
詳解
破題關鍵
這題的解題核心在於辨識內視鏡下咽喉部的典型白色斑塊病灶,並結合病人的高風險因子(糖尿病、吸入式類固醇使用)來判斷最可能的感染。圖片中可見咽喉黏膜上有多處白色、像乳酪狀的斑塊,這是念珠菌感染的經典表現。
選項拆解
登入查看完整詳解與互動作答
共 15 題(登入後可互動作答與查看詳解)

詳解
破題關鍵
這題的解題核心在於辨識內視鏡下咽喉部的典型白色斑塊病灶,並結合病人的高風險因子(糖尿病、吸入式類固醇使用)來判斷最可能的感染。圖片中可見咽喉黏膜上有多處白色、像乳酪狀的斑塊,這是念珠菌感染的經典表現。
選項拆解
登入查看完整詳解與互動作答

詳解
破題關鍵
這題的解題核心在於辨識喉內視鏡下不同聲帶病灶的典型外觀,其中圖二聲帶上明顯可見一個帶蒂的紅色腫塊,這是聲帶息肉的經典表現。
選項拆解
登入查看完整詳解與互動作答
【111-1 醫學(六) 第69題】吞嚥時為防止食物進入氣道,發生嗆咳或吸入,喉部(larynx)會進行一些保護性的動作,以下何者錯誤?
詳解
破題關鍵
吞嚥時,喉部會往上往前移動,不是往後。
選項拆解
登入查看完整詳解與互動作答
【111-1 醫學(六) 第6題】利用經食道心臟超音波測量主動脈瓣狹窄病人,其通過主動脈瓣的最高流速為每秒3.5公尺,則該病人主動脈瓣狹窄的壓力差較接近下列何者?
詳解
破題關鍵
利用簡化伯努利方程式 (Simplified Bernoulli Equation) 計算壓力差。
選項拆解
登入查看完整詳解與互動作答
【111-1 醫學(六) 第46題】有穆勒氏管(Müllerian ducts)相關異常的女性,應進行下列那個系統的檢查?
詳解
破題關鍵
胚胎發育時,穆勒氏管與泌尿生殖系統的發育密切相關。
選項拆解
登入查看完整詳解與互動作答
【111-1 醫學(六) 第63題】小明是3個月的男嬰,因頭部不正而求診。醫師發現小明頸部轉(rotation)向右側,後腦傾(tilt)向左側, 醫師診斷是先天性肌肉斜頸,下列敘述何者正確?
詳解
破題關鍵
先天性肌肉斜頸 (congenital muscular torticollis) 常與其他發育問題相關聯。
選項拆解
登入查看完整詳解與互動作答
【111-1 醫學(六) 第79題】對特定疾病有多種治療方法時,醫師應向病人詳細解釋,讓病人可以自由選擇,但因病人不易在複雜的醫學技術間做選擇,多半會要求醫師推薦,醫師在進行較積極的建議時,常依最大利益原則為考量,所謂最大利益原則是指:
詳解
破題關鍵
醫學倫理的核心是將病人的福祉放在首位。
選項拆解
登入查看完整詳解與互動作答

詳解
破題關鍵
這張耳鏡影像顯示外耳道內有白色、像乳酪狀的堆積物,並且侵蝕了耳道骨壁,這是典型的耳道膽脂瘤(ear canal cholesteatoma)表現。
選項拆解
登入查看完整詳解與互動作答
【111-1 醫學(六) 第20題】慢性中耳炎病人接受鼓室成型術時,發現砧骨長突(long process of incus)侵蝕損壞。將剩下的砧骨體(body of incus)雕刻後,置放於重建之耳膜及完整之鐙骨頭(head of stapes)間,此種鼓室成型術屬於第幾型?
詳解
破題關鍵
鼓室成型術 (Tympanoplasty) 的分型是根據聽小骨鏈重建的程度和方式。
選項拆解
登入查看完整詳解與互動作答
【111-1 醫學(六) 第21題】噪音引起的永久性聽力損失,以下列何頻率最明顯?
詳解
破題關鍵
噪音性聽損的典型頻率特徵是特定頻率的聽力凹陷。
選項拆解
登入查看完整詳解與互動作答
【111-1 醫學(六) 第26題】有關第二期鼻咽癌的治療,下列敘述何者最適當?
詳解
破題關鍵
鼻咽癌不同分期的標準治療策略。
選項拆解
登入查看完整詳解與互動作答
【111-1 醫學(六) 第27題】下列何種頭頸部鱗狀上皮細胞癌最不容易轉移至咽後淋巴結(retropharyngeal lymph node)?
詳解
破題關鍵
咽後淋巴結主要接收來自咽部中線和後方的淋巴引流。
選項拆解
登入查看完整詳解與互動作答

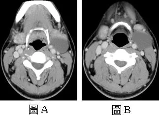
詳解
破題關鍵
這題的解題核心在於辨識頸部囊腫的影像特徵與典型位置,圖片中左側頸部可見一個邊緣清晰、內部均勻低密度且有薄壁強化的囊狀病灶,其位置符合第二腮裂囊腫的典型表現。
選項拆解
登入查看完整詳解與互動作答
【111-1 醫學(六) 第22題】有關鼻功能評估方法,下列敘述何者錯誤?
詳解
破題關鍵
了解各種鼻功能評估工具的實際用途。
選項拆解
登入查看完整詳解與互動作答
【111-1 醫學(六) 第23題】下列那一種細菌不是急性中耳炎和急性鼻竇炎常見的致病菌種?
詳解
破題關鍵
記住急性中耳炎和急性鼻竇炎最常見的三種細菌。
選項拆解
登入查看完整詳解與互動作答