內分泌代謝1 / 43
【111-2 醫學(四) 第10題】15 歲女童,每當感冒或月經來潮時,就會出現輕微黃疸,其總膽紅素(bilirubin)介於 3~5 mg/dL,屬間接型。無溶血現象,其餘肝功能檢查都正常,約 5 天就緩解。最可能的疾病是:
詳解
破題關鍵
間接型高膽紅素血症,輕微黃疸,在壓力下 (感冒、月經) 惡化,且其他肝功能正常,是Gilbert syndrome的典型表現。
選項拆解
內分泌代謝2 / 43
【111-2 醫學(四) 第19題】新生兒一再發生低血糖(hypoglycemia),當血糖低至 40 mg/dL 時所做的實驗室檢查結果,其中何者不支持高胰島素症(hyperinsulinism)的診斷?
詳解
破題關鍵
高胰島素症會抑制脂肪分解和酮體生成。
選項拆解
-A:正確。在低血糖狀態下,血清胰島素值仍在正常範圍內 (10 μU/mL),相對於低血糖而言,這是「不適當的高」,因此支持高胰島素症。正常情況下,低血糖時胰島素應被抑制到非常低的水平。
內分泌代謝3 / 43
【111-2 醫學(四) 第20題】男童青春期第二性徵的發育,下列何項變化最晚出現?
詳解
破題關鍵
男性青春期發育順序:睪丸變大最先,生長衝刺最晚。
選項拆解
-A:陰莖變長(growth of penis):在睪丸變大和陰毛發育之後,但早於生長衝刺的高峰。
-B:睪丸變大(enlargement of testes):通常是男性青春期發育的第一個徵兆。
內分泌代謝4 / 43
【111-2 醫學(四) 第42題】下列有關雄性禿(androgenetic alopecia)之敘述,何者錯誤?
詳解
破題關鍵
雄性禿是一種慢性、漸進性的毛囊微型化過程,而非急性大量掉髮。
選項拆解
-A:正確。Hamilton-Norwood classification 是一種廣泛用於評估男性雄性禿嚴重程度的分類系統。
心臟血管學5 / 43
【111-2 醫學(四) 第28題】有關川崎氏病(Kawasaki disease)的敘述,除了持續發高燒超過 5 天外,亦須出現主要臨床準據(principal clinical criteria),以符合診斷,但下列何者錯誤?
詳解
破題關鍵
川崎氏病的皮膚脫屑通常發生在病程的「恢復期」,而不是急性期的一週內。
選項拆解
-A:正確。出現不同型態的皮疹是川崎氏病的主要診斷準據之一。
-B:錯在「一週內」。皮膚脫屑通常發生在發病後的 2-3 週,屬於亞急性期或恢復期,而非急性期的一週內。
心臟血管學6 / 43
【111-2 醫學(四) 第29題】引起兒童胸痛(chest pain)的原因當中,下列何者相對少見(less common)?
詳解
破題關鍵
兒童胸痛最常見的原因通常不是心臟問題,而是其他相對良性的原因。
選項拆解
-A:錯誤。先天性心臟病是兒童胸痛相對少見的原因。雖然嚴重,但其導致胸痛的比例遠低於其他選項。
心臟血管學7 / 43
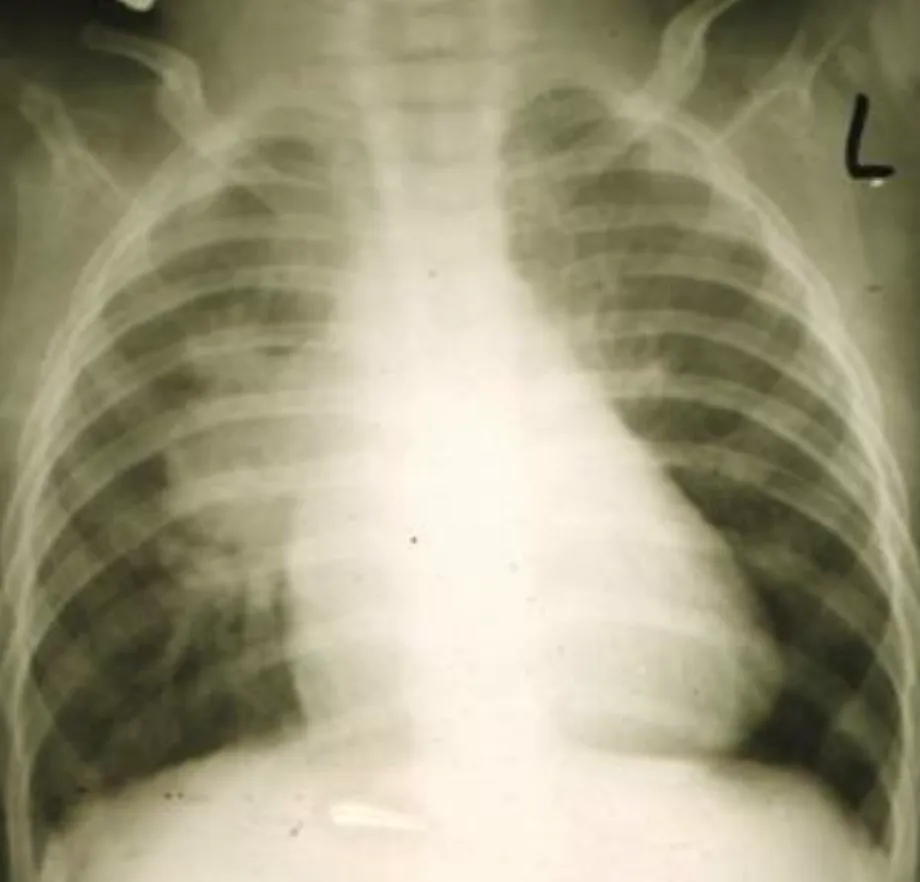
【111-2 醫學(四) 第30題】
一位 6 個月大男嬰因呼吸急促就醫,身體診察時在左胸前可聽到第三度 to-and-fro 心雜音,於右肋下緣 4 公分可觸摸到肝臟腫大,胸部 X 光如圖所示。下列何者為最可能的診斷?

詳解
破題關鍵
這題的關鍵在於結合臨床症狀「呼吸急促」、「to-and-fro 心雜音」、「肝臟腫大」以及胸部X光片上「心臟明顯擴大」和「肺動脈段異常突出」的特徵,指向先天性肺動脈瓣膜缺失症合併心室中隔缺損。
選項拆解
心臟血管學8 / 43
【111-2 醫學(四) 第76題】6 歲女童倒在路邊,現場無其他路人,當你確認無呼吸、無心跳後開始 CPR,壓胸與吹氣的比例為何?
詳解
破題關鍵
單人對兒童進行 CPR 時,壓胸與吹氣的比例與成人相同,都是 30:2。
選項拆解
-A:30:1 不符合任何標準的 CPR 比例。
-B:正確。單人對兒童進行 CPR 時,壓胸與吹氣的比例是 30:2。
-C:15:1 不符合任何標準的 CPR 比例。
感染症9 / 43
【111-2 醫學(四) 第2題】貓抓病(Cat scratch disease)是下列何種細菌引起?
詳解
破題關鍵
記住貓抓病的致病菌名稱。
選項拆解
-A:正確。漢氏巴爾通氏菌 (Bartonella henselae) 是貓抓病的主要致病菌。
-B:Brucella canis (犬布魯氏菌) 引起犬布魯氏菌病,是一種人畜共通傳染病,但不是貓抓病。
感染症10 / 43
【111-2 醫學(四) 第3題】8 個月大的女嬰高燒 3 天,除了發燒外有輕微鼻塞,第 4 天軀幹出現紅疹後不再發燒,關於此疾病下列何者錯誤?
詳解
破題關鍵
根據典型病程(燒退疹出)判斷嬰兒玫瑰疹,並了解其致病原和併發症。
選項拆解
-A:正確。高燒3天,燒退後軀幹出現紅疹,這是嬰兒玫瑰疹 (Roseola infantum) 的典型病程。
感染症11 / 43
【111-2 醫學(四) 第4題】先天性梅毒(Congenital syphilis)的敘述,下列何者錯誤?
詳解
破題關鍵
新生兒的VDRL陽性不一定代表感染,要小心媽媽抗體的影響。
選項拆解
-A:錯在「可確診」。新生兒VDRL陽性可能是媽媽抗體傳給寶寶,不一定代表寶寶真的感染。需要進一步評估或觀察滴度變化。
-B:正確。梅毒螺旋體在孕期任何階段都可能穿過胎盤感染胎兒,導致多種不良妊娠結局。
感染症12 / 43
【111-2 醫學(四) 第15題】有關腸病毒(Enterovirus)重症的敘述,下列何者錯誤?
詳解
破題關鍵
腸病毒重症,尤其是腦幹腦炎,最怕肺水腫,輸液要小心。
選項拆解
-A:錯在大量給與輸液補充。腸病毒重症病人因腦幹受損可能導致肺水腫,過度輸液會加重肺水腫,因此應限水而非大量輸液。
-B:正確。腸病毒重症主要影響未滿 5 歲的幼兒,尤其是 3 歲以下。
感染症13 / 43
【111-2 醫學(四) 第25題】10 個月大的男童,最近 3 個月內反覆發生中耳炎及細菌性肺炎,但之前健康情形尚稱良好。病童有一個哥哥於 9 個月大時,因敗血症過世。身體診察發現無扁桃腺(Tonsils),血中 IgG<200 mg/dL、IgA<5 mg/dL、 IgM<100 mg/dL,此男童最可能的診斷為何?
詳解
破題關鍵
男性嬰兒、反覆細菌感染、無扁桃腺、所有免疫球蛋白都極低,指向 XLA。
選項拆解
感染症14 / 43
【111-2 醫學(四) 第27題】發生嗜中性球低下發燒(Febrile neutropenia)時,有關 Vancomycin 的給與時機及方式,下列何者較不恰當?
詳解
破題關鍵
Vancomycin 輸注過快會導致紅人症候群,加重休克。
選項拆解
-A:錯在加快靜脈輸注速率。Vancomycin 輸注過快會導致紅人症候群,引起低血壓,這對休克病人而言是極度危險且不恰當的。Vancomycin 應緩慢輸注,通常至少 60 分鐘。
感染症15 / 43
【111-2 醫學(四) 第36題】有關於汗斑(pityriasis versicolor)的敘述,下列何者錯誤?
詳解
破題關鍵
汗斑的致病菌是酵母菌,治療藥物的選擇與其作用機制有關。
選項拆解
-A:正確。最常見的致病菌是馬拉色菌 (Malassezia),這是一種酵母菌。
-B:正確。用伍氏燈 (Wood lamp) 照射汗斑病灶,可以看到黃綠色的螢光,這是馬拉色菌的代謝產物所致。
感染症16 / 43
【111-2 醫學(四) 第37題】一位 5 歲男童出現發燒、倦怠、上呼吸道症狀、喉嚨痛、肚子痛,以及如圖皮疹約 3 天,下列相關敘述何者錯誤?

詳解
破題關鍵
這題的解題核心在於辨識圖片中手腳的典型皮疹,判斷為手足口病,並了解其常見病原體與嚴重程度的差異。圖片清楚呈現了手掌和腳背上散佈的紅色丘疹和水泡,這是手足口病的經典表現。
選項拆解
感染症17 / 43
【111-2 醫學(四) 第56題】下列何種造成中樞神經感染之病原體易攻擊腦部的前顳葉,常可於腦部磁振造影發現該處之病灶?
詳解
破題關鍵
特定病原體有其偏好的攻擊部位,單純疱疹病毒腦炎 (HSV encephalitis) 的病灶位置非常典型。
選項拆解
-A:正確。單純疱疹病毒腦炎 (HSV encephalitis) 具有高度的嗜顳葉和額葉性,在腦部影像上常可見前顳葉病灶。
感染症18 / 43
【111-2 醫學(四) 第78題】60 歲漁夫過去病史有糖尿病與肝硬化,因處理魚鰭不慎刺傷左手,隔天出現發燒,手掌與手背出現暗黑色出血的水泡,檢傷時生命徵象如下:體溫 38.1℃,心跳 140/min,呼吸 24/min,血壓 80/54 mmHg,此病人的病因與處置,下列何者最正確?
詳解
破題關鍵
處理海產相關的傷口感染,特別是伴有肝硬化病史的病人,要高度懷疑海洋弧菌感染,並給予適當的抗生素組合。
選項拆解
新生兒醫學19 / 43
【111-2 醫學(四) 第5題】新生兒維持正常體溫而氧氣消耗量最少的環境溫度叫中性環境溫度(neutral thermal environment)。下列何者不會影響中性環境溫度的調控?
詳解
破題關鍵
中性環境溫度主要受物理環境和寶寶生理成熟度影響,餵食量不是直接影響因子。
選項拆解
-A:錯在「不影響」。環境對流作用 (Convection) 會帶走新生兒皮膚表面的熱量,影響體溫散失,因此會影響NTE。
新生兒醫學20 / 43
【111-2 醫學(四) 第7題】剛出生的男嬰,出生後不久隨即發現口鼻冒泡泡,餵食時容易嗆奶、咳嗽、喘,甚至會發紺,放置口胃管時, 有阻力而無法順利完成,最有可能的診斷為何?
詳解
破題關鍵
新生兒口鼻冒泡、嗆奶、發紺,且胃管無法順利置入,是食道閉鎖的典型表現。
選項拆解
-A:錯在先天性橫膈膜疝氣 (congenital diaphragmatic hernia)。此病是腹腔臟器經由橫膈膜缺損進入胸腔,主要表現為呼吸窘迫,但通常不會有胃管無法置入的問題。
新生兒醫學21 / 43
【111-2 醫學(四) 第8題】有關懷孕週數 40 週新生兒的身體診察,下列何者最為異常?
詳解
破題關鍵
40週新生兒的頭圍通常在33-35公分左右,38公分明顯過大。
選項拆解
-A:錯在「異常」。體重 3.3 公斤 (3300公克) 在足月新生兒的正常範圍內。
-B:錯在「異常」。身長 50 公分在足月新生兒的正常範圍內。
新生兒醫學22 / 43
【111-2 醫學(四) 第11題】下列有關先天性巨結腸症(Hirschsprung disease)的敘述,何者錯誤?
詳解
破題關鍵
先天性巨結腸症的病理特徵是缺乏神經節細胞,導致直腸內括約肌無法放鬆,因此直腸內壓測定會顯示肛門括約肌「無法放鬆」,而不是壓力下降。
選項拆解
新生兒醫學23 / 43
【111-2 醫學(四) 第18題】有關新生兒的身體診察,下列敘述何者錯誤?
詳解
破題關鍵
胎頭血腫不會越過骨縫,胎頭水腫才會。
選項拆解
-A:正確。Moro reflex 不對稱是臂神經叢受損的徵兆。
-B:錯在越過骨縫。胎頭血腫 (Cephalohematoma) 是骨膜下出血,不會越過骨縫。會越過骨縫的是胎頭水腫 (Caput succedaneum)。
新生兒醫學24 / 43
【111-2 醫學(四) 第22題】下呼吸道阻塞,最不會出現下列那一項徵候?
詳解
破題關鍵
下呼吸道阻塞是喘鳴 (wheezing),上呼吸道阻塞才是哮鳴 (stridor)。
選項拆解
-A:Intercostal retraction:正確。下呼吸道阻塞會導致呼吸做功增加,引起肋間凹陷。
-B:Wheezing:正確。喘鳴是下呼吸道阻塞的典型徵候。
新生兒醫學25 / 43
【111-2 醫學(四) 第75題】關於嬰幼兒斜頸症,下列敘述何者最不恰當?
詳解
破題關鍵
嬰幼兒斜頸症最常見的原因是肌肉性斜頸,其病理變化主要在胸鎖乳突肌。
選項拆解
-A:正確。嬰兒斜頸症絕大多數是先天性肌肉性斜頸。
-B:正確。先天性肌肉性斜頸大多發生在右側胸鎖乳突肌。
-C:正確。嬰兒斜頸症常合併髖關節發育不良,因此建議在 6 週大以前進行髖關節超音波篩檢。
社會與發展26 / 43
【111-2 醫學(四) 第77題】性侵兒童者最常見於下列何種身分?
詳解
破題關鍵
兒童性侵案件中,加害者往往是兒童認識或信任的人,而非陌生人。
選項拆解
-A:陌生人是兒童性侵案件中較不常見的加害者身分。
-B:正確。熟人(包括家庭成員、親戚、朋友、鄰居等)是兒童性侵案件中最常見的加害者身分。
社會與發展27 / 43
【111-2 醫學(四) 第79題】小兒科的林醫師看診時,一位婦女依燈號進入診間,說明此次來是要為她 5 歲的兒子辦保險,需要開立診斷證明書,而兒子沒來。她的兒子於兩年前因志賀桿菌腸炎(Shigella enteritis)住院 10 天,林醫師是當時他的主治醫師。病人出院後未遵照出院時的約診回診,其後來門診 4 次看病,均不是給林醫師看。此位母親要求林醫師在診斷書上說明兒子 2 年前住院情形及目前一切正常。下列林醫師的那一種作法最不恰當?
詳解
破題關鍵
醫師開立診斷證明書必須基於「親自診察」的結果,且內容必須真實反映病人的健康狀況。
選項拆解
-A:正確。醫師告知因孩子未來看診,不能開立診斷書,符合醫師法規定。
-B:錯誤。醫師未親自診察就開立診斷書,且無法確認病人目前「一切正常」的狀況,違反醫師法規定,也可能涉及不實證明。
社會與發展28 / 43
【111-2 醫學(四) 第80題】未婚的 60 歲吳先生罹患進行性肌肉萎縮症,近 20 年來,他孤單地住在療養院完全躺臥在床。雖然他意識與智能正常,但須仰賴他人餵食及翻身,大小便也需他人協助。近 2 年來因為罹患尿毒症,療養院每週三次推他去接受洗腎。近半年來,雖然經各方輔導鼓勵,吳先生不停地要求:「不要再推他去洗腎,希望早日回天國, 結束這一生的痛苦」。療養院人員與醫師均認為生命來自天主,堅持須繼續進行洗腎。下列何者最適當?
詳解
破題關鍵
病人有權利拒絕治療,即使這可能導致死亡。
選項拆解
-A:正確。吳先生意識與智能正常,明確表達不願繼續洗腎,這是他行使病人自主權的表現,應予以尊重。
神經學29 / 43
【111-2 醫學(四) 第14題】10 歲男童有癲癇病史,長期使用抗癲癇藥物控制。出現全身性強直陣攣發作送到急診,抽血檢驗發現,[Na+] =140 mEq/L, [K+]=4.0 mEq/L, [Cl-]=98 mEq/L,動脈血液氣體分析為 pH=7.14,PaCO2=46 mmHg,[HCO3-] =17 mEq/L。有關此病人的敘述,下列何者錯誤?
詳解
破題關鍵
先算陰離子間隙 (Anion Gap),再判斷酸鹼失衡類型。
選項拆解
-A:正確。病人的 pH 值 7.14 (酸中毒),PaCO2 46 mmHg (偏高,呼吸性酸中毒),HCO3- 17 mEq/L (偏低,代謝性酸中毒)。因此是代謝性酸中毒合併呼吸性酸中毒。
神經學30 / 43
【111-2 醫學(四) 第33題】唐氏症(Down syndrome)的患童約 15%有頸椎曲度異常(Misalignment of cervical vertebra),其中最好發在那一節頸椎?
詳解
破題關鍵
唐氏症患者的頸椎不穩定性,最常發生在寰椎與樞椎之間。
選項拆解
-A:正確。唐氏症患童最常發生頸椎曲度異常或不穩定的位置是寰樞椎關節 (C1-C2),特別是寰椎 (C1) 與樞椎 (C2) 之間的寰樞椎不穩定 (atlantoaxial instability)。
神經學31 / 43
【111-2 醫學(四) 第45題】42 歲男性病人突然發生左側肢體無力,無顯影劑之腦部電腦斷層(non-contrast CT)檢查結果如圖①,於 2 天後病人因漸進性意識不清再次安排了腦部 CT 檢查,結果如圖②。下列何種治療最有可能增進此病人的存活機會?

詳解
破題關鍵
這題的解題核心在於辨識腦部出血後,因血塊擴大和周圍水腫導致的嚴重顱內壓升高,進而產生腦中線位移,危及生命。圖片中兩次電腦斷層的對比,清楚顯示了病灶的惡化,因此需要能立即降低顱內壓的治療。
選項拆解
-A:錯在抗凝血劑會加重出血,對於腦出血的病人是絕對禁忌。
神經學32 / 43
【111-2 醫學(四) 第47題】21 歲女性初次被診斷為顳葉癲癇,並準備開始服用抗癲癇藥物,下列何者考量最不適當?
詳解
破題關鍵
不同抗癲癇藥物有不同的副作用和使用禁忌,特別是針對特定基因型或特殊族群(如孕齡女性)。
選項拆解
-A:錯在 HLA-B*1500。正確的基因型是 HLA-B*1502,主要與 carbamazepine 和 phenytoin 相關,在亞洲人中風險較高。
神經學33 / 43
【111-2 醫學(四) 第50題】40 歲女性得了急性失語症,測驗時她還可以重複簡短字句。她最可能的失語症類型是:
詳解
破題關鍵
失語症的分類關鍵在於「重複能力」是否保留,以及「理解」和「表達」的能力。
選項拆解
-A:傳導性失語症(conduction aphasia)的重複能力是嚴重受損的,與題目描述不符。
神經學34 / 43
【111-2 醫學(四) 第54題】下列疾病中,何者最常以近端肢體無力(proximal weakness)為初期表現?
詳解
破題關鍵
「近端肢體無力」是許多肌肉疾病的典型表現,特別是發炎性肌病變。
選項拆解
-A:正確。多發性肌炎的典型表現就是進行性、對稱性的近端肢體無力,這是其最常的初期表現。
-B:糖尿病多發性神經病變主要影響遠端肢體,表現為感覺異常和無力,與近端肢體無力不符。
神經學35 / 43
【111-2 醫學(四) 第72題】有關妥瑞氏症(Tourette's disorder),下列敘述何者錯誤?
詳解
破題關鍵
妥瑞氏症的病生理機轉與多巴胺系統過度活躍有關,因此治療方向是「抑制」多巴胺,而非增加。
選項拆解
-A:正確。妥瑞氏症具有高度遺傳性,多個基因與其相關,包括第 13 對染色體長臂。
-B:正確。ADHD 和 OCD 是妥瑞氏症最常見的共病症。
腎臟泌尿學36 / 43
【111-2 醫學(四) 第12題】8 歲女童一個月前皮膚出現化膿性感染,這兩天尿液變少、雙側眼皮水腫。血壓 115/80 mmHg、心跳每分鐘 85 次、呼吸每分鐘 22 次。血中白血球數為 12,000/mm3、血色素 9.6 g/dL、血小板 280,000/mm3 。尿液檢查顯示 OB 3+、RBC 35~50/HPF、WBC 5~10/HPF、尿蛋白 100 mg/dL。下列何者為最可能的診斷?
詳解
破題關鍵
兒童在皮膚感染後出現血尿、水腫、尿量減少和高血壓,是急性鏈球菌感染後腎絲球腎炎的典型表現。
選項拆解
腎臟泌尿學37 / 43
【111-2 醫學(四) 第13題】有關兒童腎病症候群(Idiopathic nephrotic syndrome)的敘述,下列何者錯誤?
詳解
破題關鍵
腎病症候群因大量蛋白尿導致凝血因子流失,但同時也流失抗凝血因子,且肝臟代償性合成凝血因子,反而容易造成「高凝血」狀態,而非不易凝固。
選項拆解
-A:錯在「錯誤」。尿中蛋白大量流失 (Nephrotic-range proteinuria) 是腎病症候群的定義性特徵之一。
血液腫瘤學38 / 43
【111-2 醫學(四) 第23題】有關幼年特發性關節炎(Juvenile idiopathic arthritis, JIA),下列敘述何者錯誤?
詳解
破題關鍵
葡萄膜炎最常發生在少關節亞型,尤其是 ANA 陽性的女孩。
選項拆解
-A:正確。根據 JIA 的診斷標準,無論哪種亞型,都必須有關節炎才能下診斷。
-B:正確。JIA 是一種排除性診斷,主要依賴臨床表現和病程,實驗室檢查用於輔助分類和評估預後。
血液腫瘤學39 / 43
【111-2 醫學(四) 第26題】唐氏症(Down syndrome)兒童最常罹患下列何種白血病 ?
詳解
破題關鍵
唐氏症兒童罹患急性骨髓性白血病 (AML) 的風險,尤其是急性巨核細胞白血病 (AMKL),顯著高於一般兒童。
選項拆解
血液腫瘤學40 / 43
【111-2 醫學(四) 第34題】下列何者不是慢性蕁麻疹(chronic urticaria)的建議療法?
詳解
破題關鍵
慢性蕁麻疹的治療原則是避免長期使用有嚴重副作用的藥物。
選項拆解
-A:正確。抗組織胺 (antihistamine),特別是第二代非鎮靜型抗組織胺,是慢性蕁麻疹的第一線治療。
醫學遺傳學41 / 43
【111-2 醫學(四) 第6題】一個新生兒外觀異常,有低位耳(low-set ears)、上顎裂(midline facial clefts)與下頜骨發育異常 (hypomandibular abnormalities),並因為低血鈣(hypocalcemia)而引發肌肉強直性痙攣(tetany),最可能的診斷為:
詳解
破題關鍵
低位耳、上顎裂、下頜骨發育異常加上低血鈣引起的肌肉痙攣,這些症狀組合指向DiGeorge syndrome。
選項拆解
醫學遺傳學42 / 43
【111-2 醫學(四) 第9題】下列何種狀況最不易見到急性膽囊水腫(Acute hydrops of the gallbladder)?
詳解
破題關鍵
急性膽囊水腫通常與全身性發炎或感染有關,囊腫性纖維化主要影響外分泌腺,較少直接導致急性膽囊水腫。
選項拆解
-A:錯在「不易見到」。川崎氏病 (Kawasaki disease) 是一種全身性血管炎,常合併急性膽囊水腫,因此是常見原因。
醫學遺傳學43 / 43
【111-2 醫學(四) 第32題】5 歲男童,身材較矮,學習遲緩,眼裂下垂,耳位低,而且有肺動脈狹窄。下列何者為最可能的診斷?
詳解
破題關鍵
矮小、學習遲緩、特殊臉部特徵,加上「肺動脈狹窄」,是努南氏症的典型組合。
選項拆解