【113-1 醫學(二) 第76題】心肌梗塞使用溶栓治療,可以恢復冠狀動脈血流。血流恢復後,最可能會發生下列何種細胞變化,而使心肌受損程度更加嚴重?
詳解
破題關鍵
心肌梗塞後恢復血流,氧氣突然大量進入,會產生過多的自由基,反而加重細胞損傷。
選項拆解
登入查看完整詳解與互動作答
共 25 題(登入後可互動作答與查看詳解)
【113-1 醫學(二) 第76題】心肌梗塞使用溶栓治療,可以恢復冠狀動脈血流。血流恢復後,最可能會發生下列何種細胞變化,而使心肌受損程度更加嚴重?
詳解
破題關鍵
心肌梗塞後恢復血流,氧氣突然大量進入,會產生過多的自由基,反而加重細胞損傷。
選項拆解
登入查看完整詳解與互動作答
【113-1 醫學(二) 第77題】細胞凋亡(apoptosis)最常出現下列何種現象?
詳解
破題關鍵
細胞凋亡是一種程序性細胞死亡,其特徵是細胞有秩序地縮小,並伴隨核內染色質的濃縮。
選項拆解
登入查看完整詳解與互動作答
【113-1 醫學(二) 第78題】關於馬凡氏症候群(Marfan syndrome)的敘述,下列何者最適當?
詳解
破題關鍵
馬凡氏症候群的病因是彈性蛋白纖維 (fibrillin-1) 異常,導致TGF-β訊號傳導失調,進而影響結締組織。
選項拆解
登入查看完整詳解與互動作答
【113-1 醫學(二) 第83題】梗塞(infarct)在病理檢查下可分成紅色梗塞(red infarct)與白色梗塞(white infarct),下列何種是屬於白色梗塞?
詳解
破題關鍵
梗塞的顏色取決於器官的血流供應和組織結構。
選項拆解
登入查看完整詳解與互動作答
【113-1 醫學(二) 第88題】下列何者最不可能為氣胸(pneumothorax)的併發症?
詳解
破題關鍵
氣胸是肺部漏氣,與肺癌的發生沒有直接因果關係。
選項拆解
登入查看完整詳解與互動作答
【113-1 醫學(二) 第82題】70 歲男性吃了生牛肉兩天後出現發燒、腹痛與出血性腹瀉,數天後他表現出少尿、水腫、出血、血尿與急性腎衰竭,糞便細菌培養出大腸桿菌,此大腸桿菌的血清型經鑑定後確定是 O157:H7 。關於這個疾病,下列敘述何者最適當?
詳解
破題關鍵
這種嚴重的感染症狀,是細菌毒素直接攻擊血管內壁造成的。
選項拆解
登入查看完整詳解與互動作答
【113-1 醫學(二) 第84題】下列何種疾病最可能藉由抑制前列腺素 E2(prostaglandin E2)來治療?
詳解
破題關鍵
前列腺素E2是維持動脈導管開放的關鍵物質。
選項拆解
登入查看完整詳解與互動作答
【113-1 醫學(二) 第85題】在骨髓切片中,骨髓母細胞(myeloblasts)占比為 25%,病理診斷為何?
詳解
破題關鍵
骨髓中骨髓母細胞的比例是診斷急性白血病的黃金標準。
選項拆解
登入查看完整詳解與互動作答
【113-1 醫學(二) 第79題】下列疾病中,何者一般被認為大部分是與 TH2 細胞的作用或反應有關? 蠕蟲類寄生蟲感染性鼻炎(allergic rhinitis) 外因性過敏肉芽腫性發炎(granulomatous inflammation)
詳解
破題關鍵
TH2細胞主要參與對抗寄生蟲感染、過敏反應和體液免疫。
選項拆解
登入查看完整詳解與互動作答
【113-1 醫學(二) 第80題】下列病理變化中,何者最類似腎臟移植後的超急性排斥(hyperacute rejection)之病變?
詳解
破題關鍵
超急性排斥是預存抗體導致的快速血栓形成和缺血性壞死。
選項拆解
登入查看完整詳解與互動作答
【113-1 醫學(二) 第90題】關於自體免疫性肝炎(autoimmune hepatitis),下列何者錯誤?
詳解
破題關鍵
第二型自體免疫性肝炎主要影響兒童和年輕人。
選項拆解
登入查看完整詳解與互動作答
【113-1 醫學(二) 第93題】在長期之第二型糖尿病患,其胰島最有可能有下列何種物質之沉積?
詳解
破題關鍵
第二型糖尿病患的胰島細胞會因為長期高血糖和胰島素阻抗,導致胰島素分泌細胞 (β細胞) 耗竭,並伴隨類澱粉沉積。
選項拆解
登入查看完整詳解與互動作答
【113-1 醫學(二) 第86題】下列何者是造成鬱血性脾腫大(congestive splenomegaly)最常見的原因?
詳解
破題關鍵
鬱血性脾腫大最常見的原因是門靜脈高壓,而肝硬化是門靜脈高壓的首要元兇。
選項拆解
登入查看完整詳解與互動作答
【113-1 醫學(二) 第91題】下列關於胰臟炎的敘述何者錯誤?
詳解
破題關鍵
慢性胰臟炎的「慢性」就代表它造成的傷害是長期且不可逆的。
選項拆解
登入查看完整詳解與互動作答
【113-1 醫學(二) 第92題】68 歲女性,這些年來因膝關節炎疼痛的緣故必須服用大量非類固醇類抗發炎藥(NSAIDs)。最近幾天她感覺上腹痛並會噁心、嘔吐,這天因有吐血的情形而至急診室求診,下列那一項最可能造成上述表現?
詳解
破題關鍵
長期服用非類固醇類抗發炎藥 (NSAIDs) 加上上腹痛、噁心、嘔吐和吐血,最直接的聯想就是藥物引起的胃黏膜損傷。
選項拆解
登入查看完整詳解與互動作答
【113-1 醫學(二) 第98題】大約三分之一的血管炎(vasculitis)之患者同時有周邊神經病變,其最常見的周邊神經病變表現型態是:
詳解
破題關鍵
血管炎引起的周邊神經病變,最常見的表現是多發性單神經炎 (mononeuritis multiplex),因為血管炎會隨機影響不同部位的血管,導致不同神經的缺血性損傷。
選項拆解
登入查看完整詳解與互動作答

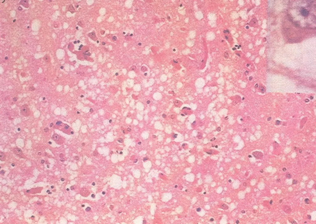
詳解
破題關鍵
這張腦組織切片顯示典型的海綿狀變性,結合題幹提示「高度傳染性」,直接指向庫賈氏病 (Creutzfeldt-Jakob Disease, CJD),其最主要的臨床表現就是快速進行性失智。
選項拆解
登入查看完整詳解與互動作答

詳解
破題關鍵
這張圖顯示的是腦底動脈環(Willis氏環)上一個巨大的囊狀動脈瘤,這種動脈瘤最危險的併發症就是破裂出血,導致自發性蜘蛛膜下腔出血。
選項拆解
登入查看完整詳解與互動作答
【113-1 醫學(二) 第81題】紫外線(UV light)之致癌作用,主要是對於 DNA 造成下列何種損傷?
詳解
破題關鍵
紫外線對DNA的傷害,最主要就是讓DNA鏈上的嘧啶鹼基黏在一起。
選項拆解
登入查看完整詳解與互動作答
【113-1 醫學(二) 第87題】下列有關惡性間皮瘤(malignant mesothelioma)的敘述,何者錯誤?
詳解
破題關鍵
惡性間皮瘤雖然惡性度高,但主要特徵是局部侵犯和擴散,而非廣泛的遠端轉移。
選項拆解
登入查看完整詳解與互動作答
【113-1 醫學(二) 第89題】下列何者為最常見之良性肺臟腫瘤?
詳解
破題關鍵
肺部錯構瘤是肺臟最常見的良性腫瘤,它是由正常組織以不正常方式生長而成。
選項拆解
登入查看完整詳解與互動作答
【113-1 醫學(二) 第94題】下列何種細胞基因異常最不可能發生在腎臟之乳突狀癌(papillary carcinoma)?
詳解
破題關鍵
腎臟乳突狀癌 (papillary carcinoma) 的基因異常與腎細胞癌 (renal cell carcinoma) 的其他亞型不同,特別是與常見的亮細胞腎細胞癌 (clear cell RCC) 有區別。
選項拆解
登入查看完整詳解與互動作答
【113-1 醫學(二) 第95題】下列有關乳房放射狀疤痕(radial scar)的敘述,何者最適當?
詳解
破題關鍵
放射狀疤痕 (radial scar) 的影像學和病理學特徵都與乳癌相似,因此需要仔細鑑別。
選項拆解
登入查看完整詳解與互動作答
【113-1 醫學(二) 第96題】下列何者為診斷原位乳癌之最重要病理特徵?
詳解
破題關鍵
原位癌 (carcinoma in situ) 的定義就是癌細胞局限在基底膜內,沒有侵犯到基底膜之外。在乳房,這表示肌上皮層是完整的。
選項拆解
登入查看完整詳解與互動作答
【113-1 醫學(二) 第97題】根據臨床資料與分子研究,子宮內膜癌可區分為第一型(type I)與第二型(type II),下列有關子宮內膜癌(endometrial carcinoma)的敘述,何者最不適當?
詳解
破題關鍵
第二型子宮內膜癌 (Type II endometrial carcinoma) 通常惡性度較高,且不像第一型有明確的前驅病灶。
選項拆解
登入查看完整詳解與互動作答