內分泌代謝1 / 46
【109-2 醫學(四) 第11題】各種成分在小腸吸收的主要部位,下列敘述何者錯誤?
詳解
破題關鍵
小腸各段吸收的營養素有其主要位置,鐵主要在小腸的前段吸收。
選項拆解
-A:正確。葉酸 (Folic acid) 主要在十二指腸 (Duodenum) 和近端空腸 (Proximal jejunum) 吸收。
內分泌代謝2 / 46
【109-2 醫學(四) 第12題】關於全靜脈營養合併膽汁滯留(Total parenteral nutrition(TPN)-associated cholestasis)的敘述,下列何者錯誤?
詳解
破題關鍵
全靜脈營養引起的膽汁滯留通常需要較長時間的TPN治療才會出現症狀。
選項拆解
-A:正確。早產、敗血症和短腸症候群 (Short bowel syndrome) 都是TPN相關膽汁滯留的已知危險因子。
內分泌代謝3 / 46
【109-2 醫學(四) 第14題】下列那一項不是診斷抗利尿激素不適當分泌症候群(Syndrome of inappropriate antidiuretic hormone secretion) 的排除條件?
詳解
破題關鍵
抗利尿激素不適當分泌症候群 (SIADH) 的診斷,需要排除其他可能導致低血鈉和高尿液滲透壓的疾病,尤其是心、肝、腎、甲狀腺功能異常。
選項拆解
內分泌代謝4 / 46
【109-2 醫學(四) 第19題】下列何項不是兒童接受合成生長激素(recombinant growth hormone)治療的併發症或副作用?
詳解
破題關鍵
庫賈氏病是一種由普利昂蛋白 (prion) 引起的疾病,過去曾因使用來自人類屍體的生長激素而傳播,但現在合成生長激素已無此風險。
選項拆解
內分泌代謝5 / 46
【109-2 醫學(四) 第20題】10歲女孩,瘦小,家族無糖尿病病史,最近發現有多吃多尿,尿液檢查呈現尿糖及尿酮反應,血液檢查發現高血糖,最有可能之診斷為何?
詳解
破題關鍵
10歲女孩,瘦小,多吃多尿,尿糖尿酮陽性,高血糖,家族無糖尿病史,這些特徵高度指向第一型糖尿病。
選項拆解
-A:錯在「小胖威利症候群」。小胖威利症候群患者通常肥胖,且可能發展為第二型糖尿病,但不會出現酮症,且其主要特徵與題目描述不符。
內分泌代謝6 / 46
【109-2 醫學(四) 第33題】足月新生兒出現餵食困難、嘔吐、嗜睡,進而抽搐、昏迷。當排除肝膽腸道異常及感染或其他產傷,而發現血氨升高,且陰離子隙(anion gap)升高,則最可能為:
詳解
破題關鍵
新生兒出現高血氨,同時合併陰離子隙升高,這是診斷有機酸血症的關鍵線索。
選項拆解
-A:尿素循環障礙 (Urea cycle defects):錯在陰離子隙。尿素循環障礙會導致嚴重的原發性高血氨,但通常不會引起陰離子隙升高,因為沒有有機酸的堆積。
內分泌代謝7 / 46
【109-2 醫學(四) 第76題】兒童因脫水減少體重8%時,下列何種臨床表現最不常見?
詳解
破題關鍵
兒童脫水8%已屬嚴重,但微血管充填時間大於3秒通常表示更嚴重的休克前兆。
選項拆解
-A:錯在 [最不常見]。口渴是脫水非常常見的症狀,即使是輕度脫水也會出現。
-B:錯在 [最不常見]。黏膜乾燥是脫水常見的身體徵象,隨著脫水程度增加會更明顯。
心臟血管學8 / 46
【109-2 醫學(四) 第28題】Reverse differential cyanosis是指上肢血氧飽和度低於下肢血氧飽和度,此現象最常發現於下列何種疾病?
詳解
破題關鍵
Reverse differential cyanosis 的關鍵是「上肢血氧低於下肢」,這代表下肢有來自左心 (含氧血) 的血流,而上肢沒有。
選項拆解
心臟血管學9 / 46
【109-2 醫學(四) 第29題】下列何種兒童心臟疾病,最不會出現左心室擴大的現象?
詳解
破題關鍵
左心室擴大通常是左心室「負荷過重」或「功能異常」的結果。
選項拆解
-A:心肌炎 (Myocarditis) 會直接導致心肌受損、收縮功能下降,進而引起心臟擴大,包括左心室擴大。
心臟血管學10 / 46
【109-2 醫學(四) 第44題】頸動脈剝離(carotid dissection)最不常發生於下列何者疾病?
詳解
破題關鍵
頸動脈剝離通常與血管壁結構異常或發育不良有關,而高安氏動脈炎主要是一種血管發炎疾病。
選項拆解
-A:肌纖維發育不良(fibromuscular dysplasia):錯在描述。這是一種常見的頸動脈剝離原因,因為血管壁結構異常。
感染症11 / 46
【109-2 醫學(四) 第1題】下列何種傳染病,在病好隔了數年後,病毒可能會再度活化而出現帶狀疱疹?
詳解
破題關鍵
帶狀疱疹是水痘病毒潛伏在體內,日後免疫力下降時再活化引起的。
選項拆解
-A:麻疹 (Measles) 是由麻疹病毒引起,通常不會在痊癒後潛伏並再活化引起帶狀疱疹。
-B:德國麻疹 (Rubella) 是由德國麻疹病毒引起,通常不會在痊癒後潛伏並再活化引起帶狀疱疹。
感染症12 / 46
【109-2 醫學(四) 第2題】4歲男童,因為喉嚨痛及發燒,服用抗生素2星期後,仍持續發燒並出現臨床表徵,如圖所示。下列何者為最可能的診斷?

詳解
破題關鍵
這題的解題核心在於辨識圖片中嚴重的黏膜病變(特別是嘴唇和口腔)以及廣泛的皮膚紅疹,並結合病患服用抗生素後的病史,指向藥物過敏引起的嚴重反應。
選項拆解
感染症13 / 46
【109-2 醫學(四) 第4題】治療黴漿菌(Mycoplasma pneumoniae)肺炎,下列何種藥物最適當?
詳解
破題關鍵
黴漿菌沒有細胞壁,所以針對細胞壁的抗生素對它無效。
選項拆解
-A:Penicillin (青黴素) 作用於細菌細胞壁的合成,對沒有細胞壁的黴漿菌無效。
-B:Vancomycin (萬古黴素) 也是作用於細菌細胞壁的合成,對沒有細胞壁的黴漿菌無效。
感染症14 / 46
【109-2 醫學(四) 第30題】下列何種細菌較少造成兒童感染性心內膜炎(Infective endocarditis)?
詳解
破題關鍵
兒童感染性心內膜炎的常見病原菌,主要與口腔、皮膚或腸道菌叢有關。
選項拆解
-A:Group D streptococcus (enterococcus) 腸球菌是兒童IE的常見病原菌之一,尤其在有泌尿道或腸道問題的兒童。
新生兒醫學15 / 46
【109-2 醫學(四) 第3題】關於新生兒感染巨細胞病毒(Cytomegalovirus)的敘述,下列何者錯誤?
詳解
破題關鍵
先天性巨細胞病毒感染的新生兒,大多數是沒有症狀的。
選項拆解
-A:正確。血清陽性 (Seropositive) 的媽媽哺餵乳汁,新生兒感染巨細胞病毒的機率確實不低,約60~70%是合理的範圍。
新生兒醫學16 / 46
【109-2 醫學(四) 第5題】新生女嬰為妊娠38周出生、體重4,400 gm,母親有妊娠糖尿病病史。此女嬰在出生24小時內,最有可能發生的臨床症狀?
詳解
破題關鍵
妊娠糖尿病母親的巨嬰,出生後胰島素分泌過多,容易導致低血糖。
選項拆解
-A:早發性黃疸 (Early onset jaundice) 通常與溶血、感染或肝臟功能不成熟有關,雖然新生兒黃疸常見,但低血糖是妊娠糖尿病巨嬰更特異且急性的併發症。
新生兒醫學17 / 46
【109-2 醫學(四) 第6題】剛出生的嬰兒身體診察發現手足發紺(acrocyanosis),下列何種是最常見的原因?
詳解
破題關鍵
新生兒手足發紺通常是正常的生理現象,反映周邊循環尚未完全成熟。
選項拆解
-A:胎便吸入症候群 (Meconium aspiration syndrome) 會導致呼吸窘迫和全身性發紺,而非單純手足發紺。
新生兒醫學18 / 46
【109-2 醫學(四) 第18題】下列何者非新生兒之原始反射動作(Primitive reflexes)?
詳解
破題關鍵
降落傘反射是一種保護性反射,通常在嬰兒較大時(約6-9個月)才出現,且會持續存在,不屬於新生兒的原始反射。
選項拆解
-A:錯在「不是」。手掌抓握反射 (Palmar grasp reflex) 是新生兒的原始反射之一,當物體觸碰嬰兒手掌時,嬰兒會緊緊抓住。
社會與發展19 / 46
【109-2 醫學(四) 第7題】下列有關副食品添加的原則,何者最正確?
詳解
破題關鍵
嬰兒在6個月大後,母乳中的鐵質不足以滿足其需求,需從副食品補充。
選項拆解
-A:錯在「多種食物可以同時導入」。副食品添加應遵循「一次一種」的原則,每次導入一種新食物,觀察3-5天,確認無過敏反應後再導入下一種,以便於識別潛在的過敏原。
社會與發展20 / 46
【109-2 醫學(四) 第9題】3個月大的女嬰,體重5.8公斤,純母乳哺育。最近常出現血便,但沒有發燒,體力、精神、食慾都很好。大便除帶血絲外無特殊變化。下列敘述何者最為正確?
詳解
破題關鍵
純母乳嬰兒出現血便,但整體狀況良好,最常見的原因是牛奶蛋白過敏。
選項拆解
-A:正確。純母乳哺育的嬰兒,若出現血便但整體狀況良好,最常見的原因是牛奶蛋白過敏 (cow's milk protein allergy)。母親飲食中的牛奶蛋白會經由母乳傳給嬰兒,引起過敏反應。
社會與發展21 / 46
【109-2 醫學(四) 第10題】學齡兒童急性腹痛,下列那一種最少發生背部轉移性疼痛?
詳解
破題關鍵
腸套疊引起的腹痛通常是陣發性、絞痛,且疼痛位置較局限,很少會放射到背部。
選項拆解
-A:正確。腸套疊的腹痛通常是陣發性、絞痛,且疼痛位置較局限,很少會放射到背部。
-B:錯在「最少發生」。胰臟炎的疼痛典型會放射到背部。
社會與發展22 / 46
【109-2 醫學(四) 第80題】40歲陳先生自幼罹患癲癇症,這些年來以抗癲癇藥物控制得還不錯,但是一年中在疲累或身體不適時還是會發作一、兩次。在3個月前他所服務的公司經營不善倒閉,在中年失業的情況下,尋找工作不易,他就隱瞞病情開始跑計程車維生。在他規則到診所拿1個月抗癲癇藥時,醫師得知此事後,警告他跑計程車將造成公共危險,叮嚀他儘快找個安全性高的職業,3個月過去,他表示沒有機會轉換工作,下列何種處置最為正確?
詳解
破題關鍵
當病人的疾病可能對公共安全造成嚴重威脅時,醫師有責任採取行動,即使這可能涉及打破病患隱私。
選項拆解
-A:錯在 [不夠]。努力勸導是第一步,但如果病人不聽勸且持續造成公共危險,僅僅記載於病歷中並不足以履行醫師的社會責任。
神經學23 / 46
【109-2 醫學(四) 第16題】關於Tics的敘述,下列何者錯誤?
詳解
破題關鍵
Gilles de la Tourette syndrome (妥瑞症) 的遺傳模式主要是顯性遺傳,而不是隱性遺傳。
選項拆解
-A:錯在「隱性遺傳」。Gilles de la Tourette syndrome (妥瑞症) 的遺傳模式主要是體染色體顯性遺傳,而不是隱性遺傳。
神經學24 / 46
【109-2 醫學(四) 第45題】下列何者最不可能是腦部小血管梗塞(small-vessel infarction)所表現的中風症狀?
詳解
破題關鍵
腦部小血管梗塞(腔隙性梗塞)通常影響深部腦結構,不會造成大範圍的皮質功能障礙,而半側偏盲通常是大血管梗塞導致的皮質或視放射受損。
選項拆解
-A:共濟失調性偏癱(ataxic hemiparesis):錯在描述。這是腔隙性梗塞的典型症狀之一。
神經學25 / 46
【109-2 醫學(四) 第49題】28歲男性,為頑固型癲癇病人,目前已使用3種高劑量的口服抗癲癇藥物控制中,每週仍有多次短暫意識喪失,有時合併四肢抽搐,經腦部核磁共振檢查發現有雙側海馬回硬化(hippocampus sclerosis)。對此病人不建議採用下列何種外科手術治療?
詳解
破題關鍵
對於雙側腦部病灶(如雙側海馬回硬化)的癲癇病人,切除性手術需要非常謹慎,避免造成嚴重的神經功能缺損。
選項拆解
-A:迷走神經刺激術(vagus nerve stimulation):錯在不建議。這是一種神經調控手術,適用於不適合切除性手術的頑固型癲癇,包括雙側病灶的病人。
神經學26 / 46
【109-2 醫學(四) 第53題】60歲男性出現膀胱功能失調導致頻尿、無法憋住尿意,下肢感覺異常,包括臀部、大腿內側、雙腳及腳跟的感覺喪失,核磁共振發現有一腫瘤,此腫瘤最可能位於何處?
詳解
破題關鍵
膀胱功能失調、會陰部及下肢特定區域感覺喪失,這些症狀組合指向馬尾神經受壓。
選項拆解
-A:頸椎第五節(C5):錯在症狀。C5病變主要影響上肢(如三角肌、二頭肌)的功能和感覺,不會導致膀胱功能失調和下肢鞍狀麻痺。
神經學27 / 46
【109-2 醫學(四) 第54題】有關肌肉失養症(muscular dystrophy)的描述,下列何者正確?
詳解
破題關鍵
裘馨氏肌肉失養症的典型症狀和遺傳模式是常考重點。
選項拆解
-A:正確。小腿肌肉假性肥大是裘馨氏肌肉失養症的典型臨床表現之一。
-B:裘馨氏肌肉失養症是體染色體隱性遺傳:錯在遺傳模式。裘馨氏肌肉失養症是X染色體隱性遺傳。
神經學28 / 46
【109-2 醫學(四) 第55題】有關恰克–馬利–杜斯氏症(Charcot-Marie-Tooth disease, CMT)的敘述,下列何者正確?
詳解
破題關鍵
恰克–馬利–杜斯氏症 (CMT) 是一種周邊神經病變,主要影響遠端肢體,導致肌肉萎縮和骨骼變形。
選項拆解
-A:屬於體染色體隱性遺傳:錯在遺傳模式。CMT最常見的類型是自體顯性遺傳,而非體染色體隱性遺傳。
神經學29 / 46
【109-2 醫學(四) 第56題】下列和庫賈氏症(Creutzfeldt–Jakob disease)相關的敘述,何者正確?
詳解
破題關鍵
庫賈氏症是一種快速惡化的腦部疾病,主要會造成失智、動作失調和肌肉抽搐。
選項拆解
-A:錯在 [消失活性]。普里昂蛋白對煮沸等常規消毒方法有很強的抵抗力,不容易被破壞,所以不會經煮沸後就消失活性。
神經學30 / 46
【109-2 醫學(四) 第58題】45歲女性,為減重並避免高血壓,過去2個月只食用極度少鹽少糖的餐點,因為全身無力倦怠被送到醫院。血液生化檢查發現血中的鈉離子濃度為117 mEq/L,醫師緊急使用高濃度(3%)的食鹽水靜脈點滴補充,在6小時內血中鈉離子濃度升高到137 mEq/L,結果病人出現神經學症狀。有關低血鈉的處理及這位病人的神經學病變,下列何者正確?
詳解
破題關鍵
慢性低血鈉時,如果鈉離子補充太快,腦細胞會因為滲透壓變化而受損。
選項拆解
-A:錯在 [越快越濃越好]。鈉離子濃度過低確實有癲癇危險,但補充速度過快或濃度過高會導致嚴重的腦損傷,如橋腦中央髓鞘溶解症。
神經學31 / 46
【109-2 醫學(四) 第66題】有關正常老化過程之生物學變化(biological changes)的敘述,下列何者錯誤?
詳解
破題關鍵
老化會讓腦部的神經傳導物質,尤其是兒茶酚胺類(如正腎上腺素、多巴胺),普遍減少。
選項拆解
神經學32 / 46
【109-2 醫學(四) 第77題】對一位20歲男性急性躁動(agitation)的病人,下列何種藥物最不適合肌肉注射?
詳解
破題關鍵
急性躁動需要快速且可靠的藥效,Diazepam肌肉注射的吸收不穩定。
選項拆解
-A:錯在 [不適合]。Haloperidol(氟哌啶醇)是常用於急性躁動的肌肉注射藥物,效果良好。
腎臟泌尿學33 / 46
【109-2 醫學(四) 第13題】有關兒童泌尿道感染(Urinary tract infection)的危險因子,下列何者最不相關?
詳解
破題關鍵
慢性便祕雖然會影響排尿功能,但相較於其他選項,它與兒童泌尿道感染的直接相關性較低,或說不是最主要的危險因子。
選項拆解
-A:錯在「最不相關」。未割包皮的男性,包皮下容易積聚細菌,是兒童泌尿道感染的危險因子。
腎臟泌尿學34 / 46
【109-2 醫學(四) 第15題】關於兒童血尿(Hematuria),下列敘述何者錯誤?
詳解
破題關鍵
尿液顏色是判斷血尿來源的重要線索,茶色或可樂色尿通常提示血尿來自腎絲球。
選項拆解
-A:正確。急性腎絲球發炎 (Acute glomerulonephritis) 常因腎臟發炎導致水鈉滯留,進而引起高血壓。
血液腫瘤學35 / 46
【109-2 醫學(四) 第21題】下列有關藥物誘發狼瘡(Drug-induced lupus)的敘述,何者正確?
詳解
破題關鍵
藥物誘發狼瘡 (Drug-induced lupus) 的一個重要特徵就是抗histone抗體陽性。
選項拆解
-A:錯在「女性的發生率高於男性」。藥物誘發狼瘡在男性和女性中的發生率相對接近,不像全身性紅斑狼瘡 (SLE) 以女性為主。
血液腫瘤學36 / 46
【109-2 醫學(四) 第22題】嬰兒的皮膚、口腔、呼吸道以及腸胃道常反覆地發生細菌感染,每次感染時的抽血檢查均發現白血球非常高,臍帶很晚才掉,且有肚臍炎(Omphalitis),此病嬰最可能罹患何種疾病?
詳解
破題關鍵
反覆細菌感染、白血球高、臍帶晚脫落和肚臍炎是白血球沾黏分子缺乏症的典型表現。
選項拆解
-A:錯在「Bruton agammaglobulinemia」。此病主要是B細胞缺陷,導致抗體缺乏,表現為反覆細菌感染,但不會有白血球異常升高和臍帶晚脫落的特徵。
血液腫瘤學37 / 46
【109-2 醫學(四) 第23題】有關氣喘(asthma)的治療,下列敘述何者錯誤?
詳解
破題關鍵
吸入型類固醇 (inhaled corticosteroids, ICS) 才是目前最有效的氣喘控制藥物,白三烯素調節劑效果較弱。
選項拆解
-A:正確。對於持續型氣喘的兒童,吸入型類固醇 (ICS) 是最有效的抗發炎藥物,應作為初始的控制藥物。
血液腫瘤學38 / 46
【109-2 醫學(四) 第24題】關於過敏性紫斑症(Henoch-Schönlein purpura)之敘述,下列何者錯誤?
詳解
破題關鍵
過敏性紫斑症 (Henoch-Schönlein purpura, HSP) 的紫斑是「非血小板低下性紫斑」,血小板數量通常正常。
選項拆解
-A:正確。過敏性紫斑症 (HSP) 常發生在3-10歲的兒童,且常在冬季及春季,通常與上呼吸道感染有關。
血液腫瘤學39 / 46
【109-2 醫學(四) 第25題】下列何種腫瘤其最高發生機率之年紀於一歲以內?
詳解
破題關鍵
神經母細胞瘤 (Neuroblastoma) 是嬰幼兒最常見的實體腫瘤之一,其發病高峰在1歲以內。
選項拆解
-A:錯在「Acute lymphoblastic leukemia」。急性淋巴性白血病 (ALL) 是兒童最常見的癌症,但其發病高峰通常在2-5歲,而非1歲以內。
血液腫瘤學40 / 46
【109-2 醫學(四) 第26題】有關重度乙型海洋性貧血(β-thalassemia major)的敘述,下列何者最不正確?
詳解
破題關鍵
重度乙型海洋性貧血 (β-thalassemia major) 患者需要定期輸血,目標是維持較高的血色素水平 (通常是9.5-10.5 g/dL),以抑制骨髓造血並避免嚴重併發症,而不是只控制在7 g/dL。
選項拆解
血液腫瘤學41 / 46
【109-2 醫學(四) 第27題】感染相關的噬血症候群(Infection-associated hemophagocytic syndrome),下列那一項最不支持此診斷?
詳解
破題關鍵
噬血症候群的診斷標準,就是看身體有沒有「過度發炎」和「血球被吃掉」的證據。
選項拆解
-A:Hypofibrinogenemia (低纖維蛋白原血症) 是HLH的診斷標準之一,因為發炎反應會消耗凝血因子。
血液腫瘤學42 / 46
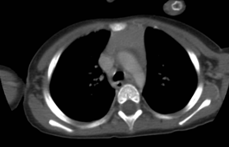
【109-2 醫學(四) 第74題】2歲女童因咳嗽就醫,由於胸部X光顯示縱膈腔變寬,因此在接受對比劑注射後,接受電腦斷層掃描檢查如圖,在主動脈弓之前可見明顯軟組織,其最常見原因為何?

詳解
破題關鍵
這題的關鍵在於病患的年齡(2歲女童)和影像學發現(前縱膈腔軟組織),在兒童時期,前縱膈腔最常見的軟組織就是正常的胸腺。
選項拆解
醫學遺傳學43 / 46
【109-2 醫學(四) 第8題】先天性腎上腺增生症 (congenital adrenal hyperplasia)屬於下列何種遺傳模式?
詳解
破題關鍵
先天性腎上腺增生症最常見的類型是21-羥化酶缺乏,這是一種體染色體隱性遺傳疾病。
選項拆解
-A:Autosomal dominant (體染色體顯性遺傳) 意味著只要遺傳一個突變基因就會發病。這不符合CAH的遺傳模式。
醫學遺傳學44 / 46
【109-2 醫學(四) 第31題】2歲女童體型特別高瘦,手腳與手指(腳趾)特別細長,關節鬆弛,有輕度漏斗胸,心臟超音波呈現二尖瓣脈脫垂及主動脈回流,下列何者為最可能之診斷?
詳解
破題關鍵
高瘦、手腳細長、關節鬆弛、漏斗胸,加上心臟瓣膜異常,這些都是結締組織疾病的典型表現。
選項拆解
-A:正確。題目描述的症狀完全符合馬凡氏症候群的典型臨床表現。
醫學遺傳學45 / 46
【109-2 醫學(四) 第32題】Noonan Syndrome與Turner Syndrome有許多相似的異常表徵,不包括下列何者?
詳解
破題關鍵
Noonan症候群和Turner症候群雖然有許多相似的外觀特徵,但它們的心臟異常類型不同。
選項拆解
-A:身材矮小(Short stature):正確。Noonan症候群和Turner症候群都常有身材矮小的特徵。
醫學遺傳學46 / 46
【109-2 醫學(四) 第41題】有關neurofibromatosis type 1(NF-1)的敘述,下列何者錯誤?
詳解
破題關鍵
診斷神經纖維瘤病第一型 (NF-1) 的咖啡牛奶斑大小有明確的標準,且成人和兒童的標準不同。
選項拆解
-A:自體顯性遺傳:正確。NF-1是一種自體顯性遺傳疾病。