【106-2 醫學(二) 第76題】血管擴張、水腫、纖維蛋白(fibrin)出現,是下列何項之特徵?
詳解
破題關鍵
血管擴張、水腫、纖維蛋白滲出是身體對傷害的「立即」反應,代表急性發炎的初期變化。
選項拆解
登入查看完整詳解與互動作答
共 25 題(登入後可互動作答與查看詳解)
【106-2 醫學(二) 第76題】血管擴張、水腫、纖維蛋白(fibrin)出現,是下列何項之特徵?
詳解
破題關鍵
血管擴張、水腫、纖維蛋白滲出是身體對傷害的「立即」反應,代表急性發炎的初期變化。
選項拆解
登入查看完整詳解與互動作答
【106-2 醫學(二) 第77題】細胞缺氧時,最不可能出現下列何種變化?
詳解
破題關鍵
缺氧會導致細胞能量(ATP)不足,進而影響離子幫浦功能,使離子平衡失調。
選項拆解
登入查看完整詳解與互動作答
【106-2 醫學(二) 第78題】下列何者是組織結構蛋白(structural proteins)缺損引起的遺傳性疾病?
詳解
破題關鍵
結構蛋白是構成組織骨架的蛋白質,其缺陷會影響組織的強度和彈性。
選項拆解
登入查看完整詳解與互動作答
【106-2 醫學(二) 第81題】培養正常的纖維母細胞,經過放射線照射後,再測其細胞週期的變化,經分析後發現80%的細胞週期停留在 G1 phase。細胞週期的變化與下列何者關係最少?
詳解
破題關鍵
放射線照射會造成DNA損傷,細胞會啟動檢查點 (checkpoint) 停止細胞週期以進行修復,尤其是在G1期。
選項拆解
登入查看完整詳解與互動作答
【106-2 醫學(二) 第86題】下列有關石棉塵肺症(asbestosis)的敘述,何者錯誤?
詳解
破題關鍵
石棉小體的形成是巨噬細胞吞噬石棉纖維後形成的,不是中性白血球。
選項拆解
登入查看完整詳解與互動作答
【106-2 醫學(二) 第88題】肺鱗狀上皮細胞癌之特徵與下列那一項最不相關?
詳解
破題關鍵
肺鱗狀上皮細胞癌與抽菸、中央型、肺門相關,但很少產生神經內分泌物質。
選項拆解
登入查看完整詳解與互動作答
【106-2 醫學(二) 第82題】在續發性高血液凝固狀態(hypercoagulable states)的因素中,下列何者發生血栓的風險相對性最低?
詳解
破題關鍵
續發性高血液凝固狀態 (secondary hypercoagulable states) 是指因其他疾病或狀況導致的血栓風險增加。
選項拆解
登入查看完整詳解與互動作答
【106-2 醫學(二) 第83題】30歲男性,長期有大量吸菸習慣,最近發現左側下肢疼痛並有間歇跛行,戒菸後明顯減少發作次數,下列何者為最有可能的診斷?
詳解
破題關鍵
年輕男性、大量吸菸、下肢間歇跛行、戒菸後改善,這些關鍵字指向一種與吸菸密切相關的血管炎。
選項拆解
登入查看完整詳解與互動作答
【106-2 醫學(二) 第84題】60歲男性因喉嚨疼痛與潰瘍在就醫時被發現血中白血球增加(50×103/µL;參考區間為4.8-10.8×103/µL), 紅血球、血小板數目減少。骨髓切片顯示骨髓中細胞佔70-80%,大部分都是中等大小原始細胞(blast cells),細胞質中有非常多火紅顆粒及針狀小體。染色體檢查發現有t(15;17)的染色體轉位。下列何者為最可能的診斷?
詳解
破題關鍵
原始細胞 (blast cells) 大量增加(超過20%)、血球減少、細胞質中火紅顆粒及針狀小體(Auer rods)、t(15;17) 染色體轉位,這些都是急性骨髓性白血病的典型特徵。
選項拆解
登入查看完整詳解與互動作答
【106-2 醫學(二) 第89題】62歲女性,有多年的腸胃症狀,內視鏡檢查發現有萎縮性胃炎(atrophic gastritis),特別是在體部較嚴重, 血清學檢查發現有抗壁細胞抗體(anti-parietal cell antibody),此病人同時有貧血。她的貧血最可能是:
詳解
破題關鍵
萎縮性胃炎、抗壁細胞抗體和貧血,這些線索都指向惡性貧血。
選項拆解
登入查看完整詳解與互動作答
【106-2 醫學(二) 第79題】抗酸性染色(acid-fast stain)不適用於下列那一種疾病的診斷?
詳解
破題關鍵
抗酸性染色 (acid-fast stain) 是用來檢測細胞壁含有特殊蠟質(分枝菌酸)的細菌。
選項拆解
登入查看完整詳解與互動作答
【106-2 醫學(二) 第80題】梅毒病變中,最顯著且多量的浸潤細胞是:
詳解
破題關鍵
梅毒 (syphilis) 是一種慢性感染,其組織學特徵是慢性發炎細胞浸潤,特別是漿細胞。
選項拆解
登入查看完整詳解與互動作答
【106-2 醫學(二) 第87題】對於免疫力低落的病人,下列何者最少感染其肺部?
詳解
破題關鍵
弓漿蟲在免疫力低下病人中主要影響腦部,肺部感染相對少見。
選項拆解
登入查看完整詳解與互動作答
【106-2 醫學(二) 第95題】下列四種細胞,何者最不易出現於正常之子宮內膜中?
詳解
破題關鍵
漿細胞在正常子宮內膜中不應出現,它的存在通常提示慢性子宮內膜炎。
選項拆解
登入查看完整詳解與互動作答
【106-2 醫學(二) 第97題】36歲女性20年來每天抽一包菸,發現自己右側乳房乳暈旁皮膚紅腫熱痛,乳暈下有一腫塊,做切片檢查發現乳小管上皮有明顯鱗狀上皮化生,乳小管被角質堵塞而擴張成囊狀,乳小管旁有明顯肉芽腫樣發炎反應。則下列何者為最可能之診斷?
詳解
破題關鍵
抽菸史、乳暈旁發炎、乳暈下腫塊,加上病理報告的「鱗狀上皮化生」和「角質堵塞」,是周邊乳腺管性乳房炎的典型組合。
選項拆解
登入查看完整詳解與互動作答

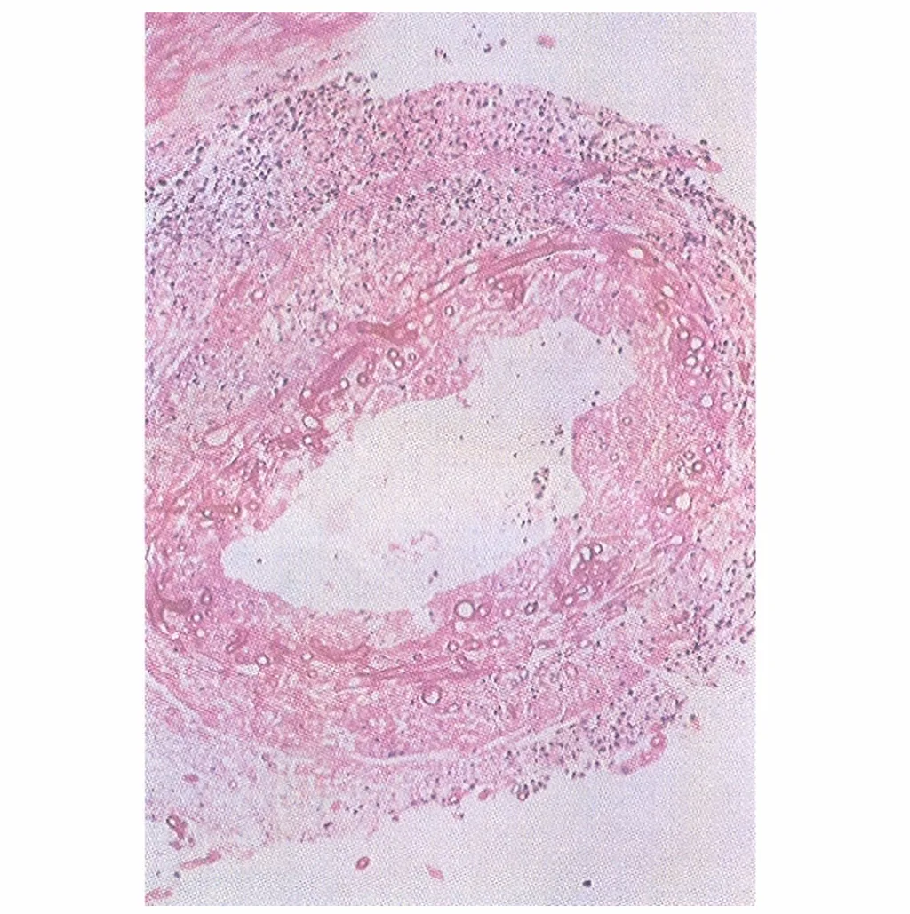
詳解
破題關鍵
本題的解題核心在於辨識圖片中血管內及周圍的特殊病原體形態,結合病患免疫功能低下的臨床情境,判斷是哪種微生物感染。圖片中可見分枝狀的菌絲侵犯血管壁,這是黴菌感染的典型特徵。
選項拆解
登入查看完整詳解與互動作答
【106-2 醫學(二) 第94題】下列副甲狀腺疾病,最常造成原發性副甲狀腺機能亢進(primary hyperparathyroidism)的病變是:
詳解
破題關鍵
原發性副甲狀腺機能亢進最常見的原因是單一腺瘤。
選項拆解
登入查看完整詳解與互動作答
【106-2 醫學(二) 第98題】8歲男孩罹患麻疹一星期,突然昏迷而死亡。解剖診斷為急性瀰漫性腦脊髓炎(acute disseminated encephalomyelitis),下列有關這種形式腦脊髓炎的敘述,何者正確?
詳解
破題關鍵
急性瀰漫性腦脊髓炎 (ADEM) 是一種典型的髓鞘脫失性疾病。
選項拆解
登入查看完整詳解與互動作答
【106-2 醫學(二) 第100題】下列那一種疾病不會有代償性水腦症(hydrocephalus ex vacuo)?
詳解
破題關鍵
代償性水腦症 (hydrocephalus ex vacuo) 的定義是腦組織萎縮或壞死後,腦室擴大以填補空間,但顱內壓不升高。此題的答案與普遍醫學認知有出入,以下將依據給定答案進行解釋。
選項拆解
登入查看完整詳解與互動作答
【106-2 醫學(二) 第85題】下列何種腫瘤最少見於前縱隔腔?
詳解
破題關鍵
熟悉縱隔腔 (mediastinum) 的解剖分區和常見腫瘤。
選項拆解
登入查看完整詳解與互動作答
【106-2 醫學(二) 第90題】腸胃道基質瘤(gastrointestinal stromal tumor, GIST)最常見的突變基因是:
詳解
破題關鍵
腸胃道基質瘤最常見的基因突變是c-KIT。
選項拆解
登入查看完整詳解與互動作答
【106-2 醫學(二) 第91題】闌尾(appendix)最常見的腫瘤為:
詳解
破題關鍵
闌尾最常見的腫瘤是類癌。
選項拆解
登入查看完整詳解與互動作答

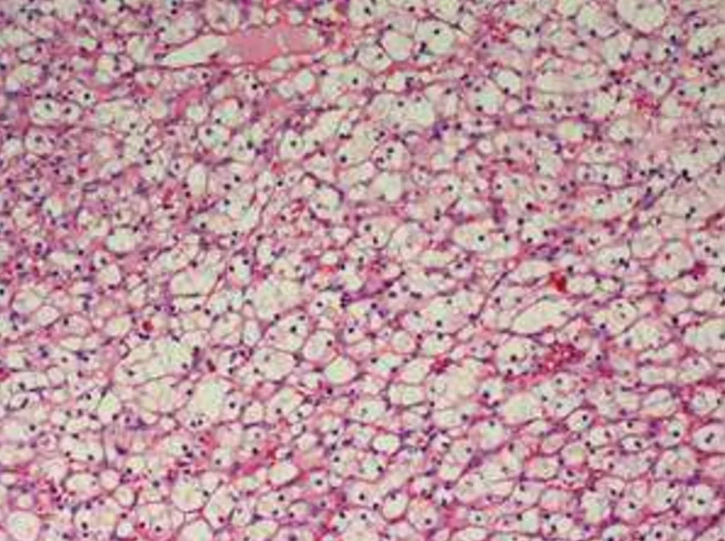
詳解
破題關鍵
這題的解題核心在於辨識圖片中的病理特徵,判斷是哪一種腎臟腫瘤,然後回想該腫瘤最常見的基因異常,並找出其中「最不可能」發生的選項。圖片中細胞呈現「透明細胞」的型態,是診斷透明細胞腎細胞癌的關鍵。
選項拆解
登入查看完整詳解與互動作答
【106-2 醫學(二) 第93題】下列何種膀胱腫瘤的病理變化,為扁平病灶,可見惡性細胞散布於形態正常的尿道上皮細胞中,以帕哲氏病樣形式擴展(pagetoid spread)?
詳解
破題關鍵
膀胱原位癌的特徵是扁平病灶,惡性細胞散布於正常上皮中,呈現 Pagetoid spread。
選項拆解
登入查看完整詳解與互動作答
【106-2 醫學(二) 第96題】20歲女性,發現右側乳房外上方有一個2公分大小,界限明顯且能移動的腫瘤。下列何者是最可能的診斷?
詳解
破題關鍵
年輕女性乳房摸到「界限清楚、能移動」的腫塊,最常見的良性診斷就是纖維腺瘤。
選項拆解
登入查看完整詳解與互動作答