妊娠併發症1 / 34
【110-2 醫學(六) 第30題】33歲女性,G2P0A1,最後一次月經開始日為9週前,因自行驗孕呈陽性反應而來門診作第一次產檢,她上一胎是早期懷孕合併自然流產,這一胎是計畫性懷孕;來門診時母親的體溫、心跳速率、呼吸速率、血壓均正常,內診時發現:子宮大小約為懷孕7~8週且雙側子宮附屬器無異常發現、子宮頸緊閉且無陰道出血,在門診時幫她做了超音波檢查發現:正常子宮內懷孕、胎兒頭臀徑(crown-rump length)0.7公分、根據胎兒頭臀徑所預估的懷孕週數為7.2週,超音波確定測不到胎心音。下列何者為最適當的診斷?
詳解
破題關鍵
胎兒已經沒有心跳,但子宮頸卻是關閉的,也沒有出血,身體還沒把壞死的組織排出來。
選項拆解
-A:錯在不完全流產 (incomplete abortion) 通常會伴隨陰道出血、腹痛,且子宮頸會擴張,部分妊娠產物已經排出,但仍有殘留。本案例子宮頸緊閉且無出血。
妊娠併發症2 / 34
【110-2 醫學(六) 第34題】下列何者為產後子宮收縮無力最常見的原因(uterine atony)?
詳解
破題關鍵
子宮被撐得太大,生完後就容易收縮無力。
選項拆解
-A:正確。多胞胎導致子宮過度擴張,是產後子宮收縮無力最常見的原因之一。
妊娠併發症3 / 34
【110-2 醫學(六) 第37題】20歲林小姐,沒有任何過去病史且第一次懷孕。當懷孕26週時被告知有妊娠糖尿病,經過飲食控制後再回來門診追蹤時發現空腹血糖168 mg/dL,此時醫生應該建議她如何控制接下來孕期的血糖?
詳解
破題關鍵
飲食控制後血糖還是很高,為了媽媽和寶寶的健康,就該用胰島素了。
選項拆解
-A:錯在只需要飲食控制。案例中孕婦的空腹血糖168 mg/dL,顯示飲食控制已經失敗,單純飲食控制不足以達到血糖目標。
妊娠併發症4 / 34
【110-2 醫學(六) 第38題】38歲孕婦,為一B型肝炎(hepatitis B)感染者,懷孕26週血清檢驗結果:B型肝炎表面抗原陽性HBsAg(+),B 型肝炎e抗原陽性HBeAg(+),B型肝炎病毒量HBV viral load超過10,000,000 copies/mL;孕婦未接受抗B型肝炎病毒藥物治療,新生兒出生後接受免疫預防性治療(immunoprophylaxis)及兒童完整的B型肝炎疫苗接種。 此一新生兒感染B型肝炎的風險為:
詳解
破題關鍵
媽媽病毒量很高,就算寶寶有打針和疫苗,還是有一定機率會感染。
選項拆解
-A:錯在1%。對於高病毒量且HBeAg(+) 的母親,即使新生兒接受了免疫預防,感染風險仍高於1%。
妊娠併發症5 / 34
【110-2 醫學(六) 第47題】一個25歲有過性經驗女性來到急診,她主訴為腹痛併有噁心想吐,她的最後一次月經是27天前。手術中發現闌尾為正常,但子宮附件(adnexum)有腫塊,腫塊組織切除後圖像如下,下列何者是最有可能的診斷?

詳解
破題關鍵
這張圖片最關鍵的線索是腫塊組織中清晰可見的毛髮和油膩狀物質,這些是卵巢畸胎瘤(dermoid cyst)的典型特徵。
選項拆解
-A:輸卵管卵巢膿瘍(tubo-ovarian abscess)通常會看到膿液、發炎組織,不會有毛髮或脂肪。
妊娠併發症6 / 34
【110-2 醫學(六) 第77題】關於孕婦在急救的處置與一般成人相較,下列敘述何者最正確?
詳解
破題關鍵
懷孕會導致呼吸道水腫,因此需要使用較小尺寸的氣管內管。
選項拆解
-A:正確。懷孕期間呼吸道黏膜水腫,氣道變窄,因此氣管插管時應選用較小號的氣管內管。
-B:錯在「使用誘導藥物的劑量要減半」。誘導藥物的劑量需要謹慎調整,但通常不會直接減半,而是根據患者反應和體重進行評估。
婦科泌尿與生殖道異常7 / 34
【110-2 醫學(六) 第57題】女性急性尿滯留(acute urinary retention)最常見的原因為何?
詳解
破題關鍵
女性急性尿滯留最常見的原因是近期接受過骨盆腔手術。
選項拆解
-A:錯在「陰道生產後」。雖然陰道生產後可能發生尿滯留,但骨盆腔手術後是更常見的原因。
-B:正確。骨盆腔手術或尿失禁手術後,由於組織水腫、神經損傷或疼痛,是女性急性尿滯留最常見的原因。
婦科腫瘤8 / 34
【110-2 醫學(六) 第44題】Psammoma bodies最常見於何種卵巢瘤?
詳解
破題關鍵
Psammoma bodies是某些腫瘤的特徵性鈣化,在卵巢腫瘤中,最常與漿液性腫瘤相關。
選項拆解
-A:子宮內膜異位瘤(endometrioma)是充滿陳舊血液的囊腫(俗稱巧克力囊腫),其組織學特徵是子宮內膜腺體和基質,不含Psammoma bodies。
婦科腫瘤9 / 34
【110-2 醫學(六) 第49題】42歲女性,子宮頸抹片報告的診斷是atypical squamous cells of undetermined significance(ASC-US),接下來何種處置較為適當?
詳解
破題關鍵
子宮頸抹片結果為ASC-US時,需要進一步評估或密切追蹤,不能置之不理。
選項拆解
-A:錯在「立即接受手術」。ASC-US是輕微異常,通常不需要立即手術,而是需要進一步評估或追蹤。
婦科腫瘤10 / 34
【110-2 醫學(六) 第50題】39歲婦女,經診斷為子宮頸鱗狀上皮細胞癌,接受子宮根除術及骨盆腔淋巴結廓清術(radical hysterectomy and bilateral pelvic lymph node dissection),下列何者不屬於復發有關的高風險因子?
詳解
破題關鍵
子宮頸癌術後復發的高風險因子,主要看腫瘤是否侵犯到切緣、淋巴結或子宮旁組織。
選項拆解
-A:錯在「靠近邊緣,或切端邊緣有腫瘤」。這是非常明確的高風險因子,表示手術可能未完全切除癌細胞。
婦科腫瘤11 / 34
【110-2 醫學(六) 第51題】關於罹患卵巢癌的危險因子,下列敘述何者較相關?
詳解
破題關鍵
卵巢癌的危險因子與「排卵次數多寡」及「家族遺傳」有關。
選項拆解
-A:錯在「多產」。多產會減少排卵次數,反而降低卵巢癌風險。
-B:錯在「服用避孕藥超過5年」。口服避孕藥能抑制排卵,長期使用可顯著降低卵巢癌風險。
婦科腫瘤12 / 34
【110-2 醫學(六) 第52題】有關子宮內膜癌之敘述,下列何項正確?
詳解
破題關鍵
子宮內膜癌主要分為兩種類型,其中第一型佔絕大多數且預後較好。
選項拆解
-A:錯在「相對於第一型(type I)子宮內膜癌病人,第二型(type II)子宮內膜癌病人有較好的預後」。第二型子宮內膜癌通常惡性度較高,預後較差。
婦科腫瘤13 / 34
【110-2 醫學(六) 第53題】外陰癌(vulvar cancer)最常見的細胞型態為:
詳解
破題關鍵
外陰癌最常見的類型是鱗狀細胞癌。
選項拆解
-A:錯在「adenocarcinoma」。腺癌在外陰癌中較為罕見。
-B:正確。鱗狀細胞癌是外陰癌最常見的細胞型態。
-C:錯在「basal cell carcinoma」。基底細胞癌在外陰癌中非常罕見。
婦科腫瘤14 / 34
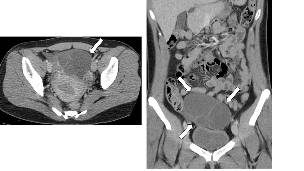
【110-2 醫學(六) 第74題】37歲女性,下腹部電腦斷層檢查呈現如圖,箭號所指之敘述何者最為可能?

詳解
破題關鍵
這題的解題核心在於辨識骨盆腔內一個大型、多房性、內容物為液體的囊腫,這種影像特徵最符合卵巢囊腺瘤。圖片中箭頭清楚指向這個邊界清晰、內部有分隔的囊狀病灶。
選項拆解
婦科良性疾病與感染15 / 34
【110-2 醫學(六) 第41題】子宮肌瘤與懷孕的關係,下列敘述何者較不適當?
詳解
破題關鍵
雖然子宮肌瘤可能引起併發症,但大多數懷孕合併子宮肌瘤的案例,預後仍然是好的。
選項拆解
-A:正確。大部分的子宮肌瘤在懷孕期間不會顯著變大,有些甚至可能在產後縮小。雖然有些肌瘤會因荷爾蒙刺激而增大,但這並非普遍現象。
婦科良性疾病與感染16 / 34
【110-2 醫學(六) 第42題】有關子宮肌瘤,下列敘述何者最不適當?
詳解
破題關鍵
生育次數越多,子宮肌瘤的風險反而越低。
選項拆解
-A:錯在「多產婦容易長」。實際上,多產婦(multiparas)罹患子宮肌瘤的風險是降低的,而未曾生育的女性(nulliparas)風險較高。
婦科良性疾病與感染17 / 34
【110-2 醫學(六) 第45題】下列何者不是腹腔鏡子宮切除的併發症?
詳解
破題關鍵
子宮切除術的目的是移除子宮,因此在手術過程中「子宮穿孔」並不是一個獨立的併發症,而是手術操作的一部分或前置步驟的併發症。
選項拆解
-A:皮下氣腫(subcutaneous emphysema)是腹腔鏡手術的常見併發症,由於腹腔內灌注的二氧化碳氣體滲漏到皮下組織造成。
婦科良性疾病與感染18 / 34
【110-2 醫學(六) 第46題】下列何者不是診斷Human Immunodeficiency Virus(HIV)感染的檢測方法?
詳解
破題關鍵
Southern blot是檢測DNA的技術,而HIV診斷主要檢測病毒抗原、抗體或病毒RNA。
選項拆解
-A:正確。酵素連結免疫吸附分析法(Enzyme-linked immunosorbent assay, ELISA)是HIV感染的常用篩檢方法,可以檢測HIV抗體和/或抗原。
婦科良性疾病與感染19 / 34
【110-2 醫學(六) 第48題】關於骨盆腔發炎的敘述,下列何者最不適當?
詳解
破題關鍵
骨盆腔發炎(PID)的治療方式需要根據病情嚴重程度來決定,並非所有患者都必須住院。
選項拆解
-A:正確。骨盆腔發炎不一定有明顯的症狀,有些患者可能只有輕微不適或慢性骨盆腔疼痛,導致診斷延遲。
婦科良性疾病與感染20 / 34
【110-2 醫學(六) 第80題】有一位30歲男性,近期剛被診斷出有愛滋病,病人請醫師勿告訴任何人,下列何者正確? 、
詳解
破題關鍵
愛滋病是法定傳染病,醫師有通報義務。
選項拆解
-A:錯在「不應再有任何下一動作」。醫師除了保密,還有依法通報法定傳染病的義務。
-B:錯在「愛滋病例外」。雖然愛滋病有通報義務,但醫師對病人的其他個人資訊仍需保密,並非所有資訊都例外。
生殖內分泌與不孕21 / 34
【110-2 醫學(六) 第40題】下列關於診斷性子宮鏡敘述,何者較不適當?
詳解
破題關鍵
診斷性子宮鏡是一種可以直接看子宮腔的檢查,而且現在技術進步,很多情況下可以在門診進行。
選項拆解
-A:正確。不孕症病人常會接受子宮鏡檢查,以排除子宮腔內的病變(如子宮內膜息肉、黏膜下肌瘤、子宮腔沾黏、子宮中膈)等可能影響受孕或著床的因素。
生殖內分泌與不孕22 / 34
【110-2 醫學(六) 第43題】關於Turner syndrome,下列敘述何者最適當?
詳解
破題關鍵
Turner syndrome患者的心血管異常是其主要健康風險之一,尤其在懷孕時風險更高。
選項拆解
-A:錯在發生率。Turner syndrome的發生率約為1/2500活產女嬰,而不是1/25000。
生殖內分泌與不孕23 / 34
【110-2 醫學(六) 第54題】受精(fertilization)的過程依序為何?①capacitation ②acrosome reaction ③cortical reaction
詳解
破題關鍵
受精過程是精子逐步準備、穿透、然後阻止其他精子進入的連續步驟。
選項拆解
-A:正確。受精的過程依序為:①獲能 (capacitation) → ②頂體反應 (acrosome reaction) → ③皮質反應 (cortical reaction)。
生殖內分泌與不孕24 / 34
【110-2 醫學(六) 第55題】有關卵巢過度刺激症候群,下列敘述何者錯誤?
詳解
破題關鍵
卵巢過度刺激症候群是排卵刺激的副作用,長療程通常會增加而非抑制風險。
選項拆解
-A:正確。OHSS是排卵刺激藥物造成的併發症,因此是醫源性造成。
-B:錯誤。長療程刺激排卵通常會增加卵巢過度刺激的風險,而非抑制。短療程或拮抗劑方案有時被用來降低風險。
生殖內分泌與不孕25 / 34
【110-2 醫學(六) 第56題】57歲女性,G2P2,年輕時因為子宮肌瘤併貧血之故已切除子宮,乳房超音波發現有纖維腺囊腫。近來因為有熱潮紅和夜汗等症狀,影響睡眠,情緒和記憶力,故求診。下列那項治療是最不建議的?
詳解
破題關鍵
已切除子宮的女性,不需要服用黃體素來保護子宮內膜。
選項拆解
-A:錯在「transdermal estradiol」。這是單獨雌激素治療,適用於已切除子宮的女性。
-B:錯在「oral estradiol」。這是單獨雌激素治療,適用於已切除子宮的女性。
產前照護與分娩26 / 34
【110-2 醫學(六) 第28題】懷孕時陰道以何種菌株為優勢菌株?
詳解
破題關鍵
懷孕時陰道環境的保護者是乳酸桿菌,它能維持酸性,抑制壞菌生長。
選項拆解
-A:錯在 Streptococcus agalactiae (B型鏈球菌) 是一種常見的陰道菌叢,但它不是優勢菌株,而是可能導致新生兒敗血症或腦膜炎的病原菌,因此在懷孕後期會進行篩檢。
產前照護與分娩27 / 34
【110-2 醫學(六) 第29題】懷孕期間血色素(hemoglobin)會生理性降低,主要原因為:
詳解
破題關鍵
懷孕時血漿增加的比紅血球多,導致血液被稀釋,血色素看起來就降低了。
選項拆解
-A:錯在孕婦身體的鐵儲存量減少會導致「缺鐵性貧血」,這是一種病理性貧血,與生理性貧血的機轉不同。雖然懷孕期間鐵需求量增加,但生理性貧血的主要原因不是鐵儲存量減少。
產前照護與分娩28 / 34
【110-2 醫學(六) 第35題】關於胎頭對於母親骨盆腔的相關位置如附圖,下列何者正確?

詳解
破題關鍵
這題的解題核心在於正確判讀胎頭的枕骨(occiput)相對於母親骨盆腔的方向,圖片中胎兒的枕骨朝向母親的左後方。
選項拆解
-A:錯在LOA表示枕骨朝向母親的左前方,與圖片所示的左後方不符。
胎兒醫學與監測29 / 34
【110-2 醫學(六) 第31題】就胎兒循環而言,下列何者之循環血液含氧量最高?
詳解
破題關鍵
胎兒體內含氧量最高的血液,是從胎盤直接送進來的,靜脈導管就是這條高速公路。
選項拆解
-A:錯在動脈導管 (ductus arteriosus) 將肺動脈的血液分流到主動脈,繞過肺循環。肺動脈的血液是從右心室出來的,含氧量相對較低,且與主動脈的血液混合後,含氧量會進一步降低。
胎兒醫學與監測30 / 34
【110-2 醫學(六) 第32題】關於地中海貧血(thalassemia),下列敘述何者正確?
詳解
破題關鍵
甲型地中海貧血的基因缺陷,讓血紅素電泳很難直接抓到它。
選項拆解
-A:錯在若夫妻二人為同型地中海貧血帶因者,則胎兒為重型地中海貧血的機率是25% (根據孟德爾遺傳定律),而不是35%。
胎兒醫學與監測31 / 34
【110-2 醫學(六) 第33題】母血中胎兒游離性基因(cell-free fetal DNA)篩檢,無法檢驗出下列何種胎兒異常?
詳解
破題關鍵
NIPT主要看染色體數量或大片段缺失,抓不到單一基因的微小改變。
選項拆解
-A:正確。基因單點突變是DNA序列中單一鹼基的改變,cfDNA篩檢無法偵測到這種微小的基因變異。
胎兒醫學與監測32 / 34
【110-2 醫學(六) 第36題】34歲孕婦,G1P0,本次懷孕接受一般健保給付之產檢項目,產檢結果發現先天性橫膈膜疝氣(congenital diaphragmatic hernia),經與主治醫師討論後,由於橫膈膜疝氣合併肝臟脫疝(liver herniation),且肺部頭部比率(lung-to-head ratio)小於1.4,而決定進行胎兒鏡氣管阻塞術(fetal endoscopic tracheal occlusion, FETO),手術順利,並於34週平安生產,下列何種疾病不宜考慮胎兒鏡手術?
詳解
破題關鍵
胎兒鏡手術是微創的,通常用於處理管腔或小病灶,像薦尾椎畸胎瘤這種大腫瘤,通常需要更複雜的開放性手術。
選項拆解
胎兒醫學與監測33 / 34
【110-2 醫學(六) 第39題】懷孕期間,母胎感染症經垂直傳播可引致子宮內胎兒感染(intrauterine fetal infection)導致胎兒缺陷。下列那一項胎兒超音波表徵不符合母胎感染病源的致畸型效應(teratogens effects)?
詳解
破題關鍵
記住常見母胎感染症的經典胎兒缺陷,尤其是與心臟缺陷相關的病原體。
選項拆解
-A:正確。微小病毒(parvovirus B19)感染胎兒最經典的表現是造成胎兒嚴重貧血,進而導致胎兒水腫(hydrops fetalis)。
胎兒醫學與監測34 / 34
【110-2 醫學(六) 第78題】有一位35歲女性,先生為獨子,已有二女目前懷孕第三胎,經超音波檢查後,想問醫師胎兒的性別,下列何者較為正確?
詳解
破題關鍵
台灣法律規定,醫師不能因為性別而拒絕告知胎兒性別,這是孕婦的知情權。
選項拆解
-A:錯在「醫師不能跟她說」。醫師可以告知胎兒性別,這是孕婦的權利。
-B:正確。醫師告知胎兒性別是孕婦的知情權,符合現行法規。