一般病理機轉1 / 25
【114-2 醫學(二) 第76題】下列何者於顯微鏡檢死亡之細胞時,通常會呈現「強烈嗜酸性的紅色細胞質,模糊或微紅色之細胞核」等特徵?
詳解
破題關鍵
細胞死亡後,如果細胞骨架和蛋白質變性,但細胞外型還能維持住,就是凝固性壞死。
選項拆解
-A:錯在液化性壞死 (liquefactive necrosis) 會導致組織變成黏稠的液體,細胞結構完全消失,常見於細菌感染或腦部缺血。
一般病理機轉2 / 25
【114-2 醫學(二) 第77題】下列何者出現時,表示細胞已經進入不可逆的損傷(irreversible damage)?
詳解
破題關鍵
細胞損傷到不可逆的程度,最關鍵的指標就是粒線體和細胞膜的完整性完全破壞。
選項拆解
-A:正確。粒線體蛋白質洩漏代表粒線體膜的完整性嚴重受損,這是不可逆細胞損傷的關鍵指標之一。
一般病理機轉3 / 25
【114-2 醫學(二) 第78題】有關馬凡氏症候群(Marfan syndrome)的描述,下列何者正確?
詳解
破題關鍵
馬凡氏症候群是一種影響結締組織的遺傳疾病,特別容易造成心血管系統的問題。
選項拆解
-A:錯在馬凡氏症候群是纖維蛋白-1 (fibrillin-1) 異常,而非膠原蛋白 (collagen) 異常。膠原蛋白異常常見於Ehlers-Danlos症候群。
一般病理機轉4 / 25
【114-2 醫學(二) 第98題】有關骨骼疾病的病理機轉,下列那一組合與蝕骨細胞(osteoclasts)活性異常較有關係?①osteopetrosis ②senile osteoporosis ③post-menopausal osteoporosis ④osteomalacia ⑤Paget disease (osteitis deformans)
詳解
破題關鍵
蝕骨細胞活性異常,要嘛是太活躍把骨頭吃掉(骨質疏鬆、Paget),要嘛是活性不足骨頭太硬(osteopetrosis)。
選項拆解
呼吸系統病理5 / 25
【114-2 醫學(二) 第88題】下列有關塵肺病(pneumoconiosis)的敘述,何者錯誤?
詳解
破題關鍵
塵肺病,特別是矽肺病,是一種不可逆的慢性進行性疾病,即使停止暴露,肺部纖維化仍會持續惡化。
選項拆解
-A:正確。塵肺病的成因廣泛,包括無機粉塵(如矽、石綿、煤)和有機粉塵(如棉花、甘蔗渣),且幾乎都與特定職業暴露有關。
心血管與血液病理6 / 25
【114-2 醫學(二) 第82題】先天性心臟病中,長期處於下列何種狀況最容易造成肺高壓?
詳解
破題關鍵
造成肺高壓的先天性心臟病,通常是因為有血液從左心流向右心,導致肺部血流量長期過多。
選項拆解
-A:正確。明顯的心室中隔缺損 (ventricular septal defect) 會導致大量左向右分流,使肺部血流量和壓力長期增加,最終導致肺高壓。
心血管與血液病理7 / 25
【114-2 醫學(二) 第83題】下列會造成凝血功能異常的狀況,何者主要不是由於血小板功能的缺失?
詳解
破題關鍵
凝血功能異常可以分成血小板問題(初級止血)和凝血因子問題(次級止血)。
選項拆解
心血管與血液病理8 / 25
【114-2 醫學(二) 第85題】下列何種貧血,骨髓中的造血細胞量(cellularity)最可能比正常少?
詳解
破題關鍵
骨髓中的造血細胞量減少,直接代表骨髓製造血球的能力下降。
選項拆解
-A:錯在缺鐵性貧血 (iron deficiency anemia) 的骨髓通常是增生活躍的 (hypercellular),造血細胞量正常或增加,以試圖代償紅血球的不足。
感染與免疫病理9 / 25
【114-2 醫學(二) 第79題】天皰瘡(pemphigus vulgaris)的致病機轉與下列何者最有關係?
詳解
破題關鍵
天皰瘡是一種自體免疫疾病,身體產生抗體去攻擊自己的細胞表面抗原。
選項拆解
-A:錯在第一型過敏反應 (Type I hypersensitivity) 是由IgE介導的立即型過敏反應,如過敏性鼻炎、氣喘、蕁麻疹。
感染與免疫病理10 / 25
【114-2 醫學(二) 第93題】黃瘤肉芽腫性腎盂腎炎(xanthogranulomatous pyelonephritis)與下列何種細菌感染最為密切?
詳解
破題關鍵
黃瘤肉芽腫性腎盂腎炎 (XPN) 是一種慢性發炎,常與泌尿道阻塞和感染有關,特別是會產生尿素酶的細菌。
選項拆解
-A:Streptococcus pneumoniae (肺炎鏈球菌) 主要引起肺炎、腦膜炎等,與泌尿道感染和 XPN 關係不大。
感染與免疫病理11 / 25
【114-2 醫學(二) 第99題】下列皮膚病變皆可能與感染有關,何者在皮膚病灶處最有可能培養出致病微生物?
詳解
破題關鍵
只有感染性疾病,且病原體在皮膚病灶處大量存在,才容易培養出來。
選項拆解
-A:錯在 erythema multiforme(多形性紅斑)是免疫反應,病灶處通常無法培養出致病微生物。
感染與免疫病理12 / 25
【114-2 醫學(二) 第100題】關於感染性關節炎,下列敘述何者最不適當?
詳解
破題關鍵
本題旨在考驗醫學生對不同年齡層感染性關節炎常見致病菌的掌握,以及特定類型關節炎的病理特徵與好發族群。解題核心是找出敘述中不符合醫學事實的選項。
選項拆解
消化與肝膽病理13 / 25
【114-2 醫學(二) 第90題】關於肝細胞核因子 1-α失活的肝細胞腺瘤(HNF1α-inactivated hepatocellular adenoma),下列敘述何者最不適當?
詳解
破題關鍵
HNF1α失活型肝細胞腺瘤的特徵是 HNF1α 基因突變,這會導致其下游基因 LFABP 的表達「下降或缺失」,而不是高度表達。
選項拆解
-A:正確。HNF1α 基因突變與 MODY3 相關,因此 HNF1α 失活型 HCA 患者可能同時患有 MODY3。
消化與肝膽病理14 / 25
【114-2 醫學(二) 第91題】關於急性膽囊炎,下列敘述何者最不適當?
詳解
破題關鍵
急性膽囊炎的發炎反應通常與前列腺素的「增加」有關,而不是減少。前列腺素是重要的發炎介質。
選項拆解
-A:正確。絕大多數急性膽囊炎是由於膽結石阻塞膽囊頸或膽囊管所引起。
神經系統病理15 / 25
【114-2 醫學(二) 第80題】慢性一氧化碳中毒主要造成中樞神經何處缺氧?
詳解
破題關鍵
一氧化碳中毒會造成全身缺氧,但大腦中有些區域對缺氧特別敏感。
選項拆解
-A:錯在大腦半球 (cerebral hemisphere) 確實會受缺氧影響,但基底核在CO中毒中表現出更特異和嚴重的病變。
腫瘤病理學16 / 25
【114-2 醫學(二) 第81題】用以判斷腫瘤為惡性的特徵,下列何者最不可靠?
詳解
破題關鍵
判斷腫瘤惡性與否,最可靠的指標是看它有沒有侵犯性或轉移能力。
選項拆解
-A:錯在生長快速並非判斷惡性腫瘤最可靠的特徵。良性腫瘤也可能生長快速,而某些惡性腫瘤生長緩慢。
腫瘤病理學17 / 25
【114-2 醫學(二) 第84題】下列何種惡性淋巴瘤,在組織切片中腫瘤細胞通常只占所有細胞的小部分?
詳解
破題關鍵
何杰金氏淋巴瘤的特色是腫瘤細胞(Reed-Sternberg細胞)數量很少,大部分是反應性的發炎細胞。
選項拆解
-A:錯在瀰漫性大B細胞淋巴瘤 (diffuse large B-cell lymphoma) 是一種非何杰金氏淋巴瘤,腫瘤細胞通常佔組織的絕大部分。
腫瘤病理學18 / 25
【114-2 醫學(二) 第86題】下列有關鼻咽癌的敘述,何者錯誤?
詳解
破題關鍵
鼻咽癌最主要的病毒相關性是EB病毒,不是HPV。
選項拆解
-A:錯在 [HR-HPV]。鼻咽癌主要與 EB 病毒 (Epstein-Barr virus, EBV) 有關,而非 HR-HPV。HR-HPV 主要與口咽癌 (oropharyngeal carcinoma) 相關。
腫瘤病理學19 / 25
【114-2 醫學(二) 第87題】下列有關小細胞肺癌(small cell carcinoma)的敘述,何者錯誤?
詳解
破題關鍵
小細胞肺癌 (SCLC) 和非小細胞肺癌 (NSCLC) 是兩種不同的肺癌,EGFR 突變是 NSCLC 的特徵,SCLC 很少見。
選項拆解
-A:正確。小細胞肺癌與抽菸有非常強烈的相關性,是典型的「吸菸相關癌症」。
腫瘤病理學20 / 25
【114-2 醫學(二) 第89題】下列有關口腔癌的敘述,何者錯誤?
詳解
破題關鍵
雖然口腔癌和肺腺癌都可能有一些共同的基因突變,但它們的「標靶藥物」治療策略和有效性是不同的。口腔癌目前缺乏像肺腺癌那樣多樣且有效的標靶藥物。
選項拆解
-A:正確。白斑和紅斑是口腔黏膜的癌前病變,是口腔癌篩檢的重要指標。
腫瘤病理學21 / 25
【114-2 醫學(二) 第92題】腎嗜酸細胞瘤(renal oncocytoma)在電子顯微鏡下觀察,腫瘤細胞含大量何種結構,而造成染色成嗜酸性?
詳解
破題關鍵
嗜酸性 (eosinophilic) 染色通常與細胞內富含粒線體有關。
選項拆解
-A:正確。腎嗜酸細胞瘤的腫瘤細胞含有大量異常增生的粒線體,這些粒線體富含蛋白質,使其細胞質在 H&E 染色下呈現強烈的嗜酸性。
腫瘤病理學22 / 25
【114-2 醫學(二) 第94題】下列何者為腎細胞癌最顯著之危險因子?
詳解
破題關鍵
抽菸是許多癌症的頭號危險因子,對於腎細胞癌也不例外,其影響程度通常比其他因素更顯著。
選項拆解
-A:正確。抽菸是腎細胞癌最顯著且可改變的危險因子,會使罹患風險顯著增加。
-B:高血壓是腎細胞癌的危險因子之一,但其影響程度通常不如抽菸顯著。
腫瘤病理學23 / 25
【114-2 醫學(二) 第95題】與放射線治療最相關的乳房惡性腫瘤為:
詳解
破題關鍵
放射線治療是已知會增加繼發性惡性腫瘤風險的因素,其中血管肉瘤是乳房放射線治療後最常見的繼發性肉瘤。
選項拆解
-A:正確。血管肉瘤是乳房放射線治療後最常見的繼發性惡性腫瘤,通常發生在受照射區域的皮膚或皮下組織。
腫瘤病理學24 / 25
【114-2 醫學(二) 第96題】下列何種乳房病變,發生侵襲性乳癌的風險最高?
詳解
破題關鍵
乳房病變中,有「非典型」字眼的增生,癌變風險最高。
選項拆解
-A:正確。非典型小葉增生(atypical lobular hyperplasia)是癌變風險最高的良性乳房病變之一,屬於有非典型增生的病變。
腫瘤病理學25 / 25
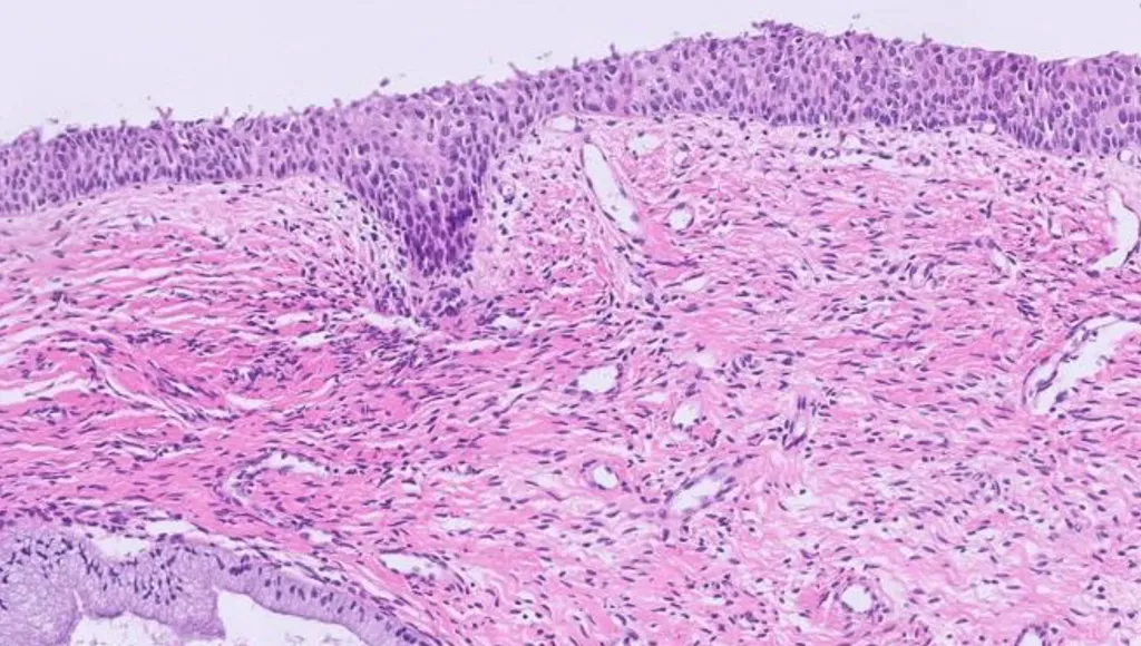
【114-2 醫學(二) 第97題】
62 歲女性,子宮頸抹片檢查後,接受子宮頸病理切片(如圖所示)。下列何者為最適合的診斷?

詳解
破題關鍵
圖片顯示子宮頸鱗狀上皮細胞有明顯的異型性變化,包括細胞核深染、核質比增高,且這些異常細胞延伸至上皮層的較高處,但基底膜完整,沒有侵犯到下方的基質。
選項拆解