【106-2 醫學(四) 第4題】自然產之7天大嬰兒,出現嘔吐及進食困難症狀,身體診察發現有角弓反張(opisthotonos),實驗室檢查有 低血糖現象,尿液檢查正常,汗水有一奇特的味道,病人有代謝性酸中毒。最可能的診斷為:
詳解
破題關鍵
嬰兒出現角弓反張這種嚴重神經症狀,加上嘔吐、進食困難,要優先考慮中樞神經系統的結構性問題,尤其是當尿液檢查結果正常時。
選項拆解
登入查看完整詳解與互動作答
共 35 題(登入後可互動作答與查看詳解)
【106-2 醫學(四) 第4題】自然產之7天大嬰兒,出現嘔吐及進食困難症狀,身體診察發現有角弓反張(opisthotonos),實驗室檢查有 低血糖現象,尿液檢查正常,汗水有一奇特的味道,病人有代謝性酸中毒。最可能的診斷為:
詳解
破題關鍵
嬰兒出現角弓反張這種嚴重神經症狀,加上嘔吐、進食困難,要優先考慮中樞神經系統的結構性問題,尤其是當尿液檢查結果正常時。
選項拆解
登入查看完整詳解與互動作答
【106-2 醫學(四) 第7題】先天性甲狀腺低能症(congenital hypothyroidism)的新生兒,最常見下列何項症狀?
詳解
破題關鍵
先天性甲狀腺低能症的寶寶出生時症狀通常不明顯,但持續性黃疸是常見的早期警訊。
選項拆解
登入查看完整詳解與互動作答
第23題 12歲男童,出生體重、身長及一歲前生長發育均正常,身體診察發現身高低於正常平均值,骨齡比實際年齡 小,抽血檢查發現生長因子(IGF-1)低於年齡正常值但與骨齡相吻合,下列何者正確?
詳解
破題關鍵
這個孩子雖然身高較矮、生長因子較低,但骨齡也跟著慢,而且生長因子數值與骨齡是吻合的,表示他只是「發育比較慢」,而不是真的缺乏生長激素或生長因子。
選項拆解
登入查看完整詳解與互動作答
第11題 16歲女孩,因遲遲沒有初經,但有乳房發育,外生殖器也屬於典型女性,染色體檢查結果為46, XY,下列何種情況最不可能?
詳解
破題關鍵
這位16歲女孩雖然基因是46, XY,但外觀卻是女性,有乳房發育,而且外生殖器是典型的女性。解題核心在於判斷哪種狀況最不可能導致一個基因男性(46, XY)卻呈現出如此「女性化」的外觀。
選項拆解
登入查看完整詳解與互動作答

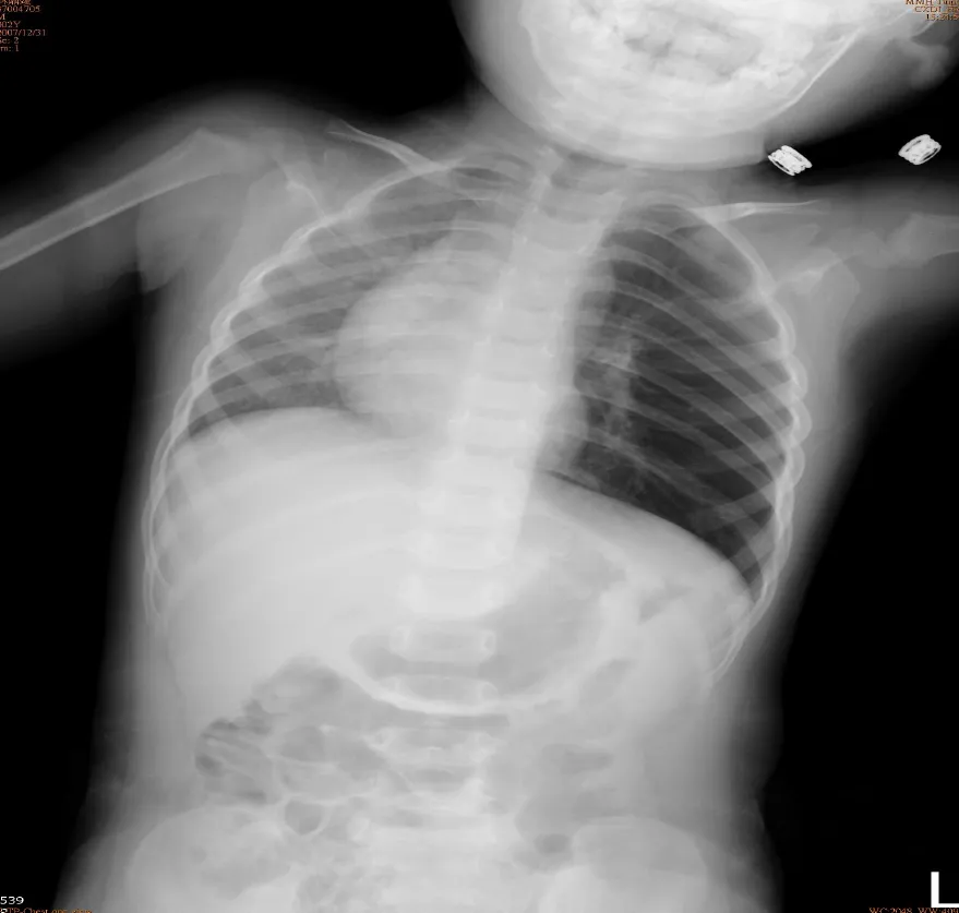
詳解
破題關鍵
這是一個典型的兒童呼吸道異物案例,影像上最關鍵的線索是左側肺部過度充氣(hyperinflation)合併縱膈腔(mediastinum)向右側偏移。
選項拆解
登入查看完整詳解與互動作答
【106-2 醫學(四) 第8題】有關Henoch-Schönlein purpura的敘述,下列何者正確?
詳解
破題關鍵
HSP的紫斑不是因為血小板太少,所以血小板數目是正常的。
選項拆解
登入查看完整詳解與互動作答
【106-2 醫學(四) 第10題】當法洛氏四重症(tetralogy of Fallot)病兒發生發紺發作(hypoxic spells, blue spells)時,心雜音會如何改 變?
詳解
破題關鍵
發紺發作時,右心室出口狹窄的血流減少,所以心雜音會變小聲。
選項拆解
登入查看完整詳解與互動作答
【106-2 醫學(四) 第12題】10個月大的男嬰高燒6天,軀幹及四肢可見皮膚紅疹且手腳腫脹,結膜充血發紅,同時有草莓舌及嘴唇乾裂, 在頸部可摸到淋巴結腫大,下列何者錯誤?
詳解
破題關鍵
這個題目考你對川崎氏症的診斷、治療原則,以及施打疫苗的時機。
選項拆解
登入查看完整詳解與互動作答
【106-2 醫學(四) 第29題】下列何者為足月生產兒童最常見的先天性心臟病?
詳解
破題關鍵
這題是考足月新生兒最常見的先天性心臟病,直接記憶答案即可。
選項拆解
登入查看完整詳解與互動作答
【106-2 醫學(四) 第30題】下列何種先天性心臟病(congenital heart disease),最少見到在新生兒出生一週內,即發生嚴重的發紺 (severe cyanosis)現象?
詳解
破題關鍵
這題在問哪種先天性心臟病「最不可能」在出生一週內就出現「嚴重發紺」,所以要找一個本身不會造成發紺,或是發紺不明顯的疾病。
選項拆解
登入查看完整詳解與互動作答
【106-2 醫學(四) 第2題】有關非傷寒沙門氏菌(nontyphoidal Salmonella)感染,下列何者不須常規使用抗生素治療?
詳解
破題關鍵
非傷寒沙門氏菌感染通常是自限性腸胃炎,健康且非高風險族群的病人,一般不建議常規使用抗生素。
選項拆解
登入查看完整詳解與互動作答
【106-2 醫學(四) 第9題】E-B病毒(Epstein-Barr virus)急性感染後引起的單核球增多症(infectious mononucleosis),下列何種血清抗體最晚出現?
詳解
破題關鍵
這題考的是EB病毒感染後,不同抗體出現的先後順序,EBNA抗體通常最晚才出現。
選項拆解
登入查看完整詳解與互動作答
【106-2 醫學(四) 第13題】5歲女童因發燒5天而住院,同時有鼻塞及雙眼皮浮腫,身體診察有肝脾腫大、頸部淋巴結腫大、化膿性扁桃 腺炎,住院後抽血檢查報告如下: 血紅素:11 g/dL,血比容:34%,白血球 : 13300/uL,非典型淋巴球:20%,血小板:200000/uL,GOT: 94 IU/L,GPT:109 IU/L,C-反應蛋白:3.535 mg/dL。最可能是下列何種感染?
詳解
破題關鍵
看到發燒、淋巴結腫大、肝脾腫大,加上血液報告有高比例的「非典型淋巴球」,就要想到傳染性單核球增多症。
選項拆解
登入查看完整詳解與互動作答
【106-2 醫學(四) 第18題】下列何種檢查,最無法確定目前胃中有幽門桿菌(Helicobacter pylori)感染?
詳解
破題關鍵
血中抗體陽性只能代表你以前感染過,不一定代表現在還有細菌在胃裡。
選項拆解
登入查看完整詳解與互動作答
【106-2 醫學(四) 第26題】有關6歲蕁麻疹(urticaria)病童,下列敘述何者正確?
詳解
破題關鍵
蕁麻疹治療首重抗組織胺,慢性蕁麻疹若效果不佳可提高劑量。
選項拆解
登入查看完整詳解與互動作答
【106-2 醫學(四) 第77題】下列何者非會厭炎(epiglottitis)典型之症狀?
詳解
破題關鍵
會厭炎是上呼吸道阻塞,所以症狀會是上呼吸道阻塞的表現,而不是下呼吸道的問題。
選項拆解
登入查看完整詳解與互動作答
第17題 許多腸道病原體感染,亦會產生腸道外疾病,下列那一種病原體與腸道外疾病的組合錯誤?
詳解
破題關鍵
這題要你找出哪個腸道病原體和它引起的腸道外疾病配對是「錯的」。
選項拆解
登入查看完整詳解與互動作答
【106-2 醫學(四) 第3題】剛出生的足月兒,體重3,000公克,嬰兒室護理師通知你,此足月兒呼吸60次/分,心跳130次/分,肛溫37℃, 嘴邊常常流出大量白沫,偶爾會咳嗽。下列何者為最可能的診斷?
詳解
破題關鍵
新生兒嘴邊流出大量白沫,是食道閉鎖的經典表現。
選項拆解
登入查看完整詳解與互動作答
【106-2 醫學(四) 第14題】足月新生兒,身長42 cm、體重 2.3 kg、頭圍偏小、小眼廓、下頜發育不良、上唇薄,下列疾病中最可能的診 斷為何?
詳解
破題關鍵
看到新生兒生長遲緩(身長、體重、頭圍都小)加上特殊臉部特徵(小眼、薄上唇、下巴小),就要想到媽媽懷孕期間可能飲酒。
選項拆解
登入查看完整詳解與互動作答
【106-2 醫學(四) 第15題】新生兒胎便吸入(meconium aspiration syndrome)的標準處置中,為了避免惡化甚至引起持續性肺動脈高壓 (pulmonary hypertension),下列何者為最首要的處理?
詳解
破題關鍵
新生兒胎便吸入症候群最首要的處理,是確保呼吸道暢通並及時處理呼吸問題,避免肺部進一步受損和缺氧。
選項拆解
登入查看完整詳解與互動作答
【106-2 醫學(四) 第16題】緊急處理新生兒氣胸(pneumothorax)時,可於胸壁那個位置垂直插入引流針治療?
詳解
破題關鍵
新生兒氣胸急救時,引流針的標準插入位置是第二肋間,因為這裡最安全且能有效排出積氣。
選項拆解
登入查看完整詳解與互動作答
【106-2 醫學(四) 第19題】有關腸套疊(intussusception)之敘述,下列何者錯誤?
詳解
破題關鍵
這題的重點在於區分兒童腸套疊的「原因」,大多數嬰幼兒的腸套疊是找不到明確原因的。
選項拆解
登入查看完整詳解與互動作答
【106-2 醫學(四) 第25題】關於嬰兒猝死症候群(sudden infant death syndrome , SIDS)的敘述,下列何者錯誤?
詳解
破題關鍵
這題主要考驗你對嬰兒猝死症候群(SIDS)的定義、發生率高峰期以及危險因子的掌握度。
選項拆解
登入查看完整詳解與互動作答
【106-2 醫學(四) 第33題】承上題,對該嬰兒之處置,下列何者最非必要?
詳解
破題關鍵
在新生兒檢查中,肺部電腦斷層掃描因輻射劑量高且通常有其他替代檢查,所以最不常作為常規或初步評估。
選項拆解
登入查看完整詳解與互動作答
【106-2 醫學(四) 第6題】一位母親帶兩歲大幼兒至門診接受健康檢查,擔心孩子比同年齡的小孩發展較慢。下列那一個狀況需要轉介至 聯合評估中心做進一步的發展評估?
詳解
破題關鍵
兩歲幼兒若家長擔心發音不清楚,即使是特定音節,也應轉介評估,以排除潛在的語言發展遲緩。
選項拆解
登入查看完整詳解與互動作答
【106-2 醫學(四) 第79題】依我國相關法律規定,下列敘述何者錯誤?
詳解
破題關鍵
這題的陷阱在於法律名稱的更新,以及民法對行為能力的精確定義。
選項拆解
登入查看完整詳解與互動作答
【106-2 醫學(四) 第80題】12歲小婷罹患第一型糖尿病已有2年,這期間她因為暴瘦、多尿、喘息及脫水進出醫院加護病房已有7次,醫 師懷疑她沒有遵循治療計畫,沒有施打胰島素。雖然經多方輔導及說服,她仍堅不配合,家屬也一副事不關 己的態度,認為一切問題往醫院送就會得到解決。現在,她又很危急地被送到急診室來,下列何種處置最合 適?
詳解
破題關鍵
面對青少年慢性病患反覆拒絕治療,最重要的是找出背後原因並提供心理支持,而非僅處理當下症狀或強制治療。
選項拆解
登入查看完整詳解與互動作答
【106-2 醫學(四) 第5題】有關IgA nephropathy的敘述,下列何者錯誤?
詳解
破題關鍵
IgA腎病變雖然在腎臟移植後可能復發,但腎臟移植仍是末期腎病的重要治療選項,並非禁忌。
選項拆解
登入查看完整詳解與互動作答
【106-2 醫學(四) 第20題】關於高血鉀(hyperkalemia)的處理,下列何者敘述錯誤?
詳解
破題關鍵
處理高血鉀時,胰島素和葡萄糖是好搭檔,缺一不可。
選項拆解
登入查看完整詳解與互動作答
【106-2 醫學(四) 第21題】15歲男生為田徑隊員,在訓練3小時後,發生雙側大腿疼痛,尿液變成紅色而至急診求診。尿液檢查發現,潛 血反應(occult blood):3+, urobilinogen: 3+, RBC:1-2/HPF,WBC:0~2/HPF。抽血檢查發現, AST/ALT= 120/130 U/L,K=5.0 mM,LDH=400 mg/dL, CK=143,840 U/L。下列何者為最可能的診斷?
詳解
破題關鍵
運動後肌肉疼痛、尿液變紅但紅血球數少,加上肌酸激酶(CK)極度升高,是橫紋肌溶解症的典型表現。
選項拆解
登入查看完整詳解與互動作答

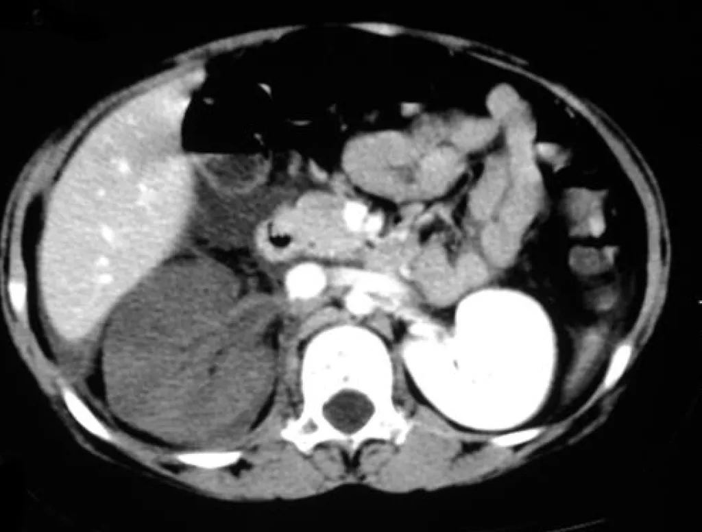
詳解
破題關鍵
這題的解題核心在於辨識電腦斷層掃描影像中,左右兩側腎臟對比劑灌注的差異。圖片顯示右腎幾乎沒有對比劑強化,而左腎則正常強化,這強烈暗示右腎的血流供應出了問題。
選項拆解
登入查看完整詳解與互動作答
【106-2 醫學(四) 第27題】關於缺鐵性貧血(iron-deficiency anemia)的敘述, 下列何者錯誤?
詳解
破題關鍵
缺鐵性貧血時,紅血球大小會變得不均勻,所以紅血球分佈寬度(RDW)會增加,而不是減少。
選項拆解
登入查看完整詳解與互動作答
【106-2 醫學(四) 第28題】1歲孩童因眼睛無虹膜(aniridia),門診定期接受腹部超音波檢查,1年後發現腹部有腫瘤,下列何種腫瘤最 有可能?
詳解
破題關鍵
看到兒童有「無虹膜」合併「腹部腫瘤」,直接聯想到WAGR症候群。
選項拆解
登入查看完整詳解與互動作答
【106-2 醫學(四) 第24題】有關於先天性免疫缺損症的敘述,下列何者錯誤?
詳解
破題關鍵
補體缺損確實會增加自體免疫疾病風險,但並非所有路徑的缺損都一樣,古典路徑的缺損與自體免疫疾病的關聯性更高。
選項拆解
登入查看完整詳解與互動作答
【106-2 醫學(四) 第31題】有關Trisomy18(Edwards syndrome)的敘述,下列何者錯誤?
詳解
破題關鍵
這題考驗你對Trisomy 18(愛德華氏症)典型身體特徵的熟悉度,找出其中描述錯誤的選項。
選項拆解
登入查看完整詳解與互動作答