咽喉與氣管食道科學1 / 14
【112-1 醫學(六) 第23題】有關食道異物的敘述,下列何者錯誤?
詳解
破題關鍵
食道異物最常卡在食道的三個生理性狹窄處,其中最常見的是上段食道。
選項拆解
-A:正確。側頸部X光影像中,異物若為不透光物質(如硬幣、骨頭),會呈現線性不透光陰影(linear opacity)。
咽喉與氣管食道科學2 / 14
【112-1 醫學(六) 第59題】腦幹中風病人吞嚥反射消失,下列何種治療最合宜?
詳解
破題關鍵
針對吞嚥反射消失的急性期治療策略。
選項拆解
-A:正確。溫度刺激 (thermal stimulation) 是一種感覺刺激技術,透過冰冷刺激口腔和咽部,可以幫助誘發或增強吞嚥反射,對於吞嚥反射消失的病人是一種合適的初期治療。
耳科學與神經耳科學3 / 14
【112-1 醫學(六) 第19題】有關內聽道(internal auditory canal)之敘述,下列何者正確?
詳解
破題關鍵
內聽道內神經的相對位置是常考重點,面神經(facial nerve)總是位於前上方。
選項拆解
-A:正確。面神經(facial nerve)確實位於內聽道之前上方。
-B:錯在數量。內聽道內有四條腦神經(面神經、蝸神經、上前庭神經、下前庭神經)經過,而不是三條。
耳科學與神經耳科學4 / 14
【112-1 醫學(六) 第20題】第一型鼓室成型術(Tympanoplasty type I)指的是:
詳解
破題關鍵
第一型鼓室成型術(Tympanoplasty type I)是最簡單的耳膜修補術,不涉及聽小骨問題。
選項拆解
-A:正確。第一型鼓室成型術(Tympanoplasty type I)就是單純修補耳膜(Myringoplasty),聽小骨鏈是完整的。
耳科學與神經耳科學5 / 14
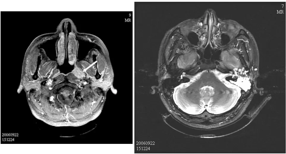
【112-1 醫學(六) 第73題】48歲男性病人主訴最近二個月左側耳鳴,根據附圖MRI之影像,箭號所指最恰當的診斷為何?

詳解
破題關鍵
這題的解題核心在於同時辨識出鼻咽部的腫塊和乳突腔的發炎現象,並將兩者與病患的單側耳鳴症狀連結起來。圖片中箭頭指向鼻咽部的明顯腫塊,同時左側乳突腔有發炎積液的影像特徵。
選項拆解
頭頸腫瘤外科學6 / 14
【112-1 醫學(六) 第24題】有關兒童甲狀腺癌,下列敘述何者錯誤?
詳解
破題關鍵
兒童甲狀腺癌最常見的類型和成人不同。
選項拆解
-A:正確。兒童甲狀腺癌在青春期後女性比例會較高。
-B:正確。放射性物質暴露,特別是碘-131,是兒童甲狀腺癌的重要危險因子。
-C:正確。兒童甲狀腺結節的惡性機率確實比成人高,因此對兒童甲狀腺結節的評估需更謹慎。
頭頸腫瘤外科學7 / 14
【112-1 醫學(六) 第25題】關於惡性唾液腺腺樣囊狀癌(adenoid cystic carcinoma),下列敘述何者錯誤?
詳解
破題關鍵
腺樣囊狀癌的病理類型與預後關係。
選項拆解
-A:錯在「以cribriform型預後最差」。腺樣囊狀癌確實有cribriform、tubular或solid三種不同類型,但預後最差的是實體型 (solid type),而非篩狀型 (cribriform type)。
頭頸腫瘤外科學8 / 14
【112-1 醫學(六) 第26題】有關Warthin tumor(papillary cystadenoma lymphomatosum),下列敘述何者正確?
詳解
破題關鍵
Warthin tumor 的典型特徵。
選項拆解
-A:錯在「多發生於女性」。Warthin tumor 主要發生在老年男性,雖然女性患者比例有增加趨勢,但男性仍是主要族群。
-B:錯在「多發生於年輕者」。Warthin tumor 主要發生在老年人,通常是50-70歲的族群。
頭頸腫瘤外科學9 / 14
【112-1 醫學(六) 第27題】下列何者是鼻咽癌最常見的症狀?
詳解
破題關鍵
鼻咽癌的早期表現。
選項拆解
-A:單側性流鼻血是鼻咽癌的常見症狀之一,但通常不是最常見的初始症狀。
-B:聽力損失及耳鳴是鼻咽癌的常見症狀,特別是單側中耳積水引起的,但頸部腫塊通常更常見。
頭頸腫瘤外科學10 / 14
【112-1 醫學(六) 第71題】有關癌症本身造成失能的敘述,下列何者最適當?
詳解
破題關鍵
器官的功能儲備能力(functional reserve)決定了癌症在早期是否會引起明顯的失能症狀。
選項拆解
頭頸腫瘤外科學11 / 14
【112-1 醫學(六) 第74題】65歲男性病人主訴右臉耳下部位無痛硬塊約2年,耳下腺超音波檢查如圖,最可能的診斷為何?

詳解
破題關鍵
這張超音波影像顯示耳下腺有一個邊緣清晰、內部實心的低迴音腫塊,且病患主訴是無痛且緩慢成長的硬塊,這些都是耳下腺多形性腺瘤的典型特徵。
選項拆解
-A:錯在耳下腺膿瘍通常會伴隨疼痛、發燒等發炎反應,且超音波下會呈現不規則邊緣的液體或複雜性囊腫,與圖中實心、邊緣清晰的腫塊不符。
鼻科學12 / 14
【112-1 醫學(六) 第21題】下列何者不是急性細菌性鼻竇炎(acute bacterial rhinosinusitis)常見的致病菌?
詳解
破題關鍵
急性細菌性鼻竇炎常見的致病菌是呼吸道常見細菌,綠膿桿菌通常與免疫功能低下或慢性感染有關。
選項拆解
-A:肺炎鏈球菌(Streptococcus pneumoniae)是急性細菌性鼻竇炎最常見的致病菌之一。
鼻科學13 / 14
【112-1 醫學(六) 第22題】有關慢性鼻竇炎無合併鼻息肉(chronic rhinosinusitis without nasal polyps)的致病原因,下列敘述何者錯誤?
詳解
破題關鍵
慢性鼻竇炎與鼻腔、鼻竇的引流和通氣問題有關,耳咽管主要影響中耳。
選項拆解
-A:錯在關聯性。耳咽管功能異常(Eustachian tube dysfunction)主要影響中耳,導致中耳積水或中耳炎,而不是慢性鼻竇炎的直接致病原因。
鼻科學14 / 14
【112-1 醫學(六) 第77題】有關流鼻血的敘述,下列何者最不適當?
詳解
破題關鍵
流鼻血最常見的出血點是哪裡,以及是哪條血管供應的。
選項拆解
-A:正確。乾燥的季節會使鼻黏膜乾燥、脆弱,容易破裂出血。
-B:正確。前鼻腔出血佔所有流鼻血的絕大多數,約90%。