內分泌代謝1 / 42
【111-1 醫學(四) 第10題】5歲男童因常出現魚腥體味而就診,出生時基本新生兒篩檢並無異常,身體診察亦無特殊發現,父母描述這種刺鼻味道只在吃了蛋黃或豬肝後出現,下列何種疾病為最可能之診斷?
詳解
破題關鍵
魚腥體味且只在吃了特定食物(蛋黃、豬肝)後出現,是三甲基胺尿症的典型表現。
選項拆解
-A:異戊酸血症(Isovaleric acidemia)。其體味是汗腳味,與魚腥味不符。
-B:苯酮尿症(Phenylketonuria)。其體味是霉味或鼠尿味,與魚腥味不符。
內分泌代謝2 / 42
【111-1 醫學(四) 第16題】關於嬰幼兒常見造成維生素及營養素缺乏的原因,下列何者正確?
詳解
破題關鍵
全素飲食會限制動物性來源的營養素,其中維生素B12和D是主要缺乏風險。
選項拆解
-A:相較於一般飲食的兒童,吃全素的兒童容易缺乏維生素B12及維生素D。正確。維生素B12幾乎只存在於動物性食物,維生素D的食物來源也多為動物性或強化食品,因此全素兒童若無額外補充,容易缺乏。
內分泌代謝3 / 42
【111-1 醫學(四) 第24題】11歲女童經醫師確診為甲狀腺功能亢進,下列有關症狀、實驗室檢查及治療之描述何者最不適當?
詳解
破題關鍵
甲狀腺亢進會加速新陳代謝,所以食慾通常會增加,而不是減退。
選項拆解
-A:最不適當。甲狀腺亢進會加速新陳代謝,導致能量消耗增加,因此患者通常會「食慾增加 (polyphagia)」,但體重卻可能減輕。食慾減退是甲狀腺功能低下的症狀之一。
內分泌代謝4 / 42
【111-1 醫學(四) 第25題】兒童第一型糖尿病(Type 1 diabetes mellitus, T1DM)與第二型糖尿病相比較,下列何者最不正確?
詳解
破題關鍵
第一型糖尿病是自體免疫疾病,所以常會合併其他自體免疫疾病。
選項拆解
-A:正確。T1DM 患者因胰島素缺乏,無法有效利用葡萄糖,身體分解脂肪和蛋白質,導致體重減輕,因此體型通常較為消瘦。
-B:正確。T1DM 發病時胰島素缺乏,身體會分解脂肪產生酮體,容易導致糖尿病酮酸中毒。
心臟血管學5 / 42
【111-1 醫學(四) 第31題】9個月大女嬰嘴唇被發現有發紺的現象,經診斷為先天性心臟病法洛氏四重症(Tetralogy of Fallot, TOF)。下列何種機轉是造成病童直到9個月才出現明顯發紺現象?
詳解
破題關鍵
法洛氏四重症的發紺程度,主要取決於肺血流受阻的嚴重程度。
選項拆解
-A:動脈導管持續開放 (Patent ductus arteriosus, PDA) 在TOF中,如果PDA開放,反而可能增加肺血流,延緩發紺的出現,而不是造成發紺延遲出現。
心臟血管學6 / 42
【111-1 醫學(四) 第33題】有關部分肺靜脈回流異常(Partial anomalous pulmonary venous return)之血行力學變化(Hemodynamic change),與下列何種先天性心臟病較相似?
詳解
破題關鍵
部分肺靜脈回流異常的血流動力學,關鍵在於「含氧血回流到右心」。
選項拆解
-A:心室中隔缺損 (Ventricular septal defect, VSD) 會造成左心室的含氧血分流到右心室,導致左心室和右心室的容量負荷增加,與PAPVR的血流動力學不同。
感染症7 / 42
【111-1 醫學(四) 第1題】5歲男童高燒3天合併畏寒,咳嗽、喉嚨痛、頭痛、雙小腿痠痛、活動力下降,流感快篩呈現B型流感陽性。有關流行性感冒病毒的疫苗接種及治療敘述,何者錯誤?
詳解
破題關鍵
流感疫苗的適用年齡。
選項拆解
-A:錯在「只能施打在年紀1歲以上的孩童」。流感疫苗通常建議 6 個月以上的嬰幼兒即可接種。
-B:正確。8歲以下初次接種流感疫苗的孩童,或過去未曾接種過兩劑流感疫苗者,建議間隔至少 4 週接種兩劑。
感染症8 / 42
【111-1 醫學(四) 第2題】關於新生兒感染巨細胞病毒(Cytomegalovirus)的敘述,下列何者錯誤?
詳解
破題關鍵
先天性巨細胞病毒感染的臨床表現率。
選項拆解
-A:錯在「約有90%會有臨床症狀」。實際上,大多數 (約 85-90%) 先天性巨細胞病毒感染的新生兒在出生時是無症狀的,只有少數 (10-15%) 會出現臨床症狀。
感染症9 / 42
【111-1 醫學(四) 第3題】下列何者是學齡兒童細菌性咽喉炎最常見的病原?
詳解
破題關鍵
學齡兒童細菌性咽喉炎最常見的致病菌。
選項拆解
-A:錯在嗜血桿菌 (Haemophilus influenzae) 雖然是呼吸道病原,但不是學齡兒童細菌性咽喉炎最常見的病原。它更常引起中耳炎、鼻竇炎或會厭炎。
感染症10 / 42
【111-1 醫學(四) 第4題】下列何者不是腸病毒(Enteroviruses)感染的典型表現?
詳解
破題關鍵
腸病毒感染的常見臨床表現。
選項拆解
-A:正確。手足口症是腸病毒感染的典型表現之一,尤其常見於兒童。
-B:正確。腦炎和無菌性腦膜炎是腸病毒感染可能引起的嚴重併發症,尤其是腸病毒 71 型。
-C:錯在「骨髓炎」。骨髓炎通常是由細菌感染引起的,不是腸病毒感染的典型表現。
感染症11 / 42
【111-1 醫學(四) 第6題】下列何種肺炎鏈球菌疫苗的製程機轉,明顯與其他三種疫苗不同?
詳解
破題關鍵
肺炎鏈球菌疫苗分成「結合型」和「多醣體型」兩種,它們的免疫反應機轉完全不同。
選項拆解
-A:7價。屬於結合型疫苗,其製程機轉與10價、13價相同。
-B:10價。屬於結合型疫苗,其製程機轉與7價、13價相同。
-C:13價。屬於結合型疫苗,其製程機轉與7價、10價相同。
感染症12 / 42
【111-1 醫學(四) 第19題】7個月大的男嬰因發燒、嘔吐和大量水樣性腹瀉持續3天之久而來急診。經量測,體重為7.5公斤(上個月預防注射時體重8公斤),嘴唇乾裂,尿量減少,哭沒有眼淚。常規血液檢查正常,血液生化檢查中電解質正常, 糞便檢查正常,目前哺育母乳,以下何種處置最為適當?
詳解
破題關鍵
兒童急性腸胃炎脫水後,要盡早恢復正常飲食,避免腸道萎縮。
選項拆解
-A:錯在「稀釋運動飲料」。運動飲料的電解質和糖分比例不適合嬰幼兒,應使用專為兒童設計的口服電解質液 (ORS)。
感染症13 / 42
【111-1 醫學(四) 第26題】關於川崎氏症(Kawasaki disease)的描述,下列何者錯誤?
詳解
破題關鍵
川崎氏症急性期阿斯匹靈劑量是高劑量,不是低劑量。
選項拆解
-A:正確。川崎氏症的病因至今不明,但許多證據支持感染原可能誘發免疫反應。
-B:正確。川崎氏症最常發生在 5 歲以下的兒童,是其流行病學特徵。
感染症14 / 42
【111-1 醫學(四) 第38題】關於紅癬(erythrasma)的敘述,下列何者錯誤?
詳解
破題關鍵
紅癬的病原體是細菌,不是黴菌。
選項拆解
-A:紅癬是一種細菌 (Corynebacterium minutissimum) 感染,而不是黴菌感染。這是錯誤的敘述。
-B:Wood's lamp下可以看到珊瑚紅的螢光反應,這是紅癬的典型特徵,有助於診斷。
新生兒醫學15 / 42
【111-1 醫學(四) 第11題】新生兒出生1天後開始出現嘔吐症狀,嘔吐物含膽汁。身體診察發現腹部平坦,腹部X光片(如附圖)顯示中腹有3團腸氣而其他部位無腸氣出現。下列何者為最可能之診斷?

詳解
破題關鍵
新生兒出現膽汁性嘔吐,加上腹部X光片顯示「三團腸氣」且遠端無腸氣,這是判斷小腸近端閉鎖的經典影像學表現。
選項拆解
-A:錯在胃幽門狹窄通常是「非膽汁性」嘔吐,且X光片不會出現多個氣泡,而是胃部擴張。通常發生在出生後2-6週。
新生兒醫學16 / 42
【111-1 醫學(四) 第12題】39週出生體重2,200公克的新生兒,在出生後第2個小時出現手腳震顫(Jitteriness)現象,當下檢驗血糖值為 20 mg/dL。有關後續的處置,下列何者最為恰當?
詳解
破題關鍵
新生兒有症狀性低血糖,需要立即靜脈注射葡萄糖,再持續輸注維持血糖。
選項拆解
-A:2小時大時本來血糖就是最低值,可觀察下一個血糖值再做下一步決定。錯在血糖值20 mg/dL且有症狀,屬於緊急情況,不能觀察等待,必須立即介入。
新生兒醫學17 / 42
【111-1 醫學(四) 第13題】一位母親急產下一個2,000公克的新生兒。詢問母親病史,她懷孕過程未接受過產檢,也不知最後一次月經是什麼時候。如果要以新生兒狀況來做週數預估,則評估判斷的內容不包括下列何項?
詳解
破題關鍵
評估新生兒週數的常用方法是 Ballard Score,它主要評估神經肌肉成熟度和身體成熟度,不包含眼睛到耳朵的距離。
選項拆解
-A:眼睛到耳朵的距離。正確。這不是 Ballard Score 評估新生兒週數的內容。
新生兒醫學18 / 42
【111-1 醫學(四) 第14題】剛出生的36週大嬰兒,嘴角一直流口水並冒出泡泡,醫師無法將口胃管順利放入。腹部X光片可見有胃與腸氣。下列何者為最可能之診斷?
詳解
破題關鍵
新生兒流口水、冒泡泡、胃管無法置入,且腹部有胃腸氣,這些線索指向最常見的食道閉鎖合併遠端氣管瘻管。
選項拆解
-A:單純食道氣管瘻管 (Isolated TEF)。錯在如果只有瘻管而無食道閉鎖,胃管可以順利置入,也不會有流口水、冒泡泡的症狀。
新生兒醫學19 / 42
【111-1 醫學(四) 第15題】下列何種疾病所導致的嘔吐為非膽汁性嘔吐(Nonbilious emesis)?
詳解
破題關鍵
非膽汁性嘔吐意味著阻塞位置在膽汁進入消化道之前,也就是十二指腸壺腹 (ampulla of Vater) 以上。
選項拆解
新生兒醫學20 / 42
【111-1 醫學(四) 第18題】1個月大全母奶餵哺的男嬰因為延長性黃疸(prolonged jaundice)被帶至門診,下列處置何者正確?
詳解
破題關鍵
延長性黃疸最怕膽道閉鎖,所以要特別注意直接型膽紅素的比例。
選項拆解
-A:錯在「無需採取腳跟微量血檢測總膽紅素值」。對於延長性黃疸,必須測量膽紅素,並區分直接型和間接型,以排除病理性原因。不能直接斷定是母乳性黃疸。
新生兒醫學21 / 42
【111-1 醫學(四) 第32題】2天大的足月新生兒,接受例行性的血氧篩檢時發現雙側下肢的血氧飽和度是90%,但臨床上活動力正常、進食狀況良好,下列那一種先天性心臟病最有可能出現此現象?
詳解
破題關鍵
新生兒下肢血氧低於95%是先天性心臟病篩檢的警訊,而活動力正常但血氧低,要考慮「兩個平行循環」的狀況。
選項拆解
-A:心室中膈缺損 (Ventricular septal defect, VSD) 通常是左向右分流,除非合併肺高壓,否則不會造成發紺。
社會與發展22 / 42
【111-1 醫學(四) 第17題】關於嬰幼兒生長遲滯(Failure to thrive)的敘述,下列何者錯誤?
詳解
破題關鍵
生長遲滯的病童,大部分是營養攝取不足,而不是有潛在疾病。
選項拆解
-A:正確。體重是營養不良最敏感的指標,身高和頭圍受影響較晚。
-B:錯在「超過一半以上」。實際上,大部分 (約 80%) 的生長遲滯是「非器質性」的,也就是說,找不到明確的器質性病因,主要與餵食或環境因素有關。
社會與發展23 / 42
【111-1 醫學(四) 第28題】有關預防嬰幼兒過敏的觀念,下列敘述何者不恰當?
詳解
破題關鍵
太晚添加副食品反而可能增加過敏風險,現在建議在 4-6 個月大時開始嘗試。
選項拆解
-A:正確。孕婦飲食不需刻意限制高過敏食物,這與目前的醫學共識相符。
社會與發展24 / 42
【111-1 醫學(四) 第69題】有關以methadone治療海洛因(heroin)成癮者之描述,下列何者正確?
詳解
破題關鍵
了解美沙冬 (methadone) 替代療法在鴉片類藥物成癮治療中的特性。
選項拆解
-A:錯在「methadone本身極少導致病患依賴」。美沙冬本身就是一種鴉片類藥物,具有成癮性,會導致身體依賴。替代療法的目的是用合法、受監管的藥物取代非法毒品,以減少危害。
神經學25 / 42
【111-1 醫學(四) 第20題】6歲女童為原發性微小腎病變患者,對類固醇反應不好,此次因復發住院,正接受類固醇脈衝治療,今突然發生「泛發性強直–陣攣發作(Generalized tonic-clonic seizures)」,其抽搐原因最不可能是下列何者?
詳解
破題關鍵
微小腎病變和類固醇治療會增加血栓和水腫風險,但顱內出血相對不常見。
選項拆解
-A:最不可能是。腎病症候群患者因蛋白尿流失抗凝血因子,反而容易形成血栓,導致「高凝血狀態」,因此腦部血管栓塞的風險較高,而不是顱內出血。
神經學26 / 42
【111-1 醫學(四) 第23題】下列關於單純型熱性痙攣之處置何者正確?
詳解
破題關鍵
單純型熱性痙攣是良性疾病,通常不需要過度檢查或治療。
選項拆解
-A:錯在「建議預防性使用抗癲癇藥」。單純型熱性痙攣通常不建議預防性使用抗癲癇藥物,因為副作用大於益處。
神經學27 / 42
【111-1 醫學(四) 第47題】關於癲癇發作(epileptic seizures),下列敘述何者最恰當?
詳解
破題關鍵
癲癇的診斷需要綜合判斷,不能只看單一檢查或症狀。
選項拆解
-A:錯在「可以排除」。正常的腦部磁振造影 (MRI) 無法完全排除癲癇,因為許多癲癇的病因是功能性或微觀的,MRI可能看不出來。
神經學28 / 42
【111-1 醫學(四) 第49題】關於青少年肌躍性癲癇(juvenile myoclonic epilepsy)需避免使用下列何種抗癲癇藥物?
詳解
破題關鍵
青少年肌躍性癲癇 (JME) 是一種廣泛性癲癇,某些抗癲癇藥物會惡化其發作。
選項拆解
-A:levetiracetam:這是治療青少年肌躍性癲癇 (JME) 的有效藥物之一,不會惡化病情。
神經學29 / 42
【111-1 醫學(四) 第53題】關於週期性麻痺(periodic paralysis),下列敘述何者最恰當?
詳解
破題關鍵
週期性麻痺的重點在於血鉀異常導致的肌肉無力,以及預防性治療的藥物選擇。
選項拆解
-A:錯在「高血鉀是最常見的原因」。低血鉀性週期性麻痺才是最常見的類型。
-B:錯在「常常影響到吞嚥和呼吸」。週期性麻痺通常不影響吞嚥和呼吸肌,這是其相對良性的特徵之一。
神經學30 / 42
【111-1 醫學(四) 第57題】關於軸突缺失(axonal loss)與去髓鞘(demyelination)引起之神經病變的比較,下列敘述何者最恰當?
詳解
破題關鍵
區分軸突損傷和髓鞘損傷的病理生理學特徵,並了解常見疾病的表現。
選項拆解
-A:錯在「去髓鞘神經病變時常造成早期肌肉萎縮」。去髓鞘主要影響神經傳導速度,軸突本身相對完整,因此早期肌肉萎縮不明顯。軸突缺失才更容易導致早期且明顯的肌肉萎縮。
神經學31 / 42
【111-1 醫學(四) 第60題】下列有關思考形式障礙(formal thought disorders)之描述,下列何者錯誤?
詳解
破題關鍵
區分思考形式障礙和思考內容障礙的定義。
選項拆解
-A:正確。思考形式障礙主要透過觀察病患的語言表達(口語或書寫)來判斷,因為它影響的是思想的組織和表達方式。
-B:正確。思考形式障礙的定義就是思想的表達和組織出現問題,例如邏輯不連貫、跳躍式思考等。
神經學32 / 42
【111-1 醫學(四) 第62題】下列何者藥物不是美國食品及藥物管理署(FDA)核准用於治療雙相情緒障礙症之躁症?
詳解
破題關鍵
了解常用情緒穩定劑和抗精神病藥物在雙相情緒障礙症 (bipolar disorder) 不同階段的核准用途。
選項拆解
-A:risperidone (理思必妥) 是第二代抗精神病藥物,FDA核准用於治療雙相情緒障礙症的急性躁症或混合型發作。
神經學33 / 42
【111-1 醫學(四) 第77題】關於安非他命(amphetamine)濫用的敘述,下列何者最不適當?
詳解
破題關鍵
辨識安非他命中毒的典型症狀,並區分其與戒斷症狀。
選項拆解
神經學34 / 42
【111-1 醫學(四) 第80題】4歲男童在遊戲中,因為衝撞牆壁引起腦部廣泛性出血,送到醫院急救後,回復心跳及血壓,但持續重度昏迷、倚賴呼吸器與升壓藥物維持生命現象,隨後兩天又出現尿崩症。第3天由兩位腦死判定研習完訓之小兒科專科醫師和此病患之主治醫師一起經標準流程,如腦幹反射測試與自主呼吸測驗等兩次之測驗後而判定腦死。患者過世後,家屬認為判定過程之「停止呼吸器及供氧」造成病人過世。對此事件,下列何控訴最能成立?
詳解
破題關鍵
了解台灣腦死判定的法律與倫理規範,特別是告知同意與目的性。
選項拆解
腎臟泌尿學35 / 42
【111-1 醫學(四) 第21題】5歲女童接受化學藥物治療一段期間後,發現有輕微蛋白尿與尿糖現象,抽血檢查顯示血中鉀離子為2.8 mmol/L,鈉離子為146 mmol/L,氯離子為115 mmol/L。血液pH值為7.2,重碳酸根離子(HCO3-)為18 mmol/L,BE:-4.5 mmol/L,下列何者為最可能之診斷?
詳解
破題關鍵
腎小管功能異常導致多種物質從尿液流失,造成酸中毒、低血鉀、蛋白尿和尿糖。
選項拆解
血液腫瘤學36 / 42
【111-1 醫學(四) 第29題】下列何者是兒童後天性再生不良性貧血最常見的病因?
詳解
破題關鍵
兒童後天性再生不良性貧血,大部分找不到明確原因。
選項拆解
-A:錯在藥物。藥物確實可能引起再生不良性貧血,但不是兒童後天性最常見的原因。
-B:正確。兒童後天性再生不良性貧血最常見的病因就是不明原因 (idiopathic)。
血液腫瘤學37 / 42
【111-1 醫學(四) 第30題】下列那一項疾病較不會以小球性貧血(Microcytic anemia)來表現?
詳解
破題關鍵
小球性貧血代表紅血球體積變小,要從貧血的根本原因來判斷。
選項拆解
-A:錯在缺鐵性貧血。這是最典型的小球性貧血,因為缺乏鐵質導致血紅素合成不足,紅血球變小。
-B:正確。再生不良性貧血的紅血球通常是正球性或輕微大球性,不是小球性。
血液腫瘤學38 / 42
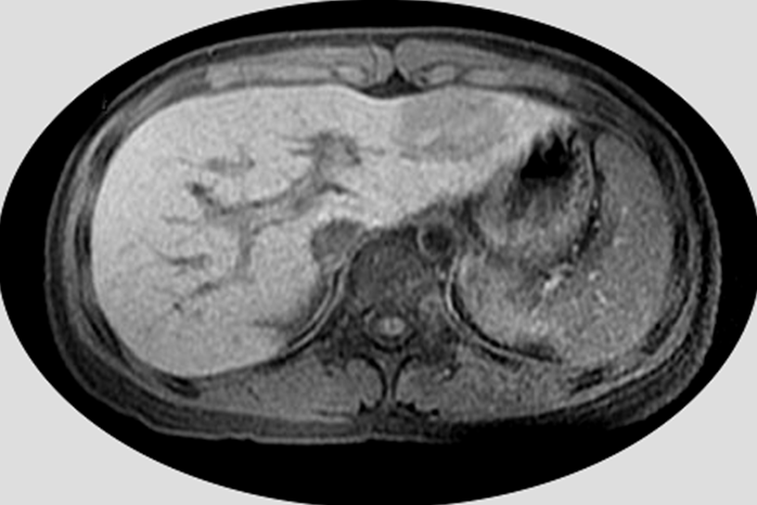
【111-1 醫學(四) 第75題】5歲男童因超音波篩檢發現腹部腫瘤,磁振造影T1加權影像如圖示,則該腫瘤位於何處?

詳解
破題關鍵
這題的關鍵在於正確辨識腹部MRI影像中的肝臟解剖位置,並根據Couinaud分段法判斷腫瘤所在的肝臟節段。圖片中可見肝臟左葉有一個明顯的腫瘤。
選項拆解
醫學遺傳學39 / 42
【111-1 醫學(四) 第7題】下列何種檢查較不適宜用於單基因疾病(Single genetic disease)的分子診斷(Molecular diagnosis)?
詳解
破題關鍵
單基因疾病通常是基因內部的小突變,而FISH主要看的是染色體的大片段異常。
選項拆解
-A:Linkage analysis。可用於單基因疾病的分子診斷,尤其是在家族中追蹤遺傳模式時。
醫學遺傳學40 / 42
【111-1 醫學(四) 第8題】下列新生兒的肢體表現(如附圖),最可能是那一種診斷?

詳解
破題關鍵
新生兒手部呈現特徵性的「手指重疊緊握」姿勢,搭配足部「搖椅底足」畸形,是診斷Edwards syndrome的經典線索。
選項拆解
-A:Down syndrome (Trisomy 21) 的手部特徵通常是單一掌紋、小指彎曲,而非重疊緊握。
醫學遺傳學41 / 42
【111-1 醫學(四) 第40題】承上題,當病人身上有此種多發性腫瘤,同時罹患大腸息肉及甲狀腺癌,要考慮下列何種遺傳性疾病?
詳解
破題關鍵
多發性腫瘤、大腸息肉和甲狀腺癌的組合,指向特定的遺傳性症候群。
選項拆解
醫學遺傳學42 / 42
【111-1 醫學(四) 第43題】
14歲女生血便,身體診察發現嘴唇有黑色斑點如圖所示。下列敘述何者正確?

詳解
破題關鍵
這題的解題核心在於辨識圖片中嘴唇周圍和唇上的典型黑色斑點,結合題幹中年輕患者有血便的線索,立即聯想到Peutz-Jeghers症候群。
選項拆解
-A:錯在Peutz-Jeghers症候群是體染色體顯性遺傳(autosomal dominant),而非自體隱性遺傳。