲存量通常足夠維持到4-6個月大,因此前3個月很少發生缺鐵性貧血。
選項拆解
-A:低體重早產兒為好發族群。這是正確的,因為早產兒出生時鐵儲存量不足,且生長快速,鐵需求量大。
血液腫瘤學42 / 47
【107-1 醫學(四) 第28題】關於兒童惡性肝腫瘤(malignant hepatic tumor)的敘述,下列何者最不恰當?
詳解
破題關鍵
B型肝炎疫苗主要預防的是B型肝炎病毒感染引起的肝細胞癌,而非肝母細胞癌。
選項拆解
-A:正確。肝母細胞癌主要發生在3歲以下幼兒,而肝細胞癌在兒童中發病年齡較大,多在學齡期或青少年。
血液腫瘤學43 / 47
【107-1 醫學(四) 第29題】有關兒童淋巴癌的敘述,下列何者錯誤?
詳解
破題關鍵
兒童非何傑金氏淋巴瘤雖然惡性度高,但對治療反應好,預後通常不錯。
選項拆解
-A:正確。在臺灣及西方國家,兒童的非何傑金氏淋巴瘤 (Non-Hodgkin lymphoma) 發生率確實比何傑金氏淋巴瘤 (Hodgkin lymphoma) 高。
醫學遺傳學44 / 47
【107-1 醫學(四) 第20題】關於梅克爾憩室(Meckel diverticulum),下列敘述何者錯誤?
詳解
破題關鍵
梅克爾憩室炎在兒童中相對少見,且通常發生在年紀較大的兒童或成人,其病理機轉類似闌尾炎。
選項拆解
-A:正確。無痛性直腸出血是梅克爾憩室最常見的症狀,尤其在幼兒。腸阻塞是第二常見。
-B:正確。梅克爾憩室的典型位置是在迴腸末端,離迴盲瓣約50-75公分。
醫學遺傳學45 / 47
【107-1 醫學(四) 第32題】有關小胖威利症候群(Prader-Willi Syndrome)的敘述,下列何者錯誤?
詳解
破題關鍵
小胖威利症候群的基因缺失是來自父源染色體,而非母源。
選項拆解
-A:錯在「母源性」。小胖威利症候群的基因缺失或功能異常是來自「父源性」染色體15q11-q13。
醫學遺傳學46 / 47
【107-1 醫學(四) 第33題】有關透納氏症(Turner syndrome)的敘述,下列何者錯誤?
詳解
破題關鍵
透納氏症患者的智力雖然多數正常,但仍可能存在特定認知功能障礙。
選項拆解
醫學遺傳學47 / 47
【107-1 醫學(四) 第43題】23歲男性,因癲癇服用carbamazepine,經兩周後,全身皮膚黏膜產生大面積水泡及破皮,經皮膚科醫師診斷為毒性表皮溶解症(toxic epidermal necrolysis),此病人的HLA-B基因型,最可能為下列何者?
詳解
破題關鍵
服用carbamazepine後引起毒性表皮溶解症,最相關的基因型是HLA-B*1502。
選項拆解
-A:正確。HLA-B*1502基因型與服用carbamazepine後發生史蒂芬強生症候群 (SJS) 或毒性表皮溶解症 (TEN) 的風險高度相關,尤其在亞洲人群中。