一般病理機轉 1 / 42
【106-1 醫學(二) 第1題】關於細胞膜上的膽固醇(cholesterol)其結構及功能的敘述,下列何者正確?
A 與細胞膜相較,胞器膜(membrane of the organelle)上的膽固醇含量較多 B 膽固醇帶極性的羥基(polar hydroxyl group)鑲嵌於細胞膜的雙脂層(lipid bilayers)夾層內部(interior) C 膽固醇可幫助調節細胞膜的膜流動性(membrane fluidity) D 膽固醇在細胞膜內外側的分布是對稱的(symmetric)
詳解
破題關鍵
這題主要在考你膽固醇在細胞膜裡最關鍵的功能,就是調節膜的流動性。
選項拆解
- A:錯在胞器膜上的膽固醇含量通常比細胞膜少。細胞膜作為細胞與外界的屏障,需要較多的膽固醇來維持其穩定性和功能。
一般病理機轉 2 / 42
【106-1 醫學(二) 第7題】相較於維持姿勢的背部肌,下列有關操作精細動作的手指肌肉之敘述,何者正確?
A 氧化能力(oxidative capacity)較高 B 肌凝蛋白ATP酶(myosin ATPase)的活性較高 C I型肌纖維(type I fibers)較多 D 紅肌(red muscles)較多
詳解
破題關鍵
手指肌肉需要快速精準的動作,所以它的特性會跟維持姿勢的背部肌肉很不一樣。
選項拆解
- A:錯在氧化能力高代表肌肉可以長時間工作,比較不容易累,這比較像背部維持姿勢的肌肉。手指肌肉需要的是快速反應,不一定需要很高的氧化能力。
一般病理機轉 3 / 42
【106-1 醫學(二) 第8題】下列有關骨骼肌與平滑肌的異同之敘述,何者正確?
A 骨骼肌細胞actin固定在Z lines,而平滑肌細胞則固定在dense bodies B 骨骼肌細胞具有較多的actin,而平滑肌細胞具有較多的myosin C 骨骼肌細胞和平滑肌細胞皆具有troponin C D 骨骼肌細胞具有 tropomyosin 而平滑肌細胞則無
詳解
破題關鍵
骨骼肌的收縮單位有Z線,平滑肌的收縮單位則有類似Z線功能的緻密體。
選項拆解
一般病理機轉 4 / 42
【106-1 醫學(二) 第40題】在下列何種情況下,acetyl-CoA進入citric acid cycle會減少?
A [AMP]/[ATP]高 B [ATP]/[ADP]高 C [NAD+]/[NADH]高 D [oxaloacetate]高
詳解
破題關鍵
檸檬酸循環的活性主要受細胞能量狀態調控,高能量訊號會抑制,低能量訊號會活化。
選項拆解
一般病理機轉 5 / 42
【106-1 醫學(二) 第47題】下列那一種酵素參與克式循環(Krebs cycle,亦稱citric acid cycle或TCA cycle)的反應,是位於粒線體內膜上且直接參與電子傳遞鏈?
A succinate dehydrogenase B isocitrate dehydrogenase C alpha-ketoglutarate dehydrogenase complex D malate dehydrogenase
詳解
破題關鍵
這題的重點在於找出克式循環中,唯一一個同時在粒線體內膜上,並且直接參與電子傳遞鏈的酵素。
選項拆解
一般病理機轉 6 / 42
【106-1 醫學(二) 第98題】有關弗克斯氏內皮失養症(Fuchs endothelial dystrophy)的敘述,下列何者錯誤?
A 是角膜移植的常見原因 B 角膜基質水腫 C 水泡形角膜病變(bullous keratopathy) D Guttata是角膜Bowman層不正常的物質沉著
詳解
破題關鍵
弗克斯氏內皮失養症的關鍵在於角膜內皮細胞功能異常,導致角膜水腫,而Guttata是內皮細胞異常分泌物堆積在Descemet膜上,不是Bowman層。
選項拆解
呼吸系統病理 7 / 42
【106-1 醫學(二) 第13題】解剖無效腔(anatomic dead space)內氧氣(O2)與二氧化碳(CO2)之組成比例與下列何者最相近?
A 肺泡(alveolus)內氣體 B 大氣(atmospheric gas) C 肺泡微血管(alveolar capillary)內血液 D 周邊微血管(peripheral capillary)內血液
詳解
破題關鍵
解剖無效腔就是氣管、支氣管這些沒有氣體交換的地方,所以裡面的氣體成分就跟我們吸進來的大氣一樣。
選項拆解
- A:錯在肺泡內的氣體已經跟血液進行過氣體交換,氧氣會減少、二氧化碳會增加,所以跟大氣成分不同。
呼吸系統病理 8 / 42
【106-1 醫學(二) 第14題】正常人站立時,其肺內何處的氧分壓 顯著高於體動脈血(systemic arterial blood)的氧分壓,而且該處的二氧化碳分 壓 顯著低於體動脈血的二氧化碳分壓?
A 肺底(lung base) B 肺中段(middle lung) C 肺尖(lung apex) D 肺內到處都如此
詳解
破題關鍵
站立時,肺尖的通氣灌流比(V/Q ratio)最高,導致該處的氣體分壓最接近吸入空氣。
選項拆解
- A:肺底的灌流(血流)相對通氣(空氣)較多,通氣灌流比低,因此氧分壓會較低,二氧化碳分壓會較高,與題意不符。
呼吸系統病理 9 / 42
【106-1 醫學(二) 第15題】正常人呼吸時,下列何者測得的壓力於吸氣期和呼氣期最可能都是負壓(negative pressure)?
A 肋膜內壓(intrapleural pressure) B 肺泡壓(alveolar pressure) C 肺泡壓-肋膜壓(transpulmonary pressure) D 氣道壓(airway pressure) 16.新生兒缺乏下列何種細胞膜蛋白最容易引起嚴重下痢? A.sodium-dependent glucose transporter 1(SGLT1) B.cystic fibrosis transmembrane conductance regulator(CFTR) C.aquaporin D.sodium-dependent glucose transporter 2(SGLT 2)
詳解
破題關鍵
正常呼吸時,肋膜腔因為肺臟和胸壁的彈性回縮力拉扯,壓力會一直維持在負值。
選項拆解
- A:正確。肋膜內壓在吸氣時會變得更負(例如從 -5 變成 -8 cmH2O),呼氣時會回到較不負的值(例如從 -8 變成 -5 cmH2O),但始終都是負壓。
呼吸系統病理 10 / 42
【106-1 醫學(二) 第83題】下列何種肺膨脹不全(atelectasis)通常為不可逆之變化?
A 吸收性肺膨脹不全(resorption atelectasis) B 阻塞性肺膨脹不全(obstruction atelectasis) C 壓迫性肺膨脹不全(compression atelectasis) D 收縮性肺膨脹不全(contraction atelectasis)
詳解
破題關鍵
這題的重點是找出哪種肺塌陷是「永久性」的,也就是不可逆的。
選項拆解
- A:吸收性肺膨脹不全通常是可逆的。這是因為氣道阻塞後,遠端肺泡的氣體被血液吸收,導致肺泡塌陷。只要阻塞解除,肺泡通常能重新膨脹。
呼吸系統病理 11 / 42
【106-1 醫學(二) 第84題】下列有關煤工塵肺症(coal worker pneumoconiosis)的敘述,何者錯誤?
A 簡單型煤工塵肺症可見煤斑塊(coal macule)及煤結節(coal nodule)的病理變化 B 複雜型煤工塵肺症可見密集之膠原和色素沉積 C 煤工塵肺症患者較一般人易感染結核病 D 煤工塵肺症患者若無吸菸則發生癌症的機率與一般人相近
詳解
破題關鍵
煤工塵肺症和矽肺症雖然都是塵肺症,但對結核病的易感性不同,這是考題常混淆的重點。
選項拆解
- A:正確。簡單型煤工塵肺症的特徵就是肺部組織中出現由巨噬細胞吞噬煤塵形成的煤斑塊,以及一些較小的煤結節。
呼吸系統病理 12 / 42
【106-1 醫學(二) 第85題】下列有關肺泡蛋白沉積症(alveolar proteinosis)的敘述,何者錯誤?
A 病理變化為肺泡內充滿表面活性蛋白(surfactant) B 大部分患者為後天型(acquired type) C 抗GM-CSF抗體為可能之病因 D 臨床治療以手術切除病灶為主
詳解
破題關鍵
肺泡蛋白沉積症的治療重點是把肺泡裡的髒東西洗出來,而不是開刀切掉。
選項拆解
- A:正確。肺泡蛋白沉積症的病理特徵就是肺泡裡堆滿了無法被清除的表面活性物質(surfactant),這些物質主要是脂蛋白。
呼吸系統病理 13 / 42
【106-1 醫學(二) 第86題】50歲男性咳血,ㄧ週後產生急性腎衰竭,血中C-ANCA檢查陰性,肺部切片顯示肺泡壞死及出血,合併血鐵質 (hemosiderin)沉積。此病人最有可能患有下列何種肺部出血疾病?
A 肺出血腎炎(Goodpasture)症候群 B 原因不明肺部血鐵症(idiopathic pulmonary hemosiderosis) C 韋格納氏肉芽腫(Wegener granulomatosis) D 腎細胞癌轉移至肺部,合併出血
詳解
破題關鍵
病人有咳血和急性腎衰竭,同時C-ANCA陰性,這組症狀最符合Goodpasture症候群。
選項拆解
呼吸系統病理 14 / 42
【106-1 醫學(二) 第87題】下列那項肺臟疾病,最有可能出現嗜中性白血球滲出物?
A 病毒性肺炎 B 肺氣喘 C 細菌性肺炎 D 肺癌
詳解
破題關鍵
當身體急性發炎對抗細菌感染時,嗜中性白血球是主要的防禦細胞。
選項拆解
- A:病毒性肺炎。病毒感染通常會引起淋巴球或單核球為主的發炎反應,而不是嗜中性白血球。
- B:肺氣喘。氣喘是一種過敏性疾病,主要會看到嗜酸性白血球、肥大細胞和淋巴球,嗜中性白血球不是主要細胞。
心血管與血液病理 15 / 42
【106-1 醫學(二) 第10題】比較血管系統中,動脈、微血管與靜脈等組織的結構與功能,下列敘述何者正確?
A 動脈富彈性,所以其順應性(compliance)比靜脈好 B 平時約有60%血液停留在靜脈。所以靜脈是血管系統的「壓力儲存器」(pressure reservoir) C 微血管有最大的總橫切面積與最低平均流速 D 血液在不同血管中的流速取決於距離心臟的遠近
詳解
破題關鍵
這題在考你對動脈、微血管、靜脈的結構與功能基本概念,特別是順應性、血液分布、總橫切面積與血流速度的關係。
選項拆解
- A:錯在動脈的順應性比靜脈差。雖然動脈彈性好,但靜脈管壁薄、容易擴張,能容納更多血液而壓力變化小,所以靜脈的順應性(compliance)遠比動脈好。
心血管與血液病理 16 / 42
【106-1 醫學(二) 第11題】關於脈搏壓(pulse pressure)的敘述,下列何者正確?
A 收縮壓(systolic pressure)增加時,脈搏壓一定會增加 B 脈搏壓的大小與動脈的順應性(compliance)無關 C 脈搏壓可能因心搏量(stroke volume)增加而上升 D 脈搏壓可能因舒張壓(diastolic pressure)的上升而上升
詳解
破題關鍵
脈搏壓是收縮壓和舒張壓的差值,主要受到心臟每次打出的血量(心搏量)和血管彈性(順應性)影響。
選項拆解
- A:錯在「一定會」。收縮壓增加時,如果舒張壓也跟著增加,甚至增加更多,脈搏壓就不一定會增加,反而可能不變或下降。
心血管與血液病理 17 / 42
【106-1 醫學(二) 第12題】若一受測者從臥姿突然站立時,因血壓降低而感到暈眩。此時身體會利用下列那一反應來幫助穩定動脈血壓?
A 降低動脈感壓受器反射(arterial baroreceptors reflex)放電頻率 B 降低心跳速率 C 降低靜脈回流(venous return) D 促使小動脈(arterioles)舒張
詳解
破題關鍵
當血壓突然下降時,身體會透過感壓受器偵測到這個變化,並啟動一連串反應來把血壓拉回來。
選項拆解
心血管與血液病理 18 / 42
【106-1 醫學(二) 第80題】心肌中最容易並且最先因冠狀動脈血流減少而缺氧損傷的區域是:
A 心內膜下區(subendocardial zone) B 心外膜區(epicardial zone) C 心肌中層(mid-myocardial zone) D 整層心壁(transmural zone) 81.85歲男性被發現左心室血液外流阻力增加及同心性左心肥大,病人因此接受主動脈瓣置換,病理檢查時在手術切除的瓣膜上發 現有許多小結狀鈣化結構於sinus of Valsalva中。此病人主動脈瓣在未發生病變前的解剖構造最可能是: A.three-cuspid valve B.two-cuspid valve C.un-commissural valve D.fissured valve
詳解
破題關鍵
心臟最內層(心內膜下區)因為血流供應最少且壓力最大,所以最容易在缺血時受損。
選項拆解
心血管與血液病理 19 / 42
【106-1 醫學(二) 第81題】85歲男性被發現左心室血液外流阻力增加及同心性左心肥大,病人因此接受主動脈瓣置換,病理檢查時在手術切除的瓣膜上發現有許多小結狀鈣化結構於sinus of Valsalva中。此病人主動脈瓣在未發生病變前的解剖構造最可能是:
A three-cuspid valve B two-cuspid valve C un-commissural valve D fissured valve
詳解
破題關鍵
85歲老人家主動脈瓣膜鈣化狹窄,最常見的原因是「正常的三瓣膜」隨著年紀老化而鈣化。
選項拆解
- A:three-cuspid valve (三瓣膜) 正確。在85歲的病人身上,最常見的主動脈瓣狹窄原因是退化性鈣化,而這種退化性變化通常發生在原本是正常的三瓣膜上。
泌尿生殖與內分泌病理 20 / 42
【106-1 醫學(二) 第22題】下列何種疾病與胰島素抗性(insulin resistance)的產生最無關?
A 肥胖(obesity) B 庫欣氏症候群(Cushing's syndrome) C 腎上腺機能不全(adrenal insufficiency) D 肢端肥大症(acromegaly)
詳解
破題關鍵
找出哪個疾病不會導致或加重胰島素抗性。
選項拆解
- A:肥胖是胰島素抗性最常見的原因之一,過多的脂肪組織會釋放發炎物質,干擾胰島素作用。
- B:庫欣氏症候群是因為體內皮質醇過多,皮質醇是一種升血糖激素,會直接造成胰島素抗性。
泌尿生殖與內分泌病理 21 / 42
【106-1 醫學(二) 第23題】關於醛固酮(aldosterone)分泌不足的生理變化,下列敘述何者錯誤?
A 細胞外液之鉀離子濃度會顯著上升 B 細胞外液體積會顯著減少 C 心輸出量會顯著上升 D 總血量會顯著降低
詳解
破題關鍵
醛固酮不足會讓身體留不住鈉和水,導致體液減少,進而影響心臟功能。
選項拆解
- A:錯在「會顯著上升」是正確的生理變化。醛固酮的主要功能之一是促進腎臟排出鉀離子。當醛固酮分泌不足時,鉀離子無法有效排出,就會累積在細胞外液中,導致血鉀濃度顯著上升。
泌尿生殖與內分泌病理 22 / 42
【106-1 醫學(二) 第24題】有關婦女停經(menopause)的敘述,下列何者錯誤?
A 停經後會伴隨有血漿中濾泡促素(follicular stimulating hormone)和黃體促素(luteinizing hormone)的升高 B 停經後易造成骨質疏鬆(osteoporosis),與雌激素(estrogen)分泌減少有關 C 停經後,助孕酮(progesterone)的分泌不受影響 D 停經前經常會伴隨有月經週期不規則的產生
詳解
破題關鍵
停經代表卵巢功能衰竭,所有卵巢分泌的荷爾蒙都會減少,不會有不受影響的。
選項拆解
- A:正確。停經後卵巢功能下降,雌激素分泌減少,對腦下垂體的負回饋作用減弱,導致濾泡促素(FSH)和黃體促素(LH)升高。
泌尿生殖與內分泌病理 23 / 42
【106-1 醫學(二) 第25題】有關睪丸的組織顯微結構與功能的配對,下列何者最為恰當?
A Leydig cell位於曲細精管(seminiferous tubule)之內;分泌睪固酮(testosterone) B Sertoli cell位於曲細精管(seminiferous tubule)之外; 曲細精管收縮 C Sertoli cell位於曲細精管(seminiferous tubule)之內;精子(sperm)的分化和成熟 D Leydig cell位於曲細精管(seminiferous tubule)之內;精子(sperm)的營養供應
詳解
破題關鍵
搞清楚睪丸裡兩種重要細胞(Leydig cell和Sertoli cell)的位置和功能,是解題核心。
選項拆解
- A:錯在Leydig cell位於曲細精管外面(間質),不是裡面。分泌睪固酮的功能是對的。
泌尿生殖與內分泌病理 24 / 42
【106-1 醫學(二) 第29題】罕見的單基因(monogenic)糖尿病,其致病基因已有6種以上,其中一種是葡萄糖代謝相關的酶hexokinase IV (glucokinase)發生突變,關於該酶之敘述,下列何者錯誤?
A 該酶作用參與糖解反應(glycolysis) B 該酶基因突變會直接增加TCA cycle之反應速率 C 該酶基因突變會導致胰島細胞ATP生成減少 D 該酶會磷酸化葡萄糖 30.催化轉胺反應(transamination)的酵素,需要利用下列何種維生素做為胺基暫時的攜帶者? A.flavin adenine dinucleotide(vitamin B2) B.pyridoxal phosphate(vitamin B6) C.tetrahydrofolate(H4 folate) D.thiamin pyrophosphate(vitamin B1)
詳解
破題關鍵
葡萄糖激酶(glucokinase)突變導致糖尿病,通常是功能下降,會讓葡萄糖代謝變慢,而不是加速。
選項拆解
- A:該酶作用參與糖解反應(glycolysis)。正確。葡萄糖激酶將葡萄糖磷酸化為葡萄糖-6-磷酸,這是糖解反應的第一步。
泌尿生殖與內分泌病理 25 / 42
【106-1 醫學(二) 第38題】下列何種物質無法作為葡萄糖生合成(gluconeogenesis)之前驅物?
A 脂肪酸 B 胺基酸 C 甘油(glycerol) D 草醯乙酸(oxaloacetate)
詳解
破題關鍵
這題的重點在於判斷哪些物質的碳骨架可以有效地轉化為葡萄糖,而脂肪酸在動物體內無法做到這一點。
選項拆解
泌尿生殖與內分泌病理 26 / 42
【106-1 醫學(二) 第79題】39歲未婚婦女,自20歲即有性經驗,且換過幾位性伴侶,身體一向健康沒有任何不適。因響應政府衛生教育宣導6分鐘護一 生,接受子宮頸抹片篩檢,結果發現上皮細胞有重度異生(severe dysplasia)。下列對病人的建議及處理,何者最適當?
A 停止性接觸,3個月後再追蹤檢查一次 B 接受抗生素治療後,3個月再追蹤檢查一次 C 接受人類乳突病毒的偵測,並接受子宮全切除 D 先做子宮頸錐狀切片檢查,評估病情後再決定後續治療方法
詳解
破題關鍵
子宮頸抹片發現重度異生,代表細胞已經變得很不正常,這時候需要更精確的檢查來確認病變的範圍和深度,才能決定怎麼治療。
選項拆解
- A:錯在重度異生不是靠停止性行為或等三個月就會好,它需要積極的診斷和治療。
- B:錯在重度異生不是細菌感染,抗生素對它沒有任何效果。
泌尿生殖與內分泌病理 27 / 42
【106-1 醫學(二) 第90題】有關腦下腺促皮質素腺瘤(corticotroph adenoma)的敘述,下列何者錯誤?
A 在診斷時常以巨腺瘤(macroadenoma)呈現 B 大部分屬於嗜鹼性腺瘤(basophilic),只有少數為難染色性腺瘤(chromophobic) C Periodic-acid-Schiff(PAS)染色呈陽性反應 D 易導致庫欣氏症候群(Cushing syndrome)
詳解
破題關鍵
腦下腺促皮質素腺瘤會引起庫欣氏症候群,症狀明顯,所以通常在腫瘤還很小的時候就被發現。
選項拆解
- A:錯誤。促皮質素腺瘤分泌過多ACTH導致庫欣氏症候群,症狀會提早出現,因此大部分在診斷時是微腺瘤(小於1公分),而非巨腺瘤。
泌尿生殖與內分泌病理 28 / 42
【106-1 醫學(二) 第91題】下列有關黏液浮腫(myxedema)的敘述,何者最不適當?
A 發生於甲狀腺機能不足的成人或較大的孩童 B 皮膚、皮下或某些內臟貯積glycosaminoglycans及hyaluronic acid C 所有病人的血清TSH均上升 D 所有病人的血清T4下降
詳解
破題關鍵
並非所有甲狀腺機能不足的病人,其促甲狀腺素(TSH)都會升高,這取決於病因是原發性還是中樞性。
選項拆解
- A:正確。黏液性水腫是嚴重甲狀腺功能低下的表現,主要發生在成人或較大的孩童。
泌尿生殖與內分泌病理 29 / 42
【106-1 醫學(二) 第93題】28歲女性,出現多毛,聲音沙啞,和經期不順等症狀,腹部超音波檢查發現一卵巢腫瘤,最可能的診斷是:
A 顆粒細胞瘤(granulosa cell tumor) B 濾泡膜細胞瘤(thecoma) C 索特利-萊汀細胞瘤(Sertoli-Leydig cell tumor) D 布雷納氏腫瘤(Brenner tumor)
詳解
破題關鍵
看到女性出現多毛、聲音沙啞、經期不順等男性化症狀,就要聯想到卵巢有分泌雄性素的腫瘤。
選項拆解
- A:顆粒細胞瘤主要分泌雌性素,會導致子宮內膜增生或出血,不會造成男性化。
泌尿生殖與內分泌病理 30 / 42
【106-1 醫學(二) 第94題】關於子宮內膜增生(endometrial hyperplasia),一般認為與下列何種基因最有關?
A PTEN B BRCA1 C HER2 D BRCA2
詳解
破題關鍵
子宮內膜增生與子宮內膜癌的發生,最常與PTEN這個抑癌基因的失活有關。
選項拆解
- A:正確。PTEN是一個重要的抑癌基因,它的功能喪失與子宮內膜增生(特別是非典型增生)及子宮內膜癌的發生有高度相關性。
泌尿生殖與內分泌病理 31 / 42
【106-1 醫學(二) 第95題】有關睪丸炎(orchitis)與副睪丸炎(epididymitis)的描述,下列何者錯誤?
A 淋病與結核病的感染常先發生於睪丸,而梅毒則常從副睪丸開始 B 腮腺炎的感染好發於學齡兒童,這個年齡群極少有睪丸炎的併發症發生 C 35歲以上的年齡群副睪丸炎以大腸桿菌與綠膿桿菌的感染為主 D 梅毒的感染可於顯微鏡下觀察到大量漿細胞與淋巴球的浸潤
詳解
破題關鍵
淋病和結核病引起的生殖道感染,通常是從副睪丸開始,而不是睪丸。
選項拆解
- A:錯在淋病和結核病的感染通常是先從副睪丸開始,再蔓延到睪丸。梅毒則常引起睪丸炎,但不一定從副睪丸開始。
消化與肝膽病理 32 / 42
【106-1 醫學(二) 第16題】新生兒缺乏下列何種細胞膜蛋白最容易引起嚴重下痢?
A sodium-dependent glucose transporter 1(SGLT1) B cystic fibrosis transmembrane conductance regulator(CFTR) C aquaporin D sodium-dependent glucose transporter 2(SGLT 2)
詳解
破題關鍵
新生兒腸道吸收水分主要靠吸收葡萄糖和鈉,SGLT1就是負責這個關鍵步驟的運輸蛋白,它出問題水就留不住。
選項拆解
消化與肝膽病理 33 / 42
【106-1 醫學(二) 第43題】關於脂肪組織之脂肪代謝,下列敘述何者錯誤?
A 脂肪組織脂肪分解,釋放出來的脂肪酸,可供給其他組織產生能量 B 脂肪組織脂肪分解,分解出來的脂肪酸,釋放至血液與血清白蛋白(serum albumin)結合 C 脂肪組織脂肪分解,釋放出來的脂肪酸可送到肝臟內再合成三酸甘油酯,所以肥胖病患易合併脂肪肝 D 空腹時,釋放出來的脂肪酸送到肝臟內合成三酸甘油酯,包裝成乳糜微粒(chylomicron)分泌至血液中
詳解
破題關鍵
搞清楚肝臟分泌的是哪種脂蛋白,以及乳糜微粒的來源。
選項拆解
- A:正確。脂肪組織分解脂肪釋出的脂肪酸,是身體在空腹或運動時重要的能量來源,可以供給肌肉、心臟等組織使用。
- B:正確。脂肪酸本身不溶於水,在血液中需要與血清白蛋白結合才能被運輸到其他組織。
消化與肝膽病理 34 / 42
【106-1 醫學(二) 第78題】下列感染症中,何者可造成肝臟纖維化的病變? ①梅毒(syphilis) ②血吸蟲病(schistosomiasis) ③痲瘋病(leprosy)
A 僅①② B 僅①③ C 僅②③ D ①②③
詳解
破題關鍵
這題要你找出會讓肝臟「結疤硬化」(纖維化)的感染症。
選項拆解
- A:正確。梅毒晚期會造成肝臟纖維化,血吸蟲病更是肝臟纖維化的經典病因。
- B:錯在痲瘋病。痲瘋病主要影響皮膚和神經,不會造成肝臟明顯纖維化。
- C:錯在痲瘋病。
- D:錯在痲瘋病。
核心知識
消化與肝膽病理 35 / 42
【106-1 醫學(二) 第89題】48歲男性B型肝炎患者,腹部超音波發現一大型肝臟腫瘤,且主要肝門靜脈也有腫瘤栓塞,顯微鏡下腫瘤細胞含有膽色素,則 下列敘述何者為最有可能的診斷?
A 膽管癌 B 肝臟血管瘤 C 肝細胞癌 D 轉移性膽囊癌
詳解
破題關鍵
B型肝炎病史、肝門靜脈栓塞,加上腫瘤細胞會產生膽色素,這些都指向肝細胞癌。
選項拆解
- A:錯在膽管癌細胞不會產生膽色素,它來自膽管上皮細胞。
- B:錯在肝臟血管瘤是良性病變,不會有腫瘤栓塞,也不會產生膽色素。
神經系統病理 36 / 42
【106-1 醫學(二) 第2題】一位因中風(stroke)而導致左側腦視神經束(optic tract)受損的患者,下列何者為該患者最可能的視覺障礙?
A 無法感知來自右眼的內外側視網膜(retina)上的影像 B 無法感知來自左眼的內外側視網膜(retina)上的影像 C 右眼的外側及左眼的內側視野(visual field)偏盲 D 兩眼的外側視野(visual field)偏盲 3.下列那一種神經元的軸突末端,不是以acetylcholine為其釋出的主要神經傳導物質? A.alpha-motor neurons B.gamma-motor neurons C.preganglionic parasympathetic neurons D.postganglionic sympathetic neurons
詳解
破題關鍵
左側視神經束受損,會導致對側(右側)的同向性偏盲。
選項拆解
- A:錯在這是右眼視神經完全受損才會導致的右眼全盲,而非視神經束受損。視神經束包含來自兩眼的資訊。
- B:錯在這是左眼視神經完全受損才會導致的左眼全盲,而非視神經束受損。視神經束包含來自兩眼的資訊。
神經系統病理 37 / 42
【106-1 醫學(二) 第4題】聲波震動在人類耳部的傳導順序,下列何者正確?①tympanic membrane ②middle-ear bones ③round window membrane ④basilar membrane ⑤oval window membrane
A ①②③④⑤ B ②①④③⑤ C ①②③⑤④ D ①②⑤④③
詳解
破題關鍵
聲音傳到內耳的順序是耳膜、聽小骨、卵圓窗,然後才在耳蝸內引起基底膜震動,圓窗是壓力釋放的出口。
選項拆解
- A:順序完全錯誤,圓窗膜和基底膜的位置顛倒了。
- B:耳膜是第一個接收聲音的,聽小骨在耳膜之後,所以順序不對。
神經系統病理 38 / 42
【106-1 醫學(二) 第44題】腦中核酸分解所形成之氨(ammonia),主要轉化為下列何種物質,再經由血液運送至肝臟或腎臟?
A 尿酸(uric acid) B 尿素(urea) C 天冬醯胺(asparagine) D 麩胺醯胺(glutamine)
詳解
破題關鍵
腦部處理氨的主要方式是將它變成麩胺醯胺,再送出去。
選項拆解
- A:錯在尿酸是普林代謝的最終產物,不是腦部用來運送氨的形式。
- B:錯在尿素是肝臟處理氨的主要方式(尿素循環),腦部沒有完整的尿素循環。
神經系統病理 39 / 42
【106-1 醫學(二) 第77題】腦梗塞後,最容易造成下列何種壞死?
A 液化性壞死 B 凝固性壞死 C 脂肪壞死 D 壞疽性壞死
詳解
破題關鍵
腦部缺血壞死很特別,因為腦組織的特性,它會被「融化」成液體。
選項拆解
- A:正確。腦部組織富含脂質和水,而且有大量的溶酶體酶。當腦部缺血壞死時,這些酶會把細胞和組織徹底分解消化掉,最後形成一團黏稠的液體,所以叫做液化性壞死。
神經系統病理 40 / 42
【106-1 醫學(二) 第97題】周邊神經因創傷而橫斷所發生的變化,下列敘述何者正確?
A 軸索(axon)被破壞,髓鞘一般仍維持完好 B 橫斷近端(近神經細胞體)之神經纖維發生華勒氏變性(Wallerian degeneration) C 創傷性神經瘤(traumatic neuroma)是因神經再生而形成,它的成分是軸索,但不含其他支持細胞如許旺氏細胞(Schwann cell),纖維組織母細胞(fibroblasts)等 D 被切斷的神經之近端退化,一般只影響2-3結間節的距離
詳解
破題關鍵
周邊神經斷裂後,近端和遠端會有不同的退化和再生反應,其中近端的退化範圍是有限的。
選項拆解
- A:錯在髓鞘。當軸索被破壞時,髓鞘也會跟著退化,這就是華勒氏變性的一部分。
腫瘤病理學 41 / 42
【106-1 醫學(二) 第82題】下列三種淋巴癌中,何者與Epstein-Barr病毒有密切關係? ① 鼻腔NK/T細胞淋巴癌(NK/T-cell lymphoma) ② 濾泡性淋巴癌(follicular lymphoma) ③ 後天免疫不全症候群合併之原發性中樞神經系統B細胞淋巴癌(B-cell lymphoma)
A 僅①② B 僅②③ C 僅①③ D ①②③
詳解
破題關鍵
這題在考你哪些淋巴癌跟EB病毒(EBV)有關係,特別要注意免疫功能不佳時的淋巴癌。
選項拆解
- A:錯在濾泡性淋巴癌通常與EBV無關。
- B:錯在濾泡性淋巴癌通常與EBV無關。
- C:正確。鼻腔NK/T細胞淋巴癌和免疫不全引起的B細胞淋巴癌都與EBV有密切關聯。
腫瘤病理學 42 / 42
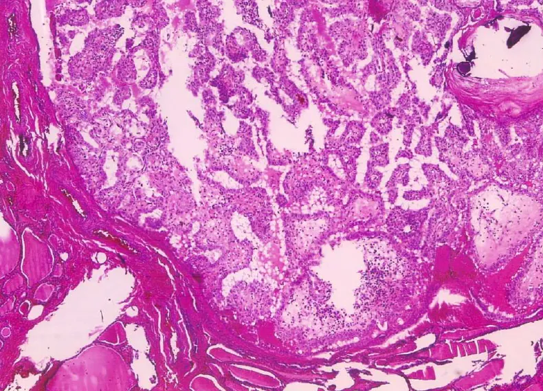
【106-1 醫學(二) 第92題】圖示為50歲女性甲狀腺腫瘤之病理切片。下列敘述何者最不符合此腫瘤的臨床或病理特徵?
A 細胞核常有溝狀特徵(nuclear grooving) B 發生在40歲之前者預後極好 C 常有PAX-PPAR γ 1染色體轉位(translocation) D 腫瘤細胞呈高柱狀者較具侵犯性
詳解
破題關鍵
這張病理切片顯示的是甲狀腺乳突癌(Papillary Thyroid Carcinoma, PTC),解題核心在於辨識出乳突癌的典型病理特徵,並判斷哪個選項的敘述與乳突癌的臨床或病理特徵最不符。圖片中可見明顯的乳突狀結構和細胞核特徵,是判斷為乳突癌的關鍵視覺線索。
選項拆解