妊娠併發症1 / 31
【110-1 醫學(六) 第31題】婦產科急診有一位20歲女性,主訴月經過期,有陰道點狀出血,左下腹疼痛,下列何種檢查為第一優先?
詳解
本題考核重點為相關概念的臨床應用,需理解基本原理並結合題目情境進行推導分析...
妊娠併發症2 / 31
【110-1 醫學(六) 第36題】下列懷孕的併發症,發生在過胖孕婦(BMI > 30)的機率比正常體重孕婦的發生率,何者增加最多?
詳解
本題考核重點為相關概念的臨床應用,需理解基本原理並結合題目情境進行推導分析...
妊娠併發症3 / 31
【110-1 醫學(六) 第40題】妊娠合併肺水腫(pulmonary edema complicating pregnancy)是懷孕期間相當危急的併發症。下列何者不是發生妊娠合併肺水腫的危險因子?
詳解
本題考核重點為相關概念的臨床應用,需理解基本原理並結合題目情境進行推導分析...
妊娠併發症4 / 31
【110-1 醫學(六) 第41題】32歲G1P0孕婦,妊娠34週因規律性下腹陣痛,前來產房就診。孕婦主訴3小時前有大量清澈液體自陰道流出。產房檢查胎心博呈現良好反應(reactive),子宮每4分鐘規律收縮;內診檢查子宮頸未開,破水測試呈陽性反應;超音波檢查呈羊水稀少(oligohydramnios)現象,胎兒預估體重2,560公克,胎兒呈頭位產式。孕婦體溫38.6℃,心搏率102 bpm,血壓112/68 mmHg。血液檢驗,WBC 19,000/mm3。接下來最適當處置為:
詳解
本題考核重點為相關概念的臨床應用,需理解基本原理並結合題目情境進行推導分析...
妊娠併發症5 / 31
【110-1 醫學(六) 第75題】關於產後出血的敘述,下列何者最正確?
詳解
本題考核重點為相關概念的臨床應用,需理解基本原理並結合題目情境進行推導分析...
妊娠併發症6 / 31
【110-1 醫學(六) 第80題】依據赫爾辛基宣言(Declaration of Helsinki),關於醫學研究與醫療照護之結合,下列何者正確?
詳解
本題考核重點為相關概念的臨床應用,需理解基本原理並結合題目情境進行推導分析...
婦科泌尿與生殖道異常7 / 31
【110-1 醫學(六) 第30題】53歲的停經婦女,生過3個小孩,主訴急迫性尿失禁已經1週,下列何項檢查是比較合適的處置?
詳解
本題考核重點為相關概念的臨床應用,需理解基本原理並結合題目情境進行推導分析...
婦科泌尿與生殖道異常8 / 31
【110-1 醫學(六) 第42題】陰部神經電氣學檢測測試pudendal nerve terminal motor latency,可間接測量陰部神經終端神經完整性、神經肌肉的交接處(neuromuscular junction)及其支配之肌肉。測試時須使用指套電極片如St. Mark電極片,經陰道或直腸刺激位於腸骨脊(ischial spine)之陰部神經,並測量何處肌肉之反應?
詳解
本題考核重點為相關概念的臨床應用,需理解基本原理並結合題目情境進行推導分析...
婦科腫瘤9 / 31
【110-1 醫學(六) 第33題】60歲女性,罹患子宮頸鱗狀上皮細胞癌Ib期,接受子宮根除術(radical hysterectomy)及骨盆腔淋巴摘除術( pelvic lymph node dissection),術後恢復情形良好,依據病理報告可以判斷病患之預後。下列何者並非病患重要之預後因子?
詳解
本題考核重點為相關概念的臨床應用,需理解基本原理並結合題目情境進行推導分析...
婦科腫瘤10 / 31
【110-1 醫學(六) 第34題】微侵襲性子宮頸癌(microinvasion)是指基質(stroma)侵犯深度不超過多少mm?
詳解
本題考核重點為相關概念的臨床應用,需理解基本原理並結合題目情境進行推導分析...
婦科腫瘤11 / 31
【110-1 醫學(六) 第45題】已經生育過的56歲婦女,非常焦慮其是否會有子宮內膜癌的風險,下列情形何者風險較低?
詳解
本題考核重點為相關概念的臨床應用,需理解基本原理並結合題目情境進行推導分析...
婦科腫瘤12 / 31
【110-1 醫學(六) 第46題】下列那種子宮肉瘤,因為對賀爾蒙的反應最好,可以考慮在手術治療後,用高劑量黃體素治療?
詳解
本題考核重點為相關概念的臨床應用,需理解基本原理並結合題目情境進行推導分析...
婦科腫瘤13 / 31
【110-1 醫學(六) 第47題】關於卵巢上皮癌的分期,雖然卵巢癌並無侵犯到腹腔的其他組織,但是卻有骨盆腔淋巴結的轉移(pelvic lymph node metastases),應該歸類在2014-FIGO的那一個期別?
詳解
本題考核重點為相關概念的臨床應用,需理解基本原理並結合題目情境進行推導分析...
婦科腫瘤14 / 31
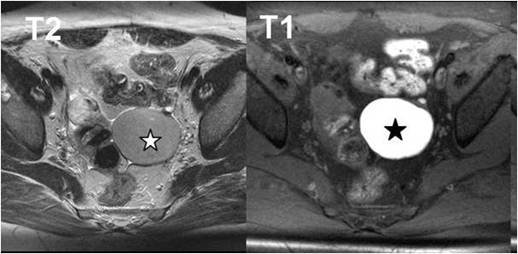
【110-1 醫學(六) 第72題】

35歲女性病患,主訴下腹痛,磁振造影檢查發現骨盆腔有囊狀病灶(星號),在T2加權影像(左圖)呈稍低訊號,T1加權影像(右圖)呈高訊號。其診斷為何?
詳解
本題考核重點為相關概念的臨床應用,需理解基本原理並結合題目情境進行推導分析...
婦科良性疾病與感染15 / 31
【110-1 醫學(六) 第32題】22歲女性,診斷為子宮內膜異位,經2個月danazol藥物治療後,抱怨體重上升,熱潮紅及聲音變低沈。她詢問是否應繼續服藥,最適當的回答是:
詳解
本題考核重點為相關概念的臨床應用,需理解基本原理並結合題目情境進行推導分析...
婦科良性疾病與感染16 / 31
【110-1 醫學(六) 第43題】25歲女性,主訴外陰部疼痛三天,檢查發現外陰部有成群的小水泡及表淺性潰瘍,下列何者是最有可能的診斷?
詳解
本題考核重點為相關概念的臨床應用,需理解基本原理並結合題目情境進行推導分析...
生殖內分泌與不孕17 / 31
【110-1 醫學(六) 第48題】關於次發性無月經症(secondary amenorrhea)之敘述,下列何者錯誤?
詳解
本題考核重點為相關概念的臨床應用,需理解基本原理並結合題目情境進行推導分析...
生殖內分泌與不孕18 / 31
【110-1 醫學(六) 第49題】有關誘發排卵前LH surge所需的性激素血中濃度之敘述,下列何者正確?
詳解
本題考核重點為相關概念的臨床應用,需理解基本原理並結合題目情境進行推導分析...
生殖內分泌與不孕19 / 31
【110-1 醫學(六) 第50題】關於多囊性卵巢症候群(polycystic ovary syndrome, PCOS)的診斷標準(criteria of diagnosis)之敘述,下列何者不是診斷標準之一?
詳解
本題考核重點為相關概念的臨床應用,需理解基本原理並結合題目情境進行推導分析...
生殖內分泌與不孕20 / 31
【110-1 醫學(六) 第51題】24歲男性接受不孕症檢查時,發現患者精液中沒有精蟲,同時伴隨兩側輸精管有先天性缺少(CBAVD)時, 常與下列何種疾病相關?
詳解
本題考核重點為相關概念的臨床應用,需理解基本原理並結合題目情境進行推導分析...
生殖內分泌與不孕21 / 31
【110-1 醫學(六) 第52題】37歲G0P0的已婚女性,因為不孕症而求診,自述月經已經2年沒來,且驗孕呈陰性反應。抽血檢查發現血中 FSH濃度為42 mIU/mL,Estradiol<20 pg/mL。其母親在36歲時即已停經,家中有個哥哥智能不足,應建議下列那一項基因檢查?
詳解
本題考核重點為相關概念的臨床應用,需理解基本原理並結合題目情境進行推導分析...
生殖內分泌與不孕22 / 31
【110-1 醫學(六) 第53題】有關評估子宮輸卵管攝影檢查(hysterosalpingography HSG)的結果,下列何者正確?
詳解
本題考核重點為相關概念的臨床應用,需理解基本原理並結合題目情境進行推導分析...
生殖內分泌與不孕23 / 31
【110-1 醫學(六) 第54題】29歲有甲狀腺低下合併習慣性流產的不孕症婦女,接受不孕症治療後目前妊娠5週,下列何種狀況,在懷孕初期最須要考慮補充甲狀腺素?
詳解
本題考核重點為相關概念的臨床應用,需理解基本原理並結合題目情境進行推導分析...
生殖內分泌與不孕24 / 31
【110-1 醫學(六) 第55題】施行人工輔助生殖技術(ART)時,當使用人類絨毛促性腺激素(hCG)來幫助卵子最後成熟,下列敘述何者正確?
詳解
本題考核重點為相關概念的臨床應用,需理解基本原理並結合題目情境進行推導分析...
產前照護與分娩25 / 31
【110-1 醫學(六) 第35題】關於孕期疫苗的接種,下列何者正確?
詳解
本題考核重點為相關概念的臨床應用,需理解基本原理並結合題目情境進行推導分析...
產前照護與分娩26 / 31
【110-1 醫學(六) 第37題】正常陰道生產後,第三產程主動處理方法(active management of the third stage of labor)被證實可減少產後出血。下列何項行為不包括在內?
詳解
本題考核重點為相關概念的臨床應用,需理解基本原理並結合題目情境進行推導分析...
產前照護與分娩27 / 31
【110-1 醫學(六) 第38題】子宮頸之成熟度(cervical favorability)往往與產程進展有密切關連,1964年 Dr. Bishop提出Bishop scoring system進行評估,內容共有五項指標,除子宮頸擴張(dilatation)外,尚有四項,下列何項不屬之?
詳解
本題考核重點為相關概念的臨床應用,需理解基本原理並結合題目情境進行推導分析...
胎兒醫學與監測28 / 31
【110-1 醫學(六) 第29題】32歲女性,G3P2,妊娠32週,超音波掃瞄下,羊水最大垂直徑只有1公分,依胎兒生物生理計分法 (biophysical profile),於羊水量分項下得分為何?
詳解
本題考核重點為相關概念的臨床應用,需理解基本原理並結合題目情境進行推導分析...
胎兒醫學與監測29 / 31
【110-1 醫學(六) 第39題】利用產前超音波評估胎兒狀況(fetal well-being),在日常門診十分普遍,除了估計胎兒大小及胎兒心跳外, 常可利用生物物理指標(biophysical profile)進行有效監測,下列何項超音波指標不包括在biophysical profile 內?
詳解
本題考核重點為相關概念的臨床應用,需理解基本原理並結合題目情境進行推導分析...
胎兒醫學與監測30 / 31
【110-1 醫學(六) 第56題】

36歲孕婦,G5P2SA1AA1,妊娠16週,接受超音波檢查,結果如圖所示: 則胎兒異常器官名稱與特徵(sign)為何?
詳解
本題考核重點為相關概念的臨床應用,需理解基本原理並結合題目情境進行推導分析...
胎兒醫學與監測31 / 31
【110-1 醫學(六) 第57題】承上題,最可能的診斷為下列何者?
詳解
本題考核重點為相關概念的臨床應用,需理解基本原理並結合題目情境進行推導分析...