一般病理機轉1 / 25
【107-2 醫學(二) 第76題】為了瞭解不同物質是否有助於上皮細胞的生長而進行一項實驗。在含有上皮細胞的細胞培養中,加入表皮細胞生長因子(epidermal growth factor)時,它會與細胞表面的受器(receptor)結合,導致RAS蛋白活化, 造成轉錄因子(transcription factor)活化。上述實驗對上皮細胞的作用,主要是經由下列何種細胞內的途徑進行?
詳解
破題關鍵
表皮生長因子(EGF)活化細胞生長,主要是透過RAS蛋白啟動的經典路徑。
選項拆解
-A:Cyclic AMP:主要與G蛋白偶聯受器(G protein-coupled receptor, GPCR)的訊號傳導有關,不是EGF受器活化的主要途徑。
一般病理機轉2 / 25
【107-2 醫學(二) 第81題】60歲男性,因為車禍造成脾臟破裂失血,臨床表現皮膚乾燥、無尿、血壓下降,經手術、輸血及體液補充後,症狀改善,在病程中所導致的器官變化,下列何者最易發生?
詳解
破題關鍵
嚴重失血導致休克,腎臟是最容易受到缺血性損傷的器官之一。
選項拆解
-A:肝臟廣泛性壞死:肝臟雖然也會受缺血影響,但通常比腎臟對缺血的耐受性更高,廣泛性壞死在休克中不如急性腎小管壞死常見。
呼吸系統病理3 / 25
【107-2 醫學(二) 第85題】下列有關矽肺症(silicosis)的敘述,何者錯誤?
詳解
破題關鍵
矽肺症雖然常見,但並非所有塵肺症中盛行率最高的,且其與結核病的關聯性極高。
選項拆解
呼吸系統病理4 / 25
【107-2 醫學(二) 第86題】肺小細胞癌之特徵,與下列那一項最無關?
詳解
破題關鍵
小細胞肺癌惡性度高,常伴隨副腫瘤症候群和早期轉移,但不會造成蜂巢肺。
選項拆解
-A:正確。小細胞肺癌細胞常有神經內分泌分化,可能分泌 ACTH,導致庫欣氏症候群。
呼吸系統病理5 / 25
【107-2 醫學(二) 第99題】誤食農藥,造成呼吸困難,肺部彈性降低(low compliance),X光顯示瀰漫性肺陰影。其診斷最有可能是:
詳解
破題關鍵
「誤食農藥、呼吸困難、肺部彈性降低、瀰漫性肺陰影」這些線索指向急性肺損傷,最符合成人呼吸窘迫症候群 (ARDS) 的診斷。
選項拆解
-A:正確。誤食農藥是一種化學性肺損傷,可能導致急性肺泡損傷,進而發展為成人呼吸窘迫症候群 (ARDS),其臨床表現完全符合題目描述。
呼吸系統病理6 / 25
【107-2 醫學(二) 第100題】承上題,上述病症最有可能的組織變化為:
詳解
破題關鍵
成人呼吸窘迫症候群 (ARDS) 的病理基礎就是瀰漫性肺泡傷害 (diffuse alveolar damage, DAD)。
選項拆解
心血管與血液病理7 / 25
【107-2 醫學(二) 第82題】42歲女性突發呼吸困難、嘔吐、胸骨後疼痛並且延伸到上顎部。病人最後陷入意識不清及暈厥。影像學檢查發現升主動脈(ascending aorta)中度擴張,內膜出現裂口(tear)。身體檢查顯示此病人身長高於同年齡者,上肢水平長度亦大於身高。下列何者最能代表其主動脈病變?
詳解
破題關鍵
高瘦體型、肢體過長加上主動脈病變,是馬凡氏症候群(Marfan syndrome)的典型表現。
選項拆解
-A:正確。病人的馬凡氏症候群特徵(高瘦、肢體長)加上主動脈剝離的臨床表現,最符合囊狀中膜變性導致的主動脈剝離。囊狀中膜變性是馬凡氏症候群患者主動脈病變的病理基礎。
心血管與血液病理8 / 25
【107-2 醫學(二) 第83題】下列何種血液性疾病主要的特徵是骨髓造血功能旺盛,造成骨髓明顯擴張?
詳解
破題關鍵
骨髓造血功能旺盛並導致骨髓擴張,通常是為了代償長期嚴重的無效造血或溶血。
選項拆解
-A:正確。地中海貧血,尤其是重型,會導致紅血球生成無效和慢性溶血,骨髓為了代償貧血會極度增生,造成骨髓腔明顯擴張。
心血管與血液病理9 / 25
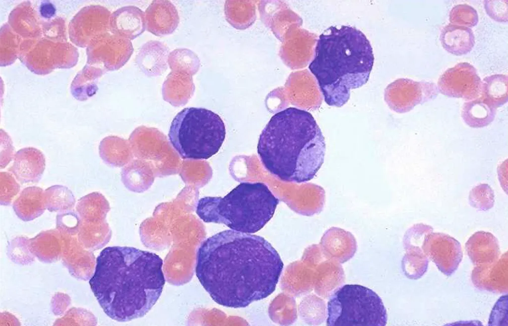
【107-2 醫學(二) 第84題】30歲男性病人因一個月以來咳嗽逐漸加劇而求診。病人腋窩有數個小淋巴結節,脾尖可以摸到。血色素10.2 g/dl稍低,白血球甚高,血小板下降。血液抹片如附圖。最可能的診斷為:

詳解
破題關鍵
這題的解題核心在於辨識血液抹片中異常細胞的特徵,尤其是細胞質內特有的「Auer rods」,這是急性骨髓性白血病(AML)的診斷性標誌。
選項拆解
心血管與血液病理10 / 25
【107-2 醫學(二) 第94題】31歲女性,在懷孕第35週時出現高血壓,水腫,蛋白尿,和肝功能異常。下列有關此病的敘述何者錯誤?
詳解
破題關鍵
子癇前症好發於初產婦或首次懷孕的婦女,而非多次懷孕。
選項拆解
-A:錯在「此病較易發生在多次懷孕的婦女」。子癇前症 (preeclampsia) 更常發生在初產婦 (第一次懷孕的婦女) 或首次與新伴侶懷孕的婦女,而不是多次懷孕的婦女。
感染與免疫病理11 / 25
【107-2 醫學(二) 第77題】8歲男孩出現發燒、喉嚨痛症狀,身體檢查發現兩側頸部淋巴腺腫大,咽喉與扁桃腺發炎。常規血液檢查發現白血球數上升,其中70%為淋巴細胞,淋巴細胞之中30%為非典型淋巴細胞。血中IgM嗜異性抗體(IgM heterophil antibody)與抗Epstein -Barr病毒IgM抗體呈陽性反應。此非典型淋巴細胞最可能是下列何種細胞?
詳解
破題關鍵
傳染性單核球增多症(Infectious mononucleosis)的非典型淋巴細胞,是身體對病毒感染的免疫反應。
選項拆解
-A:CD4陽性的T淋巴細胞:這些是輔助型T細胞,主要協調免疫反應,但不是傳染性單核球增多症中大量增生的非典型淋巴細胞。
感染與免疫病理12 / 25
【107-2 醫學(二) 第78題】下列那一項不是腮腺炎(mumps)的合併症?
詳解
破題關鍵
腮腺炎的併發症主要影響腺體和中樞神經系統,但不是罕見的免疫缺陷相關腦病。
選項拆解
-A:睪丸炎(orchitis):這是腮腺炎在青春期後男性中常見的併發症,可能導致不孕。
-B:胰臟炎(pancreatitis):腮腺炎病毒也可能感染胰臟,引起胰臟炎。
感染與免疫病理13 / 25
【107-2 醫學(二) 第79題】下列有關痲瘋的敘述,何者錯誤?
詳解
破題關鍵
痲瘋病的不同類型,主要取決於宿主細胞性免疫反應的強弱。
選項拆解
-A:正確。在癩瘤型痲瘋中,由於細胞性免疫反應缺陷,細菌無法被有效清除,因此病變組織中可以發現大量的痲瘋桿菌。
泌尿生殖與內分泌病理14 / 25
【107-2 醫學(二) 第90題】下列何種腎絲球疾病的顯微變化,經銀染色可見腎絲球微血管壁呈現雙層(double contour)或車軌(tramtrack)的形式?
詳解
破題關鍵
腎絲球微血管壁呈現雙層或車軌狀是膜增殖性腎絲球腎炎的經典特徵。
選項拆解
-A:微小變化腎病 (minimal change disease) 在光學顯微鏡下腎絲球結構幾乎正常,不會出現雙層或車軌狀。
泌尿生殖與內分泌病理15 / 25
【107-2 醫學(二) 第91題】45歲女性,有間歇性恥骨上方疼痛、頻尿、血尿及排尿疼痛。病理顯微變化可見膀胱黏膜有慢性潰瘍,膀胱壁有慢性發炎細胞浸潤及纖維化。下列何者為最可能的診斷?
詳解
破題關鍵
間歇性恥骨上方疼痛、頻尿、血尿、排尿疼痛,加上膀胱黏膜慢性潰瘍和纖維化,指向間質性膀胱炎。
選項拆解
-A:息肉狀膀胱炎 (polypoid cystitis) 的特徵是膀胱黏膜形成息肉樣增生,通常與慢性刺激有關,不完全符合描述的慢性潰瘍和纖維化。
泌尿生殖與內分泌病理16 / 25
【107-2 醫學(二) 第95題】30歲女性,最近幾天發覺右側乳頭有血樣分泌物而就醫。身體檢查發現乳頭並無凹陷,乳房皮膚亦無異常, 觸診時並未發現有腫塊存在,腋下淋巴結無腫大現象。她月經週期正常且以口服避孕藥避孕。她的乳房切片檢查最可能出現何種形態變化?
詳解
破題關鍵
乳頭血樣分泌物,無腫塊,最常見的良性原因是乳突瘤。
選項拆解
-A:正確。單側、單孔的血樣乳頭分泌物,且無可觸及腫塊,最常見的良性原因就是乳管內乳突瘤 (intraductal papilloma)。乳突瘤的特徵就是乳管內形成乳突狀構造,容易出血。
消化與肝膽病理17 / 25
【107-2 醫學(二) 第87題】有關波雷特氏食道(Barrett esophagus)的敘述,下列何者錯誤?
詳解
破題關鍵
巴瑞特氏食道是食道黏膜從鱗狀上皮變成「腸型」柱狀上皮,不是胃的壁細胞和主細胞。
選項拆解
-A:正確。巴瑞特氏食道是長期胃食道逆流 (reflux esophagitis) 導致的併發症,因為食道黏膜長期暴露於胃酸和膽汁。
消化與肝膽病理18 / 25
【107-2 醫學(二) 第88題】有關肝臟疾病,下列敘述何者錯誤?
詳解
破題關鍵
結節性再生性增生沒有明顯纖維化,有星狀纖維化的是肝硬化。
選項拆解
-A:正確。黃麴毒素,特別是黃麴毒素 B1,是已知的肝細胞癌 (HCC) 危險因子,尤其在 B 型肝炎病毒感染者中,會顯著增加罹癌風險。
消化與肝膽病理19 / 25
【107-2 醫學(二) 第89題】在生產過程中,從母親傳給嬰兒的肝炎病毒,下列何者最常見?
詳解
破題關鍵
B型肝炎病毒最常透過母嬰垂直傳播。
選項拆解
-A:A型肝炎病毒 (HAV) 主要經由糞口途徑傳播,與母嬰垂直傳播無關。
-B:正確。B型肝炎病毒 (HBV) 是最常見的母嬰垂直傳播肝炎病毒,尤其是在生產過程中,嬰兒接觸到母親的血液和體液而感染。
神經系統病理20 / 25
【107-2 醫學(二) 第96題】8歲女童,有一小腦囊性腫瘤(cystic tumor),腫瘤細胞為(gliofibrillary acidic protein, GFAP)陽性之毛狀星狀膠原細胞,細胞排列呈兩相型(biphasic pattern),下列敘述何者正確?
詳解
破題關鍵
題目描述的「8歲女童、小腦囊性腫瘤、GFAP陽性毛狀星狀膠原細胞、兩相型排列」是毛狀星狀細胞瘤 (Pilocytic astrocytoma) 的典型特徵。
選項拆解
-A:錯在「腫瘤生長迅速」。毛狀星狀細胞瘤通常是低惡性度 (WHO grade I) 的腫瘤,生長緩慢,預後良好。
神經系統病理21 / 25
【107-2 醫學(二) 第97題】下列有關腦部小窩性梗塞(lacunar infarcts)的敘述,何者錯誤?
詳解
破題關鍵
小窩性梗塞 (lacunar infarcts) 的主要成因是小血管疾病,特別是高血壓引起的小動脈硬化。
選項拆解
-A:正確。高血壓是小窩性梗塞最主要的危險因子。
-B:正確。基底核是小窩性梗塞最常發生的部位之一。
神經系統病理22 / 25
【107-2 醫學(二) 第98題】一名不足1000公克的早產兒以高濃度氧氣治療,常見的後遺症之一是:
詳解
破題關鍵
早產兒使用高濃度氧氣治療,最常見的眼部後遺症是視網膜血管發育異常。
選項拆解
-A:錯在「原發性青光眼(primary glaucoma)」。原發性青光眼與高濃度氧氣治療無直接關聯,通常與眼壓升高、視神經損傷有關。
腫瘤病理學23 / 25
【107-2 醫學(二) 第80題】有關癌細胞常見之基本生理特性,下列敘述何者錯誤?
詳解
破題關鍵
癌細胞的特徵是它們能「自主」生長,不需要依賴外界的生長因子。
選項拆解
-A:正確。癌細胞的一個主要特徵是能夠產生自己的生長訊號,或使生長訊號通路持續活化,從而擺脫對外部生長因子的依賴。
腫瘤病理學24 / 25
【107-2 醫學(二) 第92題】有關睪丸的精細胞瘤(seminoma)之敘述,下列何者錯誤?
詳解
破題關鍵
精細胞瘤主要發生在年輕男性,不是嬰兒。
選項拆解
-A:正確。精細胞瘤 (seminoma) 是一種生殖細胞瘤,類似的腫瘤在卵巢稱為無性細胞瘤 (dysgerminoma),在中樞神經系統稱為生殖細胞瘤 (germinoma),它們在組織學和生物學行為上有很多相似之處。
腫瘤病理學25 / 25
【107-2 醫學(二) 第93題】有關子宮內膜癌的敘述,下列何者錯誤?
詳解
破題關鍵
漿液性癌是第二型子宮內膜癌,與動情素無關,惡性度高。
選項拆解
-A:正確。第一型子宮內膜癌 (endometrioid adenocarcinoma) 與長期動情素 (estrogen) 刺激有關,例如肥胖、多囊性卵巢症候群等。