一般病理機轉1 / 25
【107-1 醫學(二) 第76題】下列有關色素(pigments)的敘述,何者錯誤?
詳解
破題關鍵
刺青色素的永久性決定了它存在的位置。
選項拆解
-A:錯誤。刺青色素是存在於真皮層 (dermis) 的巨噬細胞中,而不是表皮 (epidermis)。
-B:正確。刺青色素通常是惰性的,不會引起顯著的炎症反應,這也是刺青能永久存在的原因。
一般病理機轉2 / 25
【107-1 醫學(二) 第77題】下列有關組織胺(histamine)在炎症反應的敘述,何者正確?
詳解
破題關鍵
組織胺 (histamine) 是急性炎症反應的早期介質,其釋放機制多樣。
選項拆解
-A:錯誤。組織胺的主要來源是肥大細胞 (mast cells) 和嗜鹼性球 (basophils),而不是白血球 (leukocytes) 及內皮 (endothelium)。
一般病理機轉3 / 25
【107-1 醫學(二) 第78題】細胞傷害中,鈣離子流入細胞內,不會引起那一項變化?
詳解
破題關鍵
細胞內鈣離子過高會活化多種酶,導致細胞損傷。
選項拆解
-A:錯誤。鈣離子流入細胞內會活化磷脂酶 (phospholipases),導致細胞膜磷脂分解,進而損害細胞膜。因此,磷脂酶的活化性會「升高」,而不是「降低」。
一般病理機轉4 / 25
【107-1 醫學(二) 第82題】下列何者與細胞週期G1 phase進到S phase的調控關係(modulation)最少?
詳解
破題關鍵
細胞週期G1到S期的轉換,主要由G1期的cyclin-cdk複合物調控,而cyclin B/cdk 1是負責G2到M期的轉換。
選項拆解
-A:cyclin D/cdk 4 參與G1期到S期的調控,主要負責G1期的早期進程。
呼吸系統病理5 / 25
【107-1 醫學(二) 第86題】下列何者是診斷急性肺傷害引起之急性呼吸窘迫症候群最重要的病理特徵?
呼吸系統病理6 / 25
【107-1 醫學(二) 第87題】下列有關特發性肺纖維化(idiopathic pulmonary fibrosis)的病理變化的敘述,何者錯誤?
詳解
破題關鍵
特發性肺纖維化 (IPF) 的病理模式是「尋常性間質肺炎 (UIP)」,而非「非特異性間質肺炎 (NSIP)」。
選項拆解
-A:錯誤。特發性肺纖維化 (IPF) 的病理模式是尋常性間質肺炎 (UIP),而非非特異性間質肺炎 (NSIP)。NSIP是一種不同的間質性肺炎類型。
心血管與血液病理7 / 25
【107-1 醫學(二) 第83題】有關穩定性(stable)與脆弱性(vulnerable)動脈硬化斑(atherosclerotic plaque)之比較,下列敘述何者錯誤?
詳解
破題關鍵
脆弱性斑塊 (Vulnerable plaque) 才是「大脂質核心、薄纖維帽、多發炎細胞」的組合,容易破裂。
選項拆解
-A:錯誤。穩定性斑塊的脂質核心通常較小。脂質核心較大是脆弱性斑塊的特徵,使其更容易破裂。
心血管與血液病理8 / 25
【107-1 醫學(二) 第84題】下列何種疾病的病人較可能會有巨大的脾腫大達3000公克以上?
詳解
破題關鍵
脾臟巨大腫大 (massive splenomegaly) 通常與骨髓造血功能異常導致的髓外造血 (extramedullary hematopoiesis) 有關。
選項拆解
-A:正確。髓纖維化是引起巨大脾腫大最常見的原因之一,因為脾臟會進行髓外造血。
心血管與血液病理9 / 25
【107-1 醫學(二) 第88題】下列有關肺部血流疾病之敘述,何者正確?
詳解
破題關鍵
肺栓塞 (Pulmonary embolism) 的栓子絕大多數是從身體其他部位的靜脈系統脫落的血栓。
選項拆解
感染與免疫病理10 / 25
【107-1 醫學(二) 第80題】恙蟲病(scrub typhus)是由具有傳染性的恙蟎叮咬後造成的疾病,患者在叮咬處會形成特有的洞穿式皮膚潰瘍型焦痂(escar)。此焦痂形成的主要原因為:
詳解
破題關鍵
恙蟲病焦痂的形成是立克次體對血管內皮細胞的特異性攻擊所致。
選項拆解
-A:正確。恙蟲病的病原體東方立克次體具有親血管內皮細胞性,感染後引起血管內皮細胞損傷、血管炎和血栓形成,導致局部組織缺血性壞死,最終形成焦痂。
感染與免疫病理11 / 25
【107-1 醫學(二) 第81題】下列細菌中,何者最常引起燒傷所致的敗血症?
詳解
破題關鍵
燒傷病人免疫力下降,皮膚屏障受損,綠膿桿菌是伺機性感染的頭號殺手。
選項拆解
-A:正確。綠膿桿菌是燒傷病人敗血症最常見的病原菌。
-B:E. coli (大腸桿菌) 雖然也是革蘭氏陰性菌,常見於泌尿道感染或腹腔感染,但在燒傷敗血症中不如綠膿桿菌常見。
感染與免疫病理12 / 25
【107-1 醫學(二) 第92題】40歲男性因肝硬化接受肝臟移植,移植手術過程順利,目前服用抗排斥藥。則肝臟移植急性排斥主要病理變化之描述,下列何者錯誤?
詳解
破題關鍵
急性排斥主要是淋巴球攻擊,不是多形核白血球。
選項拆解
-A:正確。急性排斥最常在術後前兩個月內發生,這是其典型的時間點。
-B:正確。門脈區和中心靜脈區的發炎,以及內皮細胞的腫脹,都是急性排斥的病理特徵。
泌尿生殖與內分泌病理13 / 25
【107-1 醫學(二) 第93題】有關次發性副甲狀腺功能亢進所導致的病理變化,下列何者錯誤?
詳解
破題關鍵
次發性副甲狀腺功能亢進是副甲狀腺細胞為了代償而增生,脂肪細胞不會變多。
選項拆解
-A:正確。次發性副甲狀腺功能亢進時,副甲狀腺會為了代償而增生,主要是分泌PTH的主細胞增生。
-B:正確。長期高PTH會刺激骨骼吸收,導致骨骼病變,其中一種典型的表現就是囊狀纖維性骨炎。
泌尿生殖與內分泌病理14 / 25
【107-1 醫學(二) 第95題】下列何種卵巢癌最常伴隨子宮內膜異位(endometriosis)?
詳解
破題關鍵
亮細胞癌和子宮內膜異位症有很強的關聯性。
選項拆解
-A:漿液性癌 (serous carcinoma) 是最常見的卵巢癌類型,但它與子宮內膜異位症的關聯性不如亮細胞癌和子宮內膜樣癌那麼強。
泌尿生殖與內分泌病理15 / 25
【107-1 醫學(二) 第97題】32歲女性近2個月月經週期紊亂,一個月來潮兩次但經血量卻很少,體重增加3公斤,臉上毛髮增多,超音波下發現兩側卵巢有許多囊狀濾泡。關於此疾病,下列敘述何者錯誤?
詳解
破題關鍵
多囊性卵巢症候群主要是濾泡囊腫和卵巢基質增生,而不是stromal hyperthecosis。
選項拆解
-A:正確。多囊性卵巢症候群在早期文獻中確實被稱為史雷二氏症候群 (Stein-Leventhal syndrome)。
消化與肝膽病理16 / 25
【107-1 醫學(二) 第90題】有關克隆氏病(Crohn disease)的敘述,下列何者錯誤?
詳解
破題關鍵
克隆氏病 (Crohn disease) 的特點是「跳躍性病灶」和「可侵犯消化道任何部位」,但通常會「跳過直腸」。
選項拆解
-A:錯誤。克隆氏病通常會跳過直腸,直腸受累較少見。好發於直腸是潰瘍性結腸炎的特徵。
消化與肝膽病理17 / 25
【107-1 醫學(二) 第91題】一名媽媽發現她10個月大,一向很健康的女嬰腹部腫脹且一整天未解便而就醫。身體檢查發現女嬰腹部有明顯壓痛且腸音幾乎消失。腹部X光檢查發現小腸明顯擴張,但無游離空氣的存在。下列何種情況最可能發生在女嬰身上?
詳解
破題關鍵
嬰兒突然腹痛、腹脹、不解便,加上腸音消失和腸道擴張,要想到腸子自己套進去。
選項拆解
神經系統病理18 / 25
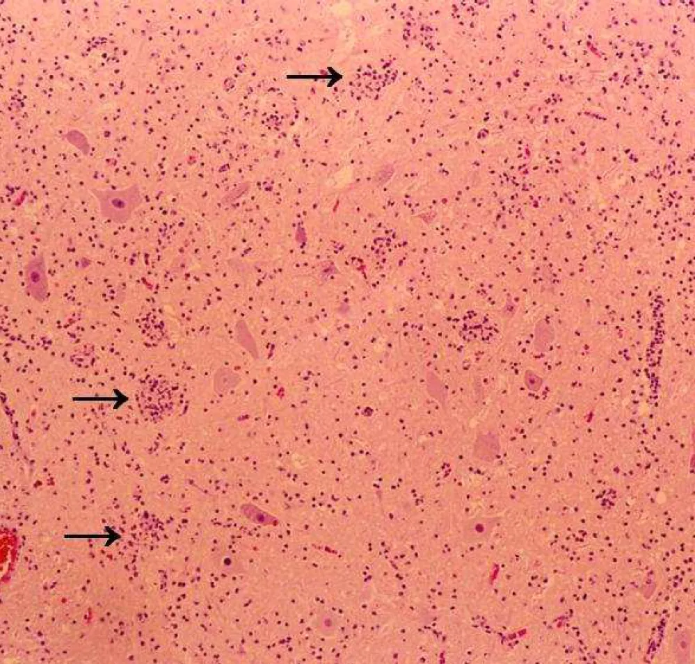
【107-1 醫學(二) 第79題】下列三類病毒,何者可在神經系統造成如圖箭頭所指的病變? ①水痘-帶狀疱疹病毒(Varicella-zoster virus) ②腸病毒(Enterovirus genus) ③西尼羅河病毒(West Nile virus)

詳解
破題關鍵
這張病理切片顯示的是腦組織中的發炎反應,特別是血管周圍的淋巴球浸潤(perivascular cuffing)和神經膠細胞結節(glial nodules),這些都是病毒性腦炎的典型病理特徵。
選項拆解
神經系統病理19 / 25
【107-1 醫學(二) 第99題】有關中樞神經系統星狀膠原細胞(astrocyte)對損傷之反應,下列何者正確?
詳解
破題關鍵
羅森賽氏纖維是星狀膠原細胞反應的特殊產物,最常在毛狀細胞星細胞瘤中看到。
選項拆解
-A:錯在「膠樣變性(gliosis)只有星狀膠原細胞的增生(hyperplasia)而無肥大(hypertrophy)」。膠樣變性是星狀膠原細胞對損傷的反應,包括細胞的增生和肥大,兩者皆有。
神經系統病理20 / 25
【107-1 醫學(二) 第100題】下列有關一氧化碳中毒之腦部變化,何者錯誤?
詳解
破題關鍵
一氧化碳中毒最常造成蒼白球壞死,而不是殼核。
選項拆解
-A:正確。大腦皮質的第三層和第五層神經元對缺氧特別敏感,因此在一氧化碳中毒時受損最嚴重。
-B:正確。小腦的普金奇氏細胞對缺氧非常敏感,因此在一氧化碳中毒時也容易受損。
腫瘤病理學21 / 25
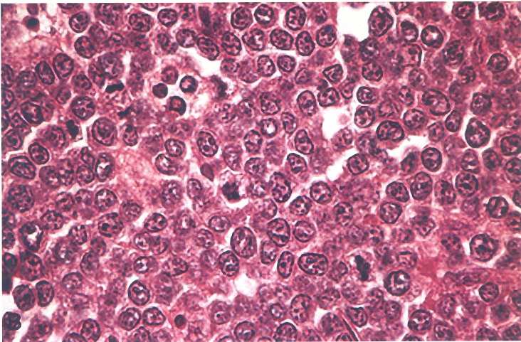
【107-1 醫學(二) 第85題】10歲小孩有一個下頷腫塊。病理切片如圖,腫瘤細胞較小,核不分葉,常見細胞分裂。則下列敘述何者錯誤?

詳解
破題關鍵
這是一個典型的兒童淋巴瘤案例。10歲小孩的下頷腫塊,加上病理切片顯示腫瘤細胞小、核不分葉、細胞分裂旺盛,以及影像中可見的「星空現象」(starry sky pattern),這些線索都指向高度惡性的伯基特氏淋巴瘤 (Burkitt lymphoma)。
選項拆解
腫瘤病理學22 / 25
【107-1 醫學(二) 第89題】女性的肺癌以下列何種組織型態最常見?
詳解
破題關鍵
腺癌 (Adenocarcinoma) 是目前所有肺癌中最常見的組織型態,尤其在女性和非吸菸者中更是如此。
選項拆解
-A:正確。腺癌是女性肺癌中最常見的組織型態,也是目前所有肺癌中最常見的類型。
-B:鱗狀上皮細胞癌在男性吸菸者中較為常見,在女性中相對較少。
腫瘤病理學23 / 25
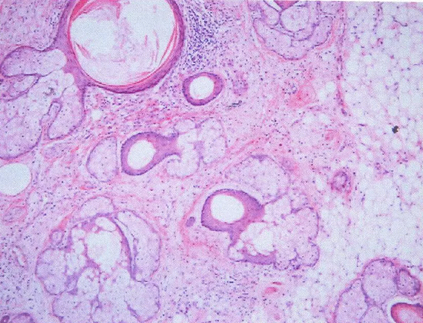
【107-1 醫學(二) 第94題】附圖顯示一位40歲病人的睪丸腫瘤之局部,下列有關敘述,何者最不適當?

詳解
破題關鍵
這張病理切片顯示了多種分化的組織類型,例如軟骨、腺體、鱗狀上皮和脂肪組織,這些都是畸胎瘤(teratoma)的典型特徵,而非單純的表皮囊腫。
選項拆解
腫瘤病理學24 / 25
【107-1 醫學(二) 第96題】侵襲性小葉癌(invasive lobular carcinoma)主要的分子特徵為何?
詳解
破題關鍵
小葉癌最大的特徵就是細胞之間黏不住,因為E-cadherin不見了。
選項拆解
-A:正確。侵襲性小葉癌最主要的分子特徵就是E-cadherin的缺失或功能異常,導致癌細胞之間黏附力下降,形成單一細胞或線狀排列的浸潤模式。
腫瘤病理學25 / 25
【107-1 醫學(二) 第98題】有關骨肉瘤(osteosarcoma)的敘述,下列何者正確?
詳解
破題關鍵
骨肉瘤的定義就是惡性細胞產生骨樣組織,但它也可以同時產生軟骨或纖維組織。
選項拆解
-A:錯在「他們的發生率相當」。骨肉瘤好發於年輕人(10-20歲),在老年人中也有第二個發病高峰,但年輕人的發生率遠高於老年人,兩者發生率不相當。