【107-2 醫學(四) 第11題】下列物質的主要吸收位置,何者不是在十二指腸和近端空腸?
詳解
破題關鍵
大部分營養素在小腸前段吸收,但膽汁酸主要在迴腸末端回收。
選項拆解
登入查看完整詳解與互動作答
共 45 題(登入後可互動作答與查看詳解)
【107-2 醫學(四) 第11題】下列物質的主要吸收位置,何者不是在十二指腸和近端空腸?
詳解
破題關鍵
大部分營養素在小腸前段吸收,但膽汁酸主要在迴腸末端回收。
選項拆解
登入查看完整詳解與互動作答
【107-2 醫學(四) 第13題】關於胃食道逆流(Gastroesophageal reflux)與肥厚性幽門狹窄(Hypertrophic pyloric stenosis)之比較, 下列何者正確?
詳解
破題關鍵
胃食道逆流多是生理性現象會自行改善,而肥厚性幽門狹窄是結構異常需要介入治療。
選項拆解
登入查看完整詳解與互動作答
【107-2 醫學(四) 第14題】關於兒童腸套疊(Intussusception)的表現,下列何者最為典型?
詳解
破題關鍵
兒童腸套疊的典型三聯症是腹痛、嘔吐、草莓醬樣大便,且可能伴隨腹部腫塊和嗜睡。
選項拆解
登入查看完整詳解與互動作答
【107-2 醫學(四) 第19題】15天大女嬰實驗數值顯示Free T4 0.32 ng/dL(正常值:0.8~2 ng/dL)、T4 2.2 µg/dL(正常值:4.5~12.5 µg/dL)、TSH 102 mIU/L(正常值:1.0~15.0 mIU/L),下列敘述何者最正確?
詳解
破題關鍵
看到新生兒T4低、TSH高,直接聯想到原發性甲狀腺功能低下。
選項拆解
登入查看完整詳解與互動作答
【107-2 醫學(四) 第31題】病人發生代謝性酸血症(Metabolic acidosis)合併下列何種臨床情境,則可能為Inborn errors of metabolism 的機率最高?
詳解
破題關鍵
新生兒出現不明原因的嚴重代謝性酸血症,合併其他異常,要高度懷疑先天性代謝異常。
選項拆解
登入查看完整詳解與互動作答
【107-2 醫學(四) 第21題】有關川崎氏症(Kawasaki disease)的治療考量,下列何者最為正確?
詳解
破題關鍵
川崎氏症的標準治療就是單劑量高劑量IVIG,搭配阿斯匹靈。
選項拆解
登入查看完整詳解與互動作答
【107-2 醫學(四) 第25題】一個7天大的新生兒有發紺現象,身體診察聽到分裂的第一心音與第二心音,左側胸骨線出現第三度收縮期的心雜音。胸部X光顯示心臟有擴大情形,心電圖顯示心軸右偏與右心房擴大。此新生兒的診斷較可能是:
詳解
破題關鍵
新生兒發紺、心臟擴大、右心房擴大、心軸右偏、分裂的心音,這些都是艾伯斯坦異常的典型特徵。
選項拆解
登入查看完整詳解與互動作答
【107-2 醫學(四) 第27題】單一心室合併肺動脈狹窄(Single ventricle with pulmonary stenosis)之8個月大病童,在病房發現其活力不佳,且有嚴重發紺現象。身體診察發現心跳速率每分鐘40下,血氧濃度40%。下列何種處置不恰當?
詳解
破題關鍵
單一心室合併肺動脈狹窄的病童,嚴重發紺、心跳過慢、低血氧,Epinephrine雖是急救藥,但在這種特定心臟病理生理下,可能因增加體循環阻力而惡化肺血流,導致更嚴重的缺氧。
選項拆解
登入查看完整詳解與互動作答
【107-2 醫學(四) 第28題】典型的法洛氏四重症(Tetralogy of Fallot)患者在手術矯正前,胸前聽診時可以聽到一個明顯的收縮期心雜音(Systolic murmur),此雜音的成因為何?
詳解
破題關鍵
法洛氏四重症的雜音主要來自肺動脈狹窄處的血流湍流。
選項拆解
登入查看完整詳解與互動作答
【107-2 醫學(四) 第1題】一名5歲男童就診主訴發高燒3天,喉嚨痛、口水直流,媽媽發現男童手上腳上出現許多紅疹。身體診察發現喉嚨軟顎上出現如滿天星般的水泡,手掌、腳掌、臀部也出現如水泡般的疹子,下列敘述何者錯誤?
詳解
破題關鍵
手足口症是腸病毒引起,主要靠支持性療法,Acyclovir是治療疱疹病毒,對腸病毒無效。
選項拆解
登入查看完整詳解與互動作答
【107-2 醫學(四) 第2題】9個月大的男嬰高燒5天,今天早上開始呈現嗜睡狀態,晚上因全身僵直陣攣性發作(Generalized tonic clonic seizure)5分鐘被送來急診。在加護病房做了脊髓穿刺檢查,腦脊髓液報告顯示WBC 10000/µL(90% PMNs 和10% Lymphocyte),Protein 380 mg/dL,Glucose 5 mg/dL。下列何者為最可能的致病原?
詳解
破題關鍵
腦脊髓液報告顯示白血球高、PMN比例高、蛋白質高、葡萄糖低,這是細菌性腦膜炎的典型表現。
選項拆解
登入查看完整詳解與互動作答
【107-2 醫學(四) 第3題】1歲半兒童被帶來門診想接受疫苗注射,在他11個月大時,曾因病接受免疫球蛋白(IVIG)的治療。下列何種疫苗之補接種較為適合?
詳解
破題關鍵
接受免疫球蛋白治療後,活性減毒疫苗需要延後接種,但非活性疫苗不受影響。
選項拆解
登入查看完整詳解與互動作答
【107-2 醫學(四) 第4題】10個月大的男嬰發燒和皮疹已2天。過去健康狀況良好,家人沒有生病。此男嬰精神好,身體診察發現口腔黏膜有潰瘍,頭皮、臉部、耳朵和軀幹有水泡,部分水泡中央凹陷呈肚臍狀。最可能的診斷是:
詳解
破題關鍵
皮疹呈現多形性(macule, papule, vesicle, pustule同時存在),且水泡中央凹陷呈肚臍狀,是水痘的典型特徵。
選項拆解
登入查看完整詳解與互動作答
【107-2 醫學(四) 第6題】9個月大的女嬰,發燒咳嗽2天,出現聲音沙啞、咳嗽聲音異常、呼吸費力,來急診就醫,醫師發現有明顯的喘鳴音(Stridor),下列何種處置最不合適?
詳解
破題關鍵
聲音沙啞、狗吠樣咳嗽、呼吸費力、喘鳴音是急性喉氣管支氣管炎(Croup)的典型症狀,通常由病毒引起,不需抗生素。
選項拆解
登入查看完整詳解與互動作答
【107-2 醫學(四) 第22題】1歲半的幼兒,昨晚發燒、咳嗽,今天到急診。醫師發現呼吸聲音變得明顯,聽診雙側有喘息音 (Wheezing),給與短效型支氣管擴張劑(Bronchodilator)後,喘息音沒有改變,下列何種診斷最有可能?
詳解
破題關鍵
1歲半幼兒,喘息音,支氣管擴張劑無效,指向病毒性細支氣管炎。
選項拆解
登入查看完整詳解與互動作答
【107-2 醫學(四) 第39題】關於梅毒的敘述,下列何者正確?
詳解
破題關鍵
梅毒的診斷、治療監測和各期表現都有其特點。
選項拆解
登入查看完整詳解與互動作答

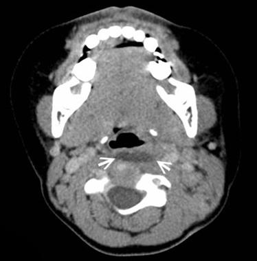
詳解
破題關鍵
這題的關鍵在於辨識兒童急性發燒、吞嚥困難,加上電腦斷層(CT)影像中,咽喉後方出現一個邊緣顯影(rim enhancement)的液體聚積(fluid collection),這強烈指向感染性膿瘍。
選項拆解
登入查看完整詳解與互動作答
【107-2 醫學(四) 第77題】一位1歲女嬰因呼吸急促至急診就醫,身體檢查發現有吐氣末端哮鳴(end-expiratory wheezing),若因感染造成,下列敘述何者最不恰當?
詳解
破題關鍵
嬰幼兒細支氣管炎最常見的病原是呼吸道融合病毒 (RSV),其傳染途徑主要是飛沫和接觸傳染。
選項拆解
登入查看完整詳解與互動作答
【107-2 醫學(四) 第7題】下列何者不是足月新生兒會有的正常姿勢?
詳解
破題關鍵
足月新生兒的正常姿勢是四肢屈曲,俯臥時骨盆會抬高,不會平貼床面。
選項拆解
登入查看完整詳解與互動作答
【107-2 醫學(四) 第8題】一個40週出生2,000公克的新生兒,在出生後第2小時出現呼吸喘快、有肋骨下凹陷、全身發紅但嘴唇為紫紅色的現象,體溫脈博正常,檢測血糖值為30 mg/dL。接下來應做何種檢驗最為重要?
詳解
破題關鍵
新生兒出現呼吸窘迫、發紅、嘴唇紫紅,且血糖低,要考慮多種原因,其中血球血比容過高(多血症)是重要鑑別診斷。
選項拆解
登入查看完整詳解與互動作答
【107-2 醫學(四) 第9題】一個新生兒以真空吸引器輔助娩出後,頭顳葉與枕部發現一腫塊,它摸起來像水袋樣有波動,而且跨越骨縫。 身體診察發現前囟門無突出,血壓40/25 mmHg、心跳每分鐘190次,無神經學異常,下列何者為最可能之診斷?
詳解
破題關鍵
新生兒頭部腫塊若「跨越骨縫」且有「低血壓、心跳快」的休克徵兆,要高度懷疑帽狀腱膜下出血。
選項拆解
登入查看完整詳解與互動作答
【107-2 醫學(四) 第10題】一個足月嬰兒出生後哭聲洪亮、四肢活動力好、全身膚色紅潤、心跳大約140/分 、呼吸40/分,抽吸刺激時會有打噴嚏反應,他的Apgar Score為幾分?
詳解
破題關鍵
Apgar Score 評估新生兒五個生理指標,每個指標最高2分,總分最高10分。
選項拆解
登入查看完整詳解與互動作答
【107-2 醫學(四) 第15題】1個月大的嬰兒到健兒門診接受預防注射,目前全母乳哺餵,身體診察時發現眼白泛黃,胸腹部皮膚呈現黃褐色,詢問大便顏色屬「嬰兒大便辨識卡」5號。下列處置何者最不適當?
詳解
破題關鍵
新生兒黃疸若持續超過兩週且大便顏色異常,應優先排除病理性黃疸,而非直接停止母乳。
選項拆解
登入查看完整詳解與互動作答
【107-2 醫學(四) 第26題】下列何者不是胎兒循環轉換為新生兒循環會發生的生理過程?
詳解
破題關鍵
胎兒期卵圓孔就是右至左分流,出生後會關閉,阻止右至左分流。
選項拆解
登入查看完整詳解與互動作答
【107-2 醫學(四) 第12題】除初乳之外,下列關於母乳(Breast milk)與嬰兒配方(Infant formula)的描述和比較何者最為正確?
詳解
破題關鍵
母乳是為嬰兒量身打造的完美食物,其成分比例與配方奶不同,蛋白質含量較低但更易吸收。
選項拆解
登入查看完整詳解與互動作答
【107-2 醫學(四) 第18題】關於嬰兒搖晃症(Shaken baby syndrome)之成因,下列何者較正確?
詳解
破題關鍵
嬰兒搖晃症是因劇烈搖晃導致的腦部損傷,通常是虐待行為。
選項拆解
登入查看完整詳解與互動作答
【107-2 醫學(四) 第23題】有關預防嬰幼兒過敏的觀念,下列敘述何者最不恰當?
詳解
破題關鍵
目前預防過敏的觀念是「不需延遲」副食品,甚至鼓勵早期適量接觸。
選項拆解
登入查看完整詳解與互動作答
【107-2 醫學(四) 第33題】下列何種情形可不需立刻通報兒少保護小組?
詳解
破題關鍵
兒少保護通報的重點在於「非意外」或「可疑」的傷害。
選項拆解
登入查看完整詳解與互動作答
【107-2 醫學(四) 第68題】當戒菸治療的取代療法(replacement therapy)失敗,可以考慮下列那一種藥物?
詳解
破題關鍵
戒菸治療失敗後,可以考慮使用非尼古丁類的藥物來幫助戒菸。
選項拆解
登入查看完整詳解與互動作答
【107-2 醫學(四) 第70題】有關濫用大麻(cannabis)的作用,下列何者正確?
詳解
破題關鍵
大麻會影響中樞神經系統,導致判斷力、記憶力和動作協調能力受損。
選項拆解
登入查看完整詳解與互動作答
【107-2 醫學(四) 第72題】關於輕度智能障礙(mild mental retardation)的敘述,下列何者錯誤?
詳解
破題關鍵
輕度智能障礙的智商範圍和盛行率是國考常考的重點,需要精確記憶。
選項拆解
登入查看完整詳解與互動作答
【107-2 醫學(四) 第79題】3天大的陳小弟因為一種很少見的先天性疾病(Pierre-Robin Syndrome)住在嬰兒室,你必須為他照相以在討論會中使用,但是陳家正處於產下畸形兒的傷痛中,下列何種處理方式是最好的?
詳解
破題關鍵
在醫療情境中,拍攝病患照片用於教學或研究,必須尊重病患隱私並取得知情同意。
選項拆解
登入查看完整詳解與互動作答
【107-2 醫學(四) 第46題】當發生腦血管阻塞後,腦細胞會發生缺血連鎖反應(ischemic cascade);下列反應順序何者為最正確?① 細胞去極化(depolarization) ②鈉鉀離子能量系統瓦解(sodium/potassium ATP pump failure) ③細胞內的鈣離子增加,活化細胞內酵素,溶解胞器(apoptosis) ④釋放興奮性神經傳遞物質,如麩胺酸 (glutamate)
詳解
破題關鍵
腦缺血時,細胞能量耗盡是所有後續傷害的起點。
選項拆解
登入查看完整詳解與互動作答
【107-2 醫學(四) 第48題】造成腦靜脈竇栓塞(cerebral venous sinus thrombosis)的原因,下列何者可能性最低?
詳解
破題關鍵
腦靜脈竇栓塞的危險因子通常與「凝血功能亢進」有關。
選項拆解
登入查看完整詳解與互動作答
【107-2 醫學(四) 第50題】關於重積癲癇(status epilepticus)治療,下列何者錯誤?
詳解
破題關鍵
重積癲癇的治療有明確的優先順序,苯二氮類藥物是第一線。
選項拆解
登入查看完整詳解與互動作答
【107-2 醫學(四) 第52題】一位20歲男性突然發生頸部僵硬的症狀,持續維持在奇怪的姿勢而很難轉動。此患者並無外傷,最近因為胃食道逆流服用metoclopramide藥物治療。此時最好的治療方式是給與下列那一種藥物?
詳解
破題關鍵
頸部僵硬、姿勢異常,且近期服用metoclopramide,這是藥物引起的錐體外徑症狀。
選項拆解
登入查看完整詳解與互動作答
【107-2 醫學(四) 第60題】承上題,所述病症,最可能是下列何種蛋白不正常堆積?
詳解
破題關鍵
承接上題,若題目暗示的是多系統萎縮症 (MSA) 這種同時有小腦共濟失調和巴金森氏症候群的疾病,那麼α-突觸核蛋白的堆積就是關鍵。
選項拆解
登入查看完整詳解與互動作答
【107-2 醫學(四) 第16題】女童突發四肢無力至急診。血壓100/60 mmHg,血液檢查發現:肌酸酐0.6 mg/dL,鈉離子濃度136 mmol/L,鉀離子濃度2.2 mmol/L,滲透壓293 mOsmol/kgH2O。尿液檢查發現:肌酸酐98.5 mg/dL,鈉離子濃度30 mmol/L,鉀離子濃度37 mmol/L,滲透壓370 mOsmol/kgH2O,女童Trans-tubular potassium gradient(TTKG)數值為何?
詳解
破題關鍵
Trans-tubular potassium gradient (TTKG) 是評估腎臟遠端小管鉀離子分泌功能的指標,需套用公式計算。
選項拆解
TTKG = (尿液鉀離子濃度 / 血漿鉀離子濃度) / (尿液滲透壓 / 血漿滲透壓)
登入查看完整詳解與互動作答
【107-2 醫學(四) 第17題】臨床上最廣泛使用來估算兒童腎絲球過濾率(Estimated GFR)的公式或指標為何?
詳解
破題關鍵
兒童腎絲球過濾率 (eGFR) 最常用的是Schwartz formula。
選項拆解
登入查看完整詳解與互動作答
【107-2 醫學(四) 第24題】兒童嚴重型再生不良性貧血的治療選項中,下列何種治療方式之治癒率較高?
詳解
破題關鍵
嚴重型再生不良性貧血的「治癒率較高」的治療方式是幹細胞移植。
選項拆解
登入查看完整詳解與互動作答
【107-2 醫學(四) 第20題】16歲男學生身體診察顯示側睪丸均為2~3毫升,性釋素激試驗顯示睪固酮(Testosterone)<1.0 ng/mL, 泡促素(FSH)之最高值為89.7 IU/L,黃體促素(LH)之最高值為68.6 IU/L。下列何者最符合病人診斷?
詳解
破題關鍵
睪固酮低但FSH/LH高,代表睪丸本身有問題,是原發性性腺功能低下。
選項拆解
登入查看完整詳解與互動作答
【107-2 醫學(四) 第29題】關於染色體核型(Karyotyping),下列敘述何者錯誤?
詳解
破題關鍵
染色體核型的標記方式有其固定規則,長臂短臂要分清楚。
選項拆解
登入查看完整詳解與互動作答
【107-2 醫學(四) 第30題】12歲男孩,身高185公分,四肢極為細長。經眼科檢查發現雙側Lens subluxation,下列何種檢查對診斷最無幫助?
詳解
破題關鍵
這個病人有典型的Marfan syndrome表現,診斷上要找與結締組織異常相關的檢查。
選項拆解
登入查看完整詳解與互動作答
【107-2 醫學(四) 第32題】4歲男童因有自閉行為(Autistic behavior)而就診,出生時的基本新生兒篩檢及常規染色體檢查並無異常。 身體診察顯示頭圍正常、臉型稍長、耳朵大、睪丸體積亦較同年紀男生大。其30歲的媽媽亦因遲遲未能再懷孕,經檢查發現有早發性卵巢衰竭。此男童最有可能患有下列何種疾病?
詳解
破題關鍵
男童的自閉行為、特殊臉型、大耳朵、睪丸體積大,加上媽媽有早發性卵巢衰竭,這些線索指向特定的X染色體相關遺傳疾病。
選項拆解
登入查看完整詳解與互動作答
【107-2 醫學(四) 第56題】下列有關脊髓小腦共濟失調症(spinocerebellar ataxia)的敘述,何者正確?
詳解
破題關鍵
脊髓小腦共濟失調症是一群疾病的總稱,病因和遺傳模式很多元。
選項拆解
登入查看完整詳解與互動作答