一般病理機轉1 / 25
【110-2 醫學(二) 第76題】炎症反應中所釋出的組織胺(histamine),與下列何者最有關?
詳解
本題考核重點為相關概念的臨床應用,需理解基本原理並結合題目情境進行推導分析...
一般病理機轉2 / 25
【110-2 醫學(二) 第77題】細胞發生不可逆變化,與下列何種現象最有關?
詳解
本題考核重點為相關概念的臨床應用,需理解基本原理並結合題目情境進行推導分析...
一般病理機轉3 / 25
【110-2 醫學(二) 第80題】因為缺乏菸鹼素(niacin)所引起之臨床症狀,下列何者較不常見?
詳解
本題考核重點為相關概念的臨床應用,需理解基本原理並結合題目情境進行推導分析...
一般病理機轉4 / 25
【110-2 醫學(二) 第98題】一名眼球癆(phthisis bulbi)的患者做了眼球摘除送病理檢查,則該病患應是:
詳解
本題考核重點為相關概念的臨床應用,需理解基本原理並結合題目情境進行推導分析...
心血管與血液病理5 / 25
【110-2 醫學(二) 第81題】一個病人表現黃疸、中風、意識模糊與腹痛,血液檢查顯示血小板低下與碎裂的紅血球(schistocytes),凝血酶原時間(prothrombin time)與部分凝血活酶時間(partial thromboplastin time)正常,經過血漿置換術 (plasma exchange)之後,病人的病情獲得改善,下列何者是最可能的解釋?
詳解
本題考核重點為相關概念的臨床應用,需理解基本原理並結合題目情境進行推導分析...
心血管與血液病理6 / 25
【110-2 醫學(二) 第82題】一個長期抽菸的60歲男性,他有高血壓與糖尿病但沒有接受治療,某日他在吃飯時突然失去意識,30分鐘後救護人員到達時他已經死亡,法醫初步認為他是心臟猝死(sudden cardiac death),心臟猝死最常見的法醫檢查結果為何?
詳解
本題考核重點為相關概念的臨床應用,需理解基本原理並結合題目情境進行推導分析...
心血管與血液病理7 / 25
【110-2 醫學(二) 第83題】下列何者最不常見腎臟細動脈玻璃樣增厚(hyaline thickening of the walls of arterioles)?
詳解
本題考核重點為相關概念的臨床應用,需理解基本原理並結合題目情境進行推導分析...
心血管與血液病理8 / 25
【110-2 醫學(二) 第84題】下列何種維生素缺乏,最可能導致巨母紅血球性貧血(megaloblastic anemia)?
詳解
本題考核重點為相關概念的臨床應用,需理解基本原理並結合題目情境進行推導分析...
心血管與血液病理9 / 25
【110-2 醫學(二) 第85題】40歲女性在懷孕末期時出現血小板數目低下(24×109/L,參考值156-369×109/L)的情形。病人在輸完血小板後立即接受剖腹生產,生產後有輕微溶血性貧血。病人於是接受血漿置換術,但情況並無改善。流式細胞儀分析(flow cytometry)顯示病人紅血球偵測不到CD55與CD59。下列何種基因異常最可能導致此病人的情況?
詳解
本題考核重點為相關概念的臨床應用,需理解基本原理並結合題目情境進行推導分析...
心血管與血液病理10 / 25
【110-2 醫學(二) 第86題】下列何者不是引起肺高血壓(pulmonary hypertension)的主要原因?
詳解
本題考核重點為相關概念的臨床應用,需理解基本原理並結合題目情境進行推導分析...
心血管與血液病理11 / 25
【110-2 醫學(二) 第99題】高血壓性腦出血的病人,腦部常見何種血管變化?
詳解
本題考核重點為相關概念的臨床應用,需理解基本原理並結合題目情境進行推導分析...
感染與免疫病理12 / 25
【110-2 醫學(二) 第78題】全血丙型干擾素檢驗(interferon-gamma release assay)可用來診斷潛伏肺結核菌感染。此檢驗主要運用的原理,是在高特異性的結核菌抗原刺激下,血液中的何種細胞被活化後產生丙型干擾素?
詳解
本題考核重點為相關概念的臨床應用,需理解基本原理並結合題目情境進行推導分析...
感染與免疫病理13 / 25
【110-2 醫學(二) 第79題】下列各項梅毒期別與病變的組合中,那一個組合正確?
詳解
本題考核重點為相關概念的臨床應用,需理解基本原理並結合題目情境進行推導分析...
感染與免疫病理14 / 25
【110-2 醫學(二) 第88題】肺部有一局部圓形病灶,中間形成空腔,且含有濃稠黃色液體,外圍有約0.6 mm厚的纖維壁。其診斷最可能為:
詳解
本題考核重點為相關概念的臨床應用,需理解基本原理並結合題目情境進行推導分析...
泌尿生殖與內分泌病理15 / 25
【110-2 醫學(二) 第93題】以下何者最不可能是糖尿病引起的腎病變?
詳解
本題考核重點為相關概念的臨床應用,需理解基本原理並結合題目情境進行推導分析...
泌尿生殖與內分泌病理16 / 25
【110-2 醫學(二) 第95題】下列有關外陰部鱗狀上皮癌(squamous cell carcinoma)的敘述, 何者較不正確?
詳解
本題考核重點為相關概念的臨床應用,需理解基本原理並結合題目情境進行推導分析...
泌尿生殖與內分泌病理17 / 25
【110-2 醫學(二) 第96題】下列有關胎盤滋養層細胞腫瘤(placental site trophoblastic tumor, PSTT)的敘述,何者較不正確?
詳解
本題考核重點為相關概念的臨床應用,需理解基本原理並結合題目情境進行推導分析...
泌尿生殖與內分泌病理18 / 25
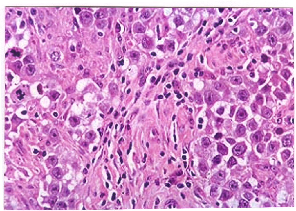
【110-2 醫學(二) 第97題】

30歲男性,最近三個月來覺得右側陰囊漸漸變大有下墜感,但不會有疼痛現象。圖為他睪丸切除手術標本的顯微鏡下變化。下列何者是最可能的診斷?
詳解
本題考核重點為相關概念的臨床應用,需理解基本原理並結合題目情境進行推導分析...
消化與肝膽病理19 / 25
【110-2 醫學(二) 第89題】關於威爾森氏症(Wilson disease),下列何者錯誤?
詳解
本題考核重點為相關概念的臨床應用,需理解基本原理並結合題目情境進行推導分析...
消化與肝膽病理20 / 25
【110-2 醫學(二) 第90題】關於遺傳性血鐵沉著症(hemochromatosis),下列何者錯誤?
詳解
本題考核重點為相關概念的臨床應用,需理解基本原理並結合題目情境進行推導分析...
消化與肝膽病理21 / 25
【110-2 醫學(二) 第91題】關於原發性膽汁肝硬化(primary biliary cirrhosis),下列何者錯誤?
詳解
本題考核重點為相關概念的臨床應用,需理解基本原理並結合題目情境進行推導分析...
神經系統病理22 / 25
【110-2 醫學(二) 第100題】
病人35歲,長有腦瘤(如圖),顯微鏡下觀察很像釉胚(enamel organ)長出的腫瘤。其診斷應是:

詳解
本題考核重點為相關概念的臨床應用,需理解基本原理並結合題目情境進行推導分析...
腫瘤病理學23 / 25
【110-2 醫學(二) 第87題】下列有關間皮瘤(mesothelioma)的敘述,何者錯誤?
詳解
本題考核重點為相關概念的臨床應用,需理解基本原理並結合題目情境進行推導分析...
腫瘤病理學24 / 25
【110-2 醫學(二) 第92題】作為預測胰臟內分泌腫瘤良惡性的判定指標,以下何者最不準確?
詳解
本題考核重點為相關概念的臨床應用,需理解基本原理並結合題目情境進行推導分析...
腫瘤病理學25 / 25
【110-2 醫學(二) 第94題】依腎細胞癌最常見的侵犯及散播途徑,以下何者的管腔最不可能出現腫瘤細胞團塊?
詳解
本題考核重點為相關概念的臨床應用,需理解基本原理並結合題目情境進行推導分析...