【106-2 醫學(六) 第28題】以病理組織來分,葡萄胎可區分為完全性與部分性葡萄胎(complete/partial mole)兩大類。下列何者為部分 性葡萄胎(partial mole)最可能的染色體型態(karyotype)?
詳解
破題關鍵
部分性葡萄胎的染色體型態是三倍體,也就是有三套染色體。
選項拆解
登入查看完整詳解與互動作答
共 33 題(登入後可互動作答與查看詳解)
【106-2 醫學(六) 第28題】以病理組織來分,葡萄胎可區分為完全性與部分性葡萄胎(complete/partial mole)兩大類。下列何者為部分 性葡萄胎(partial mole)最可能的染色體型態(karyotype)?
詳解
破題關鍵
部分性葡萄胎的染色體型態是三倍體,也就是有三套染色體。
選項拆解
登入查看完整詳解與互動作答
【106-2 醫學(六) 第39題】33歲女性,G2P1,前胎因胎位不正接受剖腹產;此次懷孕,於妊娠35週時發現陰道大量出血,接受緊急剖腹 產,於術中發現前置胎盤併植入性胎盤,接受子宮全切除術。相較於術前已確診並計畫接受剖腹產併子宮全 切除之病患,此產婦手術中發生,下列何種併發症的機會較高?
詳解
破題關鍵
緊急手術中才發現植入性胎盤,因出血多、視野差且時間緊迫,導致鄰近器官損傷的風險大增。
選項拆解
登入查看完整詳解與互動作答
【106-2 醫學(六) 第41題】27歲初產婦,懷孕35週,至產房就診,主訴陰道出血與腹痛,血壓96/58 mmHg,無尿蛋白反應,腹部超音波 無特殊發現,因胎心監視器(tococardiography)呈現延遲性胎心減速(late deceleration)現象,緊急施予 剖腹生產,手術中發現,子宮表面呈藍色變化(Couvelaire uterus),同時合併子宮收縮不良及產後出血,是 何種產科急症?
詳解
破題關鍵
這位產婦的症狀,包括陰道出血、腹痛、血壓下降、胎兒窘迫,加上手術中發現子宮表面呈藍色變化(Couvelaire uterus),這些都是胎盤剝離的典型表現。
選項拆解
登入查看完整詳解與互動作答
【106-2 醫學(六) 第49題】關於腦下垂體泌乳激素腺瘤(pituitary prolactin adenoma)在懷孕期間的追蹤之敘述,下列何者錯誤?
詳解
破題關鍵
懷孕期間泌乳激素會自然升高,所以不能用它來追蹤泌乳激素腺瘤的變化。
選項拆解
登入查看完整詳解與互動作答
【106-2 醫學(六) 第44題】38歲女性,到婦產門診就診,主訴有下列典型症狀 dysuria、dribbling、dyspareunia,同時臨床骨盆檢查發現 前陰道壁有一腫塊,下列何者被公認為最佳診斷之影像工具?
詳解
破題關鍵
當病人有排尿不適、性交疼痛,加上前陰道壁摸到腫塊時,要高度懷疑是尿道憩室,而核磁共振是診斷尿道憩室的最佳影像工具。
選項拆解
登入查看完整詳解與互動作答
【106-2 醫學(六) 第51題】有關評估子宮異常造成習慣性流產的敘述,下列何者正確?
詳解
破題關鍵
子宮結構異常是習慣性流產的重要原因,其中最常見且影響最大的就是中膈子宮。
選項拆解
登入查看完整詳解與互動作答
【106-2 醫學(六) 第33題】24歲的婦女,在門診時被發現大陰唇有一小於1公分但突起的小腫瘤,經切片檢查後,最有可能的診斷為:
詳解
破題關鍵
年輕女性大陰唇出現小於1公分的突起腫瘤,最常見且良性的診斷就是上皮內包性囊腫。
選項拆解
登入查看完整詳解與互動作答
【106-2 醫學(六) 第35題】58歲停經後出血的婦女,經子宮內膜切片診斷為子宮內膜癌,接受了全子宮切除、雙側卵巢輸卵管切除、骨 盆腔及主動脈旁淋巴結摘除手術,病理報告發現癌細胞侵犯深層子宮肌肉層,淋巴結沒有癌細胞轉移,依據 目前國際婦產科聯盟(international federation of gynecology and obstetrics, FIGO)這位患者的腫瘤分期應 為:
詳解
破題關鍵
子宮內膜癌分期主要看癌細胞侵犯的深度和範圍,以及是否有淋巴結或遠處轉移。
選項拆解
登入查看完整詳解與互動作答
【106-2 醫學(六) 第36題】下列何者不是陰道癌(vaginal cancer)常見的特徵?
詳解
破題關鍵
陰道癌最常見的症狀是無痛性陰道出血,疼痛通常是疾病晚期的表現,所以「常伴隨陰道疼痛」不是早期或常見的特徵。
選項拆解
登入查看完整詳解與互動作答
【106-2 醫學(六) 第37題】下列何者有助於減少卵巢癌的發生?
詳解
破題關鍵
減少排卵次數是預防卵巢癌的關鍵。
選項拆解
登入查看完整詳解與互動作答
【106-2 醫學(六) 第46題】關於外陰扁平上皮癌(squamous cell carcinoma of the vulva)T1a的深度侵犯,有一個最重要的臨界點,只 要侵犯深度不超過這個臨界值,幾乎不會有腹股溝淋巴的轉移,臨界值深度為何?
詳解
破題關鍵
外陰癌T1a期,侵犯深度小於1毫米時,淋巴結轉移的風險極低。
選項拆解
登入查看完整詳解與互動作答
【106-2 醫學(六) 第47題】已經生育過的54歲婦女,因為停經後出血,如果臨床懷疑有子宮內膜病變的可能,下列何處置最能正確診斷 病灶?
詳解
破題關鍵
停經後出血必須排除子宮內膜惡性病變,因此需要最準確的組織病理學診斷。
選項拆解
登入查看完整詳解與互動作答
【106-2 醫學(六) 第48題】關於妊娠滋養細胞腫瘤(gestational trophoblastic disease)的敘述,下列何者最不適當?
詳解
破題關鍵
侵襲性葡萄胎屬於惡性滋養細胞腫瘤,不應歸類為良性。
選項拆解
登入查看完整詳解與互動作答

詳解
破題關鍵
這張磁振造影(MRI)T2WI 影像顯示子宮內膜異常增厚且訊號不均勻,結合病患停經後陰道出血的症狀,高度懷疑是子宮內膜癌。
選項拆解
登入查看完整詳解與互動作答
【106-2 醫學(六) 第32題】痛經婦女的經血中,下列何者含量較多?
詳解
破題關鍵
痛經主要是子宮過度收縮和發炎引起的,而這些都跟前列腺素過量有關。
選項拆解
登入查看完整詳解與互動作答

詳解
破題關鍵
這題的解題核心在於理解子宮托如何改變子宮位置,進而影響腹腔鏡下不同骨盆腔構造的視野。要讓子宮後方的構造(如圖中A)清晰可見,就必須將子宮往前、往上推。
選項拆解
登入查看完整詳解與互動作答

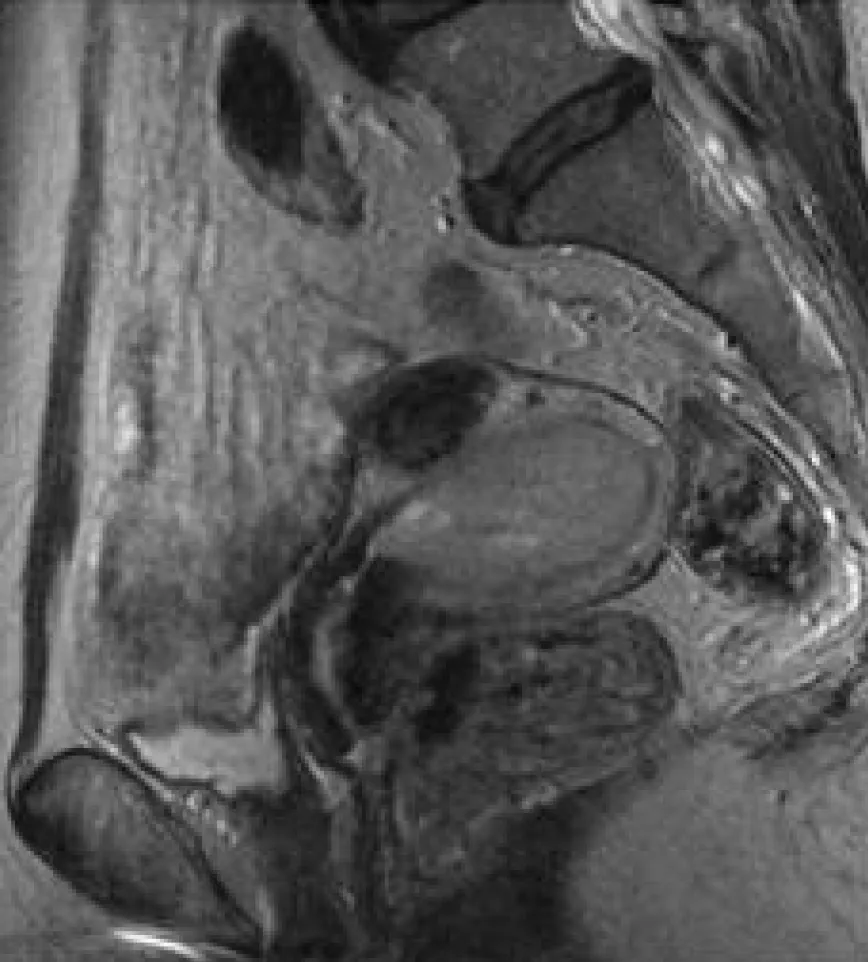
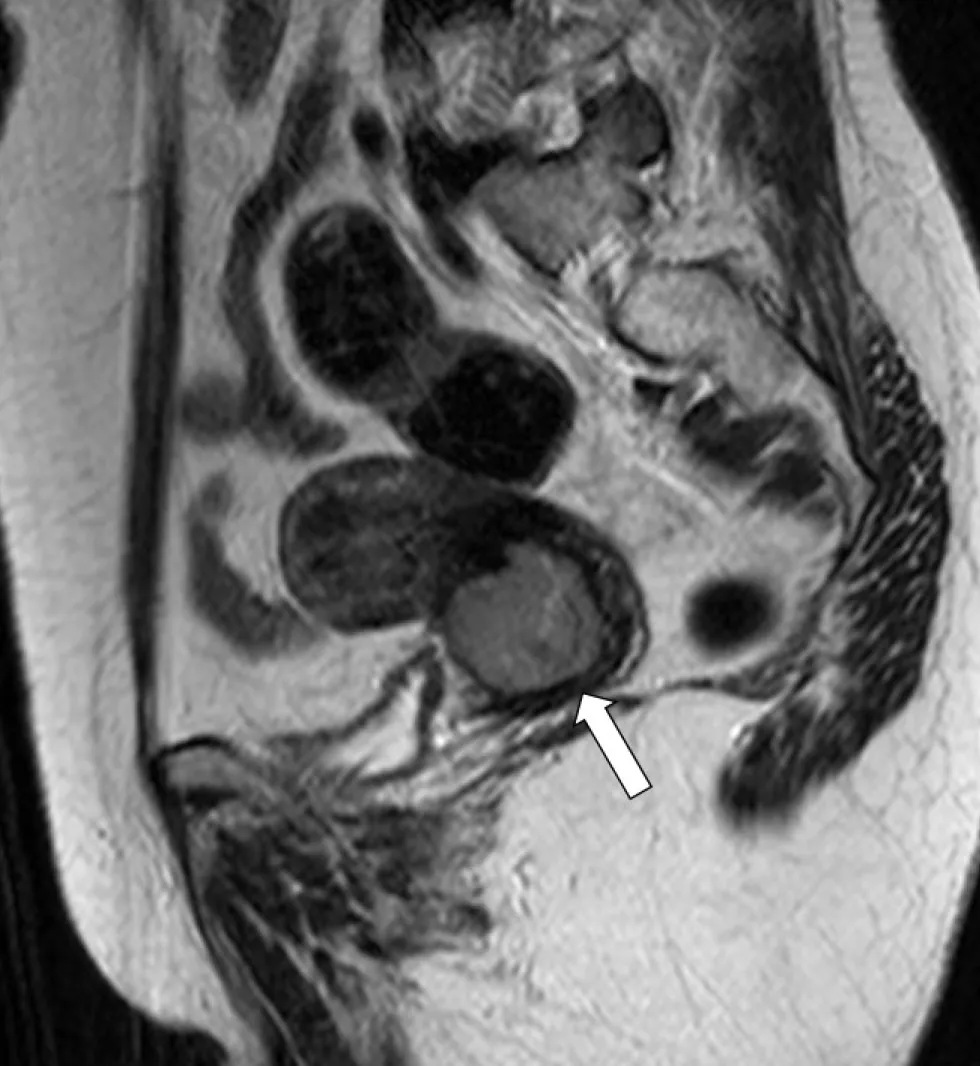
詳解
破題關鍵
這題的解題核心在於辨識子宮頸的解剖位置,並判斷箭頭所指的病灶在T2加權磁振造影(T2WI)上的訊號特徵,來區分常見的婦科腫瘤。圖片中箭頭明確指向子宮頸區域一個訊號偏亮的腫塊,這與子宮頸腫瘤的影像表現高度吻合。
選項拆解
登入查看完整詳解與互動作答
【106-2 醫學(六) 第34題】下列那一種方法無法確定是否排卵?
詳解
破題關鍵
要確定有沒有排卵,主要看排卵後會出現的變化,而不是排卵前的荷爾蒙高峰。
選項拆解
登入查看完整詳解與互動作答
【106-2 醫學(六) 第45題】21歲女性,月經來之後兩週,突然下腹疼痛,下列何者為最有可能的原因?
詳解
破題關鍵
月經來之後兩週突然下腹痛,最直接聯想到的是排卵期。
選項拆解
登入查看完整詳解與互動作答
【106-2 醫學(六) 第50題】關於人類絨毛膜性腺刺激素(human chorionic gonadotropin, hCG)之敘述,下列何者錯誤?
詳解
破題關鍵
這題主要在考你hCG的來源、作用機制、生理功能以及它與LH在半衰期上的差異。
選項拆解
登入查看完整詳解與互動作答
【106-2 醫學(六) 第52題】35歲習慣性流產女性 G3P0SA3,因為不孕症合併月經異常至門診求診,月經週期第3天賀爾蒙指數濾泡刺激 激素(FSH)5.4 IU/L,黃體化激素(LH)3.0 IU/L,甲狀腺刺激激素(TSH)5.87 mIU/L以及泌乳激素 (PRL)15 ng/mL,其他檢查包括抗甲狀腺抗體陽性以及甲狀腺素free T4正常。下列何者是首先建議的治療 方法?
詳解
破題關鍵
這位病人有習慣性流產和不孕,檢查發現甲狀腺功能異常,所以要先治療這個明確且可處理的內分泌問題。
選項拆解
登入查看完整詳解與互動作答
【106-2 醫學(六) 第53題】下列何者最不可能是卵巢過度刺激症候群(ovarian hyperstimulation syndrome)的危險因子?
詳解
破題關鍵
卵巢過度刺激症候群(OHSS)的危險因子通常與卵巢反應過度有關,而濾泡數量少代表卵巢反應能力差,因此不太可能發生OHSS。
選項拆解
登入查看完整詳解與互動作答
【106-2 醫學(六) 第54題】若一位女性的生理月經週期是28天,著床窗期(implantation window)最有可能是在月經來潮後的第幾天?
詳解
破題關鍵
著床窗期通常發生在排卵後約6到10天,所以要先找出排卵日,再往後推算。
選項拆解
登入查看完整詳解與互動作答

詳解
破題關鍵
這張子宮輸卵管攝影(HSG)顯示顯影劑從子宮頸進入子宮腔,再流經兩側輸卵管,最後從輸卵管末端溢出到骨盆腔,形成兩團模糊的顯影劑雲霧,這代表兩側輸卵管都是暢通的。
選項拆解
登入查看完整詳解與互動作答
【106-2 醫學(六) 第40題】有關母體子宮螺旋動脈(spiral artery),因受絨毛膜外滋養層細胞(extravillous trophoblast)侵犯改變,而 成功建立子宮胎盤血循環系統,此循環系統第二波建立形成時期為妊娠:
詳解
破題關鍵
這題雖然提到「第二波」,但根據答案判斷,它問的是胎盤血流循環「開始」建立的關鍵時間點,也就是早期循環形成的時間。
選項拆解
登入查看完整詳解與互動作答
【106-2 醫學(六) 第25題】下列何者為最常造成胎兒子宮內肢體缺損(intrauterine amputation)的原因?
詳解
破題關鍵
胎兒在子宮內肢體缺損,最常見的原因是羊膜帶像繩子一樣勒住肢體造成的。
選項拆解
登入查看完整詳解與互動作答
【106-2 醫學(六) 第27題】胎兒small for gestational age(SGA)之定義為何?
詳解
破題關鍵
SGA的定義就是看胎兒體重有沒有低於同週數胎兒的特定百分位。
選項拆解
登入查看完整詳解與互動作答
【106-2 醫學(六) 第29題】下列何者為最常造成胎兒心跳呈現變異型減速(variable decelerations)的原因?
詳解
破題關鍵
變異型減速最常見的原因就是臍帶被壓到。
選項拆解
登入查看完整詳解與互動作答
【106-2 醫學(六) 第30題】27歲女性,G2P1,妊娠40週,胎兒超音波臍動脈血流速度波形縮舒比(systolic-diastolic ratio, S/D ratio), 下列何者為正常?
詳解
破題關鍵
這題考你懷孕後期,特別是足月時,胎兒臍動脈血流縮舒比(S/D ratio)的正常值範圍。
選項拆解
登入查看完整詳解與互動作答
【106-2 醫學(六) 第31題】懷孕20週婦女,到婦產科門診接受產前檢查,胎兒二維(two-dimentional)超音波檢查發現胎兒腹部有腹壁 缺損,初步判斷為omphalocele。下列處理何者錯誤?
詳解
破題關鍵
懷疑胎兒有腹壁缺損時,首要之務是進一步檢查以確認診斷、評估嚴重度及合併症,而非直接建議終止懷孕。
選項拆解
登入查看完整詳解與互動作答
【106-2 醫學(六) 第38題】關於X染色體脆折症(fragile X syndrome)的敘述,下列何者錯誤?
詳解
破題關鍵
X染色體脆折症的發病與否,取決於FMR1基因上CGG重複次數是否達到「完全突變」的門檻,而44次重複仍在正常範圍內。
選項拆解
登入查看完整詳解與互動作答
【106-2 醫學(六) 第42題】28歲G1P0孕婦,妊娠28週時,經診斷為子宮內胎兒生長遲滯(intrauterine fetel growth restriction, IUGR), 爾後即於門診接受規律性產前檢查。目前妊娠38週,產前檢查安排之胎心率監測呈現良好反應(reactive), 無規律性子宮收縮;超音波檢查羊水指數(amniotic fluid index)3.2 cm,預估胎兒體重1900 公克,陰道內 診子宮頸未開,破水測試(nitrazine test)呈現陰性反應。此時的最適當處置為:
詳解
破題關鍵
足月妊娠合併嚴重胎兒生長遲滯和嚴重羊水過少,即使胎心音監測良好,也應考慮終止妊娠以避免胎兒窘迫。
選項拆解
登入查看完整詳解與互動作答
【106-2 醫學(六) 第79題】依據優生保健法的規定,懷孕婦女經診斷或證明有下列情事之一者,得依其自願,施行人工流產。下列何者 正確?①本人或其配偶患有礙優生之遺傳性、傳染性疾病或精神疾病者 ②有醫學上理由,足以認定懷孕或 分娩有招致生命危險或危害身體或精神健康者 ③有醫學上理由,足以認定胎兒有畸型發育之虞者 ④因懷 孕或生產將影響其心理健康或家庭生活者
詳解
破題關鍵
優生保健法允許人工流產的條件,主要圍繞著母體健康、胎兒異常或遺傳疾病等醫學上的考量。
選項拆解
登入查看完整詳解與互動作答