一般病理機轉1 / 25
【113-2 醫學(二) 第76題】跌倒2週後,瘀青處做切片檢查,發現黃棕色之色素,最可能為:
詳解
破題關鍵
瘀青在兩週後呈現的黃棕色,是血液分解後的鐵質沉積。
選項拆解
-A:脂褐素(lipofuscin)錯在它是「磨損色素」,主要累積在老化細胞中,與急性出血後的色素沉積無關。
-B:膽紅素(bilirubin)錯在它會造成黃色,但通常在瘀青的早期至中期出現,兩週後更常見的是血鐵素。
一般病理機轉2 / 25
【113-2 醫學(二) 第77題】某病人有腎臟病變,組織表現為壞死現象,細胞質內胞器消失,細胞核溶解,但組織外形完整,且與周圍正常組織分界清楚,此為何類壞死?
詳解
破題關鍵
組織外形完整但細胞內部結構消失,是缺血性壞死最常見的表現。
選項拆解
-A:液化性壞死(liquefactive necrosis)錯在它會導致組織被酶消化成液體狀,組織外形不完整,常見於腦部缺血或細菌感染。
一般病理機轉3 / 25
【113-2 醫學(二) 第78題】下列遺傳疾病,何者較適合利用重覆引子聚合酶連鎖反應法(repeat-primer polymerase chain reaction)進行篩檢再配合南方轉漬分析(Southern blot),則可以得到較確定的診斷?
詳解
破題關鍵
題目描述的兩種檢測方法,特別適合用來偵測基因中的「重複序列擴增」。
選項拆解
-A:透納氏症候群(Turner syndrome)錯在它是一種染色體數目異常(X單體),主要透過核型分析(karyotyping)診斷,而非重複序列擴增。
一般病理機轉4 / 25
【113-2 醫學(二) 第80題】下列何者與鎘(cadmium)中毒之相關性較低?
詳解
破題關鍵
鎘中毒主要影響腎臟、骨骼和肺部,與生殖細胞腫瘤無直接關聯。
選項拆解
-A:肺癌(lung cancer)錯在鎘是已知的致癌物,長期吸入鎘粉塵會增加肺癌風險。
-B:骨質疏鬆(osteoporosis)錯在鎘會干擾鈣質和維生素D的代謝,導致骨骼礦物質流失,引起骨質疏鬆。
一般病理機轉5 / 25
【113-2 醫學(二) 第98題】下列那一種分子是由造骨母細胞(osteoblasts)或骨間質細胞(stromal cells)所製造分泌,並用來結合 RANK ligand(RANKL),進而阻礙RANKL與蝕骨細胞(osteoclast precursors)上的RANK作用 ?
詳解
破題關鍵
造骨母細胞分泌的OPG就像一個「誘餌」,會搶走RANKL,讓蝕骨細胞無法活化。
選項拆解
-A:Wnt:Wnt信號通路在骨形成中扮演重要角色,主要促進造骨細胞的分化和增殖,但不是直接結合RANKL。
呼吸系統病理6 / 25
【113-2 醫學(二) 第88題】造成病毒性肺炎的病原,下列何者最不常見?
詳解
破題關鍵
輪狀病毒主要攻擊腸胃道,不是呼吸道。
選項拆解
-A:錯在「最不常見」。輪狀病毒主要引起腸胃炎,不是引起病毒性肺炎的常見病原。
-B:正確。副流感病毒是引起兒童上呼吸道感染和肺炎的常見病原。
-C:正確。流感病毒是引起季節性流感和肺炎的常見病原。
呼吸系統病理7 / 25
【113-2 醫學(二) 第89題】有關慢性支氣管炎的特徵,下列何者最不適當?
詳解
破題關鍵
慢性支氣管炎是中性球發炎,不是嗜酸性球。
選項拆解
-A:正確。黏液分泌過多是慢性支氣管炎的典型特徵,導致慢性咳嗽和痰液。
-B:錯在「嗜酸性白血球增加」。嗜酸性白血球增加是氣喘的特徵,慢性支氣管炎的炎症反應主要涉及中性球。
心血管與血液病理8 / 25
【113-2 醫學(二) 第83題】下列血管炎何者於顯微鏡下最少出現肉芽腫性發炎(granulomatous inflammation)?
詳解
破題關鍵
肉芽腫性發炎是某些血管炎的特徵,但並非所有血管炎都有。
選項拆解
-A:Churg-Strauss syndrome錯在它是一種嗜酸性肉芽腫性多血管炎,其病理特徵之一就是嗜酸性粒細胞浸潤和肉芽腫形成。
心血管與血液病理9 / 25
【113-2 醫學(二) 第84題】馬凡氏症候群(Marfan syndrome)的病人在心臟瓣膜上最常出現的病理變化為何?
詳解
破題關鍵
馬凡氏症候群是結締組織疾病,會導致瓣膜組織結構異常。
選項拆解
-A:主動脈瓣連合處融合(commissural fusion of aortic valve)錯在這是風濕性心臟病(rheumatic heart disease)的典型表現,與馬凡氏症候群無關。
心血管與血液病理10 / 25
【113-2 醫學(二) 第85題】下列何者最可能引起次發性骨髓化生不良症候群(secondary myelodysplastic syndrome)?
詳解
破題關鍵
次發性骨髓化生不良症候群通常是因骨髓受到外部毒性物質損傷引起。
選項拆解
-A:長期缺乏鈣質錯在鈣質缺乏主要影響骨骼健康,如骨質疏鬆,與骨髓造血功能異常引起的MDS無直接關聯。
心血管與血液病理11 / 25
【113-2 醫學(二) 第86題】有關脾梗塞(splenic infarct)的敘述,下列何者正確?
詳解
破題關鍵
脾臟的血液供應特性與梗塞的常見原因。
選項拆解
-A:錯在「豐富的側枝循環」。脾臟的血液供應屬於終端動脈,側枝循環不豐富,因此容易發生梗塞。
-B:錯在「不是造成脾梗塞的好發因子」。脾腫大會增加脾臟的代謝需求,並可能壓迫血管,因此是脾梗塞的好發因子。
心血管與血液病理12 / 25
【113-2 醫學(二) 第87題】下列何者為影響肺栓塞(pulmonary embolism)嚴重度最重要的因素?
詳解
破題關鍵
肺栓塞的嚴重程度,主要看它堵塞了多少肺動脈。
選項拆解
-A:錯在「造成栓塞的原因」。栓塞原因(如深部靜脈栓塞)雖然重要,但直接影響嚴重度的是栓子阻塞的程度。
-B:錯在「栓子的成分」。栓子的成分(如血栓、脂肪、空氣)會影響其形成機制,但對急性嚴重度的影響不如大小直接。
感染與免疫病理13 / 25
【113-2 醫學(二) 第79題】下列有關結核菌素試驗(tuberculin test)原理之敘述,何者正確?
詳解
破題關鍵
結核菌素試驗是典型的第四型遲發性過敏反應,由T細胞主導。
選項拆解
泌尿生殖與內分泌病理14 / 25
【113-2 醫學(二) 第93題】毒物引起之急性腎小管壞死其壞死部位最不可能發生在:
詳解
破題關鍵
腎小管壞死最常發生在代謝活躍、負責重吸收的部位。
選項拆解
-A:錯在「近曲小管」。近曲小管代謝活躍,是毒物引起急性腎小管壞死最常受損的部位之一。
-B:錯在「亨耳氏環上升支」。亨耳氏環上升支代謝活躍,也是毒物引起急性腎小管壞死常受損的部位。
泌尿生殖與內分泌病理15 / 25
【113-2 醫學(二) 第94題】最常造成次發性副甲狀腺功能亢進症(Secondary hyperparathyroidism)的原因是: MEN1 mutation
詳解
破題關鍵
腎衰竭會導致鈣磷失衡,刺激副甲狀腺過度工作。
選項拆解
-A:錯在「MEN1 mutation」。MEN1 mutation是導致原發性副甲狀腺功能亢進症的原因之一,屬於遺傳性疾病。
泌尿生殖與內分泌病理16 / 25
【113-2 醫學(二) 第95題】最常造成腦下垂體機能亢進的原因是:
詳解
破題關鍵
腦下垂體功能亢進,九成以上都是腺瘤搞的鬼。
選項拆解
-A:正確。腦下垂體前葉腺瘤是導致腦下垂體機能亢進最常見的原因,例如泌乳素瘤、生長激素瘤等。
-B:錯在「前葉增生」。腦下垂體前葉增生雖然可能導致機能亢進,但其發生率遠低於腺瘤。
消化與肝膽病理17 / 25
【113-2 醫學(二) 第90題】下列疾病與檢驗配對之敘述,何者最不適當?
詳解
破題關鍵
原發性硬化性膽管炎 (PSC) 相關的是 pANCA,不是 cANCA。
選項拆解
-A:正確。Primary biliary cirrhosis (PBC) 病人高比例(>90%)有anti-mitochondrial抗體,這是診斷PBC的重要指標。
消化與肝膽病理18 / 25
【113-2 醫學(二) 第91題】關於膽囊膽固醇結石(cholesterol stone)產生機制,下列敘述何者錯誤?
詳解
破題關鍵
膽固醇結石是膽固醇太多,不是鈣太多。
選項拆解
-A:錯在「膽汁中鈣離子過飽和」。鈣離子過飽和主要與色素結石的形成有關,膽固醇結石的關鍵是膽固醇過飽和。
-B:正確。膽囊運動不足會導致膽汁滯留和濃縮,促進膽固醇沉澱,是膽固醇結石形成的重要因素。
神經系統病理19 / 25
【113-2 醫學(二) 第99題】下列有關軸突性周邊神經病變(peripheral axonal neuropathy)之敘述,何者錯誤?
詳解
破題關鍵
Wallerian degeneration發生在神經損傷處的「遠端」,是遠離細胞體的方向。
選項拆解
-A:正確。當髓鞘破壞解離時,會形成橢圓形的髓鞘碎片,稱為myelin ovoids,這些碎片隨後會被巨噬細胞清除。
神經系統病理20 / 25
【113-2 醫學(二) 第100題】因腦壓太高造成的herniation,導致的Duret hemorrhage,發生於何處?
詳解
破題關鍵
Duret hemorrhage是腦壓過高導致腦幹被擠壓、拉扯所造成的出血。
選項拆解
-A:大腦灰質:Duret hemorrhage主要發生在腦幹,而非大腦灰質。
-B:大腦白質:Duret hemorrhage主要發生在腦幹,而非大腦白質。
腫瘤病理學21 / 25
【113-2 醫學(二) 第81題】下列何者是用來判定為惡性腫瘤可靠性最高的指標?
詳解
破題關鍵
腫瘤是否能擴散到遠處,是判斷惡性與否最確鑿的證據。
選項拆解
-A:細胞的分化差或未分化錯在雖然惡性腫瘤常分化不良,但有些惡性腫瘤仍可保持良好分化,且分化程度不能完全排除良性腫瘤。
腫瘤病理學22 / 25
【113-2 醫學(二) 第82題】下列抑癌蛋白何者最不具有直接調控細胞週期的功能?
詳解
破題關鍵
直接調控細胞週期的蛋白通常是細胞週期檢查點的關鍵分子。
選項拆解
-A:RB錯在視網膜母細胞瘤蛋白(RB)是G1/S期檢查點的關鍵調控者,它透過結合轉錄因子E2F來抑制細胞週期從G1期進入S期。
腫瘤病理學23 / 25
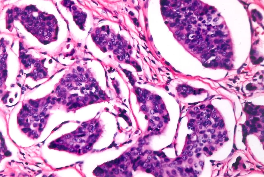
【113-2 醫學(二) 第92題】30歲男性因健康檢查時發現迴腸末端有一個1公分的黏膜下腫瘤因而接受手術。病理醫師檢查該腫瘤的切面是黃色的,在顯微鏡下觀察如附圖,細胞含chromogranin及synaptophysin。下列何者為最可能的診斷?

詳解
破題關鍵
這題的解題核心在於病理報告中的免疫組織化學染色結果,也就是細胞含有chromogranin及synaptophysin,這兩者是診斷神經內分泌腫瘤的關鍵標記。圖片中細胞排列成巢狀或小樑狀,細胞核均勻且有「鹽和胡椒」狀的染色質,也支持這個診斷。
選項拆解
腫瘤病理學24 / 25
【113-2 醫學(二) 第96題】測量血清中前列腺特定抗原(prostatic-specific antigen, PSA)的濃度已經被廣泛用來協助診斷或處理前列腺癌(prostate cancer),下列有關前列腺特定抗原或其改良型測量方法的敘述,何者最不適當?
詳解
破題關鍵
前列腺癌會讓更多PSA被結合,導致游離型PSA的比例下降。
選項拆解
-A:正確。PSA是由前列腺的腺體上皮細胞所生成,因此是前列腺特有的標記。
腫瘤病理學25 / 25
【113-2 醫學(二) 第97題】20歲女生最近覺得下腹部腹脹不舒服,超音波檢查發現右側卵巢有一個約7公分大的腫瘤,經手術切取後腫瘤外觀表面平滑,腫瘤切面觀察有固體部分也有壞死及出血區域,同時含有毛髮及像牙齒一樣的物質。切片下出現一些像胚胎時期的神經上皮細胞(neuroepithelium),則下列何者為最有可能之診斷?
詳解
破題關鍵
腫瘤內有毛髮、牙齒等分化組織,且同時出現胚胎時期的未成熟神經上皮細胞,代表是未成熟的畸胎瘤。
選項拆解
-A:錯在「成熟」。雖然有毛髮、牙齒等畸胎瘤的特徵,但切片下出現「胚胎時期的神經上皮細胞」明確指出組織是未成熟的,因此不是成熟畸胎瘤。