【113-2 醫學(四) 第15題】兒童異位性皮膚炎(atopic dermatitis)的皮膚症狀,最少出現下列何種表徵?
醫學(四)
113-2 皮膚科
共 11 題(登入後可互動作答與查看詳解)
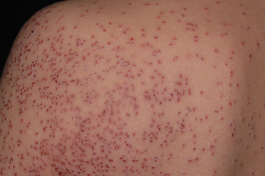
濕疹與皮膚炎1 / 11
濕疹與皮膚炎2 / 11
【113-2 醫學(四) 第36題】過敏性接觸性皮膚炎(allergic contact dermatitis)和刺激性接觸性皮膚炎(irritant contact dermatitis)的比較,下列敘述何者正確?
濕疹與皮膚炎3 / 11
【113-2 醫學(四) 第66題】有關慢性疲勞症候群(chronic fatigue syndrome)的敘述,下列何者最適當?
濕疹與皮膚炎4 / 11
【113-2 醫學(四) 第78題】一位25歲女性,和朋友上山沿途採集花草,回家後雙手出現多處小水泡與癢疹,如圖,最可能的診斷為何?


皮膚感染症5 / 11
【113-2 醫學(四) 第37題】下列那一個疾病和馬拉色菌( Malassezia)感染較無關係?
皮膚感染症6 / 11
【113-2 醫學(四) 第38題】一名年輕男性從小患有異位性皮膚炎,最近因皮膚病灶惡化且有刺痛感前來求診,如圖所示,最有可能之診斷為何?


皮膚腫瘤與癌7 / 11
【113-2 醫學(四) 第45題】70歲女性為肺癌病人,因右腳無力就診,抽血檢查發現D-dimer檢驗數值為16 mg/L(正常值為<0.5 mg/L),腦部磁振造影(MRI)檢查結果如下圖(①fluid–attenuated inversion recovery [FLAIR];② 施打顯影劑之T1影像;③diffusion–weighted imaging [DWI])。下列何者最可能是腦部病灶的原因?


自體免疫皮膚病8 / 11
【113-2 醫學(四) 第35題】50歲女性病患主訴如圖所示的皮疹發生於背部,頭皮,手肘及膝蓋處有十餘年時間,最有可能的診斷為何?


自體免疫皮膚病9 / 11
【113-2 醫學(四) 第41題】56歲女性出現如圖所示病灶,最可能的診斷與最重要的實驗室檢查項目為何?


色素異常疾病10 / 11
【113-2 醫學(四) 第42題】下列何種疾病最不可能造成皮膚黑色素沉著(hypermelanosis)?
藥物不良反應11 / 11
【113-2 醫學(四) 第8題】下列何項系統疾病為兒童次發性高血壓(secondary hypertension)最常見的原因?
