【110-1 醫學(四) 第11題】下列何項不是逐步式鑑別診斷(Setpwise diagnostic approach)兒童慢性腹瀉(Chronic diarrhea)的建議 ?
詳解
破題關鍵
慢性腹瀉的鑑別診斷主要圍繞感染、吸收不良、過敏和營養狀況。
選項拆解
登入查看完整詳解與互動作答
共 43 題(登入後可互動作答與查看詳解)
【110-1 醫學(四) 第11題】下列何項不是逐步式鑑別診斷(Setpwise diagnostic approach)兒童慢性腹瀉(Chronic diarrhea)的建議 ?
詳解
破題關鍵
慢性腹瀉的鑑別診斷主要圍繞感染、吸收不良、過敏和營養狀況。
選項拆解
登入查看完整詳解與互動作答
【110-1 醫學(四) 第14題】有關嬰幼兒及兒童期每日膳食營養素參考攝取量(RDIs)的建議,下列何者錯誤?
詳解
破題關鍵
嬰兒的蛋白質來源,動物性蛋白比植物性蛋白更適合。
選項拆解
登入查看完整詳解與互動作答
【110-1 醫學(四) 第20題】關於兒童生長發育的描述,下列何者最不像有內分泌異常的問題?
詳解
破題關鍵
判斷是否為內分泌異常,要看是否超出正常發育範圍或出現不該有的性徵。
選項拆解
登入查看完整詳解與互動作答
【110-1 醫學(四) 第21題】滿月的男嬰因嚴重尿道下裂來求診,檢查發現陰莖長度1.8公分,尿道開口位於陰囊與陰莖交界處,出生後抽血檢查染色體核型為46,XY。下列那一項是最不可能的診斷?
詳解
破題關鍵
46,XY 的男嬰,有嚴重尿道下裂 (hypospadias) 和陰莖短小,代表雄性素作用不足。要找出最不可能導致雄性素作用不足的疾病。
選項拆解
登入查看完整詳解與互動作答
【110-1 醫學(四) 第32題】關於Inborn errors of metabolism,下列敘述何者錯誤?
詳解
破題關鍵
先天性代謝異常 (Inborn errors of metabolism, IEM) 的遺傳模式多樣,但「性聯遺傳」並非大多數。
選項拆解
登入查看完整詳解與互動作答
【110-1 醫學(四) 第27題】有關兒童感染性心內膜炎(Infective endocarditis),下列何者不是感染後預後不佳的高風險(highest risk)族群?
詳解
破題關鍵
感染性心內膜炎的預後高風險族群,通常與心臟結構的「複雜性」或「人工植入物」有關。
選項拆解
登入查看完整詳解與互動作答
【110-1 醫學(四) 第28題】下列何者不是嬰兒期需要修補心室中膈缺損(Ventricular septal defect, VSD)的適應症?
詳解
破題關鍵
心室中膈缺損 (VSD) 需要手術修補的時機,主要是當它對心臟或肺部造成「明顯負擔」或「嚴重症狀」時。
選項拆解
登入查看完整詳解與互動作答
【110-1 醫學(四) 第29題】足月嬰兒2個月大在健兒門診時被聽到第3度收縮期的心雜音,懷疑是心室中膈缺損(Ventricular septal defect)。下列那一種臨床表現最有可能暗示該心臟缺損已經對小嬰兒產生不良的影響?
詳解
破題關鍵
心臟缺損對嬰兒產生不良影響的表現,通常與「心臟負擔增加」和「能量消耗過大」有關。
選項拆解
登入查看完整詳解與互動作答
【110-1 醫學(四) 第30題】下列那一種先天性心臟病或心臟手術術後,最不可能被聽到連續性心雜音(Continuous murmur)?
詳解
破題關鍵
連續性心雜音 (Continuous murmur) 的產生,通常是因為血流在「高壓」與「低壓」之間持續不斷地流動,形成持續性的湍流。
選項拆解
登入查看完整詳解與互動作答
【110-1 醫學(四) 第76題】關於5歲兒童外傷(pediatric trauma)輸液的給法,何者錯誤?
詳解
破題關鍵
兒童休克的生理反應和輸液原則。
選項拆解
登入查看完整詳解與互動作答
【110-1 醫學(四) 第1題】5歲女童發燒5天住院,身體診察有雙眼皮浮腫、肝脾腫大、頸部淋巴結腫大和扁桃腺有象牙白的滲出物,抽血檢查如下:Hb:11 g/dL,Hct:34%,WBC:18300/uL,Atypical lymphocyte:18%,Platelet:350000/uL, GOT:188 IU/L, GPT:374 IU/L,CRP:0.9 mg/dL。此女童最可能是感染下列何種病原體?
詳解
破題關鍵
發燒、淋巴結腫大、扁桃腺滲出物、肝脾腫大,加上血液檢查有異型淋巴球,是傳染性單核球增多症的典型表現。
選項拆解
登入查看完整詳解與互動作答
【110-1 醫學(四) 第2題】1歲大男嬰於接種水痘和麻疹-德國麻疹-腮腺炎疫苗2天後開始高燒6天,經診斷為川崎氏症(Kawasaki disease)並接受高劑量免疫球蛋白治療,出院後服用每天5mg/公斤阿斯匹靈治療。現已出院滿1個月,關於預防接種建議,下列何者最為正確?
詳解
破題關鍵
高劑量免疫球蛋白會干擾「活性減毒疫苗」的效果,但對「非活性疫苗」沒有影響。
選項拆解
登入查看完整詳解與互動作答
【110-1 醫學(四) 第4題】關於預防注射的建議,下列何者錯誤?
詳解
破題關鍵
預防注射的劑量原則是「不減量」,除非是特殊情況。
選項拆解
登入查看完整詳解與互動作答
【110-1 醫學(四) 第5題】最常見引起成人(adults)及兒童(children)感冒(Common cold)的病毒,為下列何者?
詳解
破題關鍵
感冒最常見的元兇是鼻病毒。
選項拆解
登入查看完整詳解與互動作答
【110-1 醫學(四) 第6題】有關哮吼(Croup),下列何者描述最不恰當?
詳解
破題關鍵
哮吼和會厭炎的影像學特徵要分清楚。
選項拆解
登入查看完整詳解與互動作答
【110-1 醫學(四) 第9題】根據臺灣兒科醫學會指引建議,母親有下列何種狀況仍可以親自哺餵母乳?
詳解
破題關鍵
了解哪些情況下母乳哺餵是禁忌,哪些情況下可以繼續。
選項拆解
登入查看完整詳解與互動作答
【110-1 醫學(四) 第12題】關於兒童急性闌尾炎(Acute appendicitis)之敘述,下列何者正確?
詳解
破題關鍵
掌握急性闌尾炎的典型臨床表現和診斷特徵。
選項拆解
登入查看完整詳解與互動作答
【110-1 醫學(四) 第23題】3歲半的小朋友,沒有發燒,昨晚夜間咳嗽明顯。身體診察發現呼吸聲音明顯,聽診雙側有喘息音 (Wheezing),給與短效型支氣管擴張劑(Bronchodilator)後,喘息音明顯改善,下列何種診斷最有可能?
詳解
破題關鍵
喘息音 (Wheezing) 且對支氣管擴張劑 (Bronchodilator) 反應良好,是氣喘 (Asthma) 的典型特徵。
選項拆解
登入查看完整詳解與互動作答
詳解
破題關鍵
這題的解題核心在於辨識圖片中手腳掌的急性紅斑丘疹,並結合病史(感冒後服藥、無痛微癢)來判斷哪些鑑別診斷是合理的,以及哪項診斷方式是不正確的。圖片顯示的病灶型態與異位性皮膚炎的典型表現不符,且IgE並非異位性皮膚炎的診斷依據。
選項拆解
登入查看完整詳解與互動作答
【110-1 醫學(四) 第57題】如果要診斷為神經性梅毒合併失智症,下列那一組檢查結果最具有診斷的正確性?①血清之梅毒螺旋體血球凝集試驗(T. pallidum particle agglutination test, MHA-TP)為陽性反應 ②腦脊髓液之VDRL為陽性反應 ③ 腦脊髓液之TPHA為陽性反應 ④腦波呈現典型的週期性單側癲癇樣放電(periodic lateralized epileptiform discharges)
詳解
破題關鍵
診斷神經性梅毒的關鍵是腦脊髓液 (CSF) 檢查,特別是 VDRL。
選項拆解
登入查看完整詳解與互動作答

詳解
破題關鍵
本題的關鍵在於結合影像判讀(革蘭氏染色結果)與臨床情境(未規則產檢、急產、新生兒呼吸窘迫)來判斷最可能的感染途徑。圖片顯示革蘭氏陽性球菌呈葡萄串狀排列,提示為葡萄球菌屬(Staphylococcus)。新生兒早期敗血症的臨床表現,加上母親未規則產檢,強烈指向垂直傳播的感染途徑。
登入查看完整詳解與互動作答
【110-1 醫學(四) 第7題】純母乳哺餵之足月新生兒在第5天大時被發現皮膚較黃,檢驗全血清膽紅素值為19 mg/dL,直接型膽紅素值為 0.5 mg/dL,下列處置何者最不適合?
詳解
破題關鍵
新生兒黃疸的直接型膽紅素比例是判斷病因的關鍵。
選項拆解
登入查看完整詳解與互動作答
【110-1 醫學(四) 第8題】關於38週的新生男嬰,出生後第1天身體診察的發現,下列何者最為異常?
詳解
破題關鍵
熟悉新生兒的正常生理數值範圍。
選項拆解
登入查看完整詳解與互動作答
【110-1 醫學(四) 第13題】有關膽道閉鎖(Biliary atresia)與新生兒肝炎(Neonatal hepatitis)之敘述,下列何者正確?
詳解
破題關鍵
區分膽道閉鎖和新生兒肝炎的病理特徵、病因和治療時機。
選項拆解
登入查看完整詳解與互動作答
【110-1 醫學(四) 第25題】有關預防嬰幼兒過敏的觀念,下列敘述何者最不恰當?
詳解
破題關鍵
預防過敏的重點在於「正常接觸」,而不是「過度限制」。
選項拆解
登入查看完整詳解與互動作答
【110-1 醫學(四) 第33題】下列有關臺灣新生兒「篩檢疾病」與其「篩檢項目」之配對,何者錯誤?
詳解
破題關鍵
新生兒篩檢的項目通常是檢測「疾病直接相關的代謝物」或「受影響的荷爾蒙」,而不是廣泛的荷爾蒙類別。
選項拆解
登入查看完整詳解與互動作答
【110-1 醫學(四) 第34題】使用口服isotretinoin治療青春痘時,下列何者為絕對禁忌?
詳解
破題關鍵
口服 isotretinoin 是一種強效藥物,其最嚴重的副作用是「致畸胎性」。
選項拆解
登入查看完整詳解與互動作答
【110-1 醫學(四) 第74題】下列關於先天性氣管食道瘻管(congenital tracheoesophageal fistula)的敘述,何者正確?
詳解
破題關鍵
先天性氣管食道瘻管的診斷特徵和合併症。
選項拆解
登入查看完整詳解與互動作答

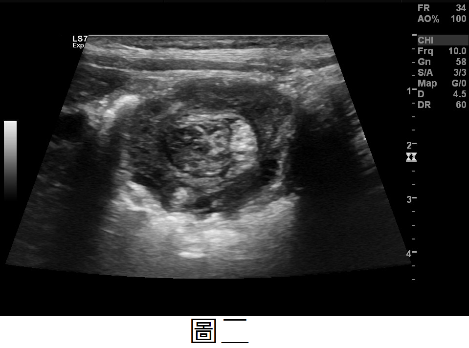
詳解
破題關鍵
本題的關鍵在於辨識9個月大男嬰的典型臨床表現(陣發性哭鬧、嘔吐)以及腹部超音波上特徵性的「甜甜圈徵象」(target sign),這些都指向腸套疊(Intussusception)。
選項拆解
登入查看完整詳解與互動作答
【110-1 醫學(四) 第79題】佳佳是一個15歲的國三少女,即將參加升學考試之際被診斷出罹患一種十分罕見且預後不佳的癌症,所需的化療劑量比起其他癌症高出許多,白血球數目降到很低,為避免感染入住單人病房隔離,此外常常需要接受骨髓檢查以了解治療之效果。主治醫師與家長討論佳佳預後十分不樂觀,目前也無有效的治療方式,但家長堅持無論如何一定要救治他們的女兒,否則就要轉院。佳佳身體狀況越來越差,常常疼痛難耐,且因為掉髮所造成的外觀問題,感到極度沮喪與封閉。下列那一個是佳佳的主治醫師考量她最大利益的最好作法?
詳解
破題關鍵
在預後不佳且治療無效的情況下,如何平衡家長意願、病人痛苦和醫學倫理?
選項拆解
登入查看完整詳解與互動作答
【110-1 醫學(四) 第80題】有關隱私保密,下列何者錯誤?
詳解
破題關鍵
醫療保密原則的例外情況。
選項拆解
登入查看完整詳解與互動作答
【110-1 醫學(四) 第10題】37週出生體重3980公克的新生兒,身體診察發現無呼吸窘迫,右肩內縮,右手臂往內轉(Internal rotation), 右手掌呈現內旋(Pronation)姿勢,其抓握反射正常,驚嚇反射左手正常但右手無法舉起,其他神經學檢查正常。最有可能神經受損的部位為何?
詳解
破題關鍵
根據新生兒臂叢神經損傷的典型表現來判斷受損部位。
選項拆解
登入查看完整詳解與互動作答
【110-1 醫學(四) 第18題】下列有關單純型熱性痙攣(simple febrile seizure)的敘述,何者錯誤?
詳解
破題關鍵
單純型熱性痙攣 (simple febrile seizure) 的「單純」指的是全身性、短暫、單次發作。
選項拆解
登入查看完整詳解與互動作答
【110-1 醫學(四) 第44題】12歲男性,出生即發現右臉有朱紅胎記,合併有癲癇、左側肢體肌力較差,最可能的診斷為何?
詳解
破題關鍵
臉部朱紅胎記合併癲癇和對側肢體無力,是典型的神經皮膚症候群。
選項拆解
登入查看完整詳解與互動作答
【110-1 醫學(四) 第51題】有關原發性常壓性水腦症(idiopathic normal pressure hydrocephalus)的臨床表現與檢查發現,何者正確?
詳解
破題關鍵
常壓性水腦症的典型三聯徵是什麼?
選項拆解
登入查看完整詳解與互動作答
【110-1 醫學(四) 第56題】下列何者不是屬於離子通道病變(channelopathy)?
詳解
破題關鍵
離子通道病變是指基因突變直接導致離子通道功能異常的疾病。
選項拆解
登入查看完整詳解與互動作答
【110-1 醫學(四) 第16題】5歲女童接受化學藥物治療後,發現有輕微蛋白尿與尿糖現象,抽血檢查顯示血中鉀離子2.8 mmol/L,鈉離子 146 mmol/L,氯離子115 mmol/L。血液pH值7.2,重碳酸根離子(HCO3-)18 mmol/L,BE:-4.5 mmol/L,女童Serum anion gap數值為何?
詳解
破題關鍵
陰離子間隙 (Anion Gap) 的計算公式是 Na+ - (Cl- + HCO3-)。
選項拆解
登入查看完整詳解與互動作答
【110-1 醫學(四) 第17題】造成慢性腎臟病兒童身材矮小的原因,下列敘述何者錯誤?
詳解
破題關鍵
慢性腎臟病 (CKD) 兒童身材矮小是多重因素造成,但生長激素 (GH) 分泌通常是正常的,問題在於生長激素的作用受阻。
選項拆解
登入查看完整詳解與互動作答
【110-1 醫學(四) 第22題】4歲小男孩被診斷為Henoch-Schönlein Purpura(HSP),血液檢查報告最有可能是下列何種組合?
詳解
破題關鍵
Henoch-Schönlein Purpura (HSP) 的典型血檢特徵是血小板正常或升高,白血球可能升高,但不會有嚴重貧血或血小板低下。
選項拆解
登入查看完整詳解與互動作答
【110-1 醫學(四) 第26題】有關兒童急性淋巴性白血病的治療,下列何者最正確?
詳解
破題關鍵
兒童白血病治療是多面向的,中樞神經系統的預防是關鍵一環。
選項拆解
登入查看完整詳解與互動作答
【110-1 醫學(四) 第19題】下列何種肌肉疾病,是因肌肉細胞的Dystrophin蛋白發生質或量的變異造成的?
詳解
破題關鍵
Dystrophin 蛋白異常是肌失養症 (Muscular Dystrophy) 的標誌,特別是Duchenne和Becker型。
選項拆解
登入查看完整詳解與互動作答
【110-1 醫學(四) 第31題】一位新生兒經身體診察懷疑唐氏症(Down syndrome),血液染色體核型(Karyotyping)證實為47,XX,+21。 下列敘述何者最為正確?
詳解
破題關鍵
唐氏症 (Down syndrome) 的診斷除了外觀特徵,更重要的是它常合併多種器官系統的先天性異常。
選項拆解
登入查看完整詳解與互動作答
【110-1 醫學(四) 第45題】下列遺傳性疾病,何者最容易有腦出血的併發症?
詳解
破題關鍵
哪個疾病會導致腦部血管異常,進而容易出血?
選項拆解
登入查看完整詳解與互動作答