【108-1 醫學(四) 第56題】30歲男性,背負50公⽄沙袋跑完100公尺後,發現嚴重腰痛,合併右下肢後側傳⾄腳底的⿇痛感,最有可能的診斷為何?
醫學(四)
108-1 皮膚科
共 12 題(登入後可互動作答與查看詳解)
外傷與燒燙傷1 / 12
濕疹與皮膚炎2 / 12
【108-1 醫學(四) 第34題】有關脂漏性⽪膚炎(seborrheic dermatitis)的敘述,下列何者錯誤?
濕疹與皮膚炎3 / 12
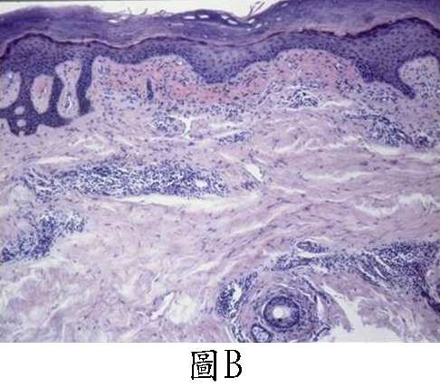
【108-1 醫學(四) 第36題】60歲男性,近十年來在背上、四肢長出(如圖A)的發癢皮疹,皮膚切片做congo red staining(如圖B),在偏光顯微鏡(polarizing microscope)下觀察(如圖C)。最可能診斷為:


濕疹與皮膚炎4 / 12
【108-1 醫學(四) 第37題】貼膚試驗(patch testing)是診斷接觸性⽪膚炎(contact dermatitis)的重要⼯具,主要⽬的是:
濕疹與皮膚炎5 / 12
【108-1 醫學(四) 第38題】
6歲男孩,從2歲起即反覆出現如圖所示之劇癢皮膚病變;父母親都常有鼻塞、打噴嚏的症狀,診斷為何?
6歲男孩,從2歲起即反覆出現如圖所示之劇癢皮膚病變;父母親都常有鼻塞、打噴嚏的症狀,診斷為何?
自體免疫皮膚病6 / 12
【108-1 醫學(四) 第35題】關於類天疱瘡(bullous pemphigoid)的敘述,下列何者錯誤?
自體免疫皮膚病7 / 12
【108-1 醫學(四) 第39題】下列何者疾病Nikolsky sign是陰性反應?
色素異常疾病8 / 12
【108-1 醫學(四) 第43題】關於⿊⾊素沉著的治療,下列敘述何者錯誤?
藥物不良反應9 / 12
【108-1 醫學(四) 第46題】⼀位77歲婦⼈,晚間10點入睡時正常,但⼀早8點醒來右側肢體無⼒、⼝齒不清,早上10點即被家⼈送到急診,經神經學及影像學檢查,研判為左側放射冠梗塞(corona radiata infarction),以下何者是對婦⼈最適當的急性中風治療?
藥物不良反應10 / 12
【108-1 醫學(四) 第57題】45歲女性主訴右腳無⼒兩天,神經學檢查發現右下肢無⼒,肚臍以下左側痛、溫覺喪失,檢查顯⽰為發炎性脊髓病變,對於她的檢查結果之敘述,下列何者錯誤?
藥物不良反應11 / 12
【108-1 醫學(四) 第72題】關於注意⼒缺損/過動疾患(attention-deficit/hyperactivity disorder)何者錯誤?
遺傳性皮膚病12 / 12
【108-1 醫學(四) 第58題】下列何者不是神經纖維瘤第⼀型(neurofibromatosis type 1)的典型症狀?
