【108-1 醫學(六) 第1題】喉頭痙攣(laryngospasm)是臨床上相當重要的急性症狀,必須緊急處置。下列關於喉頭痙攣的敘述,何者錯誤?
醫學(六)
108-1 耳鼻喉科
共 12 題(登入後可互動作答與查看詳解)
咽喉與氣管食道科學1 / 12
咽喉與氣管食道科學2 / 12
【108-1 醫學(六) 第19題】聲帶結節最容易發⽣於下列何處?
咽喉與氣管食道科學3 / 12
【108-1 醫學(六) 第55題】使⽤以下何種食物材質刺激最易促進吞嚥反射?
基礎醫學與小兒耳鼻喉4 / 12
【108-1 醫學(六) 第21題】3個⽉⼤⾜⽉產嬰兒,出⽣3週後家⻑注意到呼吸不順有雜⾳,經⽿⿐喉科醫師評估後安排喉內視鏡檢查,結果如下圖,下列敘述何者正確?


基礎醫學與小兒耳鼻喉5 / 12
【108-1 醫學(六) 第80題】某些醫療處置可在未取得病⼈同意之下進⾏,但何者除外?
耳科學與神經耳科學6 / 12
【108-1 醫學(六) 第17題】⼈⼯⽿蝸(cochlear implants)是利⽤電極,刺激極重度聽損病⼈內⽿中之何種細胞?
耳科學與神經耳科學7 / 12
【108-1 醫學(六) 第18題】根據美國對兒童積液性中⽿炎(otitis media with effusion)的處理指引,在無併發症的病例,積液性中⽿炎病⼈在診斷後應密切觀察多久,才做進⼀步的聽⼒測試或⼿術治療?
耳科學與神經耳科學8 / 12
【108-1 醫學(六) 第77題】下列有關急性中⽿炎的治療,何者錯誤?
頭頸腫瘤外科學9 / 12
【108-1 醫學(六) 第22題】⿐咽癌的⾎液測試中,下列何者⽬前被認為準確度最好?
頭頸腫瘤外科學10 / 12
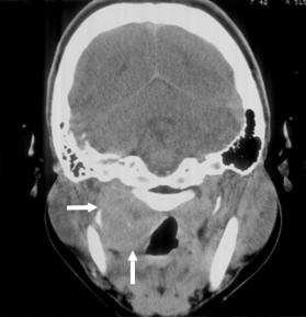
【108-1 醫學(六) 第72題】
21歲男性因上頸部硬塊求診,接受對比劑注射後的電腦斷層掃描如圖⽰,則最可能診斷為何?


鼻科學11 / 12
【108-1 醫學(六) 第23題】⼀位57歲男性病⼈因經常性流⿐⾎⾄急診處,無⾼⾎壓、糖尿病等病史,但有多次⿊便及腸胃道出⾎,⾎液檢查⾎紅素偏低,其它凝⾎因⼦、⾎⼩板等均正常,⽿⿐喉理學檢查發現⿐與舌部有多處似⾎管擴張之紅點。此病⼈之最可能診斷為何?
鼻科學12 / 12
【108-1 醫學(六) 第24題】承上題,對此經常、反覆性⿐出⾎之病⼈,⿐部之處置,下列何者最佳?
