一般病理機轉1 / 25
【111-2 醫學(二) 第76題】下列何者之典型病理變化,最不可能是肉芽腫性發炎(granulomatous inflammation)?
詳解
破題關鍵
肉芽腫性發炎是身體對難以清除的刺激物(如特定病原體或異物)產生的一種特殊慢性發炎反應。
選項拆解
-A:錯在痳瘋 (leprosy) 會引起肉芽腫性發炎,特別是結核樣痲瘋 (tuberculoid leprosy)。
一般病理機轉2 / 25
【111-2 醫學(二) 第77題】下列何者不是化生(metaplasia)的例子?
詳解
破題關鍵
化生是指一種成熟細胞被另一種成熟細胞取代,以適應環境壓力。
選項拆解
-A:錯在抽菸刺激下,支氣管上皮被鱗狀上皮取代是典型的鱗狀化生,因為鱗狀上皮比柱狀上皮更能抵抗物理性刺激。
一般病理機轉3 / 25
【111-2 醫學(二) 第78題】關於體染色體遺傳疾病(autosomal inheritable disease)的敘述,下列何者正確?
詳解
破題關鍵
酵素缺陷多為隱性遺傳,而結構蛋白缺陷則顯性或隱性皆可能。
選項拆解
-A:錯在酵素蛋白缺陷所引起的遺傳性疾病以隱性遺傳疾病 (autosomal recessive disease) 為主,因為通常一個正常基因拷貝產生的酵素量就足以維持正常功能。
呼吸系統病理4 / 25
【111-2 醫學(二) 第86題】下列有關肺水腫之敘述何者錯誤?
詳解
破題關鍵
肺水腫是肺部積水,心衰竭細胞跟淋巴球無關。
選項拆解
-A:錯在「源自淋巴球」。心衰竭細胞是肺泡巨噬細胞吞噬紅血球和血鐵素後形成的,與淋巴球無關。
-B:正確。肺泡壁微血管損傷會讓液體滲出,導致肺水腫。
-C:正確。肺部靜水壓升高(例如左心衰竭)是肺水腫最常見的原因。
呼吸系統病理5 / 25
【111-2 醫學(二) 第87題】有關特發性肺纖維化(idiopathic pulmonary fibrosis)的敘述,下列何者錯誤?
詳解
破題關鍵
特發性肺纖維化是一種老年人的疾病。
選項拆解
-A:正確。IPF 常見於雙側肺葉,尤其在肺底部和周邊。
-B:正確。IPF 在男性中比女性更常見。
-C:錯在「小於 50 歲的年輕人居多」。IPF 是一種老年人的疾病,通常在 60 歲以上發病。
心血管與血液病理6 / 25
【111-2 醫學(二) 第82題】一個過去身體健康的 25 歲女性,懷孕在某醫院婦產科定期接受產前檢查,檢查結果都正常,她後來自然產生出一個足月男嬰,但在生產後她很快出現呼吸急促、心跳加快、發紺(cyanosis)與血壓下降,接著出現痙攣與失去意識,請問下列情形是最可能出現在此病人的情況?
詳解
破題關鍵
生產後突發的嚴重呼吸循環衰竭和神經症狀,最可能是羊水栓塞。
選項拆解
-A:錯在肺動脈血管管腔出現空氣阻塞 (air embolism) 雖然可能發生在分娩時,但羊水栓塞更符合描述的典型症狀,特別是其嚴重性和多系統影響。
心血管與血液病理7 / 25
【111-2 醫學(二) 第83題】60 歲男性因為心肌梗塞(myocardial infarct)引起的心肌破裂而死亡,心肌破裂的最常見時間與當時的顯微鏡下變化為何?
詳解
破題關鍵
心肌破裂最常發生在梗塞組織最脆弱、被酵素分解最劇烈的時候。
選項拆解
-A:錯在心肌梗塞後 1 天,雖然有凝固性壞死,但嗜中性白血球浸潤尚不顯著,組織尚未達到最脆弱的程度。
心血管與血液病理8 / 25
【111-2 醫學(二) 第84題】下列何種出血性疾病,最可能造成微血管病性溶血性貧血(microangiopathic hemolytic anemia)?
詳解
破題關鍵
微血管病性溶血性貧血的關鍵是紅血球在異常微血管中受到機械性破壞。
選項拆解
-A:正確。血栓性血小板減少性紫斑症 (TTP) 的核心病理是全身性小血管內形成血小板血栓,這些血栓會機械性地剪切紅血球,導致微血管病性溶血性貧血。
感染與免疫病理9 / 25
【111-2 醫學(二) 第79題】有關傳染性單核白血球增多症(infectious mononucleosis)的敘述,下列何者正確?
詳解
破題關鍵
傳染性單核白血球增多症的關鍵是病毒感染導致T淋巴細胞活化增生,產生非典型淋巴細胞。
選項拆解
-A:正確。巨細胞病毒 (CMV) 感染可以引起與 EBV 引起的傳染性單核白血球增多症非常相似的臨床症狀和血液學表現,包括非典型淋巴細胞。
感染與免疫病理10 / 25
【111-2 醫學(二) 第95題】下列何種睪丸的情況,可出現典型的橡皮腫(gumma)?
詳解
破題關鍵
橡皮腫是梅毒第三期的典型病灶。
選項拆解
-A:輸精管結紮是一種手術,不會引起橡皮腫。
-B:正確。橡皮腫是梅毒第三期的典型病灶,可發生在睪丸。
-C:結核病會形成乾酪性壞死性肉芽腫,但不是橡皮腫。
-D:淋病主要引起化膿性炎症,不會形成橡皮腫。
核心知識
感染與免疫病理11 / 25
【111-2 醫學(二) 第96題】下列有關尖狀濕疣(condyloma acuminatum)的敘述,何者較不正確?
詳解
破題關鍵
尖狀濕疣雖然多數是良性,但它是由人類乳突狀病毒引起,而某些型別的病毒與癌前病變和癌症有密切關聯。
選項拆解
泌尿生殖與內分泌病理12 / 25
【111-2 醫學(二) 第93題】40 歲女性,十年前因經常頭痛而自行購買含 phenacetin 複方止痛藥,且常合併服用阿斯匹靈(aspirin),目前腎功能下降,病理巨觀發現腎乳突脫落,有關此病患的相關病理變化中,下列何者最不正確?
詳解
破題關鍵
止痛藥腎病變不常合併尿路感染。
選項拆解
-A:正確。腎乳突壞死後,壞死組織可能發生鈣化。
-B:正確。腎乳突壞死是止痛藥腎病變的典型病理特徵。
-C:正確。止痛藥腎病變會引起慢性腎小管間質性腎炎。
泌尿生殖與內分泌病理13 / 25
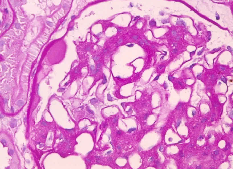
【111-2 醫學(二) 第94題】65 歲男病人呈現嚴重的蛋白尿。腎臟切片檢查顯示腎絲球病變中並無免疫複合體或補體沉積。根據本題圖示及病人臨床表現,下列腎病中何者是最可能的病理診斷?

詳解
破題關鍵
這題的解題核心在於結合病人的臨床表現(嚴重蛋白尿、無免疫複合體或補體沉積)與腎臟切片影像中典型的病理特徵。圖片中腎絲球內明顯可見紫紅色的結節狀病變(Kimmelstiel-Wilson nodules),這是糖尿病腎病變的經典表現。
選項拆解
消化與肝膽病理14 / 25
【111-2 醫學(二) 第90題】關於 Alpha1-antitrypsin deficiency 的敘述,下列何者錯誤?
詳解
破題關鍵
Alpha1-antitrypsin deficiency 的球狀內含物是蛋白質,澱粉酶無法分解。
選項拆解
-A:錯在「可被澱粉酶分解」。AATD 的肝細胞內含物是蛋白質,無法被澱粉酶分解,所以是 diastase-resistant。
神經系統病理15 / 25
【111-2 醫學(二) 第80題】暴露於下列物質,何者最不易引起周邊及中樞神經的病變?
詳解
破題關鍵
要判斷哪種物質最不可能引起神經病變,需了解各物質的主要毒性作用。
選項拆解
-A:錯在丙烯醯胺 (Acrylamide) 是一種已知的神經毒素,會引起周邊神經病變。
-B:錯在某些酮類 (Ketones),如甲基正丁酮,會引起周邊神經病變。
神經系統病理16 / 25
【111-2 醫學(二) 第99題】包涵體肌炎(inclusion body myositis)患者之肌肉切片在 Gomori trichrome stain 下觀察到的包涵體(cytoplasmic inclusion)稱為:
詳解
破題關鍵
包涵體肌炎的診斷性病理特徵,就是在肌肉切片中看到邊緣空泡。
選項拆解
-A:Hirano body (平野小體) 是在神經退行性疾病(如阿茲海默症)中神經元內發現的嗜酸性包涵體,與肌病無關。
腫瘤病理學17 / 25
【111-2 醫學(二) 第81題】下列基因的變異,何者與遺傳性非息肉病大腸癌(hereditary nonpolyposis colon cancer)較無關?
詳解
破題關鍵
遺傳性非息肉病大腸癌 (HNPCC) 的關鍵是 DNA 錯配修復基因的缺陷。
選項拆解
-A:錯在 MSH2 是 DNA 錯配修復基因之一,其變異與 HNPCC 密切相關。
-B:錯在 MSH6 也是 DNA 錯配修復基因之一,其變異與 HNPCC 密切相關。
腫瘤病理學18 / 25
【111-2 醫學(二) 第85題】12 歲男孩因腹痛求診,影像檢查發現迴盲區(ileocecal region)腫瘤導致腸套疊,腫瘤切片顯示瀰漫浸潤的中等大小淋巴球,且有散布的巨噬細胞形成星空樣模式(starry-sky pattern),腫瘤細胞表現 CD20 及 CD10,但並未表現 BCL2 及 TdT。此種腫瘤最常有下列何種基因轉位?
詳解
破題關鍵
「星空樣模式」和特定免疫表型是伯基特氏淋巴瘤的經典特徵。
選項拆解
-A:正確。伯基特氏淋巴瘤的經典病理特徵(星空樣模式、CD20+/CD10+/BCL2-/TdT-)和臨床表現(兒童腹部腫瘤、腸套疊)都指向 MYC 基因轉位,這是其診斷性的分子異常。
腫瘤病理學19 / 25
【111-2 醫學(二) 第88題】60 歲女性有抽菸史,主訴咳嗽、胸痛及體重下降。胸部 X-ray 顯示,有一陰影,組織圖如下,其最可能的診斷為:

詳解
破題關鍵
這張病理切片最關鍵的特徵是清晰可見的「角化珠」(keratin pearls),這是診斷鱗狀上皮細胞癌的決定性證據。
選項拆解
-A:小細胞癌 (Small Cell Carcinoma) 的特徵是細胞小、核深染、胞漿少,且常有核碎裂現象,不會形成角化珠。
腫瘤病理學20 / 25
【111-2 醫學(二) 第89題】承上題,其癌細胞最有可能轉移至何處?
詳解
破題關鍵
肺癌最常轉移到肝臟、腦、骨骼和腎上腺。
選項拆解
-A:皮膚轉移相對少見,不是肺癌最常見的轉移部位。
-B:心臟轉移也相對少見,且通常是直接侵犯而非遠端轉移。
-C:正確。肝臟是肺癌最常見的遠端轉移部位之一。
-D:脾臟轉移非常罕見,不是肺癌的常見轉移部位。
核心知識
腫瘤病理學21 / 25
【111-2 醫學(二) 第91題】以下何者與大腸癌發生的風險最無關?
詳解
破題關鍵
增生性息肉幾乎沒有惡性潛力。
選項拆解
-A:絨毛狀腺瘤具有最高的惡性轉化潛力,與大腸癌風險高度相關。
-B:正確。增生性息肉是良性息肉,幾乎沒有惡性轉化潛力,與大腸癌發生的風險最無關。
-C:家族性腺瘤樣息肉症患者幾乎百分之百會發展成大腸癌,與大腸癌風險高度相關。
腫瘤病理學22 / 25
【111-2 醫學(二) 第92題】下列何者是最常見的唾液腺良性腫瘤?
詳解
破題關鍵
多形性腺瘤是最常見的唾液腺良性腫瘤。
選項拆解
-A:正確。多形性腺瘤是最常見的唾液腺良性腫瘤。
-B:Warthin 腫瘤是第二常見的良性唾液腺腫瘤。
-C:嗜酸細胞瘤是較少見的良性唾液腺腫瘤。
-D:基底細胞腺瘤是較少見的良性唾液腺腫瘤。
核心知識
腫瘤病理學23 / 25
【111-2 醫學(二) 第97題】下列何種乳癌的預後最差?
詳解
破題關鍵
乳癌的預後好壞,與其組織學亞型和生物學特性有直接關係,其中化生癌是最具侵襲性的亞型之一。
選項拆解
-A:正確。化生癌是乳癌中預後最差的亞型之一,常為三陰性,對治療反應不佳,易復發和轉移。
腫瘤病理學24 / 25
【111-2 醫學(二) 第98題】16 歲女生最近在右小腿靠近膝關節處有腫脹及疼痛感。電腦斷層掃描發現在右脛骨(tibia)上端有一疑似腫瘤病灶,其具有膨脹性溶解病變(expansile lytic lesion)且外覆一層薄的骨密質(thin shell of reactive bone)。病理切片檢查顯示其組成包括含有血之囊腫(blood-filled cystic space)混雜著纖維組織、fibroblast、woven bone 和類似蝕骨細胞之巨細胞(osteoclast-like giant cell)。根據上述,該病人最可能罹患的疾病是:
詳解
破題關鍵
年輕患者的骨骼膨脹性溶解病變,伴隨血性囊腫和多核巨細胞,是動脈瘤樣骨性囊腫的典型表現。
選項拆解
腫瘤病理學25 / 25
【111-2 醫學(二) 第100題】眼睛的惡性黑色素瘤(Malignant melanoma)發生於下列何處時,通常會有較慢的發展進程(indolent course)?
詳解
破題關鍵
眼睛惡性黑色素瘤的預後與其發生位置密切相關,虹膜黑色素瘤因其位置和生物學特性,通常發展最慢。
選項拆解
-A:正確。虹膜惡性黑色素瘤通常具有較慢的發展進程 (indolent course) 和較好的預後。
-B:視網膜不含黑色素細胞,不是原發性黑色素瘤的常見發生部位。