【108-1 醫學(六) 第4題】神經阻斷術可⽤於⿇醉與⽌痛作⽤,下列有關神經阻斷術的敘述,何者錯誤?
詳解
破題關鍵
任何藥物都有副作用,局部麻醉藥也不例外,過量或誤入血管都可能中毒。
選項拆解
登入查看完整詳解與互動作答
共 7 題(登入後可互動作答與查看詳解)
【108-1 醫學(六) 第4題】神經阻斷術可⽤於⿇醉與⽌痛作⽤,下列有關神經阻斷術的敘述,何者錯誤?
詳解
破題關鍵
任何藥物都有副作用,局部麻醉藥也不例外,過量或誤入血管都可能中毒。
選項拆解
登入查看完整詳解與互動作答
【108-1 醫學(六) 第6題】Allodynia是形容疼痛的那⼀種感覺?
詳解
破題關鍵
Allodynia的關鍵在於「無害的刺激」卻引起「疼痛」。
選項拆解
登入查看完整詳解與互動作答
【108-1 醫學(六) 第7題】使⽤病⼈⾃控式⽌痛術(patient-controlled analgesia)控制⼿術後疼痛和傳統肌⾁注射比較,其優點包括下列各項,除了:
詳解
破題關鍵
PCA 需要病人自己操作,所以不是每個人都適合。
選項拆解
登入查看完整詳解與互動作答

詳解
破題關鍵
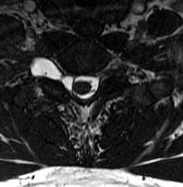
這題的解題核心在於辨識頸椎磁振造影(MRI)影像中的假性脊髓膜膨出(pseudomeningocele),並理解臂神經叢根部撕脫傷(root avulsion)的正確定義。圖片中右側明顯可見一個高訊號的囊狀結構,這就是典型的假性脊髓膜膨出,強烈暗示神經根撕脫傷。
選項拆解
登入查看完整詳解與互動作答
【108-1 醫學(六) 第8題】急性呼吸窘迫症候群(acute respiratory distress syndrome;ARDS)以呼吸機進⾏呼吸⽀持治療過程,理想潮氣量(tidal volume)之設定建議為多少ml/kg?
詳解
破題關鍵
ARDS的呼吸器治療,核心原則是「肺保護性通氣策略」,就是要用小潮氣量。
選項拆解
登入查看完整詳解與互動作答
【108-1 醫學(六) 第2題】在⼼臟無異常的病⼈置放flow-directed pulmonary artery catheter記錄肺動脈楔壓(wedge pressure)時,其肺動脈楔壓最接近下列何種⾎壓?
詳解
破題關鍵
肺動脈楔壓 (PAWP) 就像一個「視窗」,能間接看到左心室的充填壓力。
選項拆解
登入查看完整詳解與互動作答
【108-1 醫學(六) 第3題】下列何者可增加吸入性⿇醉劑之最低肺泡濃度(minimum alveolar concentration)值?
詳解
破題關鍵
MAC值會受到身體代謝率和中樞神經系統活動的影響,代謝率越高,MAC值越高。
選項拆解
登入查看完整詳解與互動作答