【111-1 醫學(二) 第77題】胃食道逆流患者,於食道末端做切片檢查,發現良性柱狀上皮細胞,最可能為何種變化?
詳解
破題關鍵
胃食道逆流導致食道下端鱗狀上皮被柱狀上皮取代,這是典型的化生。
選項拆解
登入查看完整詳解與互動作答
共 25 題(登入後可互動作答與查看詳解)
【111-1 醫學(二) 第77題】胃食道逆流患者,於食道末端做切片檢查,發現良性柱狀上皮細胞,最可能為何種變化?
詳解
破題關鍵
胃食道逆流導致食道下端鱗狀上皮被柱狀上皮取代,這是典型的化生。
選項拆解
登入查看完整詳解與互動作答
【111-1 醫學(二) 第91題】下列何者為引起急性呼吸窘迫症候群(ARDS)最常見的原因?
詳解
破題關鍵
ARDS最常見的原因就是肺部直接受傷,其中肺炎又是最常導致這種傷害的兇手。
選項拆解
登入查看完整詳解與互動作答
【111-1 醫學(二) 第84題】最常見的全身性血栓栓塞(systemic thromboembolism)栓子來源為:
詳解
破題關鍵
全身性血栓栓塞的栓子,通常來自心臟的左側或大動脈,因為這些部位的血栓可以直接進入體循環。
選項拆解
登入查看完整詳解與互動作答
【111-1 醫學(二) 第86題】48歲男性因進展性心臟衰竭接受換心手術,切除下來的心臟呈擴大狀且重達600公克,病理檢查發現心臟四個腔室都擴大,但兩側心室並無特別肥厚,冠狀動脈亦無狹窄。下列病理組織變化中,何者最不常見於此類心臟中?
詳解
破題關鍵
心臟四個腔室都擴大,但心室壁沒有明顯肥厚,冠狀動脈也正常,這指向擴張性心肌病變,要找出不屬於這種病變的特徵。
選項拆解
登入查看完整詳解與互動作答
【111-1 醫學(二) 第88題】有關缺鐵性貧血(iron deficiency anemia)的敘述,下列何者正確?
詳解
破題關鍵
缺鐵性貧血是最常見的貧血類型,其紅血球型態有典型特徵。
選項拆解
登入查看完整詳解與互動作答
【111-1 醫學(二) 第89題】下列何者為雙側胸膜積水(hydrothorax)最常見的原因?
詳解
破題關鍵
雙側胸膜積水通常提示全身性疾病,而非單側胸腔問題。
選項拆解
登入查看完整詳解與互動作答
【111-1 醫學(二) 第76題】產生interleukin-17的T淋巴球缺乏,此狀況與下列何種病灶最有關?
詳解
破題關鍵
白細胞介素-17 (IL-17) 是吸引嗜中性白血球 (neutrophils) 的關鍵細胞因子。缺乏IL-17會導致嗜中性白血球無法有效聚集,形成「冷」膿瘍。
選項拆解
登入查看完整詳解與互動作答
【111-1 醫學(二) 第82題】關於鼻腦白黴菌病(rhinocerebral mucormycosis)的敘述,下列何者正確?
詳解
破題關鍵
白黴菌病是一種侵襲性強的黴菌感染,主要發生在免疫力極度低下的病人身上。
選項拆解
登入查看完整詳解與互動作答
【111-1 醫學(二) 第85題】10歲男童,三週前發生咽炎,實驗室檢查發現anti-streptolysin O的效價升高,臨床表現為發燒、心臟炎、關節痛及四肢有皮下結節;在此病患的心臟病灶中的那一種細胞對此病的診斷最具特異性?
詳解
破題關鍵
題目描述的是風濕熱的典型症狀,要找出風濕熱心臟病變的特徵性細胞。
選項拆解
登入查看完整詳解與互動作答
【111-1 醫學(二) 第95題】以下何者補體系統成分在緻密物沉積病(dense deposit disease)病人的血清中最有可能是維持在正常值?
詳解
破題關鍵
緻密物沉積病主要影響補體替代途徑,因此替代途徑的成分會被大量消耗,而傳統途徑的成分則可能維持正常。
選項拆解
登入查看完整詳解與互動作答
【111-1 醫學(二) 第96題】典型溶血性尿毒症(typical hemolytic-uremic syndrome)最常見之致病菌為:
詳解
破題關鍵
典型溶血性尿毒症最常見的原因是產志賀毒素的大腸桿菌感染。
選項拆解
登入查看完整詳解與互動作答
【111-1 醫學(二) 第92題】何種胃部疾病和幽門桿菌(H. pylori)最無直接關係?
詳解
破題關鍵
幽門桿菌主要影響胃竇和胃體,導致慢性發炎和相關疾病,但胃底腺息肉通常與它無關。
選項拆解
登入查看完整詳解與互動作答
【111-1 醫學(二) 第93題】關於炎症性腸病(inflammatory bowel disease)之敘述,何者錯誤?
詳解
破題關鍵
跳躍式病灶是克隆氏症的特徵,潰瘍性結腸炎的病灶是連續性的。
選項拆解
登入查看完整詳解與互動作答
【111-1 醫學(二) 第94題】酗酒的40歲男性,酒後因上腹痛且反射到後背來急診,病人血清消化酶(amylase)及脂肪酶(lipase)升高, 且有低血鈣情形,則病人最有可能出現下列何種病理變化?
詳解
破題關鍵
酗酒、上腹痛反射背部、消化酶升高和低血鈣,這些都是急性胰臟炎的典型表現,嚴重時會導致胰臟壞死出血。
選項拆解
登入查看完整詳解與互動作答
【111-1 醫學(二) 第80題】下述疾病何者少見於腦外傷引起的後遺症?
詳解
破題關鍵
腦外傷的後遺症主要與腦組織損傷、出血、水腫、疤痕形成有關,而脫髓鞘疾病通常是自身免疫或遺傳性疾病。
選項拆解
登入查看完整詳解與互動作答
【111-1 醫學(二) 第78題】下列何種染色體/基因異常變化,常見於大部分的Ewing sarcoma family tumors(ESFT),並可據此作為分子診斷ESFT?
詳解
破題關鍵
Ewing肉瘤家族腫瘤 (ESFT) 的分子診斷標誌是特定的染色體易位。
選項拆解
登入查看完整詳解與互動作答
【111-1 醫學(二) 第79題】7歲小男孩平時健康,最近因不小心跌倒,右腿呈現瘀傷疼痛。X光檢查發現右側遠端股骨(distal femur)有一約0.3公分、偏離中軸且呈多葉狀(eccentric and lobulated)、放射線通透(radiolucency)之疑似腫瘤病灶。根據上述,該病人最可能罹患的疾病是:
詳解
破題關鍵
兒童、遠端股骨、偏離中軸、多葉狀、放射線通透的良性病灶,高度提示纖維性皮質缺損。
選項拆解
登入查看完整詳解與互動作答
【111-1 醫學(二) 第81題】一般而言,下列那些腫瘤與DNA病毒有關,且被認為在愛滋病(acquired immune deficiency syndrome)患者比在正常人容易得到?①腦部原發性B細胞淋巴癌 ②子宮頸鱗狀上皮細胞癌 ③卡波西氏肉瘤(Kaposi sarcoma)
詳解
破題關鍵
愛滋病患者因為免疫力低下,特別容易被某些病毒感染,這些病毒又會增加特定癌症的風險。
選項拆解
登入查看完整詳解與互動作答
【111-1 醫學(二) 第83題】遺傳性的視網膜母細胞瘤(familial retinoblastoma)之病患,最常繼發下列那一種惡性腫瘤?
詳解
破題關鍵
遺傳性視網膜母細胞瘤的病人,因為基因缺陷是全身性的,所以除了眼睛,身體其他部位也容易長出第二種癌症。
選項拆解
登入查看完整詳解與互動作答
【111-1 醫學(二) 第87題】有關濾泡性淋巴瘤(follicular lymphoma)的敘述,下列何者正確?
詳解
破題關鍵
濾泡性淋巴瘤是B細胞淋巴瘤,其特徵性基因轉位是解題關鍵。
選項拆解
登入查看完整詳解與互動作答
【111-1 醫學(二) 第90題】下列有關小細胞肺癌(small cell carcinoma)的敘述何者錯誤?
詳解
破題關鍵
小細胞肺癌與抽菸的關係非常密切,這是其最顯著的特徵之一。
選項拆解
登入查看完整詳解與互動作答
【111-1 醫學(二) 第97題】副甲狀腺瘤(parathyroid adenoma)與副甲狀腺癌(parathyroid carcinoma)通常並不好區別,目前認為診斷副甲狀腺癌最可靠的條件是:
詳解
破題關鍵
副甲狀腺腫瘤的良惡性鑑別很困難,只有看到腫瘤轉移到其他部位,才能確診為惡性。
選項拆解
登入查看完整詳解與互動作答
【111-1 醫學(二) 第98題】有關乳房疾病,下列何者正確?
詳解
破題關鍵
非典型增生是乳癌的癌前病變,會顯著增加罹癌風險。
選項拆解
登入查看完整詳解與互動作答
【111-1 醫學(二) 第99題】下列有關子宮頸癌(cervical carcinoma)的敘述,何者較不正確?
詳解
破題關鍵
腺鱗癌和神經內分泌癌通常比鱗狀上皮癌更具侵襲性,發展速度也更快。
選項拆解
登入查看完整詳解與互動作答

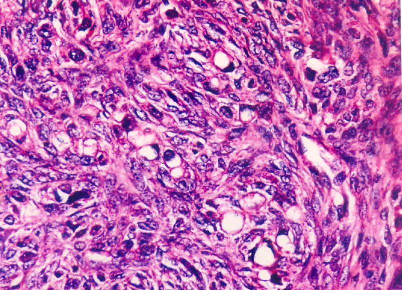
詳解
破題關鍵
這題的解題核心在於辨識圖片中典型的「戒指細胞」(signet ring cell),結合臨床上雙側卵巢實質性腫瘤的表現,直接指向轉移性腫瘤,尤其是克魯肯氏瘤。
選項拆解
登入查看完整詳解與互動作答